Phospho-EIF4G1 (Ser1232) Antibody
-
中文名稱:磷酸化-EIF4G1 (Ser1232)兔多克隆抗體
-
貨號:CSB-PA987086
-
規格:¥2454
-
圖片:
-
Western blot analysis of extracts from HT29 cells untreated or treated with Anisomycin using eIF4G (phospho-Ser1231) Antibody.
-
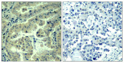
Immunohistochemical analysis of paraffin-embedded human lung carcinoma tissue using eIF4G(Phospho-Ser1232) Antibody(left) or the same antibody preincubated with blocking peptide(right).
-
-
其他:
產品詳情
-
產品名稱:Rabbit anti-Homo sapiens (Human) EIF4G1 Polyclonal antibody
-
Uniprot No.:
-
基因名:EIF4G1
-
宿主:Rabbit
-
反應種屬:Human
-
免疫原:Peptide sequence around phosphorylation site of serine 1232 (P-V-S(p)-P-L) derived from Human eIF4G.
-
免疫原種屬:Homo sapiens (Human)
-
克隆類型:Polyclonal
-
純化方式:Antibodies were produced by immunizing rabbits with synthetic phosphopeptide and KLH conjugates. Antibodies were purified by affinity-chromatography using epitope-specific phosphopeptide. Non-phospho specific antibodies were removed by chromatogramphy usi
-
濃度:It differs from different batches. Please contact us to confirm it.
-
產品提供形式:Liquid
-
應用范圍:ELISA,WB,IHC
-
推薦稀釋比:
Application Recommended Dilution WB 1:500-1:1000 IHC 1:50-1:100 -
Protocols:
-
儲存條件:Upon receipt, store at -20°C or -80°C. Avoid repeated freeze.
-
貨期:Basically, we can dispatch the products out in 1-3 working days after receiving your orders. Delivery time maybe differs from different purchasing way or location, please kindly consult your local distributors for specific delivery time.
-
用途:For Research Use Only. Not for use in diagnostic or therapeutic procedures.
相關產品
靶點詳情
-
功能:Component of the protein complex eIF4F, which is involved in the recognition of the mRNA cap, ATP-dependent unwinding of 5'-terminal secondary structure and recruitment of mRNA to the ribosome. As a member of the eIF4F complex, required for endoplasmic reticulum stress-induced ATF4 mRNA translation.
-
基因功能參考文獻:
- The polymorphism of the rs200221361 may have no association with the occurrence of Parkinson disease in Uygur and Han people of Xinjiang. PMID: 29718834
- Epstein-Barr Virus protein EB2 first is recruited to the mRNA cap structure in the nucleus and then interacts with the proteins eIF4G and PABP to enhance the initiation step of translation. PMID: 29142127
- EIF4G1 overexpression is associated with non-small cell lung cancers. PMID: 27003362
- High EIF4G expression is associated with malignant peripheral nerve sheath tumors and vestibular schwannomas. PMID: 26951381
- The study indicates that the EIF4G1 mutation is rare in Taiwan, which is consistent with other reports from Asia. Ethnicity could have a great influence on EIF4G1 in Parkinson's disease. PMID: 26490695
- the IRES of encephalomyocarditis virus (EMCV) interacts with the HEAT-1 domain of eukaryotic initiation factor 4G (eIF4G). PMID: 27525590
- EIF4G1 mutations are not related to Parkinson's disease PMID: 26022768
- VPS35 D620N and EIF4G1 R1205H mutations are not a common cause of Parkinson disease in the Greek population. PMID: 26300542
- EIF4GI shares this activity and also interacts with eIF1. PMID: 25738462
- EIF4G1 is neither a strong nor a common risk factor for Parkinson's disease: evidence from large European cohorts. PMID: 25368108
- This study therefore implicates c-Myc as a potential regulator of the cancer-promoting effects of equol via up-regulation of eIF4GI and selective initiation of translation on mRNAs that utilize non-canonical initiation, including certain oncogenes PMID: 25593313
- Knockdown of eIF4GI was deleterious to myeloma cells phenotype and expression of specific molecular targets (SMAD5/ERalpha/HIF1alpha/c-Myc). PMID: 24815186
- Its mutation is not a common cause of familial Parkinson's disease. PMID: 24854799
- in a generic cell model, new insights into the mechanisms whereby the FSH receptor controls translation have been gained. Rapamycin-sensitive eIF4G phosphorylation at the 5' cap may be a surrogate for the classical exchange between eIF4G and 4E-BP1. PMID: 24711644
- The results of this study did not identify novel or previously reported pathogenic mutations (including the p.A502V and p.R1205H mutants) within EIF4G1 in the Japanese population. PMID: 24704100
- Data suggest that, in eIF4G/eif4A complex, eIF4G1 exhibits low-affinity ATP binding site in proximity of ATP-binding cleft of eif4A enhancing ATP binding; additional enhancement of eIF4G/eif4A binding is observed in crowded/intracellular environment. PMID: 25255371
- study revealed that the EIF4G1 R1205H and VPS35 D620N mutations were absent in 418 Parkinsoin Disease patients of various South African ethnic groups PMID: 24080171
- Report EIF4G binding within the IRES domain V of the coxsackie virus B3 mutant strain. PMID: 24063684
- Its mutation causes Parkinson's disease in Indian population. PMID: 23726718
- eukaryotic initiation factor 4G (eIF4G) protein binds to eIF3c, -d, and -e to promote mRNA recruitment to the ribosome. PMID: 24092755
- EIF4G1 mutations do not appear to play a role in patients with Parkinson disease from southwest China. PMID: 23261770
