PTPA Antibody
-
中文名稱:PTPA兔多克隆抗體
-
貨號:CSB-PA620876LA01HU
-
規格:¥440
-
圖片:
-
Western Blot
Positive WB detected in: 293 whole cell lysate, HepG2 whole cell lysate, K562 whole cell lysate
All lanes: PTPA antibody at 3.3µg/ml
Secondary
Goat polyclonal to rabbit IgG at 1/50000 dilution
Predicted band size: 41, 37, 34, 32 kDa
Observed band size: 41 kDa -
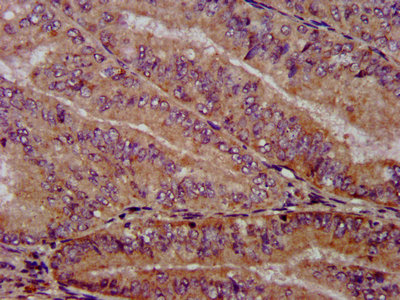
IHC image of CSB-PA620876LA01HU diluted at 1:1000 and staining in paraffin-embedded human endometrial cancer performed on a Leica BondTM system. After dewaxing and hydration, antigen retrieval was mediated by high pressure in a citrate buffer (pH 6.0). Section was blocked with 10% normal goat serum 30min at RT. Then primary antibody (1% BSA) was incubated at 4°C overnight. The primary is detected by a biotinylated secondary antibody and visualized using an HRP conjugated SP system.
-
IHC image of CSB-PA620876LA01HU diluted at 1:1000 and staining in paraffin-embedded human prostate tissue performed on a Leica BondTM system. After dewaxing and hydration, antigen retrieval was mediated by high pressure in a citrate buffer (pH 6.0). Section was blocked with 10% normal goat serum 30min at RT. Then primary antibody (1% BSA) was incubated at 4°C overnight. The primary is detected by a biotinylated secondary antibody and visualized using an HRP conjugated SP system.
-
Immunofluorescence staining of Hela cells with CSB-PA620876LA01HU at 1:333, counter-stained with DAPI. The cells were fixed in 4% formaldehyde, permeabilized using 0.2% Triton X-100 and blocked in 10% normal Goat Serum. The cells were then incubated with the antibody overnight at 4°C. The secondary antibody was Alexa Fluor 488-congugated AffiniPure Goat Anti-Rabbit IgG(H+L).
-
-
其他:
產品詳情
-
產品名稱:Rabbit anti-Homo sapiens (Human) PTPA Polyclonal antibody
-
Uniprot No.:
-
基因名:PTPA
-
別名:subunit B'' antibody; KIAA0044 antibody; MGC2184 antibody; Phosphotyrosyl phosphatase activator antibody; PP2A antibody; PP2A phosphatase activator antibody; PP2A subunit B' antibody; PP2A subunit B' isoform PR53 antibody; PP2A subunit B' PR53 isoform antibody; PPP2R4 antibody; PR53 antibody; PR53 isoform antibody; Protein phosphatase 2, regulatory subunit B-prime antibody; Protein phosphatase 2A activator regulatory subunit 4 antibody; Protein phosphatase 2A regulatory subunit B' (PR 53) antibody; PTPA antibody; PTPA_HUMAN antibody; Serine/threonine protein phosphatase 2A regulatory subunit B' antibody; Serine/threonine-protein phosphatase 2A activator antibody; Serine/threonine-protein phosphatase 2A regulatory subunit 4 antibody; Serine/threonine-protein phosphatase 2A regulatory subunit B'' antibody
-
宿主:Rabbit
-
反應種屬:Human
-
免疫原:Recombinant Human Serine/threonine-protein phosphatase 2A activator protein (1-250AA)
-
免疫原種屬:Homo sapiens (Human)
-
標記方式:Non-conjugated
本頁面中的產品,PTPA Antibody (CSB-PA620876LA01HU),的標記方式是Non-conjugated。對于PTPA Antibody,我們還提供其他標記。見下表:
-
克隆類型:Polyclonal
-
抗體亞型:IgG
-
純化方式:>95%, Protein G purified
-
濃度:It differs from different batches. Please contact us to confirm it.
