PRR11 Antibody
-
中文名稱:PRR11兔多克隆抗體
-
貨號:CSB-PA836225LA01HU
-
規格:¥440
-
圖片:
-
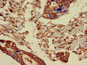
Immunohistochemistry of paraffin-embedded human lung cancer using CSB-PA836225LA01HU at dilution of 1:100
-
Immunohistochemistry of paraffin-embedded human pancreatic cancer using CSB-PA836225LA01HU at dilution of 1:100
-
Immunofluorescent analysis of PC-3 cells using CSB-PA836225LA01HU at dilution of 1:100 and Alexa Fluor 488-congugated AffiniPure Goat Anti-Rabbit IgG(H+L)
-
Western Blot
Positive WB detected in: Mouse heart tissue
All lanes: PRR11 antibody at 3.2µg/ml
Secondary
Goat polyclonal to rabbit IgG at 1/50000 dilution
Predicted band size: 41 kDa
Observed band size: 41 kDa
-
-
其他:
產品詳情
-
產品描述:
The PRR11 antibody (CSB-PA836225LA01HU) is produced in the rabbit with a peptide corresponding to amino acids 1-360 of the human PRR11 immunized. This polyclonal antibody occurs as an unconjugated IgG. Its purity is 95%+ using protein G purified. It is reactive with human and mouse samples. The PRR11 protein, a newly identified oncogene related to a poor prognosis in several human cancers, exerts multiple biological effects, including the modulation of cell cycle and promotion of cellular migration and invasion. This anti-PRR11 antibody has been quality-verified in ELISA, WB, IHC, and IF applications.
-
產品名稱:Rabbit anti-Homo sapiens (Human) PRR11 Polyclonal antibody
-
Uniprot No.:
-
基因名:PRR11
-
別名:FLJ11029 antibody; Homo sapiens proline rich 11 antibody; Proline rich protein 11 antibody; Proline-rich protein 11 antibody; PRR 11 antibody; Prr11 antibody; PRR11_HUMAN antibody; transcription repressor of MHCII antibody
-
宿主:Rabbit
-
反應種屬:Human, Mouse
-
免疫原:Recombinant Human Proline-rich protein 11 protein (1-360AA)
-
免疫原種屬:Homo sapiens (Human)
-
標記方式:Non-conjugated
本頁面中的產品,PRR11 Antibody (CSB-PA836225LA01HU),的標記方式是Non-conjugated。對于PRR11 Antibody,我們還提供其他標記。見下表:
-
克隆類型:Polyclonal
-
抗體亞型:IgG
-
純化方式:>95%, Protein G purified
-
濃度:It differs from different batches. Please contact us to confirm it.
-
保存緩沖液:Preservative: 0.03% Proclin 300
Constituents: 50% Glycerol, 0.01M PBS, PH 7.4 -
產品提供形式:Liquid
-
應用范圍:ELISA, WB, IHC, IF
-
推薦稀釋比:
Application Recommended Dilution WB 1:200-1:5000 IHC 1:20-1:200 IF 1:50-1:200 -
Protocols:
-
儲存條件:Upon receipt, store at -20°C or -80°C. Avoid repeated freeze.
-
貨期:Basically, we can dispatch the products out in 1-3 working days after receiving your orders. Delivery time maybe differs from different purchasing way or location, please kindly consult your local distributors for specific delivery time.
-
用途:For Research Use Only. Not for use in diagnostic or therapeutic procedures.
相關產品
靶點詳情
-
功能:Plays a critical role in cell cycle progression.
-
基因功能參考文獻:
- PRR11 plays an oncogenic role in hepatocellular carcinoma (HCC) progression, through activating the Wnt/beta-catenin signaling pathway, and may represent a valuable prognostic marker and therapeutic target for HCC. PMID: 30248355
- PRR11 positively regulated cell proliferation-related proteins, including c-myc and cyclin D1, and increased and decreased the expression of matrix metalloproteinase 2 and tissue inhibitor of metalloproteinase 2 and PRR11 expression was mediated by the phosphoinositide 3-kinase/AKT/beta-catenin signaling pathway. PMID: 30165366
- these findings further illustrate the suppressive role of miR-195 in prostate cancer (PCa), and indicate a novel role of PRR11 in PCa. Importantly, the newly identified miR-195/PRR11 axis may aid with identifying potential therapeutic targets in PCa. PMID: 29393495
- PRR11 regulated self-renewal and tumorigenicity of gastric cancer stem cells through MAPK signaling, and could be used as a therapeutic target for gastric cancer. PMID: 30007956
- these findings indicated that miR-144-3p induced cell cycle arrest and apoptosis in pancreatic cancer by targeting PRR11. PMID: 28574724
- p53 negatively regulates the expression of the PRR11-SKA2 bidirectional transcription unit through NF-Y, suggesting that the inability to repress the PRR11-SKA2 bidirectional transcription unit after loss of p53 might contribute to tumorigenesis. PMID: 28257042
- Microarray analysis revealed that several genes involved in cell proliferation, cell adhesion, and cell migration were altered in PRR11-knockout cells. PMID: 25971332
- PRR11 may be widely activated in human gastric cancer. PMID: 26252227
- Targeted depletion of PRR11 caused a dramatic cell cycle arrest followed by massive apoptotic cell death, and eventually resulted in a significant decrease in growth and viability in lung cancer cell lines. PMID: 25973065
- PRR11-SKA2 bidirectional transcription unit, which is a novel direct target of NF-Y, is essential for the accelerated proliferation and motility of lung cancer cells PMID: 26162986
- Overexpression of PRR11 inhibits cell proliferation and induces premature chromatin condensation. PMID: 25666944
- our results strongly demonstrated that this newly identified gene, PRR11, had a critical role in both cell cycle progression and tumorigenesis, and might serve as a novel potential target in the diagnosis and/or treatment of human lung cancer. PMID: 23246489
- the apparent occurrence of an unusual TG 3' splice site in intron 10 is discussed PMID: 17672918
顯示更多
收起更多
-
亞細胞定位:Cytoplasm. Nucleus.
-
組織特異性:Ubiquitously expressed.
-
數據庫鏈接:
Most popular with customers
-
-
YWHAB Recombinant Monoclonal Antibody
Applications: ELISA, WB, IHC, IF, FC
Species Reactivity: Human, Mouse, Rat
-
Phospho-YAP1 (S127) Recombinant Monoclonal Antibody
Applications: ELISA, WB, IHC
Species Reactivity: Human
-
-
-
-
-















