PTPN6 Antibody
-
中文名稱:PTPN6兔多克隆抗體
-
貨號:CSB-PA282609
-
規格:¥1100
-
圖片:
-
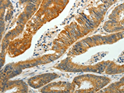
The image on the left is immunohistochemistry of paraffin-embedded Human colon cancer tissue using CSB-PA282609(PTPN6 Antibody) at dilution 1/35, on the right is treated with fusion protein. (Original magnification: ×200)
-
The image on the left is immunohistochemistry of paraffin-embedded Human liver cancer tissue using CSB-PA282609(PTPN6 Antibody) at dilution 1/35, on the right is treated with fusion protein. (Original magnification: ×200)
-
Gel: 10%SDS-PAGE, Lysate: 40 μg, Lane 1-2: A375 cells, A431 cells, Primary antibody: CSB-PA282609(PTPN6 Antibody) at dilution 1/500, Secondary antibody: Goat anti rabbit IgG at 1/8000 dilution, Exposure time: 90 seconds
-
-
其他:
產品詳情
-
Uniprot No.:
-
基因名:
-
別名:70Z-SHP antibody; EC 3.1.3.48 antibody; HCP antibody; HCPH antibody; Hematopoietic cell phosphatase antibody; Hematopoietic cell protein tyrosine phosphatase antibody; Hematopoietic cell protein-tyrosine phosphatase antibody; HPTP1C antibody; Protein tyrosine phosphatase 1C antibody; Protein tyrosine phosphatase non receptor type 6 antibody; Protein tyrosine phosphatase SHP1 antibody; Protein-tyrosine phosphatase 1C antibody; protein-tyrosine phosphatase SHP 1 antibody; Protein-tyrosine phosphatase SHP-1 antibody; PTN6_HUMAN antibody; PTP 1C antibody; PTP-1C antibody; PTP1C antibody; Ptpn6 antibody; SH PTP 1 antibody; SH PTP1 antibody; SH-PTP1 antibody; SHP 1 antibody; SHP 1L antibody; SHP1 antibody; SHP1L antibody; tyrosine protein phosphatase non receptor type 6 antibody; Tyrosine-protein phosphatase non-receptor type 6 antibody
-
宿主:Rabbit
-
反應種屬:Human,Mouse,Rat
-
免疫原:Fusion protein of Human PTPN6
-
免疫原種屬:Homo sapiens (Human)
-
標記方式:Non-conjugated
-
抗體亞型:IgG
-
純化方式:Antigen affinity purification
-
濃度:It differs from different batches. Please contact us to confirm it.
-
保存緩沖液:-20°C, pH7.4 PBS, 0.05% NaN3, 40% Glycerol
-
產品提供形式:Liquid
-
應用范圍:ELISA,WB,IHC
-
推薦稀釋比:
Application Recommended Dilution ELISA 1:1000-1:2000 WB 1:200-1:1000 IHC 1:50-1:200 -
Protocols:
-
儲存條件:Upon receipt, store at -20°C or -80°C. Avoid repeated freeze.
-
貨期:Basically, we can dispatch the products out in 1-3 working days after receiving your orders. Delivery time maybe differs from different purchasing way or location, please kindly consult your local distributors for specific delivery time.
-
用途:For Research Use Only. Not for use in diagnostic or therapeutic procedures.
相關產品
靶點詳情
-
功能:Modulates signaling by tyrosine phosphorylated cell surface receptors such as KIT and the EGF receptor/EGFR. The SH2 regions may interact with other cellular components to modulate its own phosphatase activity against interacting substrates. Together with MTUS1, induces UBE2V2 expression upon angiotensin II stimulation. Plays a key role in hematopoiesis.