- The eIF4E-binding site in eukaryotic initiation factor 4G (eIF4G) functions as an autoinhibitory domain to modulate its ability to stimulate eIF4A helicase activity. PMID: 23901100
- The data of this study indicated that in an ethnic Chinese population, the pathogenic mutation p.R1205H in EIF4G1 is not common and that EIF4G1 exonic variants rs2178403 and rs13319149 are not associated with parkinson disease. PMID: 23617574
- The results suggest that in some patients variants in EIF4G1 can be associated with pathology that has a high likelihood of association with clinical features of dementia with Lewy bodies. PMID: 23124435
- the EIF4G1 p.Ala502Val and p.Arg1205His variants are a rare cause of PD, at least in Chinese population. PMID: 23562511
- In agreement with recent reports we conclude that convincing evidence establishes EIF4G1 mutations as a rare cause of Parkinson's disease PMID: 23490116
- eIF4GI participates in the miRNA-mediated post-transcriptional gene silencing by promoting the association of Ago2 with the cap-binding complex. PMID: 23409027
- EIF4G1 is an uncommon cause of PD in our Asian cohort. PMID: 23092605
- There is no evidence for an overall contribution of genetic variability in EIF4G1 (or VPS35) to Parkinson disease development in this large family. PMID: 23408866
- Results provide a mechanistic link between intracellular signal transduction and dynamic initiation complex formation coordinated by flexible eIF4G structure. PMID: 23263986
- Data show that eIF4G interacts with the RRM2 domain of polyadenylate-binding protein-1 (PABP). PMID: 23041282
- Increased expression of eIF4G1 therefore promotes specialized translation of survival, growth arrest, and DDR mRNAs that are important in cell survival and DNA repair following genotoxic DNA damage. PMID: 23112151
- EIF4G1 cDNAs, encoding different isoforms which arise through selection of alternative initiation codons, rescued translation from siRNA interference to different extents PMID: 22909319
- analysis of variants of eukaryotic translation initiation factor 4G1 in sporadic Parkinson\'s disease PMID: 22707335
- These data do not support the pathogenicity of several EIF4G1 variants in PD, at least in the French population. PMID: 22658323
- linkage analysis, mutations in EIF4G1 were implicated as a cause of Parkinson disease and mutations in SLC20A2 as a cause of familial idiopathic basal ganglia calcification. PMID: 22772876
- Found that either EIF4G1 variants are an extremely rare cause of familial Parkinson's Disease in Caucasian cohorts, or that A502V is in fact a rare benign variant not involved in Parkinson's Disease aetiology PMID: 22561553
- This finding demonstrates that viruses can increase host translation initiation factor concentration to foster their replication and defines a unique mechanism whereby control of PABP abundance regulates eIF4F assembly. PMID: 22431630
- The ssDNA-binding protein of Vaccinia virus, I3 interacts and co-localizes with the eIF4F scaffold protein, eIF4G inInfected cells. PMID: 22280895
- EIF4G1 mutations implicate mRNA translation initiation in familial parkinsonism. PMID: 21907011
- Data show that PKCalpha activation elicits a cascade of orchestrated phosphorylation events that may modulate eIF4G1 structure and control interaction with the eIF4E kinase, Mnk1. PMID: 21576361
- EIF4G1 can serve as a biomarker for the prognosis of nasopharyngeal carcinoma patients. PMID: 20398343
- HIV- 1 protease inhibits Cap- and poly(A)-dependent translation upon eIF4GI and PABP cleavage PMID: 19956697
- findings assign NAD(P)H quinone-oxydoreductase 1 an original role in the regulation of mRNA translation via the control of eIF4GI stability by the proteasome. PMID: 20028737
- mass spectrometric analysis of N terminus reveals novel isoforms PMID: 11821405
- demonstrate that the expression of the amino-terminal one-third of eIF4G, which interacts with eIF4E and PABP, in Xenopus oocyte inhibits translation and progesterone-induced maturation PMID: 11866104
- data suggest that expression of the eIF4GI isoforms is partly controlled by a complex translation strategy involving both cap-dependent and cap-independent mechanisms PMID: 12052860
- X-ray structure of rotavirus NSP3-C bound to the 30 residue fragment of eIF4G that is also recognized by poly(A) binding protein (PABP) PMID: 12086624
- proteolytic activity of HIV-1 protease on eIF4GI and eIF4GII and its implications for the translation of mRNAs PMID: 12505164
- Overexpression of EIF4G1 causes aberrant cell morphology and results in disruption of the localization of F-actin and the organization of microtubules. PMID: 12581158
顯示更多
收起更多
-
相關疾病:Parkinson disease 18 (PARK18)
-
亞細胞定位:Cytoplasm, Stress granule.
-
蛋白家族:Eukaryotic initiation factor 4G family
-
數據庫鏈接:
Most popular with customers
-
-
YWHAB Recombinant Monoclonal Antibody
Applications: ELISA, WB, IHC, IF, FC
Species Reactivity: Human, Mouse, Rat
-
Phospho-YAP1 (S127) Recombinant Monoclonal Antibody
Applications: ELISA, WB, IHC
Species Reactivity: Human
-
-
-
-
-















