PTDSS1 Antibody
-
中文名稱:PTDSS1兔多克隆抗體
-
貨號:CSB-PA04305A0Rb
-
規格:¥440
-
圖片:
-
Western Blot
Positive WB detected in: 293T whole cell lysate(20μg), K562 whole cell lysate(20μg), HepG2 whole cell lysate(20μg), MCF7 whole cell lysate(20μg
All lanes: PTDSS1 antibody at 1:1000
Secondary
Goat polyclonal to rabbit IgG at 1/20000 dilution
Predicted band size: 56,39,35 kDa
Observed band size: 35 kDa
Exposure time: 60s -
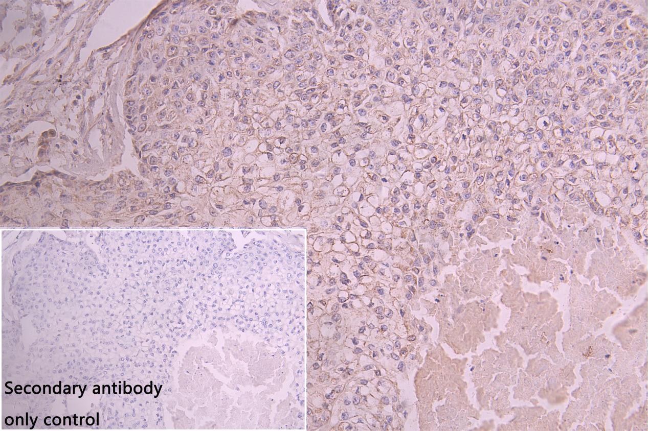
IHC image of CSB-PA04305A0Rb diluted at 1:150 and staining in paraffin-embedded humanpancreatic cancer performed on a Leica BondTM system. After dewaxing and hydration, antigen retrieval was mediated by high pressure in a citrate buffer (pH 6.0). Section was blocked with 10% normal goat serum 30min at RT. Then primary antibody (1% BSA) was incubated at 4°C overnight. The primary is detected by a Goat anti-rabbit polymer IgG labeled by HRP and visualized using 0.05% DAB. Secondary antibody only control: uses 1% BSA instead of primary antibody
-
-
其他:
產品詳情
-
產品名稱:Rabbit anti-Homo sapiens (Human) PTDSS1 Polyclonal antibody
-
Uniprot No.:
-
基因名:
-
別名:PTDSS1 antibody; KIAA0024 antibody; PSSA antibody; Phosphatidylserine synthase 1 antibody; PSS-1 antibody; PtdSer synthase 1 antibody; EC 2.7.8.29 antibody; Serine-exchange enzyme I antibody
-
宿主:Rabbit
-
反應種屬:Human
-
免疫原:Recombinant Human Phosphatidylserine synthase 1 protein (1-35AA)
-
免疫原種屬:Homo sapiens (Human)
-
標記方式:Non-conjugated
本頁面中的產品,PTDSS1 Antibody (CSB-PA04305A0Rb),的標記方式是Non-conjugated。對于PTDSS1 Antibody,我們還提供其他標記。見下表:
-
克隆類型:Polyclonal
-
抗體亞型:IgG
-
純化方式:>95%, Protein G purified
-
濃度:It differs from different batches. Please contact us to confirm it.
-
保存緩沖液:Preservative: 0.03% Proclin 300
Constituents: 50% Glycerol, 0.01M PBS, PH 7.4 -
產品提供形式:Liquid
-
應用范圍:ELISA,WB, IHC
-
推薦稀釋比:
Application Recommended Dilution WB 1:1000-1:3000 IHC 1:100-1:300 -
Protocols:
-
儲存條件:Upon receipt, store at -20°C or -80°C. Avoid repeated freeze.
-
貨期:Basically, we can dispatch the products out in 1-3 working days after receiving your orders. Delivery time maybe differs from different purchasing way or location, please kindly consult your local distributors for specific delivery time.
-
用途:For Research Use Only. Not for use in diagnostic or therapeutic procedures.
相關產品
靶點詳情
-
功能:Catalyzes a base-exchange reaction in which the polar head group of phosphatidylethanolamine (PE) or phosphatidylcholine (PC) is replaced by L-serine. Catalyzes mainly the conversion of phosphatidylcholine. Also converts, in vitro and to a lesser extent, phosphatidylethanolamine.
-
基因功能參考文獻:
- RYR2, PTDSS1 and AREG are autism susceptibility genes that are implicated in a Lebanese population-based study of copy number variations in this disease. PMID: 26742492
- PSS1 mutations not only affect cellular PS levels and distribution but also lead to a more complex imbalance in lipid homeostasis by disturbing PI4P metabolism. PMID: 27044099
- Gain-of-function missense mutations in the phosphatidylserine synthase 1 (PTDSS1) gene cause Lenz-Majewski syndrome. PMID: 24241535
- Purification and characterization of human phosphatidylserine synthases 1 and 2. PMID: 19014349
-
相關疾病:Lenz-Majewski hyperostotic dwarfism (LMHD)
-
亞細胞定位:Endoplasmic reticulum membrane; Multi-pass membrane protein.
-
蛋白家族:Phosphatidyl serine synthase family
-
數據庫鏈接:
Most popular with customers
-
-
YWHAB Recombinant Monoclonal Antibody
Applications: ELISA, WB, IHC, IF, FC
Species Reactivity: Human, Mouse, Rat
-
Phospho-YAP1 (S127) Recombinant Monoclonal Antibody
Applications: ELISA, WB, IHC
Species Reactivity: Human
-
-
-
-
-















