Phospho-HIST1H1B (T154) Antibody
-
中文名稱:磷酸化-HIST1H1B (T154)兔多克隆抗體
-
貨號:CSB-PA010377PA154phHU
-
規格:¥660
-
圖片:
-
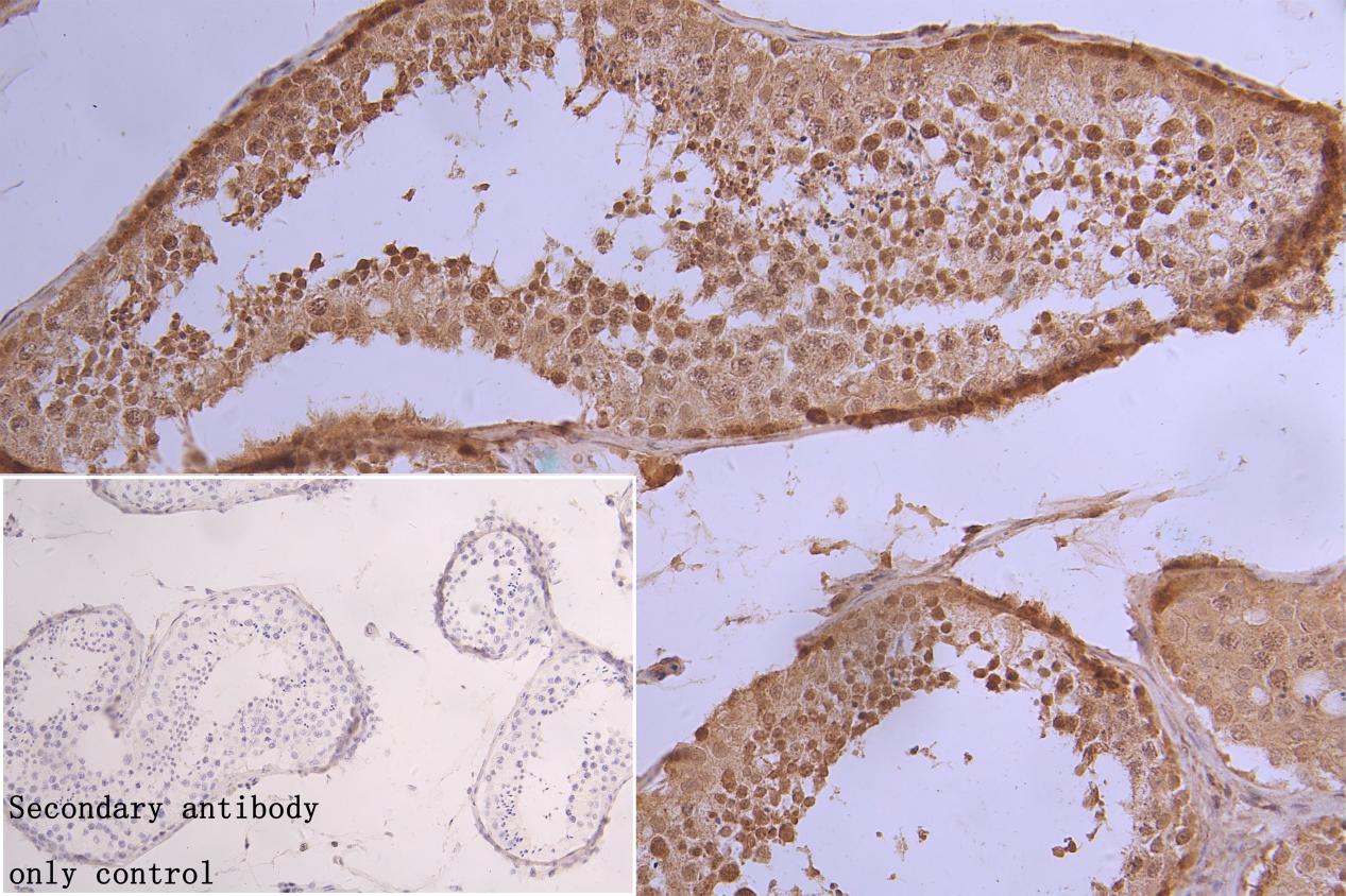
IHC image of CSB-PA010377PA154phHU diluted at 1:50 and staining in paraffin-embedded human testis tissue performed on a Leica BondTM system. After dewaxing and hydration, antigen retrieval was mediated by high pressure in a citrate buffer (pH 6.0). Section was blocked with 10% normal goat serum 30min at RT. Then primary antibody (1% BSA) was incubated at 4°C overnight. The primary is detected by a Goat anti-rabbit polymer IgG labeled by HRP and visualized using 0.05% DAB. Secondary antibody only control: uses 1% BSA instead of primary antibody
-
-
其他:
產品詳情
-
產品描述:
CUSABIO's product CSB-PA010377PA154phHU is a polyclonal antibody raised in rabbits against the synthesized peptide derived from human Histone H1.5 around the phosphorylation T154. This Phospho-HIST1H1B (T154) antibody occurs as an unconjugated IgG. It is only reactive with phosphorylated Histone H1.5 of human-origin. It does not cross-react with non-phosphorylated Histone H1.5 or other phosphorylated forms of Histone H1.5. Validations in ELISA, WB, IF, and ChIP applications of this antibody have been done. The target protein Histone H1.5 is involved in several biological processes, such as cell differentiation, nucleosome spacing and mRNA splicing, and tumorigenesis.
