Phospho-CBL (Tyr700) Antibody
-
中文名稱:磷酸化-CBL (Tyr700)兔多克隆抗體
-
貨號:CSB-PA205538
-
規格:¥2454
-
圖片:
-
Western blot analysis of extracts from HT29 cells untreated or treated with UV using c-Cbl(phospho-Tyr700) Antibody.
-
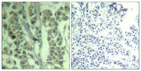
Immunohistochemical analysis of paraffin-embedded human breast carcinoma tissue using c-Cbl(Phospho-Tyr700) Antibody(left) or the same antibody preincubated with blocking peptide(right).
-
Immunofluorescence staining of methanol-fixed Hela cells using c-Cbl(phospho-Tyr700) Antibody.
-
-
其他:
產品詳情
-
產品名稱:Rabbit anti-Homo sapiens (Human) CBL Polyclonal antibody
-
Uniprot No.:
-
基因名:
-
宿主:Rabbit
-
反應種屬:Human
-
免疫原:Peptide sequence around phosphorylation site of tyrosine 770 (T-E-Y(p)-M-T) derived from Human c-Cbl.
-
免疫原種屬:Homo sapiens (Human)
-
克隆類型:Polyclonal
-
純化方式:Antibodies were produced by immunizing rabbits with synthetic phosphopeptide and KLH conjugates. Antibodies were purified by affinity-chromatography using epitope-specific phosphopeptide. Non-phospho specific antibodies were removed by chromatogramphy usi
-
濃度:It differs from different batches. Please contact us to confirm it.
-
產品提供形式:Liquid
-
應用范圍:ELISA,WB,IHC,IF
-
推薦稀釋比:
Application Recommended Dilution WB 1:500-1:1000 IHC 1:50-1:100 IF 1:100-1:200 -
Protocols:
-
儲存條件:Upon receipt, store at -20°C or -80°C. Avoid repeated freeze.
-
貨期:Basically, we can dispatch the products out in 1-3 working days after receiving your orders. Delivery time maybe differs from different purchasing way or location, please kindly consult your local distributors for specific delivery time.
-
用途:For Research Use Only. Not for use in diagnostic or therapeutic procedures.
相關產品
靶點詳情
-
功能:Adapter protein that functions as a negative regulator of many signaling pathways that are triggered by activation of cell surface receptors. Acts as an E3 ubiquitin-protein ligase, which accepts ubiquitin from specific E2 ubiquitin-conjugating enzymes, and then transfers it to substrates promoting their degradation by the proteasome. Ubiquitinates SPRY2. Ubiquitinates EGFR. Recognizes activated receptor tyrosine kinases, including KIT, FLT1, FGFR1, FGFR2, PDGFRA, PDGFRB, CSF1R, EPHA8 and KDR and terminates signaling. Recognizes membrane-bound HCK, SRC and other kinases of the SRC family and mediates their ubiquitination and degradation. Participates in signal transduction in hematopoietic cells. Plays an important role in the regulation of osteoblast differentiation and apoptosis. Essential for osteoclastic bone resorption. The 'Tyr-731' phosphorylated form induces the activation and recruitment of phosphatidylinositol 3-kinase to the cell membrane in a signaling pathway that is critical for osteoclast function. May be functionally coupled with the E2 ubiquitin-protein ligase UB2D3. In association with CBLB, required for proper feedback inhibition of ciliary platelet-derived growth factor receptor-alpha (PDGFRA) signaling pathway via ubiquitination and internalization of PDGFRA.