-
保存緩沖液:Preservative: 0.03% Proclin 300
Constituents: 50% Glycerol, 0.01M PBS, PH 7.4 -
產品提供形式:Liquid
-
應用范圍:ELISA, WB, IHC, IF
-
推薦稀釋比:
Application Recommended Dilution WB 1:500-1:5000 IHC 1:1000-1:2000 IF 1:200-1:500 -
Protocols:
-
儲存條件:Upon receipt, store at -20°C or -80°C. Avoid repeated freeze.
-
貨期:Basically, we can dispatch the products out in 1-3 working days after receiving your orders. Delivery time maybe differs from different purchasing way or location, please kindly consult your local distributors for specific delivery time.
-
用途:For Research Use Only. Not for use in diagnostic or therapeutic procedures.
相關產品
靶點詳情
-
功能:PPIases accelerate the folding of proteins. It catalyzes the cis-trans isomerization of proline imidic peptide bonds in oligopeptides. Acts as a regulatory subunit for serine/threonine-protein phosphatase 2A (PP2A) modulating its activity or substrate specificity, probably by inducing a conformational change in the catalytic subunit, a proposed direct target of the PPIase. Can reactivate inactive phosphatase PP2A-phosphatase methylesterase complexes (PP2A(i)) in presence of ATP and Mg(2+). Reversibly stimulates the variable phosphotyrosyl phosphatase activity of PP2A core heterodimer PP2A(D) in presence of ATP and Mg(2+) (in vitro). The phosphotyrosyl phosphatase activity is dependent of an ATPase activity of the PP2A(D):PPP2R4 complex. Is involved in apoptosis; the function appears to be independent from PP2A.
-
基因功能參考文獻:
- PP2A dephosphorylates MYPT1(pThr696) and thereby stimulates MP activity inducing dephosphorylation of eNOS(pThr497) and the 20 kDa myosin II light chains. PMID: 28300193
- Study reveals the mechanism controlling abscission through integration of Aurora B kinase and B56-bound PP2A phosphatase activities on the kinesin motor protein MKlp2. MKlp2 is an essential protein for promoting abscission, which may regulate tethering and stabilizing of the PM to the microtubule cytoskeleton at the intercellular bridge through its previously uncharacterized lipid association motif. PMID: 27939310
- These results suggest that loss of specific PP2A regulatory subunits is functionally important in breast tumourigenesis, and support strategies to enhance PP2A activity as a therapeutic approach in breast cancer. PMID: 28744751
- High expression of PP2A is associated with cisplatin resistant gastric cancer. PMID: 28534965
- Study identifies Eya3 as a regulator of PP2A, a major cellular Ser/Thr phosphatase, and uncovers a mechanism of controlling the stability of a critical oncogene, c-Myc. PMID: 29535359
- Authors demonstrated CFTR and PP2AA interact in the cytosol, resulting in PP2A complex inactivation and increased degradation of PP2A substrates via the lysosomal/proteasome pathway. PMID: 28445932
- Together, the results suggest a complex antagonistic interplay between the control of ARPP-16 by MAST3 and PKA that creates a mechanism whereby cAMP mediates PP2A disinhibition. PMID: 28613156
- An imbalanced regulation in protein kinases and protein phosphatases is the direct cause of tau hyperphosphorylation in Alzheimer's disease; GSK-3beta and PP2A are the most implicated. (Review) PMID: 28585125
- Isoliensinine suppresses NF-kappaB in hepatocellular carcinoma cells through impairing PP2A/I2PP2A interaction and stimulating PP2A-dependent p65 dephosphorylation at Ser536 PMID: 27244888
- BIR domain of XIAP activated the protein phosphatase 2 (PP2A) activity by decreasing the phosphorylation of PP2A at Tyr307 in its catalytic subunit, PP2A-C. Such activated PP2A prevented the deviant phosphorylation and activation of MAPK kinases/MAPKs, their downstream effector c-Jun; and in turn inhibiting transcription of c-Jun-regulated miR-200a PMID: 28057023
- T-type channel signaling is redirected towards the activation of the kinase Akt1, leading to increased expression of the anti-apoptotic protein survivin, and a decrease in the pro-apoptotic mediator FoxO3A. Finally, in iPAH cells, Akt1 is no longer able to regulate caspase 9 activation, whereas T-type channel overexpression reverses PP2A defect in iPAH cells but reinforces the deleterious effects of Akt1 activation PMID: 28655554
