PROM1 Antibody
-
中文名稱:PROM1兔多克隆抗體
-
貨號:CSB-PA018751LA01HU
-
規格:¥440
-
圖片:
-
Western Blot
Positive WB detected in: Hela whole cell lysate, Raji whole cell lysate, K562 whole cell lysate, LO2 whole cell lysate, HepG2 whole cell lysate
All lanes: PROM1 antibody at 4.8μg/ml
Secondary
Goat polyclonal to rabbit IgG at 1/50000 dilution
Predicted band size: 98, 97, 94, 93, 95 kDa
Observed band size: 98 kDa -
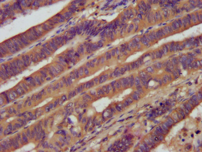
IHC image of CSB-PA018751LA01HU diluted at 1:1200 and staining in paraffin-embedded human colon cancer performed on a Leica BondTM system. After dewaxing and hydration, antigen retrieval was mediated by high pressure in a citrate buffer (pH 6.0). Section was blocked with 10% normal goat serum 30min at RT. Then primary antibody (1% BSA) was incubated at 4°C overnight. The primary is detected by a biotinylated secondary antibody and visualized using an HRP conjugated SP system.
-
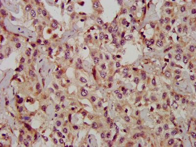
IHC image of CSB-PA018751LA01HU diluted at 1:1200 and staining in paraffin-embedded human liver cancer performed on a Leica BondTM system. After dewaxing and hydration, antigen retrieval was mediated by high pressure in a citrate buffer (pH 6.0). Section was blocked with 10% normal goat serum 30min at RT. Then primary antibody (1% BSA) was incubated at 4°C overnight. The primary is detected by a biotinylated secondary antibody and visualized using an HRP conjugated SP system.
-
-
其他:
產品詳情
-
產品名稱:Rabbit anti-Homo sapiens (Human) PROM1 Polyclonal antibody
-
Uniprot No.:
-
基因名:
-
別名:AC133 antibody; Antigen AC133 antibody; CD133 antibody; CORD12 antibody; Hematopoietic stem cell antigen antibody; hProminin antibody; MCDR2 antibody; MSTP061 antibody; OTTHUMP00000217744 antibody; OTTHUMP00000217745 antibody; OTTHUMP00000217746 antibody; PROM1 antibody; PROM1_HUMAN antibody; Prominin I antibody; Prominin like 1 antibody; Prominin like protein 1 precursor antibody; Prominin mouse like 1 antibody; Prominin-1 antibody; Prominin-like protein 1 antibody; Prominin1 antibody; PROML1 antibody; RP41 antibody; STGD4 antibody
-
宿主:Rabbit
-
反應種屬:Human
-
免疫原:Recombinant Human Prominin-1 protein (508-792AA)
-
免疫原種屬:Homo sapiens (Human)
-
標記方式:Non-conjugated
本頁面中的產品,PROM1 Antibody (CSB-PA018751LA01HU),的標記方式是Non-conjugated。對于PROM1 Antibody,我們還提供其他標記。見下表:
-
克隆類型:Polyclonal
-
抗體亞型:IgG
-
純化方式:>95%, Protein G purified
-
濃度:It differs from different batches. Please contact us to confirm it.
-
保存緩沖液:Preservative: 0.03% Proclin 300
Constituents: 50% Glycerol, 0.01M PBS, PH 7.4 -
產品提供形式:Liquid
-
應用范圍:ELISA, WB, IHC
-
推薦稀釋比:
Application Recommended Dilution WB 1:500-1:5000 IHC 1:1000-1:2000 -
Protocols:
-
儲存條件:Upon receipt, store at -20°C or -80°C. Avoid repeated freeze.
-
貨期:Basically, we can dispatch the products out in 1-3 working days after receiving your orders. Delivery time maybe differs from different purchasing way or location, please kindly consult your local distributors for specific delivery time.
-
用途:For Research Use Only. Not for use in diagnostic or therapeutic procedures.
相關產品
靶點詳情
-
功能:May play a role in cell differentiation, proliferation and apoptosis. Binds cholesterol in cholesterol-containing plasma membrane microdomains and may play a role in the organization of the apical plasma membrane in epithelial cells. During early retinal development acts as a key regulator of disk morphogenesis. Involved in regulation of MAPK and Akt signaling pathways. In neuroblastoma cells suppresses cell differentiation such as neurite outgrowth in a RET-dependent manner.
