PTBP3 Antibody
-
中文名稱:PTBP3兔多克隆抗體
-
貨號:CSB-PA020060NA01HU
-
規格:¥880
-
圖片:
-
Western Blot
Positive WB detected in: K562 whole cell lysate, MCF-7 whole cell lysate
All lanes: PTBP3 antibody at 1:2000
Secondary
Goat polyclonal to rabbit IgG at 1/50000 dilution
Predicted band size: 60, 57, 61, 50 kDa
Observed band size: 60 kDa -
Western Blot
Positive WB detected in: K562 whole cell lysate, MCF7 whole cell lysate, A549 whole cell lysate, A431 whole cell lysate, HepG2 whole cell lysate, JK whole cell lysate, Hela whole cell lysate,PC-3 whole cell lysate
All lanes: PTBP3 antibody at 1:1000
Secondary
Goat polyclonal to rabbit IgG at 1/50000 dilution
Predicted band size: 55,60kDa
Observed band size: 55 kDa -
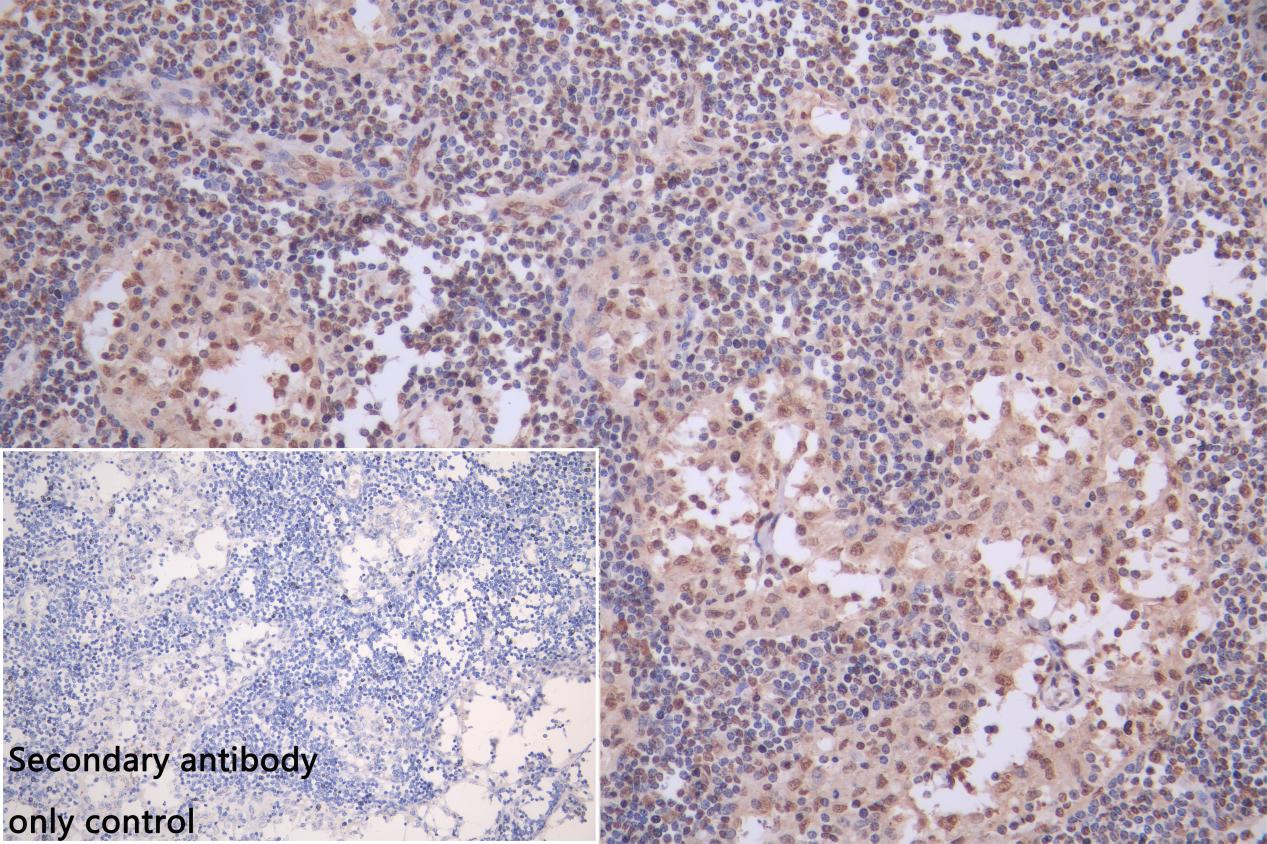
IHC image of CSB-PA020060NA01HU diluted at 1:200 and staining in paraffin-embedded human Lymphnode tissue performed on a Leica BondTM system. After dewaxing and hydration, antigen retrieval was mediated by high pressure in a citrate buffer (pH 6.0). Section was blocked with 10% normal goat serum 30min at RT. Then primary antibody (1% BSA) was incubated at 4°C overnight. The primary is detected by a Goat anti-rabbit polymer IgG labeled by HRP and visualized using 0.05% DAB. Secondary antibody only control: uses 1% BSA instead of primary antibody
