Phospho-GATA1 (Ser142) Antibody
-
中文名稱:磷酸化-GATA1 (Ser142)兔多克隆抗體
-
貨號:CSB-PA592144
-
規格:¥2454
-
圖片:
-
Western blot analysis of extracts from HL60 cells untreated or treated with PMA using GATA1(Phospho-Ser142) Antibody.
-
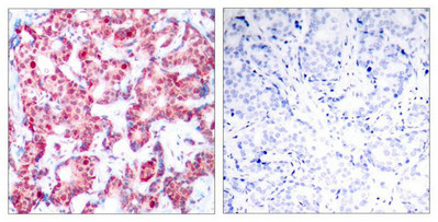
Immunohistochemical analysis of paraffin-embedded human breast carcinoma tissue using GATA1(Phospho-Ser142) Antibody(left) or the same antibody preincubated with blocking peptide(right).
-
Immunofluorescence staining of methanol-fixed Hela cells using GATA1(Phospho-Ser142) Antibody.
-
-
其他:
產品詳情
-
產品名稱:Rabbit anti-Homo sapiens (Human) GATA1 Polyclonal antibody
-
Uniprot No.:
-
基因名:GATA1
-
宿主:Rabbit
-
反應種屬:Human,Mouse,Rat
-
免疫原:Peptide sequence around phosphorylation site of serine 142 (R-L-S(p)-P-D) derived from Human GATA1.
-
免疫原種屬:Homo sapiens (Human)
-
克隆類型:Polyclonal
-
純化方式:Antibodies were produced by immunizing rabbits with synthetic phosphopeptide and KLH conjugates. Antibodies were purified by affinity-chromatography using epitope-specific phosphopeptide. Non-phospho specific antibodies were removed by chromatogramphy usi
-
濃度:It differs from different batches. Please contact us to confirm it.
-
產品提供形式:Liquid
-
應用范圍:ELISA,WB,IHC,IF
-
推薦稀釋比:
Application Recommended Dilution WB 1:500-1:1000 IHC 1:50-1:100 IF 1:100-1:200 -
Protocols:
-
儲存條件:Upon receipt, store at -20°C or -80°C. Avoid repeated freeze.
-
貨期:Basically, we can dispatch the products out in 1-3 working days after receiving your orders. Delivery time maybe differs from different purchasing way or location, please kindly consult your local distributors for specific delivery time.
-
用途:For Research Use Only. Not for use in diagnostic or therapeutic procedures.
相關產品
靶點詳情
-
功能:Transcriptional activator or repressor which probably serves as a general switch factor for erythroid development. It binds to DNA sites with the consensus sequence 5'-[AT]GATA[AG]-3' within regulatory regions of globin genes and of other genes expressed in erythroid cells. Activates the transcription of genes involved in erythroid differentiation of K562 erythroleukemia cells, including HBB, HBG1/2, ALAS2 and HMBS.
