PSMF1 Antibody
-
中文名稱:PSMF1兔多克隆抗體
-
貨號:CSB-PA852882HA01HU
-
規格:¥440
-
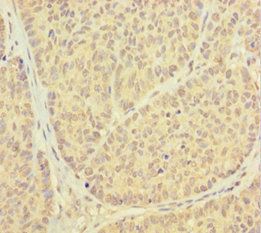
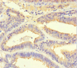
圖片:
-
其他:
產品詳情
-
產品名稱:Rabbit anti-Homo sapiens (Human) PSMF1 Polyclonal antibody
-
Uniprot No.:
-
基因名:PSMF1
-
別名:hPI31 antibody; PI31 antibody; Proteasome (prosome macropain) inhibitor subunit 1 antibody; Proteasome inhibitor hP131 subunit antibody; Proteasome inhibitor PI31 subunit antibody; PSMB2 antibody; Psmf1 antibody; PSMF1_HUMAN antibody; RP23 402M7.5 antibody; RP4 545L17.1 antibody
-
宿主:Rabbit
-
反應種屬:Human
-
免疫原:Recombinant Human Proteasome inhibitor PI31 subunit protein (1-271AA)
-
免疫原種屬:Homo sapiens (Human)
-
標記方式:Non-conjugated
本頁面中的產品,PSMF1 Antibody (CSB-PA852882HA01HU),的標記方式是Non-conjugated。對于PSMF1 Antibody,我們還提供其他標記。見下表:
-
克隆類型:Polyclonal
-
抗體亞型:IgG
-
純化方式:>95%, Protein G purified
-
濃度:It differs from different batches. Please contact us to confirm it.
-
保存緩沖液:Preservative: 0.03% Proclin 300
Constituents: 50% Glycerol, 0.01M PBS, PH 7.4 -
產品提供形式:Liquid
-
應用范圍:ELISA, IHC
-
推薦稀釋比:
Application Recommended Dilution IHC 1:20-1:200 -
Protocols:
-
儲存條件:Upon receipt, store at -20°C or -80°C. Avoid repeated freeze.
-
貨期:Basically, we can dispatch the products out in 1-3 working days after receiving your orders. Delivery time maybe differs from different purchasing way or location, please kindly consult your local distributors for specific delivery time.
-
用途:For Research Use Only. Not for use in diagnostic or therapeutic procedures.
相關產品
靶點詳情
-
功能:Plays an important role in control of proteasome function. Inhibits the hydrolysis of protein and peptide substrates by the 20S proteasome. Also inhibits the activation of the proteasome by the proteasome regulatory proteins PA700 and PA28.
-
基因功能參考文獻:
- cellular roles and mechanisms of PI31 in regulation of proteasome function remain unclear and require future definition. PMID: 24770418
- a model for FP domain-mediated dimerization of SCF(Fbxo7) and PI31 PMID: 18495667
-
亞細胞定位:Cytoplasm. Endoplasmic reticulum.
-
蛋白家族:Proteasome inhibitor PI31 family
-
數據庫鏈接:
Most popular with customers
-
-
YWHAB Recombinant Monoclonal Antibody
Applications: ELISA, WB, IHC, IF, FC
Species Reactivity: Human, Mouse, Rat
-
Phospho-YAP1 (S127) Recombinant Monoclonal Antibody
Applications: ELISA, WB, IHC
Species Reactivity: Human
-
-
-
-
-