-
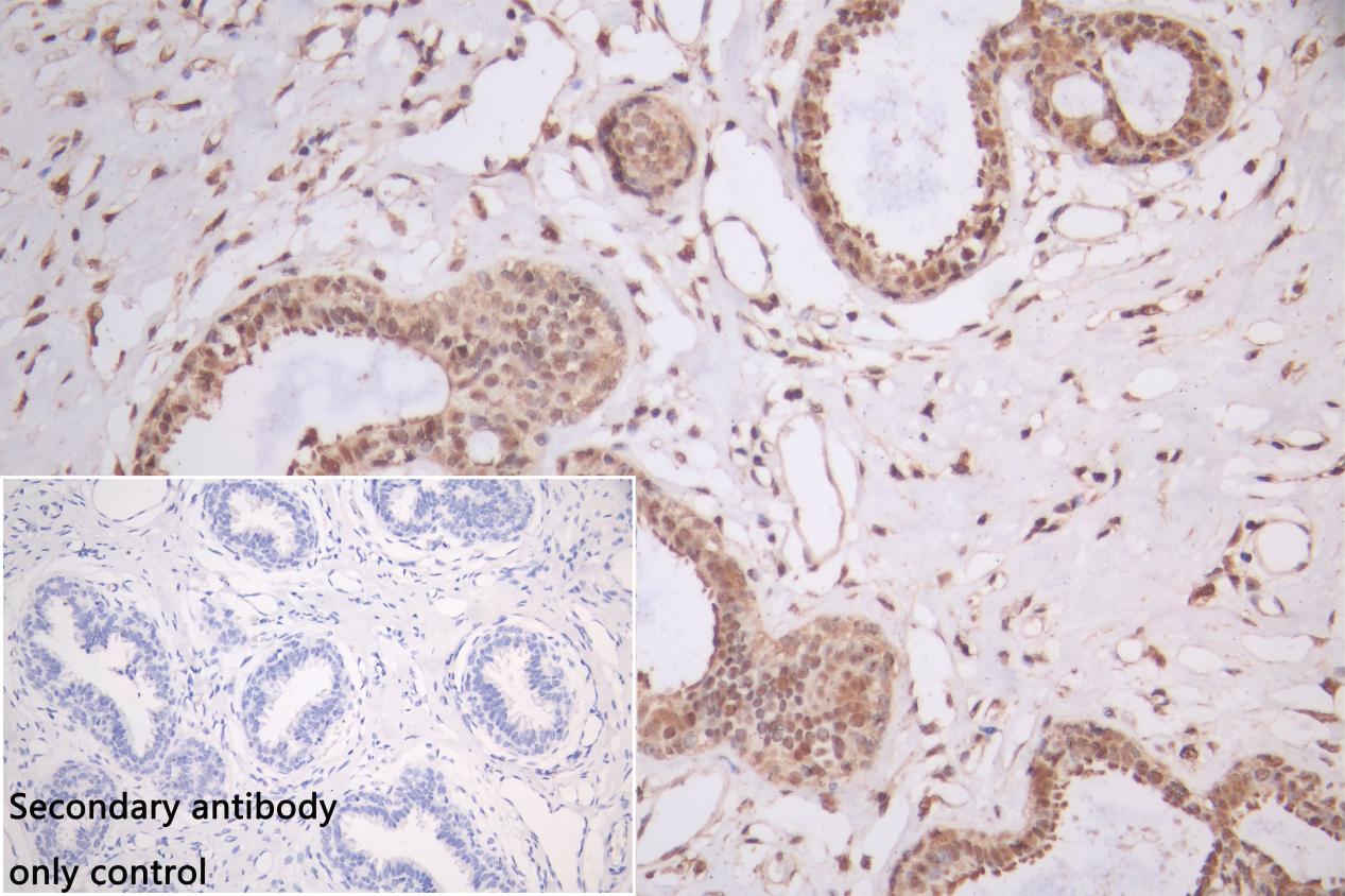
IHC image of CSB-PA020060NA01HU diluted at 1:200 and staining in paraffin-embedded human breast cancer performed on a Leica BondTM system. After dewaxing and hydration, antigen retrieval was mediated by high pressure in a citrate buffer (pH 6.0). Section was blocked with 10% normal goat serum 30min at RT. Then primary antibody (1% BSA) was incubated at 4°C overnight. The primary is detected by a Goat anti-rabbit polymer IgG labeled by HRP and visualized using 0.05% DAB. Secondary antibody only control: uses 1% BSA instead of primary antibody
-
Immunofluorescence staining of A549 cell with CSB-PA020060NA01HU at 1:30, counter-stained with DAPI. The cells were fixed in 4% formaldehyde and blocked in 10% normal Goat Serum. The cells were then incubated with the antibody overnight at 4C. The secondary antibody was Alexa Fluor 488-congugated AffiniPure Goat Anti-Rabbit IgG(H+L).
-
Immunofluorescence staining of A549 cell with 5% goat serum, counter-stained with DAPI. The cells were fixed in 4% formaldehyde and blocked in 10% normal Goat Serum. The cells were then incubated with the antibody overnight at 4C. The secondary antibody was Alexa Fluor 488-congugated AffiniPure Goat Anti-Rabbit IgG(H+L).