-
基因功能參考文獻:
- Reduced GATA-1 could be responsible for the upregulation of IRF-3 in lung adenocarcinoma cells through binding with a specific domain of IRF-3 promoter. PMID: 28566697
- described the functional interaction between GATA1 and SEC23B genes in two patients with suspected congenital dyserythropoietic anemia type II PMID: 28550189
- Here, using zebrafish, murine, and human models, the authors show that erythropoietin (EPO) signaling, together with the GATA1 transcriptional target, AKAP10, regulates heme biosynthesis during erythropoiesis at the outer mitochondrial membrane. PMID: 28553927
- expression of GATA1 effectively rescued maturation of Primary myelofibrosis megakaryocytes. PMID: 28240607
- GATA1 is an essential downstream target of SENP1 and that the differential expression and response of GATA1 and Bcl-xL are a key mechanism underlying chronic mountain sickness pathology. PMID: 27821551
- we herein show a long-distance regulatory region with GATA1 binding sites as being a strong enhancer for NBEAL2 expression. PMID: 28082341
- Single-nucleotide polymorphism in GATA1 gene is associated with non-Down syndrome transient proliferative megakaryoblastic disease. PMID: 27667142
- These findings indicate that erythroid specific activator GATA-1 acts at CTCF sites around the beta-globin locus to establish tissue-specific chromatin organization. PMID: 28161276
- Results show that GATA1 recognizes a single GATA motif or a composite of adjacent GATA motifs and exerts its diversified bindings. These binding configurations serve as one of the critical determinants of specific transcriptional regulation. PMID: 27215385
- Acquired and inherited GATA1 mutations contribute to Diamond-Blackfan anemia, acute megakaryoblastic leukemia, transient myeloproliferative disorder, and a group of related congenital dyserythropoietic anemias with thrombocytopenia. PMID: 28179280
- Our results suggest that GATAl and miR-363 were involved in the regulation of hematopoiesis via the HIF-1alpha pathway in K562 cells under hypoxic condition. PMID: 27485543
- analysis of GATA1 mutations in a cohort of Malaysian children with Down syndrome-associated myeloid disorder reveals distinctive genomic events PMID: 27353457
- trisomy 21 perturbed hematopoietic development through the enhanced production of early hematopoietic progenitors and the upregulation of mutated GATA1, resulting in the accelerated production of aberrantly differentiated cells. PMID: 27134169
- Data show that pyruvate kinase (PK) activity was decreased in the GATA1 hemizygous state and PKLR c.1284delA variant. PMID: 27342114
- GATA1 mutations were identified in consecutive Down syndrome patients with transient myeloproliferative disorder or acute leukemia. PMID: 26234152
- expression of GATA1 and SET7 was upregulated and positively correlated with VEGF expression and microvessel number in 80 breast cancer patients. GATA1 and SET7 are independent poor prognostic factors in breast cancer. PMID: 26848522
- Molecular cytogenetic analysis of leukemic blast cells indicated that increased blast cell status was caused by transient abnormal myelopoiesis with trisomy 21 and GATA1 mutation. PMID: 25711269
- deletion of P-sel disrupted megakaryocyte/neutrophil interactions in spleen, reduced TGF-beta content, and corrected the hematopoietic stem cells distribution that in Gata1(low) mice, as in primary myelofibrosis patients, is abnormally expanded in spleen. PMID: 26439305
- study provides insight into GATA1 transcriptional activity and may prove a useful resource for investigating the pathogenicity of noncoding variants in human erythroid disorders. PMID: 27044088
- The GATA-1-mediated inhibition of PU.1 gene transcription in human AML-erythroleukemias mediated through the URE represents important mechanism that contributes to PU.1 downregulation and leukemogenesis that is sensitive to DNA demethylation therapy PMID: 27010793
- findings provide insights into the clinically relevant in vivo function of the N-terminal domain of GATA1 in human hematopoiesis. PMID: 26713410
- Acute megakaryoblastic leukemia is associated with GATA-1 mutation, mimicking myeloproliferative disorders. PMID: 26205501
- GATA2-to-GATA1 switch is prevalent at dynamic enhancers and drives erythroid enhancer commissioning PMID: 26766440
- GATA1 and GATA2 are involved in clear cell renal cell carcinoma biology possibly affecting tumor development and aggressiveness. PMID: 25230694
- Congenital erythropoietic porphyria linked to GATA1-R216W mutation PMID: 25251786
