PSMD13 Antibody
-
中文名稱:PSMD13兔多克隆抗體
-
貨號:CSB-PA890768ESR1HU
-
規格:¥440
-
圖片:
-
Western blot
All lanes: PSMD13antibody at 3.42μg/ml
Lane 1: Mouse lung tissue
Lane 2: 293T whole cell lysate
Lane 3: Hela whole cell lysate
Lane 4: HepG2 whole cell lysate
Lane 5: Jurkat whole cell lysate
Secondary
Goat polyclonal to rabbit IgG at 1/10000 dilution
Predicted band size: 43 kDa
Observed band size: 43 kDa -
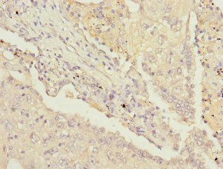
Immunohistochemistry of paraffin-embedded human lung cancer using CSB-PA890768ESR1HU at dilution of 1:100
-
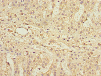
Immunohistochemistry of paraffin-embedded human adrenal gland tissue using CSB-PA890768ESR1HU at dilution of 1:100
-
-
其他:
產品詳情
-
產品名稱:Rabbit anti-Homo sapiens (Human) PSMD13 Polyclonal antibody
-
Uniprot No.:
-
基因名:PSMD13
-
別名:26S proteasome non ATPase regulatory subunit 13 antibody; 26S proteasome non-ATPase regulatory subunit 13 antibody; 26S proteasome regulatory subunit p40.5 antibody; 26S proteasome regulatory subunit RPN9 antibody; 26S proteasome regulatory subunit S11 antibody; 26S proteasome subunit p40.5 antibody; HSPC027 antibody; P40.5 antibody; Proteasome (prosome, macropain) 26S subunit, non ATPase, 13 antibody; Proteasome 26S subunit, non-ATPase 13 antibody; PSD13_HUMAN antibody; psmD13 antibody; Rpn9 antibody; S11 antibody
-
宿主:Rabbit
-
反應種屬:Human, Mouse
-
免疫原:Recombinant Human 26S proteasome non-ATPase regulatory subunit 13 protein (1-250AA)
-
免疫原種屬:Homo sapiens (Human)
-
標記方式:Non-conjugated
-
克隆類型:Polyclonal
-
抗體亞型:IgG
-
純化方式:Antigen Affinity Purified
-
濃度:It differs from different batches. Please contact us to confirm it.
-
保存緩沖液:PBS with 0.02% sodium azide, 50% glycerol, pH7.3.
-
產品提供形式:Liquid
-
應用范圍:ELISA, WB, IHC
-
推薦稀釋比:
Application Recommended Dilution WB 1:1000-1:5000 IHC 1:20-1:200 -
Protocols:
-
儲存條件:Upon receipt, store at -20°C or -80°C. Avoid repeated freeze.
-
貨期:Basically, we can dispatch the products out in 1-3 working days after receiving your orders. Delivery time maybe differs from different purchasing way or location, please kindly consult your local distributors for specific delivery time.
-
用途:For Research Use Only. Not for use in diagnostic or therapeutic procedures.
相關產品
靶點詳情
-
功能:Component of the 26S proteasome, a multiprotein complex involved in the ATP-dependent degradation of ubiquitinated proteins. This complex plays a key role in the maintenance of protein homeostasis by removing misfolded or damaged proteins, which could impair cellular functions, and by removing proteins whose functions are no longer required. Therefore, the proteasome participates in numerous cellular processes, including cell cycle progression, apoptosis, or DNA damage repair.
-
基因功能參考文獻:
- Data show that UBLCP1 selectively binds to the 26S proteasome non-ATPase regulatory subunit 13 (19S regulatory particle) in regulating proteasome assembly. PMID: 28539385
- The SIRT3 5' flanking region encompasses the PSMD13 gene encoding the p40.5 regulator subunit of the 26S proteasome. PMID: 17059877
-
蛋白家族:Proteasome subunit S11 family
-
數據庫鏈接:
Most popular with customers
-
-
YWHAB Recombinant Monoclonal Antibody
Applications: ELISA, WB, IHC, IF, FC
Species Reactivity: Human, Mouse, Rat
-
-
-
-
-
-















