PTPN13 Antibody
-
中文名稱:PTPN13兔多克隆抗體
-
貨號:CSB-PA614263LA01HU
-
規格:¥440
-
圖片:
-
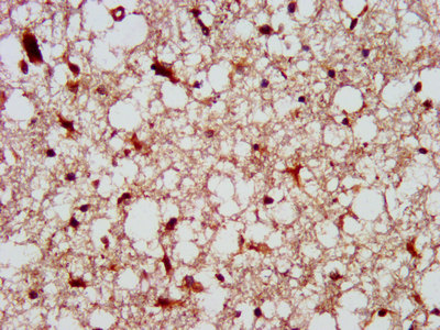
IHC image of CSB-PA614263LA01HU diluted at 1:300 and staining in paraffin-embedded human brain tissue performed on a Leica BondTM system. After dewaxing and hydration, antigen retrieval was mediated by high pressure in a citrate buffer (pH 6.0). Section was blocked with 10% normal goat serum 30min at RT. Then primary antibody (1% BSA) was incubated at 4°C overnight. The primary is detected by a biotinylated secondary antibody and visualized using an HRP conjugated SP system.
-
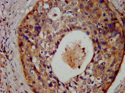
IHC image of CSB-PA614263LA01HU diluted at 1:300 and staining in paraffin-embedded human cervical cancer performed on a Leica BondTM system. After dewaxing and hydration, antigen retrieval was mediated by high pressure in a citrate buffer (pH 6.0). Section was blocked with 10% normal goat serum 30min at RT. Then primary antibody (1% BSA) was incubated at 4°C overnight. The primary is detected by a biotinylated secondary antibody and visualized using an HRP conjugated SP system.
-
Immunofluorescence staining of A549 cells with CSB-PA614263LA01HU at 1:100, counter-stained with DAPI. The cells were fixed in 4% formaldehyde, permeabilized using 0.2% Triton X-100 and blocked in 10% normal Goat Serum. The cells were then incubated with the antibody overnight at 4°C. The secondary antibody was Alexa Fluor 488-congugated AffiniPure Goat Anti-Rabbit IgG(H+L).
-
-
其他:
產品詳情
-
產品名稱:Rabbit anti-Homo sapiens (Human) PTPN13 Polyclonal antibody
-
Uniprot No.:
-
基因名:
-
別名:PTPN13 antibody; PNP1 antibody; PTP1E antibody; PTPL1 antibody; Tyrosine-protein phosphatase non-receptor type 13 antibody; EC 3.1.3.48 antibody; Fas-associated protein-tyrosine phosphatase 1 antibody; FAP-1 antibody; PTP-BAS antibody; Protein-tyrosine phosphatase 1E antibody; PTP-E1 antibody; hPTPE1 antibody; Protein-tyrosine phosphatase PTPL1 antibody
-
宿主:Rabbit
-
反應種屬:Human
-
免疫原:Recombinant Human Tyrosine-protein phosphatase non-receptor type 13 protein (1965-2173AA)
-
免疫原種屬:Homo sapiens (Human)
-
標記方式:Non-conjugated
本頁面中的產品,PTPN13 Antibody (CSB-PA614263LA01HU),的標記方式是Non-conjugated。對于PTPN13 Antibody,我們還提供其他標記。見下表:
-
克隆類型:Polyclonal
-
抗體亞型:IgG
-
純化方式:>95%, Protein G purified
-
濃度:It differs from different batches. Please contact us to confirm it.
-
保存緩沖液:Preservative: 0.03% Proclin 300
Constituents: 50% Glycerol, 0.01M PBS, pH 7.4 -
產品提供形式:Liquid
-
應用范圍:ELISA, IHC, IF
-
推薦稀釋比:
Application Recommended Dilution IHC 1:200-1:500 IF 1:50-1:200 -
Protocols:
-
儲存條件:Upon receipt, store at -20°C or -80°C. Avoid repeated freeze.
-
貨期:Basically, we can dispatch the products out in 1-3 working days after receiving your orders. Delivery time maybe differs from different purchasing way or location, please kindly consult your local distributors for specific delivery time.
-
用途:For Research Use Only. Not for use in diagnostic or therapeutic procedures.
相關產品
靶點詳情
-
功能:Tyrosine phosphatase which regulates negatively FAS-induced apoptosis and NGFR-mediated pro-apoptotic signaling. May regulate phosphoinositide 3-kinase (PI3K) signaling through dephosphorylation of PIK3R2.
