PRSS2 Antibody
-
中文名稱:PRSS2兔多克隆抗體
-
貨號:CSB-PA018814LA01HU
-
規格:¥440
-
圖片:
-
Western Blot
Positive WB detected in: Mouse heart tissue, Mouse liver tissue, Mouse brain tissue, Mouse kidney tissue
All lanes: PRSS2 antibody at 3μg/ml
Secondary
Goat polyclonal to rabbit IgG at 1/50000 dilution
Predicted band size: 27 kDa
Observed band size: 27 kDa -
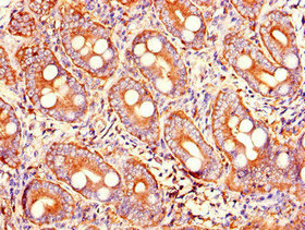
Immunohistochemistry of paraffin-embedded human small intestine tissue using CSB-PA018814LA01HU at dilution of 1:100
-
-
其他:
產品詳情
-
產品描述:
CUSABIO's product CSB-PA018814LA01HU is a PRSS2 polyclonal antibody raised in the rabbit against the recombinant human PRSS2 protein (24-247AA). It exists as the unconjugated IgG isoform. It is purified by protein G and reaches up to 95% in purity. And it shows reactivity with human and mouse samples. This PRSS2 antibody can recognize PRSS2 protein in ELISA, WB, and IHC applications. The PRSS2 protein is found at high levels in pancreatic juice and is upregulated in human pancreatitis and chronic alcoholism.
-
產品名稱:Rabbit anti-Homo sapiens (Human) PRSS2 Polyclonal antibody
-
Uniprot No.:
-
基因名:PRSS2
-
別名:Anionic trypsinogen antibody; EC 3.4.21.4 antibody; MGC111183 antibody; MGC120174 antibody; Protease serine 2 preproprotein antibody; Protease; serine; 2 (trypsin 2) antibody; Protease; serine; 2 antibody; Protease; serine; 2; preproprotein antibody; Prss2 antibody; Serine protease 2 antibody; TRY2 antibody; TRY2_HUMAN antibody; TRY8 antibody; TRYP2 antibody; Trypsin 2 antibody; Trypsin II antibody; Trypsin-2 antibody; Trypsinogen 2 antibody
-
宿主:Rabbit
-
反應種屬:Human, Mouse
-
免疫原:Recombinant Human Trypsin-2 protein (24-247AA)
-
免疫原種屬:Homo sapiens (Human)
-
標記方式:Non-conjugated
本頁面中的產品,PRSS2 Antibody (CSB-PA018814LA01HU),的標記方式是Non-conjugated。對于PRSS2 Antibody,我們還提供其他標記。見下表:
-
克隆類型:Polyclonal
-
抗體亞型:IgG
-
純化方式:>95%, Protein G purified
-
濃度:It differs from different batches. Please contact us to confirm it.
-
保存緩沖液:Preservative: 0.03% Proclin 300
Constituents: 50% Glycerol, 0.01M PBS, PH 7.4 -
產品提供形式:Liquid
-
應用范圍:ELISA, WB, IHC
-
推薦稀釋比:
Application Recommended Dilution WB 1:500-1:5000 IHC 1:20-1:200 -
Protocols:
-
儲存條件:Upon receipt, store at -20°C or -80°C. Avoid repeated freeze.
-
貨期:Basically, we can dispatch the products out in 1-3 working days after receiving your orders. Delivery time maybe differs from different purchasing way or location, please kindly consult your local distributors for specific delivery time.
-
用途:For Research Use Only. Not for use in diagnostic or therapeutic procedures.
相關產品
靶點詳情
-
功能:In the ileum, may be involved in defensin processing, including DEFA5.