-
Immunofluorescence staining of NIH/3T3 cell with CSB-PA020060NA01HU at 1:30, counter-stained with DAPI. The cells were fixed in 4% formaldehyde and blocked in 10% normal Goat Serum. The cells were then incubated with the antibody overnight at 4C. The secondary antibody was Alexa Fluor 488-congugated AffiniPure Goat Anti-Rabbit IgG(H+L).
-
Immunofluorescence staining of NIH/3T3 cell with 5% goat serum, counter-stained with DAPI. The cells were fixed in 4% formaldehyde and blocked in 10% normal Goat Serum. The cells were then incubated with the antibody overnight at 4C. The secondary antibody was Alexa Fluor 488-congugated AffiniPure Goat Anti-Rabbit IgG(H+L).
-
-
其他:
產品詳情
-
產品名稱:Rabbit anti-Homo sapiens (Human) PTBP3 Polyclonal antibody
-
Uniprot No.:
-
基因名:
-
別名:DKFZp781I1117 antibody; Fission yeast differentiation regulator antibody; OTTHUMP00000021931 antibody; OTTHUMP00000021932 antibody; Polypyrimidine tract binding protein 3 antibody; regulator of differentiation 1 antibody; Regulator of differentiation (in S. pombe) 1 antibody; Regulator of differentiation 1 antibody; ROD 1 antibody; Rod1 antibody; ROD1 regulator of differentiation 1 antibody; ROD1_HUMAN antibody
-
宿主:Rabbit
-
反應種屬:Human,Mouse
-
免疫原:Fusion protein of human PTBP3
-
免疫原種屬:Homo sapiens (Human)
-
標記方式:Non-conjugated
本頁面中的產品,PTBP3 Antibody (CSB-PA020060NA01HU),的標記方式是Non-conjugated。對于PTBP3 Antibody,我們還提供其他標記。見下表:
-
克隆類型:Polyclonal
-
抗體亞型:IgG
-
純化方式:Antigen Affinity Purified
-
濃度:It differs from different batches. Please contact us to confirm it.
-
保存緩沖液:pH7.4 PBS, 0.05% NaN3, 40% Glycerol
-
產品提供形式:Liquid
-
應用范圍:ELISA, WB, IHC,IF
-
推薦稀釋比:
Application Recommended Dilution WB 1:1000-1:5000 IHC 1:20-1:200 IF 1:20-1:100. -
Protocols:
-
儲存條件:Upon receipt, store at -20°C or -80°C. Avoid repeated freeze.
-
貨期:Basically, we can dispatch the products out in 1-3 working days after receiving your orders. Delivery time maybe differs from different purchasing way or location, please kindly consult your local distributors for specific delivery time.
-
用途:For Research Use Only. Not for use in diagnostic or therapeutic procedures.
相關產品
靶點詳情
-
功能:RNA-binding protein that mediates pre-mRNA alternative splicing regulation. Plays a role in the regulation of cell proliferation, differentiation and migration. Positive regulator of EPO-dependent erythropoiesis. Participates in cell differentiation regulation by repressing tissue-specific exons. Promotes FAS exon 6 skipping. Binds RNA, preferentially to both poly(G) and poly(U).
-
基因功能參考文獻:
- Low PTBP1 expression is associated with Prostate Cancer Growth. PMID: 29187400
- High PTBP3 expression is associated with Epithelial-Mesenchymal Transition in Breast Cancer. PMID: 29187406
- RTqPCR revealed that the expression level of miR210 and ROD1 in the antimiR210 group was significantly reduced when compared with the NC and BL groups (P<0.05). MiR210 was overexpressed in the serum of prostate cancer patients and transfection with an miR210 inhibitor was able to effectively inhibit the proliferation of prostate cancer cells and promote apoptosis. PMID: 29901117
- Increased PTBP3 expression is associated with 5- fluorouracil resistance in gastric cancer. PMID: 28222070
- We propose that miR-210 regulates cell proliferation and apoptosis in glioblastoma multiforme cells by targeting ROD1 PMID: 26443314
- Data show that polypyrimidine tract-binding proteins nPTB and ROD1 interact with mitochondrial tRNA(Thr) in the cytoplasm outside of mitochondria. PMID: 26657638
- PTBP3 may promote proliferation and inhibit the differentiation of human gastric cancer MKN45 cells PMID: 25119103
- ROD1 is a bona fide seedless target of miR-210. PMID: 23024754
- ROD1 and UPF1 associate with a significant number of common transcripts. PMID: 22575643
- Regulator of differentiation 1 (ROD1) binds to the amphipathic C-terminal peptide of thrombospondin-4 and is involved in its mitogenic activity. PMID: 19441079
顯示更多
收起更多
-
組織特異性:Expressed in several hematopoietic cell lines examined.
-
數據庫鏈接:
Most popular with customers
-
-
Phospho-YAP1 (S127) Recombinant Monoclonal Antibody
Applications: ELISA, WB, IHC
Species Reactivity: Human
-
-
-
-
-
-