-
基因功能參考文獻:
- MicroRNA-30e-5p promotes cell growth by targeting PTPN13 and indicates poor survival and recurrence in lung adenocarcinoma. PMID: 28653805
- The single nucleotide polymorphism genotype of PTPN13 exon 39 was determined in DNA extracted from blood samples from 174 sporadic colorectal cancer patients and 176 healthy individuals. The risk of colorectal cancer was 2.087 times greater for patients with the GG genotype than for those with the TT genotype. PTPN13 rs989902 is significantly associated with the risk of colorectal cancer in the Polish population. PMID: 28504867
- suggest that CAFs, irrespective of identity, have low influence on the degree of tumor infiltration by inflammatory- and/or immune-cells. However, CAFFAP may exert immuno-adjuvant roles in NSCLC, and targeting CAFs should be cautiously considered PMID: 29415055
- we found that miR-26a confers epidermal growth factor receptor-targeted tyrosine kinase inhibitors resistance of non-small cell lung cancer cells by targeting and silencing PTPN13 PMID: 27285768
- Fap1 inhibition increased Fas sensitivity and decreased beta-catenin activity in human CD34+ CML cells PMID: 26984787
- the crystal structure of the PTP-Bas PDZ1 domain at 1.6 A resolution, is reported. PMID: 27544031
- PTPN13 overexpression significantly inhibited the progression of HCC cells. PMID: 26801674
- Mutation in PTPN13 gene is associated with gastric cancer peritoneal carcinomatosis. PMID: 26811494
- This work studied heat diffusion in the well-known PDZ-2 protein, and confirmed that this protein has two cognate allosteric pathways and that heat flows preferentially through these. PMID: 25933631
- Necl-4 serves as a novel regulator for contact inhibition of cell movement and proliferation cooperatively with the VEGF receptor and PTPN13 PMID: 25893857
- A PDZ-mediated interaction of PTPN13 and PTEN is described with possible relevance for tumor suppression. PMID: 25448478
- The effect of the viscogens sucrose, and glycerol on the kinetic response of a photoperturbed PTPN13 is investigated. PMID: 25494785
- A comprehensive molecular dynamics simulation study of the PDZ2 domain of human tyrosine phosphatase 1E in the ligand-bound and -free state, as well as the photoswitchable protein in the cis and trans states of the photoswitch PMID: 25365469
- Thus, our results suggest a previously unknown Stat3-PTPN13 molecular network controlling squamous cell lung carcinoma development PMID: 24191246
- Association of rs7014346 in POU5F1P1, rs989902 in PTPN13, and rs7003146 in TCF7L2 with variations in the risk of breast cancer in a Chinese Han population. PMID: 24338422
- HCV induced increased expression of miR200c can down modulate the expression of FAP1, a critical regulator of Src and MAP kinase pathway that play an important role in the production of fibrogenic growth factors and development of fibrosis. PMID: 23950995
- selective autophagic degradation of the phosphatase Fap-1 promotes Fas apoptosis. PMID: 24316673
- Low PTPN13 expression is associated with invasion and metastasis of lung squamous cell carcinoma. PMID: 23906871
- Fap1-dependent inactivation of Gsk3beta and consequent stabilization of betacatenin in these cells. Consistent with this, Bcr-abl(+) cells exhibited a Fap1-dependent increase in betacatenin activity. PMID: 23519466
- PTPL1 dephosphorylates p85beta, promoting its binding to FBXL2 and degradation. PMID: 23604317
- Studied the peptide binding induced dynamical changes at the side-chain level throughout the second PDZ domain of PTP1e, identifying as such the collection of residues involved in long-range communication. PMID: 23209399
- CD95 signal transduction was not affected by FAP-1 expression in A818-6 monolayer cells; we found a polarisation-induced co-localisation of CD95 and FAP-1. PMID: 22364882
- Data show that EphrinB1, a PTPN13 substrate, interacts with ErbB2, and Src kinase mediates EphrinB1 phosphorylation and subsequent MAP Kinase signaling. PMID: 22279592
- interaction between Tel and Tel-PdgfRbeta decreases Tel/Icsbp/Hdac3 binding to the PTPN13 cis element, resulting in increased transcription. PMID: 22262849
- The PTPL1 is an important mediator of central cellular processes such as proliferation and invasion. PMID: 22274591
