PTP4A2 Antibody
-
中文名稱:PTP4A2兔多克隆抗體
-
貨號:CSB-PA137436
-
規格:¥1100
-
圖片:
-
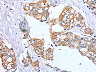
The image on the left is immunohistochemistry of paraffin-embedded Human breast cancer tissue using CSB-PA137436(PTP4A2 Antibody) at dilution 1/30, on the right is treated with synthetic peptide. (Original magnification: ×200)
-
Gel: 10%SDS-PAGE, Lysate: 40 μg, Lane 1-2: Mouse brain tissue, Mouse heart tissue, Primary antibody: CSB-PA137436(PTP4A2 Antibody) at dilution 1/200, Secondary antibody: Goat anti rabbit IgG at 1/8000 dilution, Exposure time: 30 seconds
-
-
其他:
產品詳情
-
Uniprot No.:
-
基因名:PTP4A2
-
別名:PTP4A2 antibody; PRL2 antibody; PTPCAAX2 antibody; BM-008 antibody; Protein tyrosine phosphatase type IVA 2 antibody; EC 3.1.3.48 antibody; HU-PP-1 antibody; OV-1 antibody; PTP(CAAXII) antibody; Protein-tyrosine phosphatase 4a2 antibody; Protein-tyrosine phosphatase of regenerating liver 2 antibody; PRL-2 antibody
-
宿主:Rabbit
-
反應種屬:Human,Mouse,Rat
-
免疫原:Synthetic peptide of Human PTP4A2
-
免疫原種屬:Homo sapiens (Human)
-
標記方式:Non-conjugated
-
抗體亞型:IgG
-
純化方式:Antigen affinity purification
-
濃度:It differs from different batches. Please contact us to confirm it.
-
保存緩沖液:-20°C, pH7.4 PBS, 0.05% NaN3, 40% Glycerol
-
產品提供形式:Liquid
-
應用范圍:ELISA,WB,IHC
-
推薦稀釋比:
Application Recommended Dilution ELISA 1:2000-1:5000 WB 1:500-1:2000 IHC 1:25-1:100 -
Protocols:
-
儲存條件:Upon receipt, store at -20°C or -80°C. Avoid repeated freeze.
-
貨期:Basically, we can dispatch the products out in 1-3 working days after receiving your orders. Delivery time maybe differs from different purchasing way or location, please kindly consult your local distributors for specific delivery time.
-
用途:For Research Use Only. Not for use in diagnostic or therapeutic procedures.
相關產品
靶點詳情
-
功能:Protein tyrosine phosphatase which stimulates progression from G1 into S phase during mitosis. Promotes tumors. Inhibits geranylgeranyl transferase type II activity by blocking the association between RABGGTA and RABGGTB.
-
基因功能參考文獻:
- identified a critical role for PRL2 phosphatase in the proliferation and survival of human AML cells. Further, we demonstrated that PRL2 is essential for the leukemogenic potential of AML1-ETO9a in vivo PMID: 28220038
- Our findings highlight the important role of miR-29c in regulating CRC EMT via GSK-3b/b-catenin signaling by targeting GNA13 and PTP4A and provide new insights into the metastatic basis of colorectal cancer PMID: 25193986
- PTP4A2 expression is correlated with overall survival in progestin receptor-positive breast carcinomas. PMID: 23568563
- Results suggest a model in which PRL-2 promotes cell migration and invasion through an ERK1/2-dependent signaling pathway. PMID: 21765462
- PRL-2 plays an important role in lung cancer and can be a biomarker of lung cancer, substituting for the function of other PRLs. PMID: 21993571
- Overexpression of the protein tyrosine phosphatase PRL-2 correlates with breast tumor formation and progression. PMID: 20841483
- Mouse pre-B-cells transfected with human PRL-2 had higher growth responses to Epo or IL-3, shorter cell cycle, less Epo requirement for survival, more cell migration, less cell adhesion, change to an immature cell morphology, & more Bmi-1 expression. PMID: 20226699
- PRL-2 can promote cell adhesion and invasion activity of human hepatocellular carcinoma cells. PMID: 17666324
- PRL-2 mRNA expression was not significantly higher in malignant compared to benign breast tissue. PMID: 16832410
- PRL-2 was expressed heavily in almost every tissue and cell type examined. Widespread expression of PRL-2 in multiple organ systems suggests an important functional role for these enzymes in normal tissue homeostasis. PMID: 16957164
顯示更多
收起更多
-
亞細胞定位:Cell membrane. Early endosome. Cytoplasm.
-
蛋白家族:Protein-tyrosine phosphatase family
-
組織特異性:Ubiquitously expressed, with highest levels in skeletal muscle, heart and thymus. Overexpressed in prostate tumor tissue.
-
數據庫鏈接:
Most popular with customers
-
-
YWHAB Recombinant Monoclonal Antibody
Applications: ELISA, WB, IHC, IF, FC
Species Reactivity: Human, Mouse, Rat
-
Phospho-YAP1 (S127) Recombinant Monoclonal Antibody
Applications: ELISA, WB, IHC
Species Reactivity: Human
-
-
-
-
-