-
基因功能參考文獻:
- this study provided strong in vivo and cellular evidences that hepatocyte SHP-1 plays a cardinal role in the production of inflammatory mediators that contribute to endotoxemia. PMID: 28533521
- actomyosin retrograde flow controls the immune response of primary human Natural killer cells through a novel interaction between beta-actin and the SH2-domain-containing protein tyrosine phosphatase-1 (SHP-1), converting its conformation state, and thereby regulating Natural killer cell cytotoxicity. PMID: 29449322
- Biophysical assay for tethered signaling reactions reveals tether-controlled activity for the phosphatase SHP-1. PMID: 28378014
- This study demonstrates that VB inhibits glioblastoma cell proliferation, migration, and invasion while promoting apoptosis via SHP-1 activation and inhibition of STAT3 phosphorylation. PMID: 29961065
- M. tuberculosis-initiated human mannose receptor signaling regulates macrophage recognition and vesicle trafficking by gamma Fc receptors, Grb2, and SHP-1. PMID: 28978467
- Data suggest that SHP-1/p-STAT3/VEGF-A axis is a potential therapeutic target for metastatic triple-negative breast cancer (TNBC). PMID: 27364975
- these data highlight a signaling pathway in which SHP-1 acts through CrkII to reshape the pattern of Rap1 activation in the immunological synapse. PMID: 28790195
- observations suggest that Chikungunya virus (CHIKV) has the ability to induce host PTPN6 expression, and induction of PTPN6 may favour the attenuation of the pro-inflammatory immune response of the host, which is otherwise detrimental for the survival of CHIKV and establishment of an infection PMID: 29058147
- The results reveal that SHP1 is the long-sought phosphatase that can antagonize Helicobacter pylori CagA. Augmented Helicobacter pylori CagA activity, via SHP1 inhibition, might also contribute to the development of Epstein-Barr virus-positive gastric cancer. PMID: 27572445
- Analyzed gene expression profiles of monocytes from symptomatic congestive heart failure patients; there is a down-regulation of the phosphatase SHP-1 which induces a significant activation of TAK-1/IKK/NF-kB signaling. PMID: 27814644
- crocin induced the expression of SHP-1, a tyrosine protein phosphatase, and pervanadate treatment reversed the crocin-induced downregulation of STAT3, suggesting the involvement of a protein tyrosine phosphatase. PMID: 28295507
- this review focalizes upon the implication of SHP-1 in the pathogenesis of autoimmune disorders, and addresses developing therapeutic strategies targeting SHP-1 PMID: 27216862
- we demonstrated that SHP-1 dephosphorylates PKM2Y105 to inhibit the Warburg effect and nucleus-dependent cell proliferation, and the dephosphorylation of PKM2Y105 by SHP-1 determines the efficacy of targeted drugs for hepatocellular carcinoma treatment PMID: 26959741
- These findings have provided first lines of evidences that PDZK1 expression is negatively correlated with SHP-1 activation and poor clinical outcomes in clear cell renal cell carcinoma (ccRCC) . PDZK1 was identified as a novel tumor suppressor in ccRCC by negating SHP-1 activity PMID: 28692056
- luteolin inhibited STAT3 activation through disrupting the binding of HSP-90 to STAT3, which promoted its interaction to SHP-1. PMID: 28182003
- These findings show a novel role for Shp-1 in the regulation of IEC growth and secretory lineage allocation, possibly via modulation of PI3K/Akt-dependent signaling pathways. PMID: 28465325
- the role of Shp1 in myeloid cells and how its dysregulation affects immune function, which can impact human disease. PMID: 28606940
- PTPN6 is associated with progression of chronic myeloid leukaemia. Low expression level of PTPN6 was associated with DNA methylation and regulated by histone acetylation PMID: 28480959
- The Shp1 functions as a positive regulator and acts in a novel mechanism through promoting EGFR protein expression in human epithelial cells. PMID: 28416389
- SHP1 DNA methylation in in patients with B cell non-Hodgkin lymphoma PMID: 28210822
- these results indicate that DNMT1 mediates aberrant methylation and silencing of SHP-1 gene in chronic myelogenous leukemia cells PMID: 28376405
- Results provide evidence that repression of SHP-1, SHP-2 and SOCS-1 gene expression in patient plasma cells supports the constitutive activation of the JAK/STAT3 pathway and probably leads to higher degrees of bone marrow invasion. PMID: 28369102
- we found that THEMIS directly regulated the catalytic activity of the tyrosine phosphatase SHP-1. PMID: 28250424
- Hyperglycemia induces SHP-1 promoter epigenetic modifications, causing its persistent expression and activity and leading to insulin resistance, podocyte dysfunction, and DN. PMID: 27585521