-
基因功能參考文獻:
- Authors observed that delta-catenin plays a key role in EGFR stability and downstream signaling. delta-Catenin competes with c-Cbl for EGFR binding, which results in a reduction of binding between c-Cbl and EGFR and thus decreases the ubiquitination of EGFR. PMID: 29629558
- its mutation is genetic predictor of tumor reduction in glucocorticoid-treated patients with chronic myelomonocytic leukemia. PMID: 29600428
- c-CBL might play a role in the pathogenesis of inflammatory dermatoses and cutaneous T-cell lymphoma PMID: 27805921
- Two germline de novo mutations in CBL were identified in patients with infancy-onset severe Moyamoya angiopathy who also presented subtle signs of RASopathy. PMID: 28343148
- Patients harbouring ASXL1 and/or CBL mutations (n = 8, 8 deaths, median OS = 11 months) had a significantly worse OS as compared to those without either mutation (n = 11, 4 deaths, median OS = 84 months) (P = 0.0002) (Fig 1a). PMID: 26628266
- the loss of c-Cbl activity significantly enhanced nuclear beta-catenin and colorectal cancer tumor growth in cell culture and a mouse xenograft model. PMID: 27661103
- we have shown that c-CBL plays a supportive role in the proliferation, migration and invasion of human melanoma cells. PMID: 27472394
- Findings show for this first time that ATG9A loss in trastuzumab resistant cells allowed Her2 to escape from lysosomal targeted degradation through K63 poly-ubiquitination via c-Cbl. PMID: 27050377
- c-Cbl negatively regulates IFN-beta signaling and cellular antiviral response by promoting IRF3 ubiquitination and degradation. PMID: 27503123
- These results suggest MET overexpression is related to altered c-CBL expression in head and neck squamous cell carcinoma, which may influence tumorigenesis PMID: 27244893
- This study identified a new regulatory axis in which miR-124-3p and CBL regulate the proliferation and invasion of breast cancer cells. PMID: 27842510
- The viral entry receptor Nectin-1 is also internalized during HSV-1 infection in a Cbl-dependent mechanism, and that increases the opportunity of the virus to spread to uninfected cells. PMID: 28381567
- mutant CBL proteins effectively compete with the remaining wild type CBL-B and juxtapose tyrosine kinase-binding domain-associated protein tyrosine kinases with proline-rich region-associated signaling proteins to hyper-activate signaling downstream of hematopoietic growth factor receptors PMID: 28082680
- we report that two JMML patients survived >20 years without HSCT and both patients had uniparental disomy of 11q23 where CBL is located without the phenomenon found in neither Noonan syndrome nor Noonan syndrome-like disorder. We think that some JMML patients with CBL mutation might show the good prognosis in later life after remission of JMML. PMID: 26911351
- we found that CQ decreased the expression of Cbl, an E3 ligase of DR5, and knock-down of Cbl markedly enhanced DR5 up-regulation. Other lysosomal inhibitors, including monensin and nigericin, also up-regulated DR5 and sensitized TRAIL-mediated apoptosis PMID: 26964637
- miR-513a-5p, miR-22-3p and miR-625-5p may have an impact on the regulation of the immune response and inflammatory cytokine pathways through the regulation of their target gene(s), CBL, PPARGC1B and ESR1, which may then lead to a dust mite-induced asthma attack PMID: 27277384
- Data suggest that the combination of peritumoral Cbl and EGFR serves as a much stronger indicator to make an accurate prognosis, especially during early recurrence. PMID: 26474280
- H19 non coding RNA-derived miR-675 enhances tumorigenesis and metastasis of breast cancer cells by downregulating c-Cbl and Cbl-b. PMID: 26353930
- By up-regulating the expression of c-Cbl and Cbl-b, which leads to inhibition of PI3K/Akt signaling and down-regulation of P-gp expression, beta-elemene is capable of enhancing the efficacy of doxorubicin in leukemia and gastric cancer cells. PMID: 23665906
- Genotype-phenotype correlation analysis performed on available records indicated that germline CBL mutations cause a variable phenotype characterized by a relatively high frequency of neurological features, predisposition to diseases. PMID: 25952305
- The result indicated that TMZ may overcome TRAIL resistance in GSCs by suppressing c-FLIP expression through c-Cbl-mediated ubiquitination and degradation PMID: 26142735
- Overexpression of Smad7 in human HaCaT keratinocyte cells and mouse skin tissues elevated EGF receptor (EGFR) activity by impairing ligand-induced ubiquitination and degradation of activated receptor, which is induced by the E3 ubiquitin ligase c-Cbl. PMID: 26055326
- Here we report on three unrelated patients with CBL mutations manifesting with hydrops fetalis, fetal pleural effusions and/or congenital hydro-/chylothorax. Our findings further connect the CBL syndrome with the RASopathies. PMID: 25358541
