PSMB8 Antibody
-
中文名稱:PSMB8兔多克隆抗體
-
貨號:CSB-PA116429
-
規格:¥1100
-
圖片:
-
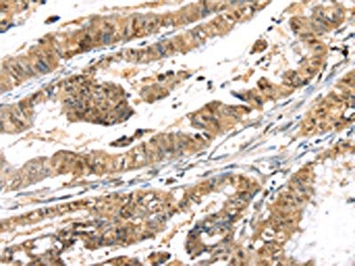
The image on the left is immunohistochemistry of paraffin-embedded Human liver cancer tissue using CSB-PA116429(PSMB8 Antibody) at dilution 1/30, on the right is treated with synthetic peptide. (Original magnification: ×200)
-
The image on the left is immunohistochemistry of paraffin-embedded Human esophagus cancer tissue using CSB-PA116429(PSMB8 Antibody) at dilution 1/30, on the right is treated with synthetic peptide. (Original magnification: ×200)
-
Gel: 8%SDS-PAGE,Lysate: 40 μg,Lane 1-6: 231 cells, A431 cells, Mouse liver tissue, Human placenta tissue, Jurkat cells, Raji cells,Primary antibody: CSB-PA116429(PSMB8 Antibody) at dilution 1/350 dilution,Secondary antibody: Goat anti rabbit IgG at 1/8000 dilution,Exposure time: 10 seconds
-
-
其他:
產品詳情
-
Uniprot No.:
-
基因名:PSMB8
-
別名:ALDD antibody; D6S216 antibody; D6S216E antibody; Large multifunctional peptidase 7 antibody; Large multifunctional protease 7 antibody; LMP 7 antibody; LMP7 antibody; Low molecular mass protein 7 antibody; Low molecular weight protein 7 antibody; Macropain subunit C13 antibody; MGC1491 antibody; Multicatalytic endopeptidase complex subunit C13 antibody; NKJO antibody; OTTHUMP00000062981 antibody; Protease component C13 antibody; Proteasome (prosome macropain) subunit beta type 8 antibody; Proteasome (prosome, macropain) subunit, beta type, 8 (large multifunctional peptidase 7) antibody; Proteasome beta 8 subunit antibody; Proteasome catalytic subunit 3i antibody; Proteasome component C13 antibody; Proteasome related gene 7 antibody; Proteasome subunit beta 5i antibody; Proteasome subunit beta 8 antibody; Proteasome subunit beta type 8 antibody; Proteasome subunit beta type antibody; Proteasome subunit beta type-8 antibody; Proteasome subunit beta-5i antibody; Proteasome subunit Y2 antibody; PSB8_HUMAN antibody; PSMB 8 antibody; PSMB5i antibody; PSMB8 antibody; Really interesting new gene 10 protein antibody; RING 10 antibody; RING10 antibody; Y2 antibody
-
宿主:Rabbit
-
反應種屬:Human,Mouse
-
免疫原:Synthetic peptide of Human PSMB8
-
免疫原種屬:Homo sapiens (Human)
-
標記方式:Non-conjugated
-
抗體亞型:IgG
-
純化方式:Antigen affinity purification
-
濃度:It differs from different batches. Please contact us to confirm it.
-
保存緩沖液:-20°C, pH7.4 PBS, 0.05% NaN3, 40% Glycerol
-
產品提供形式:Liquid
-
應用范圍:ELISA,WB,IHC
-
推薦稀釋比:
Application Recommended Dilution ELISA 1:1000-1:2000 WB 1:200-1:1000 IHC 1:25-1:100 -
Protocols:
-
儲存條件:Upon receipt, store at -20°C or -80°C. Avoid repeated freeze.
-
貨期:Basically, we can dispatch the products out in 1-3 working days after receiving your orders. Delivery time maybe differs from different purchasing way or location, please kindly consult your local distributors for specific delivery time.
-
用途:For Research Use Only. Not for use in diagnostic or therapeutic procedures.
