Phospho-DOK1 (Tyr398) Antibody
-
中文名稱:磷酸化-DOK1 (Tyr398)兔多克隆抗體
-
貨號:CSB-PA116542
-
規格:¥2454
-
圖片:
-
Western blot analysis of extracts from K562 cells untreated or treated with H2O2 using p62Dok(phospho-Tyr398) Antibody.
-
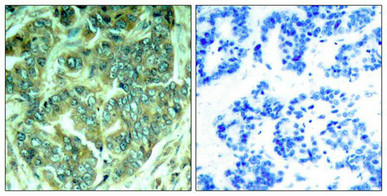
Immunohistochemical analysis of paraffin-embedded human breast carcinoma tissue using p62Dok(Phospho-Tyr398) Antibody(left) or the same antibody preincubated with blocking peptide(right).
-
-
其他:
產品詳情
-
產品名稱:Rabbit anti-Homo sapiens (Human) DOK1 Polyclonal antibody
-
Uniprot No.:
-
基因名:DOK1
-
宿主:Rabbit
-
反應種屬:Human,Mouse,Rat
-
免疫原:Peptide sequence around phosphorylation site of tyrosine 398 (E-G-Y(p)-E-L) derived from Human p62Dok.
-
免疫原種屬:Homo sapiens (Human)
-
克隆類型:Polyclonal
-
純化方式:Antibodies were produced by immunizing rabbits with synthetic phosphopeptide and KLH conjugates. Antibodies were purified by affinity-chromatography using epitope-specific phosphopeptide. Non-phospho specific antibodies were removed by chromatogramphy usi
-
濃度:It differs from different batches. Please contact us to confirm it.
-
產品提供形式:Liquid
-
應用范圍:ELISA,WB,IHC
-
推薦稀釋比:
Application Recommended Dilution WB 1:500-1:1000 IHC 1:50-1:100 -
Protocols:
-
儲存條件:Upon receipt, store at -20°C or -80°C. Avoid repeated freeze.
-
貨期:Basically, we can dispatch the products out in 1-3 working days after receiving your orders. Delivery time maybe differs from different purchasing way or location, please kindly consult your local distributors for specific delivery time.
-
用途:For Research Use Only. Not for use in diagnostic or therapeutic procedures.
相關產品
靶點詳情
-
功能:DOK proteins are enzymatically inert adaptor or scaffolding proteins. They provide a docking platform for the assembly of multimolecular signaling complexes. DOK1 appears to be a negative regulator of the insulin signaling pathway. Modulates integrin activation by competing with talin for the same binding site on ITGB3.
-
基因功能參考文獻:
- Taken together, these results indicate that ATRA-enhanced expression of DOK1 activates PPARgamma leading to inhibition of cell proliferation and enhancement of cell apoptosis in MCF-7 cell. PMID: 28396148
- DOK1 was identified as a prognostic factor for non-metastatic CRC, and, via its drugability by PPARgamma-agonist, may constitute a potential target for future cancer treatments. PMID: 27428427
- DOK3 expression was not altered much in HTLV-1-infected T cells. PMID: 27265473
- Results indicate that hypermethylation of tumor suppressor protein RASSF1A and docking protein 1 (DOK1) contributes to hepatocarcinogenesis and is associated to clinicopathological characteristics. PMID: 27078152
- Data show that residues Ser745 and Ser756 in the integrin beta2 tail, which are adjacent to the NxxF motif, are required for docking protein 1, docking protein 1, 62kDa (downstream of tyrosine kinase 1) (Dok1) interaction. PMID: 26108885
- results support a model in which Dok1 phosphorylation normally suppresses localized Ras pathway activity in Crk-transformed cells via recruitment and/or activation of RasGAP PMID: 25043303
- Data implicate existence of alternate conformational states around the ligand binding pocket of the PTB domain of phosphoprotien Dok1 either in the native or in the near native conditions. PMID: 24587391
- Deregulation of DOK1 gene expression by EBV and novel insights into the regulation of the DOK1 tumor suppressor in viral-related carcinogenesis. PMID: 24809689
- point mutations in DOK1 and DOK2 genes are detected with low frequency in chronic myelomonocytic leukemia but may have consequences for the function of the DOK2 PTB domain PMID: 25252871
- A crucial role for DOK1 in the regulation of PDGF-BB-mediated tumour cell motility through a p130Cas-Rap1 signalling pathway. PMID: 24762811
- Taken together, these results reveal that Dok1 and Dok2 proteins are involved in an intrinsic negative feedback loop downstream of natural killer-cell-activating receptors in mouse and human. PMID: 24963146
- BRK has a role in targeting Dok1 for ubiquitin-mediated proteasomal degradation and in promoting cell proliferation and migration PMID: 24523872
- The unique N-terminal region of SRMS regulates enzymatic activity and phosphorylation of its novel substrate docking protein 1. PMID: 23822091
- DNA methylation of the DOK1 core promoter region found in head and neck cancer cell lines hampered the recruitment of E2F1 to the DOK1 promoter and compromised DOK1 expression. PMID: 23028047
