Phospho-CREB1 (Ser129) Antibody
-
中文名稱:磷酸化-CREB1 (Ser129)兔多克隆抗體
-
貨號:CSB-PA122114
-
規格:¥2454
-
圖片:
-
Western blot analysis of extracts from 293 cells untreated(lane 1) or treated with UV(lane 2) using CREB(Phospho-Ser129) Antibody.
-
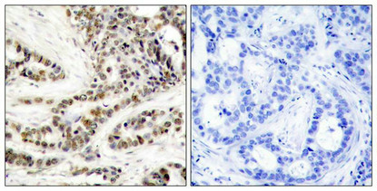
Immunohistochemical analysis of paraffin-embedded human breast carcinoma tissue using CREB(Phospho-Ser129) Antibody(left) or the same antibody preincubated with blocking peptide(right).
-
-
其他:
產品詳情
-
產品名稱:Rabbit anti-Homo sapiens (Human) CREB1 Polyclonal antibody
-
Uniprot No.:
-
基因名:
-
宿主:Rabbit
-
反應種屬:Human,Mouse,Rat
-
免疫原:Peptide sequence around phosphorylation site of serine 129 (I-L-S(p)-R-R) derived from Human CREB.
-
免疫原種屬:Homo sapiens (Human)
-
克隆類型:Polyclonal
-
純化方式:Antibodies were produced by immunizing rabbits with synthetic phosphopeptide and KLH conjugates. Antibodies were purified by affinity-chromatography using epitope-specific phosphopeptide. Non-phospho specific antibodies were removed by chromatogramphy usi
-
濃度:It differs from different batches. Please contact us to confirm it.
-
產品提供形式:Liquid
-
應用范圍:ELISA,WB,IHC
-
推薦稀釋比:
Application Recommended Dilution WB 1:500-1:1000 IHC 1:50-1:100 -
Protocols:
-
儲存條件:Upon receipt, store at -20°C or -80°C. Avoid repeated freeze.
-
貨期:Basically, we can dispatch the products out in 1-3 working days after receiving your orders. Delivery time maybe differs from different purchasing way or location, please kindly consult your local distributors for specific delivery time.
-
用途:For Research Use Only. Not for use in diagnostic or therapeutic procedures.
相關產品
靶點詳情
-
功能:Phosphorylation-dependent transcription factor that stimulates transcription upon binding to the DNA cAMP response element (CRE), a sequence present in many viral and cellular promoters. Transcription activation is enhanced by the TORC coactivators which act independently of Ser-119 phosphorylation. Involved in different cellular processes including the synchronization of circadian rhythmicity and the differentiation of adipose cells.
-
基因功能參考文獻:
- findings illustrate the significance of CREB-KDM4B-STAT3 signaling cascade in DNA damage response, and highlight that KDM4B may potentially be a novel oncotarget for colorectal cancer radiotherapy. PMID: 29633065
- CacyBP expression is regulated by E2F1, EGR1, and CREB transcription factors in colorectal cancer HCT116 cells. PMID: 29197151
- ethanol-induced eIF2alpha phosphorylation stimulates COX-2 expression and PGE2 production which induces the BACE1 expression and Abeta production via EP-2 receptor-dependent PKA/CREB pathway. PMID: 28668332
- Creb1/Crtc1-3 and Sec14l3 could be important for early responses of the bronchial epithelium to Th2-stimuli. PMID: 28383034
- CREB1 overexpression rescued the effects on gastric cancer cell growth induced by miR-1297. PMID: 29870889
- Results suggest that low nuclear cyclic AMP responsive element binding protein (pCREB) expression in the primary lesion is significant risk factor for metastatic melanoma. PMID: 29179997
- Via activation of cAMP/PKA/CREB pathway and upregulation of the downstream FtMt expression. PMID: 30069985
- The mechanism of prostaglandin E2-induced transcriptional up-regulation of Oncostatin-M by CREB and Sp1 has been described. PMID: 29269396
- The findings suggest that activation of TGR5 promoted mitochondrial biogenesis in endothelial cells, which is mediated by the CREB/PGC-1a signaling pathway. PMID: 29709472
- High CREB expression is associated with esophageal squamous cell carcinoma. PMID: 29286131
- CREB1 may activate the transcription of wtBRAF through directly binding to its promoter, increasing BRAF expression and regulating the cell proliferation, migration and invasion of endometriosis. PMID: 29286077
- to explore genetic variations in CREB1 promoter region and determine whether these loci affect transcriptional activity and risk on type 2 diabetes (T2D). Three polymorphisms were identified and designated as MU1, MU2 and MU3, respectively. Genotypic distribution analysis revealed that MU1 genotypes presented similar distribution between T2D and healthy controls (P>0.05) PMID: 29729382
