Phospho-G3BP1 (Ser232) Antibody
-
中文名稱:磷酸化-G3BP1 (Ser232)兔多克隆抗體
-
貨號:CSB-PA908450
-
規格:¥2454
-
圖片:
-
Western blot analysis of extracts from 293 cells untreated or treated with starvation using G3BP-1(Phospho-Ser232) Antibody.
-
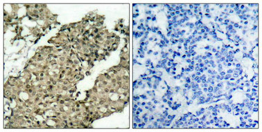
Immunohistochemical analysis of paraffin-embedded human breast carcinoma tissue using G3BP-1(Phospho-Ser232) Antibody(left) or the same antibody preincubated with blocking peptide(right).
-
Immunofluorescence staining of methanol-fixed Hela cells using G3BP-1(Phospho-Ser232) Antibody.
-
-
其他:
產品詳情
-
產品名稱:Rabbit anti-Homo sapiens (Human) G3BP1 Polyclonal antibody
-
Uniprot No.:
-
基因名:
-
宿主:Rabbit
-
反應種屬:Human
-
免疫原:Peptide sequence around phosphorylation site of serine 232 (S-S-S(p)-P-A) derived from Human G3BP-1.
-
免疫原種屬:Homo sapiens (Human)
-
克隆類型:Polyclonal
-
純化方式:Antibodies were produced by immunizing rabbits with synthetic phosphopeptide and KLH conjugates. Antibodies were purified by affinity-chromatography using epitope-specific phosphopeptide. Non-phospho specific antibodies were removed by chromatogramphy usi
-
濃度:It differs from different batches. Please contact us to confirm it.
-
產品提供形式:Liquid
-
應用范圍:ELISA,WB,IHC,IF
-
推薦稀釋比:
Application Recommended Dilution WB 1:500-1:1000 IHC 1:50-1:100 IF 1:100-1:200 -
Protocols:
-
儲存條件:Upon receipt, store at -20°C or -80°C. Avoid repeated freeze.
-
貨期:Basically, we can dispatch the products out in 1-3 working days after receiving your orders. Delivery time maybe differs from different purchasing way or location, please kindly consult your local distributors for specific delivery time.
-
用途:For Research Use Only. Not for use in diagnostic or therapeutic procedures.
相關產品
靶點詳情
-
功能:ATP- and magnesium-dependent helicase that plays an essential role in innate immunity. Participates in the DNA-triggered cGAS/STING pathway by promoting the DNA binding and activation of CGAS. Enhances also DDX58-induced type I interferon production probably by helping DDX58 at sensing pathogenic RNA. In addition, plays an essential role in stress granule formation. Unwinds preferentially partial DNA and RNA duplexes having a 17 bp annealed portion and either a hanging 3' tail or hanging tails at both 5'- and 3'-ends. Unwinds DNA/DNA, RNA/DNA, and RNA/RNA substrates with comparable efficiency. Acts unidirectionally by moving in the 5' to 3' direction along the bound single-stranded DNA. Phosphorylation-dependent sequence-specific endoribonuclease in vitro. Cleaves exclusively between cytosine and adenine and cleaves MYC mRNA preferentially at the 3'-UTR.