-
基因功能參考文獻:
- These findings link iNOS to Notch1 signaling in CD24(+)CD133(+) LCSCs through the activation of TACE/ADAM17. PMID: 30297396
- Data show that pancreatic aldehyde dehydrogenase (ALDH(hi) cells contain a heterogeneous CD133-enriched population with a subset of beta-cell associated markers in the developing pancreas. PMID: 29285988
- The downregulation of LIPC in the HepG2 cells was associated with the decreased expression of CD133, decreased cell proliferation and colony formation, as well as increased resistance to chemotherapy. PMID: 30015857
- The expression of CD133 protein in patients with osteosarcoma was significantly high and related to the distant metastasis, which may be a potential prediction biomarker for poor prognosis of osteosarcoma patients PMID: 29970672
- this present study shows a significant correlation between CD133 expression and differentiation of NSCLC both in our results and pooled previous results. CD133 may have prognostic significance for patients with NSCLC based on currently obtained data. PMID: 29758924
- CD133 downregulation also suppressed iRFA-induced cell viability, invasion and autophagy. Collectively, our results indicated that RFA may promote residual HCC cell progression by autophagy and CD133 feedback loop. PMID: 29749472
- CD133 staining was positive in 17.9% of the colorectal adenomas. Moreover, CD133 expression was associated with differentiation status (p = 0.003) and tumor size (p = 0.03). PMID: 28190751
- CD133 expression and MYCN amplification induce chemoresistance and reduce average survival time in pediatric neuroblastoma. PMID: 29322842
- Negative CD133 expression was an independent risk factor for a reduced disease-free survival in colon cancer with peritoneal metastasis. PMID: 29328371
- this meta-analysis indicated both CD133 and Nestin expression were significantly associated with advanced FIGO stage, larger size of residual cancer in EOC patients. PMID: 29168665
- Cytoplasmic and nuclear CD133 expression in colorectal adenocarcinoma cells and tumor microenvironment cells may play an important role in early colorectal adenocarcinoma carcinogenesis, while decreased CD133 nuclear expression in colorectal adenocarcinoma cells may contribute to colorectal adenocarcinoma metastasis. PMID: 30061254
- CD133 expression may serve as a biomarker for early detection of gastric cancer. PMID: 30061208
- Human UCB- CD133(+) hematopoietic stem cells into are remarkably potent cell candidates to transdifferentiate into motor neuron-like cells, in vitro PMID: 28754612
- This study confirms that the CD133lo subset of Rb Y79 cell line is endowed with the characteristics of cancer stem cells as demonstrated by the in vitro functional assays and is in agreement with our previous findings in primary Rb tumors. PMID: 29162051
- The expression of CD133 and SSEA4 determines the differentiation fate of pluripotent cancer stem cells. PMID: 28624968
- CD133 is a useful predictive or prognostic biomarker for Colorectal cancer in clinical assessment and may serve as a potential therapeutic target for Colorectal cancer. PMID: 29879012
- Bmi1 promoted invasion and migration of CD133+Hep G2 cells. PMID: 28849237
- Lymph node metastasis is strongly associated with expression status of HGF and CD133 at the deep invasive front, suggesting the usefulness of these proteins as independent predictive markers of lymph node metastasis in early gastric cancer. PMID: 28595915
- Higher hazard ratios for associations between CD133 rs2240688 polymorphism and overall survival (OS) were observed in patients with adjuvant chemotherapy and radiotherapy for curative intent. The study confirmed the significant association between the SNP rs2240688 A>C of CD133 and OS of non-small cell lung cancer patients. PMID: 28827262
- glioma cells expressing CD133 are capable of modulating tumor microenvironment through the IL-1beta signaling pathway. PMID: 28736425
- Exogenous CXCL3 induced Erk1/2 and ETS1 phosphorylation and promoted CD133 expression. PMID: 27255419
- Low expressions of Oct4-EpCAM in IHC and CD133 in qPCR may reveal roles in gastric cancer PMID: 27557490
- The clinical evidence that revealed cytoplasmic CD133 expression was correlated with poor prognosis, while nuclear CD133 expression was significantly correlated with favorable prognosis. PMID: 28687090
- High CD133 expression is associated with Basal Breast Cancers. PMID: 28216417
- In conclusion, p-STAT3 may participate in the progression of the early stage of colon cancer through the up-regulation of CD133, which in turn induces survivin expression. However, the regulatory mechanism of these molecules in tumor progression in vivo is need to be more verified. PMID: 29432737
- Circulating tumor cells expressing cytokeratin and tumor-initiating cell markers, including ALDH, CD133, and CD44, were identified in patients with pancreatic adenocarcinoma. These TIC-like CTCs were associated with poor prognosis after surgical resection and with an increased incidence of tumor recurrence PMID: 27789528