相關產品
靶點詳情
-
功能:The proteasome is a multicatalytic proteinase complex which is characterized by its ability to cleave peptides with Arg, Phe, Tyr, Leu, and Glu adjacent to the leaving group at neutral or slightly basic pH. The proteasome has an ATP-dependent proteolytic activity. This subunit is involved in antigen processing to generate class I binding peptides. Replacement of PSMB5 by PSMB8 increases the capacity of the immunoproteasome to cleave model peptides after hydrophobic and basic residues. Involved in the generation of spliced peptides resulting from the ligation of two separate proteasomal cleavage products that are not contiguous in the parental protein. Acts as a major component of interferon gamma-induced sensitivity. Plays a key role in apoptosis via the degradation of the apoptotic inhibitor MCL1. May be involved in the inflammatory response pathway. In cancer cells, substitution of isoform 1 (E2) by isoform 2 (E1) results in immunoproteasome deficiency. Required for the differentiation of preadipocytes into adipocytes.
-
基因功能參考文獻:
- PSMB8 is closely associated with migration, proliferation, and apoptosis of glioma cells. PMID: 29428669
- The present study illustrated that the carriage of LMP7 rs2071543-AA and TAP2 rs1800454-AA had a negative effect on treatment response to pegIFN-alpha/RBV among genotype 1 patient with chronic hepatitis C (CHC) in a Chinese Han population PMID: 29039469
- JAK1 mutations are highly frequent in microsatellite unstable endometrial cancer, not associated with survival, but are associated with impaired upregulation of LMP7 and HLA class I and may therefore facilitate immune escape PMID: 27213585
- Upregulation of proteasome subunit beta type 8 PSMB8 and PDZ binding kinase PBK was confirmed by real-time reverse transcription-PCR analysis. PMID: 26894977
- This is the first study to report that the heterozygous LMP2 R/C and homozygous C/C genotypes increase susceptibility to ESCC in the Kazakh population and that the heterozygous LMP7 Q/K genotype decreases susceptibility to ESCC in this population PMID: 29073155
- PSMB8 rs2071464 was associated with generalized and active vitiligo from Gujarat whereas TAP1 rs1135216 showed no association. The down-regulation of PSMB8 in patients with risk genotype 'CC' advocates the vital role of PSMB8 in the autoimmune basis of vitiligo. PMID: 28700671
- results suggest that PSMB8 is a predictive marker of preoperative radiosensitivity in locally advanced rectal cancer patients. PMID: 28721901
- Data show that tight junction protein 1 (TJP1) suppressed expression of the catalytically proteasome subunits LMP7 and LMP2, decreased proteasome activity, and enhanced proteasome inhibitor sensitivity in vitro and in vivo through suppression of EGFR/JAK1/STAT3 signaling. PMID: 27132469
- there was no significant difference with respect to the genotypic frequencies of the SNPs in PSMB8, TAP1, and TAP2 loci in Parkinson's disease patients PMID: 27098790
- We described a Brazilian patient with CANDLE syndrome possessing a novel mutation in the PSMB8 gene. PMID: 26567544
- designed siRNAs that efficiently silence LMP2, LMP7 and MECL-1 gene expression. PMID: 26944796
- Proteasome beta5i Subunit Deficiency Affects Opsonin Synthesis and Aggravates Pneumococcal Pneumonia. PMID: 27100179
- demonstrated that patients with the LMP-7 CA/AA genotypes were more likely to have advanced fibrosis scores than those bearing the CC genotype PMID: 27156327
- lupus nephritis showed up-regulation of the immunoproteasome subunit LMP7 in tubular epithelial cells associated with type I interferon signature. PMID: 25889472
- Comparison with reference profiles of sorted immune cells and healthy muscle confirmed upregulation of PSMB8 and -9 in myositis biopsies beyond infiltration related changes. PMID: 25098831
- The LMP7 gene promoter methylation and protein downregulation were correlated at high extent in Kazakh's ESCC patients, and may explain the epigenetic regulation on gene expression. PMID: 23283737
- In patients with primary Sjogren's syndrome, the expression of LMP7 (but not LMP2) is up-regulated in the labial gland. PMID: 21529441
- The MAGE-C(2336-344) antigenic peptide is produced by the immunoproteasome and intermediate proteasome beta1i-beta5i, but not by the standard proteasome nor intermediate proteasome beta5i. PMID: 22925930