-
基因功能參考文獻:
- The disruption of stress granules (SGs) during the late stage of Enterovirus 71 (EV71) infection is caused by viral protease 3C-mediated cleavage of G3BP stress granule assembly factor 1 (G3BP1). Over-expression of G3BP1-SGs negatively impacts viral replication at the cytopathic effect (CPE), protein, RNA, and viral titer levels. PMID: 30006004
- JMJD6 is a novel Stress Granule component that interacts with G3BP1 complexes, and its expression reduces G3BP1 monomethylation and asymmetric dimethylation at three Arg residues. PMID: 28972166
- Activated glucocorticoid receptor induced phosphorylation of v-AKT Murine Thymoma Viral Oncogene Homologue (AKT) kinase, which in turn phosphorylated and promoted nuclear translocation of G3BP1. The nuclear G3BP1 bound to the G3BP1 consensus sequence located on primary miR-15b~16-2 and miR-23a~27a~24-2 to inhibit their maturation. PMID: 28523344
- Results show the crystal structure of the NTF2-like domain of G3BP-1 in complex with nsP3 protein revealing a poly-complex of G3BP-1 dimers interconnected through the FGDF motifs in nsP3. Although in vitro and in vivo binding studies revealed a hierarchical interaction of the two FGDF motifs with G3BP-1, viral growth curves clearly demonstrated that two intact FGDF motifs are required for efficient viral replication. PMID: 27383630
- Based on insights from the structures and existing biochemical data, the existence of an evolutionarily conserved ribonucleoprotein (RNP) complex consisting of Caprin-1, FMRP and G3BP1 is proposed. PMID: 27303792
- G3BP1 interacts directly with the foot-and-mouth disease virus internal ribosome entry site and negatively regulates translation. PMID: 28755480
- The data suggested that JNK-enhanced Tudor-SN phosphorylation promotes the interaction between Tudor-SN and G3BP and facilitates the efficient recruitment of Tudor-SN into stress granules under conditions of sodium arsenite-induced oxidative stress. PMID: 28011284
- These data support a role for casein kinase 2 in regulation of protein synthesis by downregulating stress granule formation through G3BP1. PMID: 27920254
- G3BP1 is differentially methylated on specific arginine residues by protein arginine methyltransferase (PRMT) 1 and PRMT5 in its RGG domain. PMID: 27601476
- Our data define G3BP1 as a novel independent prognostic factor that is correlated with gastric cancer progression. PMID: 25809930
- G3BP mediates the condensation of stress granules by shifting between two different states that are controlled by the phosphorylation of S149 and by binding to Caprin1 or USP10. PMID: 27022092
- Host G3BP1 captures HIV-1 RNA transcripts and thereby restricts mRNA translation, viral protein production and virus particle formation. PMID: 26432022
- Our findings identified a novel function of G3BP1 in the progression of breast cancer via activation of the epithelial-to-mesenchymal transition PMID: 25962958
- G3BP1 granules were assembled independently of TIA-1 and had a negative impact on Dengue virus replication. PMID: 26350772
- The G3BP1-Caprin1-PKR complex represents a new mode of PKR activation and is important for antiviral activity of G3BP1 and PKR during infection with mengovirus. PMID: 25784705
- In this report, we demonstrate that a novel peptide GAP161 blocked the functions of G3BP and markedly suppressed HCT116 cell growth through the induction of apoptosis PMID: 22703643
- eQTLs acting across multiple tissues are significant carriers of inherited risk for CAD. FLYWCH1, PSORSIC3, and G3BP1 are novel master regulatory genes in CAD that may be suitable targets. PMID: 25578447
- ICP8 binding to G3BP also inhibits SG formation, which is a novel function of HSV ICP8. PMID: 25658430
- G3BP1 has a role in modulating stress granule assembly during HIV-1 infection PMID: 25229650
- G3BP1, G3BP2 and CAPRIN1 are required for translation of interferon stimulated mRNAs and are targeted by a dengue virus non-coding RNA. PMID: 24992036
- These findings disclose a novel mechanism of resveratrol-induced p53 activation and resveratrol-induced apoptosis by direct targeting of G3BP1. PMID: 24998844
- G3BP1 is essential for normal stress granule-processing body interactions and stress granule function. PMID: 25847539
- these findings demonstrate a critical role for YB-1 in stress granule formation through translational activation of G3BP1, and highlight novel functions for stress granules in tumor progression. PMID: 25800057
- Stress granule components G3BP1 and G3BP2 play a proviral role early in Chikungunya virus replication. PMID: 25653451