- The present results indicate that rs959627 predicts PPP2R2 B mRNA prefrontal expression in two independent post-mortem datasets as well as lateral prefrontal activity during working memory in healthy subjects and suggest that genetic modulation of signal transduction mediated by PP2A affects complex biological phenotypes of relevance for cognitive behavior. PMID: 27591184
- the present study suggested that PP2A has an important role in regulating mast cell beta2-adrenoceptors PMID: 28090813
- The results of this study demonstrated that HBx of hepatitis B virus impairs interferon signaling via increased expression of SOCS3 and PP2A. PMID: 27459003
- The current study describes a novel pathogenic mechanism of action for human polyomavirus 6 small tumor (sT) antigen which involves binding to protein phosphatase 2A (PP2A) via its WFG motif and zinc binding sites for activation of PP2A's downstream oncogenic pathways (MEK/ERK/c-Jun). PMID: 27632801
- The aim of this review is to shed light on the role of four different phosphatases (PTEN, PP2A, CDC25 and DUSP1) in five different solid tumors (breast cancer, lung cancer, pancreatic cancer, prostate cancer and ovarian cancer), in order to better understand the most frequent and aggressive primary cancer of the central nervous system, glioblastoma. PMID: 28801478
- Oncoprotein CIP2A is stabilized via interaction with tumor suppressor PP2A/B56 PMID: 28174209
- Such effect by miR-429 was again abolished with AMPKalpha1 silence or mutation. Together, we propose that PP2A-c silence by miR-429 activates AMPK and protects osteoblastic cells from Dex. PMID: 28438603
- PTPalpha is identified as a novel substrate of N-Acetylglucosaminyltransferase V (GnT-V) and could be a factor regulating promotion of migration in breast cancer cells PMID: 27965091
- This article reviews the involvement of PP2A in the regulation of three cell signaling pathways: wnt, mTOR and MAP kinase, as well as the G1-->S transition, DNA synthesis and mitotic initiation. These processes are all crucial for proper cell survival and proliferation and are often deregulated in cancer and other diseases. [review] PMID: 26906453
- PP2A-B55 substrates were identified and assigned their temporal order in mitotic exit. PMID: 27551054
- Our results provide a novel mechanistic insight into the activation of Myc by 27-HC via transcriptional repression of PP2A, SCP1 and FBW7 to increase Myc protein stability in breast cancer cells. PMID: 27751849
- Data show that the truncation promotes glycogen synthase kinase-3beta (GSK-3beta) nuclear translocation and enhances its interaction with protein phosphatase 2A (PP2A), leading to dephosphorylation. PMID: 28267204
- that KAP1 phosphorylation is decreased following recruitment of PP2A by URI. PMID: 27780869
- These results provide direct evidence for the rapid response of PP2A catalytic activity to extracellular insulin stimulation, as well as insight into the complex regulation of phosphorylation levels by opposing kinase and phosphatase activities within the cell. PMID: 27805358
- LPS tolerance interferes with TLR4 signaling by inhibiting Lyn and c-Src phosphorylation and their recruitment to TLR4, while increasing the phosphatase activity and expression of PP2A, PTPN22, PTP1B and MKP1. PMID: 26457672
- we propose that RhoB could be responsible for early metastatic prevention by inhibiting the EMT-derived invasiveness of lung cells through the control of PP2A activity. PMID: 26148238
- Cohesin complex is shown to be a target of the prophase pathway at centrosomes and protected by Sgo1-dependent PP2A recruitment. PMID: 26365192
- Zinc-alpha2-glycoprotein modulates AKT-dependent insulin signaling in adipocytes by activation of the PP2A phosphatase. PMID: 26068931
- these data reveal the molecular mechanisms of PP2A regulation and highlight the potential of boosting the power of endogenous phosphatases as novel anti-inflammatory strategies to combat asthmatic inflammation. PMID: 25985190
