PSMD7 Antibody
-
中文名稱:PSMD7兔多克隆抗體
-
貨號:CSB-PA018912LA01HU
-
規格:¥440
-
圖片:
-
Western Blot
Positive WB detected in: 293 whole cell lysate
All lanes: PSMD7 antibody at 3.2μg/ml
Secondary
Goat polyclonal to rabbit IgG at 1/50000 dilution
Predicted band size: 38 kDa
Observed band size: 38 kDa -
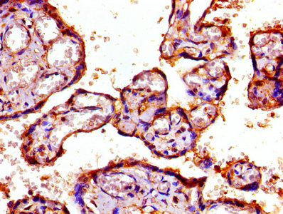
IHC image of CSB-PA018912LA01HU diluted at 1:800 and staining in paraffin-embedded human placenta tissue performed on a Leica BondTM system. After dewaxing and hydration, antigen retrieval was mediated by high pressure in a citrate buffer (pH 6.0). Section was blocked with 10% normal goat serum 30min at RT. Then primary antibody (1% BSA) was incubated at 4°C overnight. The primary is detected by a biotinylated secondary antibody and visualized using an HRP conjugated SP system.
-
Immunofluorescence staining of MCF-7 cells with CSB-PA018912LA01HU at 1:266, counter-stained with DAPI. The cells were fixed in 4% formaldehyde, permeabilized using 0.2% Triton X-100 and blocked in 10% normal Goat Serum. The cells were then incubated with the antibody overnight at 4°C. The secondary antibody was Alexa Fluor 488-congugated AffiniPure Goat Anti-Rabbit IgG(H+L).
-
-
其他:
產品詳情
-
產品名稱:Rabbit anti-Homo sapiens (Human) PSMD7 Polyclonal antibody
-
Uniprot No.:
-
基因名:PSMD7
-
別名:26S proteasome non ATPase regulatory subunit 7 antibody; 26S proteasome non-ATPase regulatory subunit 7 antibody; 26S proteasome regulatory subunit RPN8 antibody; 26S proteasome regulatory subunit S12 antibody; integration site gene; mouse; homolog of antibody; Moloney leukemia virus 34 proviral antibody; Moloney leukemia virus 34 proviral integration antibody; MOV34 antibody; Mov34 homolog antibody; Mov34 protein homolog antibody; MOV34L antibody; P40 antibody; Proteasome (prosome; macropain) 26S subunit; non ATPase 7 antibody; Proteasome (prosome; macropain) 26S subunit; non ATPase; 7 (Mov34 homolog) antibody; Proteasome 26S S12 antibody; Proteasome 26S subunit; no-ATPase; 7 antibody; Proteasome subunit p40 antibody; PSD7_HUMAN antibody; PSMD 7 antibody; PSMD7 antibody; Rpn8 antibody; S12 antibody
-
宿主:Rabbit
-
反應種屬:Human
-
免疫原:Recombinant Human 26S proteasome non-ATPase regulatory subunit 7 protein (1-324AA)
-
免疫原種屬:Homo sapiens (Human)
-
標記方式:Non-conjugated
本頁面中的產品,PSMD7 Antibody (CSB-PA018912LA01HU),的標記方式是Non-conjugated。對于PSMD7 Antibody,我們還提供其他標記。見下表:
-
克隆類型:Polyclonal
-
抗體亞型:IgG
-
純化方式:>95%, Protein G purified
-
濃度:It differs from different batches. Please contact us to confirm it.
-
保存緩沖液:Preservative: 0.03% Proclin 300
Constituents: 50% Glycerol, 0.01M PBS, PH 7.4 -
產品提供形式:Liquid
-
應用范圍:ELISA, WB, IHC, IF, IP
-
推薦稀釋比:
Application Recommended Dilution WB 1:1000-1:5000 IHC 1:500-1:1000 IF 1:50-1:500 IP 1:200-1:2000 -
Protocols:
-
儲存條件:Upon receipt, store at -20°C or -80°C. Avoid repeated freeze.
-
貨期:Basically, we can dispatch the products out in 1-3 working days after receiving your orders. Delivery time maybe differs from different purchasing way or location, please kindly consult your local distributors for specific delivery time.
-
用途:For Research Use Only. Not for use in diagnostic or therapeutic procedures.
相關產品
靶點詳情
-
功能:Component of the 26S proteasome, a multiprotein complex involved in the ATP-dependent degradation of ubiquitinated proteins. This complex plays a key role in the maintenance of protein homeostasis by removing misfolded or damaged proteins, which could impair cellular functions, and by removing proteins whose functions are no longer required. Therefore, the proteasome participates in numerous cellular processes, including cell cycle progression, apoptosis, or DNA damage repair.
-
基因功能參考文獻:
- SNP rs17336700 of a non-MHC ubiquitin-proteasome subunit PSMD7 is significantly associated with ankylosing spondylitis in Chinese population and the mRNA level of the PSMD7 gene in liver tissue increased when the rs17336700 C allele was present. PMID: 20643764
- hVIP is a member of the complex array of nucleocytoplasmic shuttling proteins that are regulated by HIV infection and glucocorticoids PMID: 12237292
- data suggest a differential nuclear function of modified and unmodified S12 in cancer PMID: 15221960
- MPN domain of Mov34 is highly resistant to proteolysis PMID: 16842755
- although the MPN domain of Mov34 shows a typical metalloprotease fold, it is unable to coordinate a metal ion. PMID: 17559875
顯示更多
收起更多
-
蛋白家族:Peptidase M67A family
-
數據庫鏈接:
Most popular with customers
-
-
YWHAB Recombinant Monoclonal Antibody
Applications: ELISA, WB, IHC, IF, FC
Species Reactivity: Human, Mouse, Rat
-
Phospho-YAP1 (S127) Recombinant Monoclonal Antibody
Applications: ELISA, WB, IHC
Species Reactivity: Human
-
-
-
-
-