- we uncovered a novel function of GATA1 in regulating Epithelial-mesenchymal transition PMID: 25726523
- Global transcriptome and chromatin occupancy analysis reveal the short isoform of GATA1 is deficient for erythroid specification and gene expression. PMID: 25682601
- EDAG forms complex with GATA1 and p300 and increases GATA1 acetylation and transcriptional activity by facilitating the interaction between GATA1 and p300 PMID: 24740910
- These results indicate that KLF1 plays a role in facilitating and/or stabilizing GATA-1 and TAL1 occupancy in the erythroid genes, contributing to the generation of active chromatin structure such as histone acetylation and chromatin looping PMID: 25528728
- Our case of transient leukemia without Down syndrome highlight the important role of trisomy 21 and GATA1 mutation in the development of transient neonatal leukemia. PMID: 24253371
- In erythroid cells, pull down experiments identified the presence of a novel complex formed by HDAC5, GATA1, EKLF and pERK which was instead undetectable in cells of the megakaryocytic lineage. PMID: 24594363
- Results demonstrate that expression of the hGATA1 gene is regulated through the chromatin architecture organized by 5'CTCF site-mediated intrachromosomal interactions in the hGATA1 locus. PMID: 25755285
- The results demonstrate that hGATA-1 and hGATA-2 expression in hippocampus is sufficient to cause depressive like behaviors. PMID: 25340772
- Lineage-specific GATA1 cofactor associations are essential for normal chromatin occupancy. PMID: 25621499
- Nkx2-5 binds to the Gata1 gene enhancer and represses the transcriptional activity of the Gata1 gene. PMID: 21464046
- a hypothesis is presented to explain that, in Down syndrome, the first mutational events, GATA1 somatic mutations, do not occur at random, but as a result of perturbed cell functions and specific over-expression of the GATA1 gene PMID: 24880866
- Data indicate that GATA1 transcription factor is downregulated in ribosomal protein S19 (RPS19)-deficient cells through upregulation of TNF-alpha and p38 MAPK. PMID: 25270909
- A functional link among the erythroid transcription factors GATA-1/NF-E2, miR-199b-5p in erythropoiesis. PMID: 24608802
- Somatic GATA1 mutations appear to be pivotal in development of transient abnormal myelopoiesis and are proving to be markers of clonal identity in its evolution to acute megakaryoblastic leukemia in subjects with Down syndrome. [CASE STUDY; REVIEW] PMID: 25268193
- The high rate of GATA-1 gene mutations was confirmed in newborn infants with Down's Syndrome and transient abnormal myelopoiesis or acute megakaryoblastic leukemia PMID: 24196768
- Results report a forth family with clinical findings consistent with an association between GATA1 gene mutation and anemia black diamond. PMID: 24766296
- amplitude of a transcriptional signature of GATA1 target genes was globally and specifically reduced, indicating that the activity, but not the mRNA level, of GATA1 is decreased in patients with DBA PMID: 24952648
- PSTPIP2 dysregulation contributes to aberrant terminal differentiation in GATA-1-deficient megakaryocytes by activating LYN. PMID: 24407241
- High GATA1 expression is associated with hyperproliferation of eosinophil precursors in Down syndrome transient leukemia. PMID: 24336126
- Mutations in the GATA1 gene associated with leukemogenesis in newborns with Down syndrome. PMID: 24222239
- Loss of GATA-1 full length as a cause of Diamond-Blackfan anemia phenotype. PMID: 24453067
- Mitochondrial translation is dramatically affected after mGatA depletion, revealing an essential role for the GatCAB enzyme in the process of protein biosynthesis in mammalian mitochondria. PMID: 24579914
- Our results suggest that GATA1 exon 2 mutations occur late in trisomy 21 fetal hematopoiesis PMID: 24746204
- A role for GATA1 in chemotherapy resistance in non-Down syndrome acute megakaryocytic leukemia cells. PMID: 23874683
- multiple modes of the GATA1-MED1 axis may help to fine-tune GATA1 function during GATA1-mediated homeostasis events. PMID: 24245781
顯示更多
收起更多
-
相關疾病:X-linked dyserythropoietic anemia and thrombocytopenia (XDAT); Thrombocytopenia with beta-thalassemia, X-linked (XLTT); Anemia without thrombocytopenia, X-linked (XLAWT)
-
亞細胞定位:Nucleus.
-
組織特異性:Erythrocytes.
-
數據庫鏈接:
Most popular with customers
-
YWHAB Recombinant Monoclonal Antibody
Applications: ELISA, WB, IHC, IF, FC
Species Reactivity: Human, Mouse, Rat
-
Phospho-YAP1 (S127) Recombinant Monoclonal Antibody
Applications: ELISA, WB, IHC
Species Reactivity: Human
-
-
-
-
-
-