- Transgenic overexpression of myocardial PP2A causes adverse remodeling which coincides with a disruption of the classical Akt/GSK3/beta-catenin pathway under baseline conditions that is restored to normal values in chronic myocardial infarction. PMID: 25662052
- an increase in the phosphorylation level of PTPalphaTyr789 by its upstream activator, FAKDel33, leading to Src activation in certain breast cancer cells, which has significant implications for metastatic potential. PMID: 25625869
- results suggested that PPFIA1 functioned with PP2A to promote the dephosphorylation of Kif7, triggering Kif7 localization to the tips of primary cilia and promoting Gli transcriptional activity. PMID: 25492966
- The roles of protein phosphatases including MAPK phosphatase-1 (MKP-1) and protein phosphatase type 2A (PP2A) in modulating p38MAPK activation and downstream TNF-alpha expressions in primary human monocyte-derived macrophages, were examined. PMID: 23549267
- The invariant C-terminal residues of the catalytic subunit can act as affinity enhancer for different PP2A interaction partners, including PTPA, and a different 'code' of posttranslational modifications can favour interactions to one subunit over others. PMID: 25003389
- REDD1 may act as a targeting protein for the catalytic subunit of PP2A PMID: 25056877
- We have also defined in the actin-binding protein cofilin-1 a link between PP2A, actin cytoskeleton, and necrotic death PMID: 25096578
- PP2A is activated upon CK2 activation and acts as the dephosphorylating agent for pStat3S727. PMID: 24726840
- we investigated whether down-regulation of PTPA affects cell viability and the underlying mechanismswe investigated whether down-regulation of PTPA affects cell viability and the underlying mechanisms PMID: 24821282
- Hyperphosphorylation of PP2A is associated with colorectal cancer. PMID: 24997451
- PTPA stabilizes a conformation of apo- PP2Ac that facilitates metal chelation and ATP binding and hydrolysis, whereby the precise geometry of ATP binding at the active site is important for selectively enhanced binding of proper catalytic metal ions. PMID: 24100351
- These data point to PP2A-B56gamma-driven Ras signaling modulation in G2 as essential for suppressing aberrant cyclin E expression during mitosis and thereby achieving normal G0 control. PMID: 24857551
- The presence of full-length SET in the neuronal cytoplasm is sufficient to impair PP2A methylation and activity, leading to tau hyperphosphorylation. PMID: 24981783
- the A/Balpha/C holoenzyme form of PP2A is essential in EC barrier integrity both in micro- and macrovascular EC PMID: 23721711
- Authors show that PP2Ac associates with Jak1/Tyk2/STAT1 and reduces Jak1/Tyk2/STAT1 phosphorylation resulting in an impairment of the IFNalpha-induced hepatitis C virus antiviral response. PMID: 23910645
- Plant homeodomain finger protein 20 (PHF20) maintains NF-kappaB in an active state in the nucleus by inhibiting the interaction between PP2A and p65. PMID: 23797602
- results suggest that Notch1 can regulate PP2A dephosphorylation of critical cellular regulators including AKT, AMPKalpha, and p70S6K PMID: 23788636
- results identify downregualtion of PP2A activity as an important protective mechanism of melanoma cells against ER stress-induced apoptosis PMID: 22739989
- Our data indicate that PTPA may activate PP2A through activating PTP1B and thus reducing the level of P-PP2AC, therefore upregulation of PTPA may represent a potential strategy in rescuing PP2A and arresting tau pathology in AD. PMID: 23428800
- expanded CAG repeats bind to a translation regulatory protein complex containing MID1, protein phosphatase 2A and 40S ribosomal S6 kinase. PMID: 23443539
顯示更多
收起更多
-
亞細胞定位:Cytoplasm. Nucleus.
-
蛋白家族:PTPA-type PPIase family
-
組織特異性:Widely expressed.
-
數據庫鏈接:
Most popular with customers
-
YWHAB Recombinant Monoclonal Antibody
Applications: ELISA, WB, IHC, IF, FC
Species Reactivity: Human, Mouse, Rat
-
Phospho-YAP1 (S127) Recombinant Monoclonal Antibody
Applications: ELISA, WB, IHC
Species Reactivity: Human
-
-
-
-
-
-