- High CD133 expression is associated with renal cell carcinoma. PMID: 27588469
- CD133+CD24lo phenotype defines 5-FU-resistant human colon cancer stem cell-like cells. PMID: 27659530
- Intraperitoneal enrichment of cancer stem-like cells, from ovarian cancer cell lines or primary ovarian tumor, provides a rational approach for cancer stem-like cell isolation and characterization using CD44 and prominin-1(CD133) as selection markers. PMID: 27655682
- CD133 may have different roles in survival from non-small-cell lung cancer based on ethnic groups [meta-analysis] PMID: 27489355
- Notch1 signaling plays an important role in the maintenance of the cancer stem-like phenotype in diffuse type gastric cancer through an RBP-Jkappa dependent pathway; inhibiting Notch1 signaling could be an effective therapy against CD133 positive diffuse type gastric cancers PMID: 27489358
- Low CD133 Expression is associated with Recurrence in Colorectal Cancer with Synchronous Liver Metastasis. PMID: 26832881
- CD133+ cells were genetically heterogeneous among patients without any defined profile compared to CD133-/EpCAM+ cells. PMID: 28347289
- Results show that CD133 and MDR1 expression increase in recurrent pediatric pilocytic astrocytomas (PAs) following chemotherapy, and in drug resistant tumor cells. CD133 regulates MDR1 expression via the PI3K/AKT/NF-kappaB signaling. These results provide evidence that CD133 contributes to multidrug resistance by regulating MDR1 levels via the PI3K-Akt-NF-kappaB signal pathway. PMID: 28137267
- CD133(+) CD44(+) CD54(+) cellular subpopulation of circulating tumor cells has a prognostic value in colorectal cancer patients with liver metastasis, especially in the survival of CRC patients with liver metastasis who did not undergo surgical treatment for metastasis. PMID: 29105339
- High CD133 expression is associated with radioresistance in liver cancer. PMID: 26993601
- CD133+ glioblastoma cells express molecular signatures of MSCs, neural stem cells and pluripotent stem cell PMID: 27244897
- These findings indicate a novel potential anti-tumor mechanism for tubacin in CD133-expressing malignancies. PMID: 28452069
- CD133 expression in colonic liver metastases is a negative prognostic factor for disease-free survival after liver resection. PMID: 29277789
- The study found a significant association between the SNP rs2240688A[C of CD133 and lung cancer risk. PMID: 27130457
- Results strongly indicate functional roles for CD133 in reactive oxygen species defense and in evading anticancer therapies in hepatocellular carcinoma. PMID: 28253902
- High CD133 expression is associated with clear cell renal cell carcinoma. PMID: 29050853
- This study described three cases in which variations in PROM1 gene may play a role in the pathogenesis of macular dystrophy or be associated with both autosomal recessive and autosomal dominant inheritance. PMID: 28095140
- CD133 polymorphisms are promising biomarkers for genetic susceptibility and prognosis prediction of gastric cancer. PMID: 28326835
- Low CD133 expression is associated with gastric cancer. PMID: 28218426
- Our results strongly suggest epigenetic regulation of CD133 expression by promoter methylation in gastrointestinal stromal tumors PMID: 28398518
- Taken together, these findings show that elevated levels of CD133 lead to Oral squamous cell carcinoma (OSCC)invasiveness and metastasis, associated with the upregulation of EMT and stemness markers. PMID: 27137188
- CD133 and CD44 in glioblastoma stem cells have roles in cell proliferation, phenotype stability and intra-tumor heterogeneity PMID: 28241049
- The combination of CD133 phenotyping and World Health Organization grading may assist in stratifying patients with well-differentiated pancreatic neuroendocrine tumors. PMID: 27864124
- CD133 facilitates cancer stem cell-like properties by stabilizing EGFR-AKT signaling in HCC. PMID: 28034805
顯示更多
收起更多
-
相關疾病:Retinitis pigmentosa 41 (RP41); Cone-rod dystrophy 12 (CORD12); Stargardt disease 4 (STGD4); Retinal macular dystrophy 2 (MCDR2)
-
亞細胞定位:Apical cell membrane; Multi-pass membrane protein. Cell projection, microvillus membrane; Multi-pass membrane protein. Cell projection, cilium, photoreceptor outer segment. Endoplasmic reticulum. Endoplasmic reticulum-Golgi intermediate compartment. Note=Found in extracellular membrane particles in various body fluids such as cerebrospinal fluid, saliva, seminal fluid and urine.
-
蛋白家族:Prominin family
-
組織特異性:Isoform 1 is selectively expressed on CD34 hematopoietic stem and progenitor cells in adult and fetal bone marrow, fetal liver, cord blood and adult peripheral blood. Isoform 1 is not detected on other blood cells. Isoform 1 is also expressed in a number
-
數據庫鏈接:
Most popular with customers
-
-
YWHAB Recombinant Monoclonal Antibody
Applications: ELISA, WB, IHC, IF, FC
Species Reactivity: Human, Mouse, Rat
-
-
-
-
-
-