- experiments mainly reveal that the CREB1 could affect glucose transport in glioma cells by regulating the expression of GLUT1, which controlled the metabolism of glioma and affected the progression of glioma. PMID: 28646353
- These data highlight a novel arrestin-mediated modulation of CREB signalling, suggesting a reciprocal relationship between arrestin2 and arrestin3, wherein recruitment of arrestin3 restricts the ability of beta2AR to activate prolonged CREB phosphorylation by precluding recruitment of an arrestin2/Src/p38 complex. PMID: 28733084
- The authors conclude that taurodeoxycholic acid-induced DNA damage may depend on the activation of TGR5, CREB and NOX5-S. It is possible that in Barrett's patients bile acids may activate NOX5-S and increase reactive oxygen species (ROS) production via activation of TGR5 and CREB. NOX5-S-derived ROS may cause DNA damage, thereby contributing to the progression from Barrett's esophagus to esophageal adenocarcinoma. PMID: 27511066
- The mechanism of CBP-CREB association via their pKID/KIX domains studied by molecular dynamics free energy simulations has been reported. PMID: 27054660
- Results indicate CREB1 as a critical transcription factor of RRM2 which promotes tumor aggressiveness, and imply a significant correlation between CREB1 and RRM2 in CRC specimens. PMID: 27801665
- Study suggest that both p300 and CREB are required for the function integrity of HIF-1alpha transcription machinery and subsequent angiogenesis, suggesting future studies to improve burn wound healing might be directed to optimization of the interaction between p300, CREB and HIF-1alpha. PMID: 27808477
- These findings suggest that CREB1 may be a potential therapeutic target for the treatment of gastric cancer PMID: 28498439
- YAP/ TAZ pathways contribute to the proliferation/quiescence switch during colon cancer 5FU treatment according to the concerted regulation of Cyclin E1 and CREB PMID: 27527859
- Data demonstrate that CREB is downregulated in glioma cells and is a direct target of miR-433-3p. These findings indicate that CREB subsequently directly or indirectly modulates its target genes to control the cell growth and metastasis in glioma. PMID: 27926502
- these studies demonstrate that transcription factors CREB and c-Myc maintain the transcriptional activity of STING PMID: 27835584
- GRK3 is a new critical activator of neuroendocrine phenotypes and mediator of CREB activation in promoting neuroendocrine differentiation of prostate cancer cells. PMID: 27191986
- miR-150 is a novel Wnt effector that may significantly enhance epithelial-mesenchymal transition of colorectal cancer cells by targeting the CREB signaling pathway PMID: 27285761
- fMRI and genotyping data from a large human sample, together with previous evidence, support the view that CREB1-associated mechanisms modulate brain function and behavior during reward-based decision-making. PMID: 26045569
- Knockdown of either HIF-1 or CREB or both in hypoxia reduced the expression of hypoxia-response elements- and CRE-mediated gene expression, diminished cell proliferation and increased caspase-3 activity. PMID: 27934882
- MnTE-2-PyP decreased p300 complex binding to a specific HRE motif within the PAI-1 gene promoter region, suppressed H3K9 acetylation, and consequently, repressed PAI-1 expression. Mechanistically, less p300 transcriptional complex binding is not due to the reduction of binding between p300 and HIF-1/CREB transcription factors, but through inhibiting the binding of HIF-1/CREB transcription factors to DNA PMID: 26944191
- Inhibition of CaN attenuated the hTau-induced CREB dephosphorylation with improved synapse and memory functions. PMID: 27298345
- Via blocking the hypoxia-mediated reduction in CREB phosphorylation. PMID: 28254846
- The study adds evidence that CREB, a tumor oncogene, promotes renal cell carcinoma proliferation. It probably achieves this by increasing SKA2 expression PMID: 26824422