- Studies demonstrate DOK-1 regulates allergen-induced Th2 immune responses by selective stimulation and inhibition of STAT-4 and STAT-6 signaling pathways, respectively. PMID: 22514638
- hypermethylation of DOK1 is a potentially critical event in human carcinogenesis. PMID: 21796618
- These findings are suggestive for a possible tumor suppressor role of DOK1 in epithelial ovarian cancer. PMID: 21856257
- Cav1 cooperated with the endogenous Ras/MAPK inhibitor docking protein 1 (Dok1) to promote the ligand-dependent transcriptional activity of PPARgamma and to inhibit cell proliferation PMID: 21690289
- these data support a model in which proteasome- mediated degradation of Dok-1 is an important contributive step toward tumor development and/or progression driven by OTKs PMID: 21536658
- Dok1 negatively regulates Dok2-mediated CD200R signaling through the recruitment of CrkL. PMID: 21078907
- Identification of DOK genes as lung tumor suppressors. PMID: 20139980
- The novel platelet adapter Dok-1 is tyrosine phosphorylated in an Src kinase-independent manner downstream of alphaIIbbeta3 in human platelets, leading to an interaction with Grb2 and SHIP-1. PMID: 19682241
- Phosphatidylinositol 3-kinase and Src family kinases are required for phosphorylation and membrane recruitment of Dok-1 in c-Kit signaling. PMID: 11825908
- Dok-1 acts as an adaptor protein that links the activin receptors with the Smads, suggesting a novel function for Dok-1 in activin signaling leading to B-cell apoptosis. PMID: 11927552
- DOK1 and DOK2 interact with the Tec protein tyrosine kinase. PMID: 14647425
- Dok-1 plays an important role in SDF-1alpha/CXCL12-induced chemotaxis in T cells. PMID: 15345598
- This result indicates that germline mutations in Dok1 are unlikely to cause an inherited predisposition to CLL. PMID: 15541476
- DOK1 mediates SHP-2/beta3 association in response to IGF-I thereby mediating the effect of integrin ligand occupancy on IGF-IR-linked signaling in smooth muscle cells. PMID: 15546884
- IKKbeta phosphorylates Dok1 S(439)S(443) and S(446)S(450) after TNF-alpha, IL-1, or gamma-radiation and implicate the critical Dok1 serines in Dok1 effects after tyrosine kinase activation PMID: 15574499
- Phosphotyrosine-binding mediated oligomerization of Dok-1 and Dok-2 represents an essential step for Dok phosphorylation and function. PMID: 16177091
- Data show that Dok1 expression and structure are affected in a subset of Burkitt's lymphoma samples, suggesting its possible role in this type of cancer. PMID: 16338067
- These data suggest a mechanistic basis for the inhibitory effect of Dok-1 on growth factor-induced mitogenesis and its role as a tumor suppressor. PMID: 16537894
- The data provide evidence that DOK1 protein has a role in regulating cell proliferation and differentiation and is positive regulators of the MAPK signaling pathway in this context. PMID: 16823827
- results demonstrate differential modes of regulation of Dok1 and Dok2 in platelets, and raise the possibility that Dok2 plays an important role in integrin outside-in signaling through a physical and functional interaction with integrin alphaIIbbeta3 PMID: 17092301
- Upon phosphorylation of Tyr 747 in the beta3 integrin tail, however, Dok1 then binds much more strongly than talin. PMID: 18156175
- These results suggest that engagement of different adaptor proteins by Ret results in very different downstream signaling and functions within neurons and that Dok recruitment leads to a rapid receptor relocation and formation of microspikes. PMID: 18353552
- Dok-1/Dok-2 pleckstrin homology domains bind in vitro to the rare phosphoinositide species, phosphatidylinositol 5-phosphate PMID: 19299694
- CD45 recruits adaptor DOK-1 to the proximal plasma membrane to serve as a downstream effector, resulting in negative regulation of the JAK/STAT signaling pathway. PMID: 19481264
- Results identified an N-terminally truncated isoform of human Dok-1 with N-terminal acetylation as seen in the wild-type. PMID: 19481542
顯示更多
收起更多
-
亞細胞定位:[Isoform 1]: Cytoplasm. Nucleus.; [Isoform 3]: Cytoplasm, perinuclear region.
-
蛋白家族:DOK family, Type A subfamily
-
組織特異性:Expressed in pancreas, heart, leukocyte and spleen. Expressed in both resting and activated peripheral blood T-cells. Expressed in breast cancer.
-
數據庫鏈接:
Most popular with customers
-
-
YWHAB Recombinant Monoclonal Antibody
Applications: ELISA, WB, IHC, IF, FC
Species Reactivity: Human, Mouse, Rat
-
-
-
-
-
-















