-
中文名稱:PSME1兔多克隆抗體
-
貨號:CSB-PA018915DSR1HU
-
規格:¥440
-
圖片:
-
Western blot
All lanes: PSME1 antibody at 0.75µg/ml
Lane 1: Mouse liver tissue
Lane 2: Raji whole cell lysate
Secondary
Goat polyclonal to rabbit IgG at 1/10000 dilution
Predicted band size: 29, 27 kDa
Observed band size: 29 kDa -
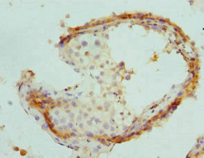
Immunohistochemistry of paraffin-embedded human testis tissue using CSB-PA018915DSR1HU at dilution of 1:100
-
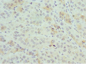
Immunohistochemistry of paraffin-embedded human liver cancer using CSB-PA018915DSR1HU at dilution of 1:100
-
Immunoprecipitating PSME1 in Jurkat whole cell lysate
Lane 1: Rabbit control IgG (1µg) instead of CSB-PA018915DSR1HU in Jurkat whole cell lysate. For western blotting, a HRP-conjugated Protein G antibody was used as the secondary antibody (1/2000)
Lane 2: CSB-PA018915DSR1HU (8µg) + Jurkat whole cell lysate (500µg)
Lane 3: Jurkat whole cell lysate (10µg)
-
-
其他:
產品詳情
-
產品名稱:Rabbit anti-Homo sapiens (Human) PSME1 Polyclonal antibody
-
Uniprot No.:
-
基因名:
-
別名:11S regulator complex alpha subunit antibody; 11S regulator complex subunit alpha antibody; 29 kD MCP activator subunit antibody; 29kD MCP activator subunit antibody; Activator of multicatalytic protease subunit 1 antibody; IFI5111 antibody; IGUP I-5111 antibody; Interferon gamma IEF SSP 5111 antibody; Interferon gamma inducible protein 5111 antibody; Interferon gamma up regulated I 5111 protein antibody; Interferon gamma up-regulated I-5111 protein antibody; MGC8628 antibody; PA28a antibody; PA28alpha antibody; Proteasome (prosome, macropain) activator subunit 1 (PA28 alpha) antibody; Proteasome activator 28 subunit alpha antibody; Proteasome activator complex subunit 1 antibody; Proteasome activator subunit 1 antibody; PSME1 antibody; PSME1_HUMAN antibody; REG-alpha antibody; REGalpha antibody
-
宿主:Rabbit
-
反應種屬:Human, Mouse
-
免疫原:Recombinant Human Proteasome activator complex subunit 1 protein (1-249AA)
-
免疫原種屬:Homo sapiens (Human)
-
標記方式:Non-conjugated
-
克隆類型:Polyclonal
-
抗體亞型:IgG
-
純化方式:Antigen Affinity Purified
-
濃度:It differs from different batches. Please contact us to confirm it.
-
保存緩沖液:PBS with 0.02% sodium azide, 50% glycerol, pH7.3.
-
產品提供形式:Liquid
-
應用范圍:ELISA, WB, IHC, IP
-
推薦稀釋比:
Application Recommended Dilution WB 1:500-1:2000 IHC 1:20-1:200 IP 1:200-1:2000 -
Protocols:
-
儲存條件:Upon receipt, store at -20°C or -80°C. Avoid repeated freeze.
-
貨期:Basically, we can dispatch the products out in 1-3 working days after receiving your orders. Delivery time maybe differs from different purchasing way or location, please kindly consult your local distributors for specific delivery time.
-
用途:For Research Use Only. Not for use in diagnostic or therapeutic procedures.
引用文獻
相關產品
靶點詳情
-
功能:Implicated in immunoproteasome assembly and required for efficient antigen processing. The PA28 activator complex enhances the generation of class I binding peptides by altering the cleavage pattern of the proteasome.
-
基因功能參考文獻:
- Such a modulation of proteasome activity is explained, at least in part, by the circadian expression of both Nuclear factor (erythroid-derived 2)-like 2 (Nrf2) and the proteasome activator PA28ab PMID: 26944190
- Results show that PA28alpha was found to be overexpressed in oral squamous cell carcinoma cell lines and tumor tissues. High expression of PA28alpha was significantly associated with recurrence and poorer overall survival. PMID: 26892607
- Constitutive expression of PA28 and ERAP1 in melanoma cells indicate that both interfere with MART-1(26-35) epitope generation even in the absence of IFN-gamma PMID: 26399368
- PA28 is a tumor marker and a potential target for therapeutic intervention in prostate cancer. PMID: 23918357
- Reduction in ATP levels triggers immunoproteasome activation by the 11S (PA28) regulator during early antiviral response mediated by IFNbeta in mouse pancreatic beta-cells. PMID: 23383295
- the first evidence of a novel ovarian cancer-specific marker PMID: 22532226
- PA28 selectively up-regulates the presentation of viral MHC class I epitopes and that down regulation PA28 in tumor cells results in impaired presentation of a human TRP2 tumor antigen. PMID: 12200048
- The relationship between anti-PA28alpha and Ki antibodies suggests the importance of an antigen-driven system in the induction of an autoimmune response to PA28 complex. PMID: 14760793
- DJ-1 and PA28alpha may have roles in the onset of hepatocarcinogenesis PMID: 17671684
- the 11S proteasome activator complex, Reg alpha fragment, may have a role in ovarian cancer PMID: 17939699
- bortezomib-adapted HL-60 cells showed increased expression and proteasome association of the 11S proteasome activator PMID: 19225532
顯示更多
收起更多
-
蛋白家族:PA28 family
-
數據庫鏈接:
Most popular with customers
-
-
YWHAB Recombinant Monoclonal Antibody
Applications: ELISA, WB, IHC, IF, FC
Species Reactivity: Human, Mouse, Rat
-
Phospho-YAP1 (S127) Recombinant Monoclonal Antibody
Applications: ELISA, WB, IHC
Species Reactivity: Human
-
-
-
-
-















