PSKH2 Antibody
-
中文名稱:PSKH2兔多克隆抗體
-
貨號:CSB-PA822291LA01HU
-
規格:¥440
-
圖片:
-
Western blot
All lanes: PSKH2 antibody at 2µg/ml
Lane 1: Hela whole cell lysate
Lane 2: Mouse heart tissue
Lane 3: Rat gonad tissue
Secondary
Goat polyclonal to rabbit IgG at 1/10000 dilution
Predicted band size: 44 kDa
Observed band size: 44 kDa -
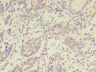
Immunohistochemistry of paraffin-embedded human gastric cancer using CSB-PA822291LA01HU at dilution of 1:100
-
-
其他:
產品詳情
-
產品名稱:Rabbit anti-Homo sapiens (Human) PSKH2 Polyclonal antibody
-
Uniprot No.:
-
基因名:PSKH2
-
別名:PSKH2Serine/threonine-protein kinase H2 antibody; EC 2.7.11.1 antibody; Protein serine kinase H2 antibody; PSK-H2 antibody
-
宿主:Rabbit
-
反應種屬:Human, Mouse, Rat
-
免疫原:Recombinant Human Serine/threonine-protein kinase H2 protein (63-320AA)
-
免疫原種屬:Homo sapiens (Human)
-
標記方式:Non-conjugated
本頁面中的產品,PSKH2 Antibody (CSB-PA822291LA01HU),的標記方式是Non-conjugated。對于PSKH2 Antibody,我們還提供其他標記。見下表:
-
克隆類型:Polyclonal
-
抗體亞型:IgG
-
純化方式:>95%, Protein G purified
-
濃度:It differs from different batches. Please contact us to confirm it.
-
保存緩沖液:Preservative: 0.03% Proclin 300
Constituents: 50% Glycerol, 0.01M PBS, PH 7.4 -
產品提供形式:Liquid
-
應用范圍:ELISA, WB, IHC
-
推薦稀釋比:
Application Recommended Dilution WB 1:500-1:1000 IHC 1:20-1:200 -
Protocols:
-
儲存條件:Upon receipt, store at -20°C or -80°C. Avoid repeated freeze.
-
貨期:Basically, we can dispatch the products out in 1-3 working days after receiving your orders. Delivery time maybe differs from different purchasing way or location, please kindly consult your local distributors for specific delivery time.
-
用途:For Research Use Only. Not for use in diagnostic or therapeutic procedures.
相關產品
Most popular with customers
-
-
YWHAB Recombinant Monoclonal Antibody
Applications: ELISA, WB, IHC, IF, FC
Species Reactivity: Human, Mouse, Rat
-
-
-
-
-
-