- These results suggest that dysregulation of ubiquitination is a key mechanism of EGFR hyperactivation in PDAC and that low CBL may define PDAC tumors likely to respond to erlotinib treatment. PMID: 25348515
- The penetrance of the CBL Y371C mutation was 30% for JMML and 40% for all leukemia. PMID: 25939664
- novel mechanism for the regulation of active nuclear beta-catenin by c-Cbl and its critical role in angiogenesis. PMID: 25784557
- Erbin promotes tumourigenesis and tumour growth in colorectal cancer by stabilizing epidermal growth factor receptor PMID: 25521828
- RASopathy-associated CBL germline mutations cause aberrant ubiquitylation and trafficking of EGFR. PMID: 25178484
- Cbl negatively regulates EPO signaling mainly through the proteasome-dependent degradation of Src, and the E3 ligase activity of Cbl and its tyrosine phosphorylation are regulated by Src but not Jak2. PMID: 25084697
- c-CBL E3 ubiquitin ligase is upregulated in cutaneous T-cell lymphoma. PMID: 25140833
- molecular or pharmacologic inhibition of the Lyn-PI3K/AKT pathway, markedly increased the sensitivity of the otherwise chemoresistant Cbl mutant-JMML cells to chemotherapeutic agents currently used in the treatment of JMML patients PMID: 24469048
- Germline mutation of CBL is associated with moyamoya disease in a child with juvenile myelomonocytic leukemia and Noonan syndrome-like disorder. PMID: 25283271
- over time with physiological levels of receptor phosphorylation, cell surface receptors produced either enhanced or sustained mitogen-activated protein kinase kinase (MEK), Casitas B-lineage lymphoma (c-Cbl), and the pro-oncogene Src activity PMID: 25074934
- c-Cbl negatively regulates alphaPix-mediated cell migration and invasion; the lack of c-Cbl in C6 and A172 glioma cells is responsible for their malignant behavior PMID: 25450678
- We demonstrate for the first time a significant decrease in c-Cbl mRNA levels in the prefrontal cortex of suicide subjects indicating the possible role of c-Cbl in the pathophysiology of suicidal behavior. PMID: 24845182
- Data indicate that suppression of c-Cbl protein by rho guanine nucleotide exchange factor 7 (Cool-1) may be critical for generation of at least a subset of glioblastoma (GBM). PMID: 24458840
- Copy neutral loss of heterozygosity for the CBL mutation. PMID: 24458550
- Our findings suggest that c-Cbl deregulation is a recurrent event that could be playing a role in the acquisition of invasiveness properties of colorectal cancer cells PMID: 24525700
- c-Cbl regulates MICA- but not ULBP2-induced NKG2D down-modulation in human NK cells. PMID: 24846123
- Mechanistic model of EGFR endocytosis to determine the relative contributions of three parallel pathways of MIG6, ubiquitin ligase CBL and Sprouty2. PMID: 24445374
- Low cbl-c expression is associated with breast neoplasms. PMID: 24466333
- The data indicates that genetic alteration of RING finger domain coding region of c-Cbl gene is relatively infrequent in oral squamous cell carcinoma samples. PMID: 23621189
- A PKC-SHP1 signaling axis desensitizes Fcgamma receptor signaling by reducing the tyrosine phosphorylation of CBL and regulates FcgammaR mediated phagocytosis. PMID: 24886428
- The results suggest that proteins, post-translational modifications or mutations that alter structural flexibility of the TKB domain of Cbl-family proteins could regulate their binding to target phosphoproteins and thereby, affect PTK-mediated signalling. PMID: 22888118
- c-Cbl activation promotes myocyte apoptosis, inhibits angiogenesis, and causes adverse cardiac remodeling after myocardial infarction. PMID: 24583314
- LOH of the mutated CBL allele can be absent in children with bona fide JMML and CBL mutations PMID: 23823657
- Data suggest that EPHA2 (ephrin type-A receptor 2) regulates polyubiquitination via proto-oncogene protein c-CBL, phosphorylation of clathrin, integrin signal transduction, and endocytosis of Kaposi sarcoma-associated herpesvirus into fibroblasts. PMID: 23874206
- CBL(mut) are frequent in chronic myelomonocytic leukemia. PMID: 22733026
- The expression of Cbl-b gene in MM patients (median: 0.714%) also dropped significantly. PMID: 23948411
- This study also showed that ubiquitin ligase proteins Cbl-b and c-Cbl might be involved in IL-2-induced Jurkat T-cell activation by negatively regulating the MAPK/ERK signaling pathway. PMID: 23586039
顯示更多
收起更多
-
相關疾病:Noonan syndrome-like disorder with or without juvenile myelomonocytic leukemia (NSLL)
-
亞細胞定位:Cytoplasm. Cell membrane. Cell projection, cilium. Golgi apparatus. Note=Colocalizes with FGFR2 in lipid rafts at the cell membrane.
-
數據庫鏈接:
Most popular with customers
-
-
YWHAB Recombinant Monoclonal Antibody
Applications: ELISA, WB, IHC, IF, FC
Species Reactivity: Human, Mouse, Rat
-
Phospho-YAP1 (S127) Recombinant Monoclonal Antibody
Applications: ELISA, WB, IHC
Species Reactivity: Human
-
-
-
-
-















