PRKX Antibody
-
中文名稱:PRKX兔多克隆抗體
-
貨號:CSB-PA051875
-
規格:¥1100
-
圖片:
-
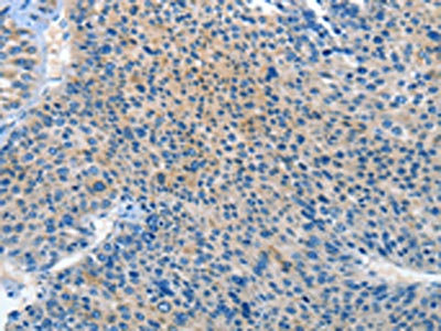
The image on the left is immunohistochemistry of paraffin-embedded Human liver cancer tissue using CSB-PA051875(PRKX Antibody) at dilution 1/20, on the right is treated with synthetic peptide. (Original magnification: ×200)
-
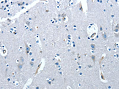
The image on the left is immunohistochemistry of paraffin-embedded Human brain tissue using CSB-PA051875(PRKX Antibody) at dilution 1/20, on the right is treated with synthetic peptide. (Original magnification: ×200)
-
Gel: 10%SDS-PAGE, Lysate: 40 μg, Lane 1-4: A549 cells, Jurkat cells, 293T cells, K562 cells, Primary antibody: CSB-PA051875(PRKX Antibody) at dilution 1/200, Secondary antibody: Goat anti rabbit IgG at 1/8000 dilution, Exposure time: 20 seconds
-
-
其他:
產品詳情
-
Uniprot No.:
-
基因名:PRKX
-
別名:PKX1 antibody; PRKX antibody; PRKX_HUMAN antibody; Protein kinase PKX1 antibody; Serine/threonine-protein kinase PRKX antibody
-
宿主:Rabbit
-
反應種屬:Human
-
免疫原:Synthetic peptide of Human PRKX
-
免疫原種屬:Homo sapiens (Human)
-
標記方式:Non-conjugated
-
抗體亞型:IgG
-
純化方式:Antigen affinity purification
-
濃度:It differs from different batches. Please contact us to confirm it.
-
保存緩沖液:-20°C, pH7.4 PBS, 0.05% NaN3, 40% Glycerol
-
產品提供形式:Liquid
-
應用范圍:ELISA,WB,IHC
-
推薦稀釋比:
Application Recommended Dilution ELISA 1:1000-1:2000 WB 1:200-1:1000 IHC 1:15-1:50 -
Protocols:
-
儲存條件:Upon receipt, store at -20°C or -80°C. Avoid repeated freeze.
-
貨期:Basically, we can dispatch the products out in 1-3 working days after receiving your orders. Delivery time maybe differs from different purchasing way or location, please kindly consult your local distributors for specific delivery time.
-
用途:For Research Use Only. Not for use in diagnostic or therapeutic procedures.
相關產品
靶點詳情
-
功能:Serine/threonine protein kinase regulated by and mediating cAMP signaling in cells. Acts through phosphorylation of downstream targets that may include CREB, SMAD6 and PKD1 and has multiple functions in cellular differentiation and epithelial morphogenesis. Regulates myeloid cell differentiation through SMAD6 phosphorylation. Involved in nephrogenesis by stimulating renal epithelial cell migration and tubulogenesis. Also involved in angiogenesis through stimulation of endothelial cell proliferation, migration and vascular-like structure formation.
-
基因功能參考文獻:
- PRKX, WNT3 and WNT16 genes, belonging to the WNT signaling pathway, are involved in the tumorigenic process of nodular basal cell carcinoma PMID: 27630294
- The characteristics and developmental functions of PRKX. [review] PMID: 26252946
- findings reveals a major role of PRKX, TTBK2 and RSK4 in triggering Sunitinib resistance formation; data suggest transcriptional regulation of these kinases together with other proteins might play an important role in formation of Sunitinib resistance by affecting transcription factors PMID: 22020623
- MBD 4--a potential substrate for protein kinase X PMID: 21971312
- The interaction of PRKX with Pin-1, Magi-1 and Bag-3 could contribute to the stimulating role of PRKX in angiogenesis. PMID: 21684272
- PRKX kinase may regulate epithelial morphogenesis during mammalian kidney development. PMID: 12082174
- PRKX can restore normal function to PKD1-deficient kidneys and have implications for the development of preventative therapy for autosomal dominant polycystic kidney disease PMID: 17980165
顯示更多
收起更多
-
相關疾病:A chromosomal aberration involving PRKX is a cause of sex reversal disorder. Translocation t(X;Y)(p22;p11) with PRKY. Chromosomal translocations proximal to PRKY account for about 30% of the cases of sex reversal disorder in XX males and XY females.
-
亞細胞定位:Cytoplasm. Nucleus. Note=cAMP induces nuclear translocation.
-
蛋白家族:Protein kinase superfamily, AGC Ser/Thr protein kinase family, cAMP subfamily
-
組織特異性:Widely expressed (at protein level). Specifically expressed in blood by macrophages and granulocytes according to PubMed:9860982.
-
數據庫鏈接:
Most popular with customers
-
-
YWHAB Recombinant Monoclonal Antibody
Applications: ELISA, WB, IHC, IF, FC
Species Reactivity: Human, Mouse, Rat
-
Phospho-YAP1 (S127) Recombinant Monoclonal Antibody
Applications: ELISA, WB, IHC
Species Reactivity: Human
-
-
-
-
-