-
產品名稱:Rabbit anti-Homo sapiens (Human) HIST1H1B Polyclonal antibody
-
Uniprot No.:
-
基因名:HIST1H1B
-
別名:H1 antibody; H1 histone family member 5 antibody; H1.5 antibody; H15 HUMAN antibody; H15_HUMAN antibody; H1B antibody; H1F5 antibody; H1s 3 antibody; Hist1h1b antibody; Histone 1 H1b antibody; Histone cluster 1 H1b antibody; Histone H1.5 antibody; Histone H1a antibody; Histone H1b antibody; Histone H1s 3 antibody; MGC126630 antibody; MGC126632 antibody
-
宿主:Rabbit
-
反應種屬:Human
-
免疫原:Peptide sequence around site of Phospho-Thr (154) derived from Human Histone H1.5
-
免疫原種屬:Homo sapiens (Human)
-
標記方式:Non-conjugated
-
克隆類型:Polyclonal
-
抗體亞型:IgG
-
純化方式:Antigen Affinity Purified
-
濃度:It differs from different batches. Please contact us to confirm it.
-
保存緩沖液:Preservative: 0.03% Proclin 300
Constituents: 50% Glycerol, 0.01M PBS, pH 7.4 -
產品提供形式:Liquid
-
應用范圍:ELISA, IHC
-
推薦稀釋比:
Application Recommended Dilution IHC 1:50-1:200 -
Protocols:
-
儲存條件:Upon receipt, store at -20°C or -80°C. Avoid repeated freeze.
-
貨期:Basically, we can dispatch the products out in 1-3 working days after receiving your orders. Delivery time maybe differs from different purchasing way or location, please kindly consult your local distributors for specific delivery time.
-
用途:For Research Use Only. Not for use in diagnostic or therapeutic procedures.
相關產品
靶點詳情
-
功能:Histone H1 protein binds to linker DNA between nucleosomes forming the macromolecular structure known as the chromatin fiber. Histones H1 are necessary for the condensation of nucleosome chains into higher-order structured fibers. Acts also as a regulator of individual gene transcription through chromatin remodeling, nucleosome spacing and DNA methylation.
-
基因功能參考文獻:
- Data indicate that normal ovarian tissues strongly expressed histone H1.5, whereas ovarian granulosa cell tumors (GCTs) weakly expressed this protein; in contrast, PLZF protein expression was not significantly different between both study groups. PMID: 25023763
- Statistically significant differences in staining patterns were found for histone H1.5, distinguishing leiomyosarcomas from leiomyomas. PMID: 24784718
- Promyelocytic leukemia zinc finger and histone H1.5 differentially stain low- and high-grade pulmonary neuroendocrine tumors PMID: 23416030
- FoxP3 interacts with H1.5 to alter its binding to target genes to modulate their expression and to program Treg function. PMID: 21654845
- the mode of the chromatin fiber compaction changes depending both on salt environment and linker histone H1 PMID: 16185066
- Phosphorylation of human H1 variants occurs nonrandomly during both interphase and mitosis and distinct serine- or threonine-specific kinases are involved in different cell cycle phases. PMID: 16377619
- Phosphorylation at threonine 10 appears in prometaphase and disappears in telophase, and that this hyperphosphorylated form of H1.5 is mainly chromatin-bound in metaphase when chromatin condensation is maximal. PMID: 19136008
顯示更多
收起更多
-
亞細胞定位:Nucleus. Chromosome. Note=According to PubMed:15911621 more commonly found in heterochromatin. According to PubMed:10997781 associates with actively transcribed chromatin and not heterochromatin.
-
蛋白家族:Histone H1/H5 family
-
組織特異性:Ubiquitous. Expressed in the majority of the cell lines tested and in testis.
-
數據庫鏈接:
Most popular with customers
-
-
YWHAB Recombinant Monoclonal Antibody
Applications: ELISA, WB, IHC, IF, FC
Species Reactivity: Human, Mouse, Rat
-
Phospho-YAP1 (S127) Recombinant Monoclonal Antibody
Applications: ELISA, WB, IHC
Species Reactivity: Human
-
-
-
-
-