- Low SHP1 expression is associated with primary central nervous system lymphoma. PMID: 27959415
- study evaluated SHP1-P2 methylation levels in the lymph nodes of colorectal cancer (CRC) patients; hypothesized that SHP1-P2 methylation levels would be higher in metastatic lymph nodes PMID: 27644671
- Overexpression of SHP1 downregulates the JAK2/STAT3 pathway to modulate various target genes and inhibit cell proliferation, migration, and invasion in gastric cancer cells. PMID: 26508024
- This study also found no correlation of SHP-1 expression at diagnosis with response to treatment, although a trend for lower SHP-1 expression was noted in the very small non-responders' group of the 3-month therapeutic milestone. PMID: 26373709
- SYK, LYN and PTPN6 were markedly elevated in atherosclerotic plaques of carotid atherosclerosis patients. PMID: 26742467
- cAMP signalling of Bordetella adenylate cyclase toxin through the SHP-1 phosphatase activates the BimEL-Bax pro-apoptotic cascade in phagocytes. PMID: 26334669
- Quinalizarin enhances radiosensitivity of nasopharyngeal carcinoma cells partially by suppressing SHP-1 expression PMID: 26781335
- N225K and A550V PTPN6 mutations cause loss-of-function leading to JAK3 mediated deregulation of STAT3 pathway and uncover a mechanism that tumor cells can use to control PTPN6 substrate specificity. PMID: 26565811
- In addition to their role in NK cell activation by hematopoietic cells, the SLAM-SAP-SHP1 pathways influence responsiveness toward nonhematopoietic targets by a process akin to NK cell 'education'. PMID: 26878112
- A combination of sorafenib and SC-43 is a synergistic SHP-1 agonist duo which reduces tumor size and prolonged survival time. PMID: 26679051
- SHP-1 has a critical role in radioresistance, cell cycle progression, and senescence of nasopharyngeal carcinoma cells PMID: 26215037
- Data demonstrate for the first time that SHP1 methylation has high specificity for diagnosis of endometrial carcinoma, while CDH13 promoter methylation plays a role in the earlier stage. PMID: 26597461
- MiR-378g enhanced radiosensitivity partially by targeting SHP-1 in NPC cells. PMID: 26473472
- Soluble egg antigens glycans are essential for induction of enhanced SOCS1 and SHP1 levels in dendritic cells via the mannose receptor. PMID: 25897665
- miR-4649-3p is downregulated in nasopharyngeal carcinoma cell lines accompanied with SHP-1 upregulation. PMID: 26081980
- Results show that dissociation of SHP-1 from spinophilin is followed by an increase in the binding of spinophilin to PP1. PMID: 25785436
- Data show that SHP-1 promotes HIF-1alpha degradation under hypoxic conditions leading to a reduction in VEGF synthesis and secretion and impairing epithelial cells proliferation. PMID: 25799543
- Phosphorylation of ATR and CHK1 did not show significant differences in the three cell groups. Overexpression of SHP-1 in the CNE-2 cells led to radioresistance and the radioresistance was related to enhanced DNA DSB repair. PMID: 25962492
- SHP-1 is a potent suppressor of epithelial-mesenchymal transition and metastasis in hepatocellular carcinoma. PMID: 25619838
- Inactivation of SHP1 is associated with myeloproliferative neoplasm. PMID: 25824741
- Data suggest that protein tyrosine phosphatase non-receptor type 6 (SHP-1) may interact with EGF receptor (EGFR) to inhibit proliferation. PMID: 22797910
- SHP-1 expression ws lower in PBMCs from unmedicated schizophrenics. The promoter region was hypermethylated. Silencing SHP-1 induced IKK/NF-kB and pro-inflammatory cytokines. SHP-1 expression may explain 30% of the clinical negative symptom variance. PMID: 24793756
- SHP-1(I) presented concordance between unmethylated promoter region and tumor for breast or prostate. PMID: 25635370
- A high level of SHP1P2 methylation of hilar lymph nodes from stage I NSCLC patients is associated with early relapse of disease. PMID: 23824557
- transcription factor RFX-1 regulates SC-2001-mediated SHP-1 Phosphatase transcription in hepatocellular carcinoma cells. PMID: 24952874
- decreased expression levels of SHP-1 caused by aberrant promoter hypermethylation may play a key role in the progression of CML by dysregulating BCR-ABL1, AKT, MAPK, MYC and JAK2/STAT5 signaling. PMID: 24647617
顯示更多
收起更多
-
亞細胞定位:Cytoplasm. Nucleus.
-
蛋白家族:Protein-tyrosine phosphatase family, Non-receptor class 2 subfamily
-
組織特異性:Isoform 1 is expressed in hematopoietic cells. Isoform 2 is expressed in non-hematopoietic cells.
-
數據庫鏈接:
Most popular with customers
-
YWHAB Recombinant Monoclonal Antibody
Applications: ELISA, WB, IHC, IF, FC
Species Reactivity: Human, Mouse, Rat
-
Phospho-YAP1 (S127) Recombinant Monoclonal Antibody
Applications: ELISA, WB, IHC
Species Reactivity: Human
-
-
-
-
-
-















