PSMD5 Antibody
-
中文名稱:PSMD5兔多克隆抗體
-
貨號:CSB-PA618074ESR1HU
-
規格:¥440
-
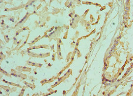
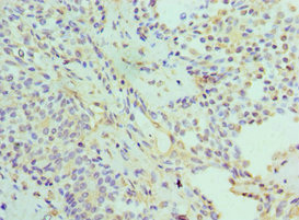
圖片:
-
其他:
產品詳情
-
產品名稱:Rabbit anti-Homo sapiens (Human) PSMD5 Polyclonal antibody
-
Uniprot No.:
-
基因名:PSMD5
-
別名:26S protease subunit S5 basic antibody; 26S proteasome non-ATPase regulatory subunit 5 antibody; 26S proteasome subunit S5B antibody; Protease 26S; subunit 5B antibody; Proteasome (prosome; macropain) 26S subunit; non ATPase; 5 antibody; Proteasome 19S S5B antibody; Proteasome 26S subunit; non ATPase; 5 antibody; PSMD5 antibody; PSMD5_HUMAN antibody; S5B antibody
-
宿主:Rabbit
-
反應種屬:Human
-
免疫原:Recombinant Human 26S proteasome non-ATPase regulatory subunit 5 protein (255-504AA)
-
免疫原種屬:Homo sapiens (Human)
-
標記方式:Non-conjugated
-
克隆類型:Polyclonal
-
抗體亞型:IgG
-
純化方式:Antigen Affinity Purified
-
濃度:It differs from different batches. Please contact us to confirm it.
-
保存緩沖液:PBS with 0.02% sodium azide, 50% glycerol, pH7.3.
-
產品提供形式:Liquid
-
應用范圍:ELISA, IHC
-
推薦稀釋比:
Application Recommended Dilution IHC 1:20-1:200 -
Protocols:
-
儲存條件:Upon receipt, store at -20°C or -80°C. Avoid repeated freeze.
-
貨期:Basically, we can dispatch the products out in 1-3 working days after receiving your orders. Delivery time maybe differs from different purchasing way or location, please kindly consult your local distributors for specific delivery time.
-
用途:For Research Use Only. Not for use in diagnostic or therapeutic procedures.
相關產品
靶點詳情
-
功能:Acts as a chaperone during the assembly of the 26S proteasome, specifically of the base subcomplex of the PA700/19S regulatory complex (RC). In the initial step of the base subcomplex assembly is part of an intermediate PSMD5:PSMC2:PSMC1:PSMD2 module which probably assembles with a PSMD10:PSMC4:PSMC5:PAAF1 module followed by dissociation of PSMD5.
-
基因功能參考文獻:
- the critical role of S5b/PSMD5 in negative regulation of proteasome by TNF-alpha/NFkappaB and provide insights into proteasome inhibition in human disease. PMID: 22921402
-
蛋白家族:Proteasome subunit S5B/HSM3 family
-
數據庫鏈接:
Most popular with customers
-
-
Phospho-YAP1 (S127) Recombinant Monoclonal Antibody
Applications: ELISA, WB, IHC
Species Reactivity: Human
-
-
-
-
-
-