-
基因功能參考文獻:
- evaluated the association of claudin2 and PRSS1-PRSS2 polymorphisms with idiopathic recurrent acute (RAP) and chronic pancreatitis PMID: 26110235
- PRSS2 single nucleotide polymorphism associated with the development of alcoholic pancreatitis. PMID: 25253127
- Serum trypsinogen-2 is associated with pancreatic cancer and pancreatitis. PMID: 25916077
- trypsin-2 over-expression enhanced tongue carcinoma cell invasion by various genetic and proteolytic mechanisms. PMID: 22909050
- Elevation of urine trypsinogen 2 is an independent risk factor for pancreatic fistula after pancreaticoduodenectomy. PMID: 22357509
- Report a simple, rapid, easy, and noninvasive urinary trypsinogen-2 test can diagnose or rule out most cases of acute pancreatitis. PMID: 22481290
- Data show that urinary trypsinogen-2 dipstick test is a useful test for early diagnosis of post-endoscopic retrograde cholangiopancreatography (ERCP) pancreatitis. PMID: 21946810
- results suggest that trypsinogen-2 is a more sensitive marker than amylase, and it can be useful in early diagnosis of post-endoscopic retrograde cholangiopancreatography (ERCP) pancreatitis. PMID: 21792081
- A genetic variant of PRSS2 may contribute to the low prevalence of pancreatitis in primary hyperparathyroidism patients. PMID: 20625975
- Hyperexpression of the PRSS2 gene is associated with pancreatic cancer. PMID: 20428826
- there was a borderline statistically significant association between pancreatic cancer and HAT/HCT but no association between pancreatic cancer and HAT, HCT. PMID: 20484960
- Urine trypsinogen-2 test may be an important diagnostic tool in excluding the diagnosis of acute pancreatitis; it has a negative predictive value. PMID: 20517765
- Results do not support the urinary trypsinogen-2 dipstick test (UTDT) to replace standard plasma amylase for the diagnosis of AP, however, the test demonstrated an adequate sensitivity to be used for rapid early screening of AP in daily clinics. PMID: 19752771
- Results indicate that up-regulation of anionic trypsinogen in pancreatic diseases does not affect physiological trypsinogen activation, but significantly limits trypsin generation under potential pathological conditions. PMID: 12709065
- High levels of pulmonary trypsin-2 may be associated with the development of bronchopulmonary dysplasia in preterm infants. PMID: 12949286
- G191R variant of PRSS2 mitigates intrapancreatic trypsin activity and thereby protects against chronic pancreatitis PMID: 16699518
- Our results suggest that serum trypsinogen-2 is a most useful marker for diagnosing patients with cholangiocarcinoma, and it is superior to serum CA19-9 and CEA. PMID: 17640760
- Co-localization of trypsin-2 and MMP-9 resulted in intracellular proMMP-9 processing that represented fully or partially activated MMP-9. PMID: 18062964
- A loss of function polymorphism (G191R) of anionic trypsinogen (PRSS2) confers protection against chronic pancreatitis. PMID: 18362849
- A fusion with PRSS1 is associated with hereditary pancreatitis. PMID: 18461367
- primary role of trypsinogen sulfation in humans is to stimulate autoactivation of PRSS1 PMID: 18986305
- The p.G191R variant protected against alcoholic and idiopathic chronic pancreatitis as well as alcoholic acute pancreatitis in Japan. PMID: 19052022
- G191R PRSS2 is a rare allele in the Indian population and the data suggest a nonsignificant trend towards a protective effect from tropical calcific pancreatitis in Indians. PMID: 19077465
顯示更多
收起更多
-
亞細胞定位:Secreted, extracellular space.
-
蛋白家族:Peptidase S1 family
-
組織特異性:Expressed in Paneth cells, at the base of small intestinal crypts.
-
數據庫鏈接:
Most popular with customers
-
-
YWHAB Recombinant Monoclonal Antibody
Applications: ELISA, WB, IHC, IF, FC
Species Reactivity: Human, Mouse, Rat
-
Phospho-YAP1 (S127) Recombinant Monoclonal Antibody
Applications: ELISA, WB, IHC
Species Reactivity: Human
-
-
-
-
-