- The Ret oncoprotein exerts opposing controls on Fap-1 and CD95, increasing Fap-1 expression and decreasing CD95 cell surface expression. PMID: 21741956
- REVIEW: the alterations in expression and the genetic and epigenetic arguments supporting an oncogenic or an anti-oncogenic impact of PTPL1 PMID: 21235435
- X-ray crystal structures of PDZ2 in the absence and presence of RA-GEF2 ligand; very minor structural changes in PDZ2 accompany peptide binding PMID: 20839809
- FAP-1 was demonstrated to be responsible for the reduced sensitivity to CD95-mediated apoptosis in cells with inhibited miR-200. PMID: 20620960
- PTPL1 regulates breast cancer cell aggressiveness through direct inactivation of Src kinase. PMID: 20501847
- Transfection of FAP-1 siRNA into SW480 cells silenced the expression of FAP-1 and consequently abolished the inhibitory function of Fas/FasL-mediated apoptosis pathway, thus increasing the efficacy of chemotherapy for colon carcinoma with oxaliplatin. PMID: 20039457
- PTPN13 SNPs were found to influence susceptibility to a wide spectrum of cancers. PMID: 19672627
- Structure, dynamics and binding characteristics of the second PDZ domain of PTP-BL PMID: 11884147
- expression and apoptosis induction in peripheral blood cells from liver graft PMID: 11959286
- PDZ2 domain from cytosolic human phosphatase hPTP1E complexed with peptide, RA-GEF-2, reveals contribution of the beta2-beta3 loop to PDZ domain-ligand interactions PMID: 12095257
- PTPL1/FAP-1 has a key role in the apoptotic process in human breast cancer cells independent of Fas but associated with an early inhibition of the insulin receptor substrate-1/phosphatidylinositol 3-kinase pathway PMID: 12354757
- Shares a promoter region with the tightly linked gene encoding stress-activated protein kinase JNK3. PMID: 12436199
- FAP-1 has a role in binding to, and consequently inhibition of, Fas export to the cell surface PMID: 12724420
- specificity of interaction between the second PDZ domain of human protein tyrosine phosphatase1E (PDZ2) and a C-terminal peptide, ENEQVSAV, from the guanine nucleotide exchange factor RA-GEF-2 was investigated using FTIR spectroscopy and ESI-MS PMID: 12870871
- PTPL1 binds to tandem-PH-domain-containing protein (TAPP)-1. PMID: 14516276
- Data report the solution structure of the PDZ2 domain splicing variant of the protein tyrosine phosphatase PTP-Bas. PMID: 14596806
- X-ray crystallographic analysis of the PTPL1 catalytic domain PMID: 15611135
- We therefore report a novel transcriptional activation of a phosphatase involved in the oncogenesis of ESFT. PMID: 15782144
- FAP-1 expression is often up-regulated in metastatic tumors, with a causal connection withNF-kappaB-dependent transcriptional regulation of FAP-1 gene expression. PMID: 16306044
- FAP-1 could be inactivated during hepatocarcinogenesis, mainly attributed by allelic loss and promoter methylation. PMID: 16489062
- The PTPN13 protein has proapoptotic functions and can fuction as TSGs to suppress tumorigenesis. PMID: 16572203
- FAP-1 phosphatase activity could be responsible for NF-kappaB activation and resistance of SCCHN cells to Fas-mediated apoptosis. PMID: 16888780
- use the second PDZ domain (PDZ2) of protein tyrosine phosphatase (PTP1E) as a model to study the energetics of peptide binding to a class I PDZ domain. PMID: 17240990
- PTPN13/PTPL1 induces apoptosis through insulin receptor substrate-1 dephosphorylation PMID: 17638892
- cellular PTPN13 inhibits Her2 activity by dephosphorylating the signal domain of Her2 and plays a role in attenuating invasiveness and metastasis of Her2 overactive tumors. PMID: 17982484
顯示更多
收起更多
-
亞細胞定位:Cytoplasm, cytoskeleton. Nucleus. Cell projection, lamellipodium.
-
蛋白家族:Protein-tyrosine phosphatase family, Non-receptor class subfamily
-
組織特異性:Expressed in keratinocytes (at protein level). Present in most tissues with the exception of the liver and skeletal muscle. Most abundant in lung, kidney and fetal brain.
-
數據庫鏈接:
Most popular with customers
-
-
YWHAB Recombinant Monoclonal Antibody
Applications: ELISA, WB, IHC, IF, FC
Species Reactivity: Human, Mouse, Rat
-
-
-
-
-
-