- cigarette smoke extracts activate the PKA, CREB, and IL-13Ralpha2 axis in lung endothelial cells. PMID: 27986643
- This study showed that the induction level of IL-32 was increased in chronic rhinosinusitis with nasal polyps compared to normal nasal mucosa and that LPS-induced IL-32 expression in nasal polyp-derived fibroblasts was regulated via the TLR4/JNK/AKT/CREB signaling pathway. PMID: 27173130
- Studies indicate that the small molecule ICG-001 selectively blocks the cAMP response element-binding (CREB) protein (CBP)/beta-catenin or gamma-catenin interaction. PMID: 28479420
- Study indicates that BPA increases phosphorylated CREB in MCF-7 Cells as well as it binding to SOX2 enhancer. PMID: 28244015
- study concludes that miR-132 regulated SIRT1/CREB/ABCG2 signaling pathway contributing to the cisplatin resistance and might serve as a novel therapeutic target against gastric cancer PMID: 28383763
- Leptin also significantly increased cAMP levels, cAMP response element (CRE) activation, and CREB phosphorylation. PMID: 28571770
- these data show the existence of functional CREB and C/EBP binding sites in the human RIC8B gene promoter, a particular distribution of these sites and demonstrate a relevant role of CREB in stimulating transcriptional activity of this gene. PMID: 26729411
- MALAT1 knockdown reduces reactive gliosis, Muller cell activation, and RGC survival in vivo and in vitro MALAT1-CREB binding maintains CREB phosphorylation by inhibiting PP2A-mediated dephosphorylation, which leads to continuous CREB signaling activation. PMID: 26964565
- aberrant activation of CREB-C/EBPdelta axis concurring to AML onset by disrupting the myeloid cell differentiation process PMID: 27118402
- miR-27b-3p levels were found to be significantly negatively correlated with both NR5A2 and CREB1 levels in breast cancer tissues. PMID: 27809310
- Interactions between GNB3, CREB1 and negative life events were revealed. Further evidence is provided about the role of the environment in genetic vulnerability to major depression. PMID: 28225778
- Our study establishes a robust human stem cell-based platform for consistent quantitative evaluation of genotype-dependent Rett syndrome (RTT) phenotypes at the cellular level. PMID: 28270572
- UCA1 promotes cisplatin/gemcitabine resistance in bladder cancer cells through CREB modulation of miR-196a-5p expression. PMID: 27591936
- Report a distinct group of myxoid mesenchymal neoplasms occurring in children or young adults with a predilection for intracranial locations with EWSR1-AFT1/CREB1/CREM fusions. PMID: 28009602
- CREB1/FoxA1 signaling is a targetable driver of prostate cancer progression and serves as a biomarker of poor clinical outcomes. PMID: 26743006
- These results suggest that the HIPK2-phospho-Ser271 CREB axis is a new arsenic-responsive CREB activation mechanism in parallel with the PKA-phospho-Ser133 CREB axis. PMID: 27884605
- There were decreased levels of Gsa, FOXF1, CREB1, and phosphorylated CREB1 proteins in intestinal muscle layers of patients with chronic intestinal pseudo-obstruction, compared with tissues from controls. PMID: 28043906
- Regulatory elements for both IRF-1 (-1019 to -1016) and CREB (-1198 to -1195), specific to the distal THBS1 promoter, were required for leptin-induced TSP-1 transcription. PMID: 27281481
- The results suggest that Sirt2 plays a crucial role in neuronal differentiation via the ERK-CREB signaling pathway. PMID: 27838300
- revealed more than 170 NFAT-associated proteins, half of which are involved in transcriptional regulation. Among them are many hitherto unknown interaction partners of NFATc1 and NFATc2 in T cells, such as Raptor, CHEK1, CREB1, RUNX1, SATB1, Ikaros, and Helios. PMID: 27637333
顯示更多
收起更多
-
相關疾病:Angiomatoid fibrous histiocytoma (AFH)
-
亞細胞定位:Nucleus.
-
蛋白家族:BZIP family
-
數據庫鏈接:
Most popular with customers
-
-
YWHAB Recombinant Monoclonal Antibody
Applications: ELISA, WB, IHC, IF, FC
Species Reactivity: Human, Mouse, Rat
-
Phospho-YAP1 (S127) Recombinant Monoclonal Antibody
Applications: ELISA, WB, IHC
Species Reactivity: Human
-
-
-
-
-















