PRPF4 Antibody
-
中文名稱:PRPF4兔多克隆抗體
-
貨號:CSB-PA018768ESR1HU
-
規格:¥440
-
圖片:
-
Western blot
All lanes: PRPF4 antibody at 2.87µg/ml
Lane 1: Jurkat whole cell lysate
Lane 2: Hela whole cell lysate
Lane 3: HepG2 whole cell lysate
Secondary
Goat polyclonal to rabbit IgG at 1/10000 dilution
Predicted band size: 59 kDa
Observed band size: 59 kDa -
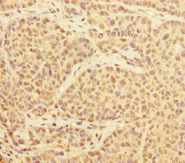
Immunohistochemistry of paraffin-embedded human ovarian cancer using CSB-PA018768ESR1HU at dilution of 1:100
-
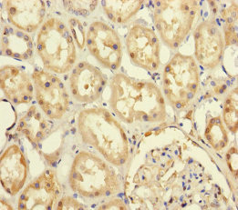
Immunohistochemistry of paraffin-embedded human kidney tissue using CSB-PA018768ESR1HU at dilution of 1:100
-
-
其他:
產品詳情
-
產品名稱:Rabbit anti-Homo sapiens (Human) PRPF4 Polyclonal antibody
-
Uniprot No.:
-
基因名:PRPF4
-
別名:hPrp4 antibody; HPRP4P antibody; PRP4 antibody; PRP4 homolog antibody; PRP4 pre mRNA processing factor 4 homolog (yeast) antibody; PRP4/STK/WD splicing factor antibody; PRP4_HUMAN antibody; Prp4p antibody; PRPF4 antibody; RP70 antibody; SNRNP60 antibody; U4/U6 small nuclear ribonucleoprotein Prp4 antibody; U4/U6 snRNP 60 kDa protein antibody; WD splicing factor Prp4 antibody
-
宿主:Rabbit
-
反應種屬:Human
-
免疫原:Recombinant Human U4/U6 small nuclear ribonucleoprotein Prp4 protein (1-260AA)
-
免疫原種屬:Homo sapiens (Human)
-
標記方式:Non-conjugated
-
克隆類型:Polyclonal
-
抗體亞型:IgG
-
純化方式:Antigen Affinity Purified
-
濃度:It differs from different batches. Please contact us to confirm it.
-
保存緩沖液:PBS with 0.02% sodium azide, 50% glycerol, pH7.3.
-
產品提供形式:Liquid
-
應用范圍:ELISA, WB, IHC
-
推薦稀釋比:
Application Recommended Dilution WB 1:1000-1:5000 IHC 1:20-1:200 -
Protocols:
-
儲存條件:Upon receipt, store at -20°C or -80°C. Avoid repeated freeze.
-
貨期:Basically, we can dispatch the products out in 1-3 working days after receiving your orders. Delivery time maybe differs from different purchasing way or location, please kindly consult your local distributors for specific delivery time.
-
用途:For Research Use Only. Not for use in diagnostic or therapeutic procedures.
相關產品
靶點詳情
-
功能:Plays role in pre-mRNA splicing as component of the U4/U6-U5 tri-snRNP complex that is involved in spliceosome assembly, and as component of the precatalytic spliceosome (spliceosome B complex).
-
基因功能參考文獻:
- The p.R192H variant of PRPF4 represents a functional null allele which compromises the function of the tri-snRNP, reinforcing the notion that this spliceosomal particle is of crucial importance in the physiology of the retina. PMID: 25383878
- PRPF4 missense mutations is associated with autosomal dominant retinitis pigmentosa. PMID: 24419317
- the requirement of enzymatic activity of PRP4 in regulating cancer cell growth and identified an array of potential novel substrates through orthogonal proteomics approaches PMID: 24003220
- interaction between Hprp3p and Hprp4p PMID: 11971898
- PRP4 is a spindle assembly checkpoint protein required for MPS1, MAD1, and MAD2 localization to the kinetochores. PMID: 17998396
- PRP-4 belongs to the serine/threonine protein kinase family, plays a role in pre-mRNA splicing and cell mitosis, and interacts with CLK1 PMID: 18687998
顯示更多
收起更多
-
相關疾?。?/div>Retinitis pigmentosa 70 (RP70)亞細胞定位:Nucleus. Nucleus speckle.數據庫鏈接:
Most popular with customers
-
-
YWHAB Recombinant Monoclonal Antibody
Applications: ELISA, WB, IHC, IF, FC
Species Reactivity: Human, Mouse, Rat
-
Phospho-YAP1 (S127) Recombinant Monoclonal Antibody
Applications: ELISA, WB, IHC
Species Reactivity: Human
-
-
-
-
-