- Authors show that the PXXP domain within G3BP1 is essential for the recruitment of PKR to stress granules, for eIF2alpha phosphorylation driven by PKR, and for nucleating stress granules of normal composition. PMID: 25520508
- Data revealed that knockdown of G3BP inhibited the migration and invasion of human lung carcinoma cells through the inhibition of Src, FAK, ERK and NF-kappaB and decreased levels of MMP-2, MMP-9 and uPA. PMID: 24157923
- Binding motifs specificity has been determined for human G3BP1 NTF2-like domain. PMID: 24324649
- G3BP1 regulation of cell proliferation in breast cancer cells, may occur via a regulatory effect on PMP22 expression. PMID: 24321297
- both G3BP1 and G3BP2 play a role in the formation of SGs in various human cells and thereby recovery from these cellular stresses. PMID: 23279204
- Data show that the nsP3/G3BP interaction also blocks stress granules (SGs) induced by other stresses than virus infection. PMID: 23087212
- These findings establish a novel function for Poly(ADP-ribose) in the formation of G3BP-induced stress granules upon genotoxic stress. PMID: 22767504
- Data indicate that assembly of large RasGAP SH3-binding protein (G3BP)-induced stress granules precedes phosphorylation of eukaryotic initiation factor 2alpha (eIF2alpha). PMID: 22833567
- MK-STYX inhibits stress granule formation independently of G3BP-1 phosphorylation at Ser149. PMID: 23163895
- arguments against G3BP1 being a genuine RasGAP-binding partner PMID: 22205990
- overexpression of the amino (N)-terminal region of G3BP, including the binding region for BART mRNA, dominant-negatively inhibits formation of the complex between endogenous G3BP and BART mRNA, and increases the expression of BART. PMID: 21665939
- interaction between IncA and G3BP1 of Hep-2 cells infected with Chlamydophila psittaci reduces c-Myc concentration PMID: 21304914
- TAR DNA-binding protein 43 (TDP-43) regulates stress granule dynamics via differential regulation of G3BP and TIA-1. PMID: 21257637
- CD24 may play a role in the inhibition of cell invasion and metastasis, and that intracellular CD24 inhibits invasiveness and metastasis through its influence on the posttranscriptional regulation of BART mRNA levels via G3BP RNase activity. PMID: 21266361
- The nuclear transport factor 2-like (NTF2-like) domain of human G3BP1 was subcloned, overexpressed in Escherichia coli and purified. PMID: 21206022
- Molecular and functional studies indicate that the interaction of G3BP1 with beta-F1 mRNA inhibits its translation at the initiation level, supporting a role for G3BP1 in the glycolytic switch that occurs in cancer. PMID: 20663914
- The kinetics of assembly of stress granules(SGs) in living cells demonstrated that Tudor-SN co-localizes with G3BP and is recruited to the same SGs in response to different stress stimuli. PMID: 20643132
- these results strongly indicate that (-)-epigallocatechin gallate suppresses lung tumorigenesis through its binding with G3BP1 PMID: 20424128
- Results illustrated a role for MK-STYX in regulating the ability of G3BP1 to integrate changes in growth-factor stimulation and environmental stress with the regulation of protein synthesis. PMID: 20180778
- The expressions of G3BP and OPN proteins have a close relationship with lymphoid metastasis and survival in esophageal squamous carcinoma patients. PMID: 17253181
- involvement of cellular protein G3BP in transcription of intermediate stage genes may regulate the transition between early and late phases of vaccinia virus replication PMID: 15471883
- G3BPs are scaffolding proteins linking signal transduction to RNA metabolism (review) PMID: 15602692
- Hepatitis C virus viral gene and proteins may regulate the presence of host cellular proteins in detergent resistant membrane PMID: 16996479
- Caprin-1/G3BP-1 complex is likely to regulate the transport and translation of mRNAs of proteins involved with synaptic plasticity in neurons PMID: 17210633
- Both G3BP1 and G3BP2 isoforms may act as negative regulators of tumor suppressor protein p53. PMID: 17297477
- The expression of G3BP and RhoC protein is closely related to the lymph node metastasis and survival in esophageal squamous carcinoma (ESC) patients. G3BP and RhoC proteins can be considered as predictors of prognosis in ESC patients. PMID: 17696235
顯示更多
收起更多
-
亞細胞定位:Cytoplasm, cytosol. Perikaryon. Cytoplasm, Stress granule. Nucleus.
-
組織特異性:Ubiquitous.
-
數據庫鏈接:
Most popular with customers
-
-
YWHAB Recombinant Monoclonal Antibody
Applications: ELISA, WB, IHC, IF, FC
Species Reactivity: Human, Mouse, Rat
-
Phospho-YAP1 (S127) Recombinant Monoclonal Antibody
Applications: ELISA, WB, IHC
Species Reactivity: Human
-
-
-
-
-