- high risk of colon cancer was associated with LMP7-K/Q genotype and low risk with LMP7-Q/Q genotype; results suggest the presence of LMP7-K can reduce formation of immunoproteasomes and thus peptide processing, followed by reduced peptide-HLA presentation, a crucial factor in the immune response against cancer PMID: 22037870
- CANDLE syndrome is caused by mutations in PSMB8, a gene recently reported to cause "JMP" syndrome in adults. PMID: 21953331
- the genetic variant within the LMP2/LMP7 gene would increase the risk of intestinal M. tuberculosis infection. PMID: 21303409
- found a homozygous missense mutation (G197V) in immunoproteasome subunit, beta type 8 (PSMB8), which encodes one of the beta subunits induced by IFN-gamma in patients from 2 consanguineous families with lipodystrophy PMID: 21881205
- Proteasome assembly defect due to a proteasome subunit beta type 8 (PSMB8) mutation causes the autoinflammatory disorder, Nakajo-Nishimura syndrome PMID: 21852578
- we identified two single nucleotide polymorphisms within the beta5i/LMP7-encoding gene sequences, which were in strong linkage disequilibrium, as independent genetic risk factors for type 1 diabetes development in humans PMID: 21804012
- HLA-I, TAP1, CNX, LMP7, Erp57, Tapasin and ERAP1 were down-regulated in 68%, 44%, 48%, 40%, 52%, 32% and 20% of esophageal squamous cell carcinoma lesions then, respectively. PMID: 21362330
- PSMB8 encodes a catalytic subunit of the 20S immunoproteasomes called beta5i. Immunoproteasome-mediated proteolysis generates immunogenic epitopes presented by major histocompatibility complex (MHC) class I molecules PMID: 21129723
- In a southern Spanish population, no differences were observed in the frequencies of the LMP and TAP genotypes between brucellosis patients and controls. PMID: 20470844
- The frequencies of LMP7 genotypes and alleles showed no significant differences among different ages of diabetic onset. PMID: 11793848
- Impaired expression of proteasome subunits is involved in the loss of HLA class I expression in human colon cancer cells. PMID: 12519221
- LMP7 is associated with vitiligo. PMID: 14551602
- upregulation by IRF-1 and interferon gamma PMID: 15907481
- Expression of LMP7E1 is cancer cells is an additional strategy of oncogenesis PMID: 16423992
- two inducible subunits of the proteasome, lmp2 and lmp7, are transcriptionally up-regulated by heat shock; heat-shocked cells show enhanced presentation of immunoproteasome-dependent MHC I antigenic epitopes, but not immunoproteasome-independent epitopes PMID: 17142736
- LMP7-145 site is associated with the risk of HBV infection. PMID: 17525827
- study found strong associations of psoriasis with variant alleles of LMP and TAP PMID: 17581627
- Patients with proteinuria greater than 0.5 g/1.73 m(2)/day had a significant switch of the chymotryptic-like beta5 protease to the LMP7 subunit, but this did not occur in patients with idiopathic nephrotic syndrome PMID: 19037255
- The different proteasome profiles of (IFN)DC and (IL-4)DC were associated with a greater ability of (IFN)DC to present an immunodominant epitope that requires LMP7 expression for its processing. PMID: 19065646
- Downregulation of LMP7 is associated with acute myeloid leukaemic blasts. PMID: 19148137
- the immunoproteasome appears to be a key link between inflammatory factors and the control of vascular cell apoptosis and may thus be an important factor in plaque rupture and myocardial infarction. PMID: 19443843
- LMP7 gene polymorphism showed identical frequency of different genotypes in hypertensive patients (Lys/Lys--92.4%, Lys/Gln--7.6%, Gln/Gln--0%) and healthy people (97.3%, 2.7%, 0% correspondingly; P = 0.16). PMID: 19526842
- the reduced LMP7-mRNA level by HSV-1 could be of biological importance, since the virus could escape/hide from immune system of the host and establish latency processes. PMID: 19619915
- Interferon-induced PSMB8/LMP7 accelerates the degradation of Mcl-1 and increases the sensitivity of vascular lesion cells to apoptosis induced by fas ligation. PMID: 19443843
顯示更多
收起更多
-
相關疾病:Nakajo syndrome (NKJO)
-
亞細胞定位:Cytoplasm. Nucleus.
-
蛋白家族:Peptidase T1B family
-
數據庫鏈接:
Most popular with customers
-
-
YWHAB Recombinant Monoclonal Antibody
Applications: ELISA, WB, IHC, IF, FC
Species Reactivity: Human, Mouse, Rat
-
Phospho-YAP1 (S127) Recombinant Monoclonal Antibody
Applications: ELISA, WB, IHC
Species Reactivity: Human
-
-
-
-
-















