PRKAR1B Antibody
-
中文名稱:PRKAR1B兔多克隆抗體
-
貨號:CSB-PA783882
-
規格:¥1100
-
圖片:
-
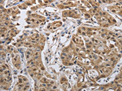
The image on the left is immunohistochemistry of paraffin-embedded Human ovarian cancer tissue using CSB-PA783882(PRKAR1B Antibody) at dilution 1/60, on the right is treated with synthetic peptide. (Original magnification: ×200)
-
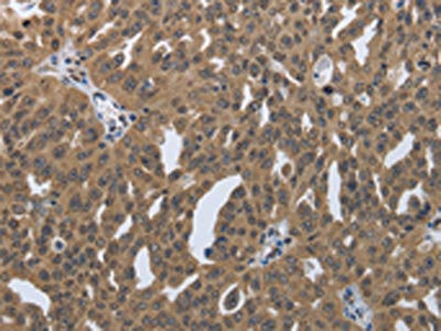
The image on the left is immunohistochemistry of paraffin-embedded Human lung cancer tissue using CSB-PA783882(PRKAR1B Antibody) at dilution 1/60, on the right is treated with synthetic peptide. (Original magnification: ×200)
-
-
其他:
產品詳情
-
Uniprot No.:
-
基因名:
-
別名:cAMP dependent protein kinase type I beta regulatory subunit antibody; cAMP-dependent protein kinase type I-beta regulatory subunit antibody; KAP1_HUMAN antibody; PKARI beta antibody; PRKAR 1 antibody; PRKAR 1B antibody; PRKAR1 antibody; Prkar1b antibody; PRKAR1B protein antibody; Protein kinase cAMP dependent regulatory type I beta antibody; RIbeta antibody
-
宿主:Rabbit
-
反應種屬:Human,Mouse,Rat
-
免疫原:Synthetic peptide of Human PRKAR1B
-
免疫原種屬:Homo sapiens (Human)
-
標記方式:Non-conjugated
-
抗體亞型:IgG
-
純化方式:Antigen affinity purification
-
濃度:It differs from different batches. Please contact us to confirm it.
-
保存緩沖液:-20°C, pH7.4 PBS, 0.05% NaN3, 40% Glycerol
-
產品提供形式:Liquid
-
應用范圍:ELISA,IHC
-
推薦稀釋比:
Application Recommended Dilution ELISA 1:2000-1:10000 IHC 1:50-1:200 -
Protocols:
-
儲存條件:Upon receipt, store at -20°C or -80°C. Avoid repeated freeze.
-
貨期:Basically, we can dispatch the products out in 1-3 working days after receiving your orders. Delivery time maybe differs from different purchasing way or location, please kindly consult your local distributors for specific delivery time.
-
用途:For Research Use Only. Not for use in diagnostic or therapeutic procedures.
相關產品
靶點詳情
-
功能:Regulatory subunit of the cAMP-dependent protein kinases involved in cAMP signaling in cells.
-
基因功能參考文獻:
- No pathogenic PRKAR1B mutations were found in early onset familial dementia patients in a Dutch cohort. PMID: 25108559
- This study demonistrated that PRKAR1B mutation associated with a new neurodegenerative disorder with unique pathology. PMID: 24722252
- The paired-like homeodomain protein, Arix, mediates protein kinase A-stimulated dopamine beta-hydroxylase gene transcription through its phosphorylation status PMID: 11943777
-
亞細胞定位:Cell membrane.
-
蛋白家族:CAMP-dependent kinase regulatory chain family
-
組織特異性:Four types of regulatory chains are found: I-alpha, I-beta, II-alpha, and II-beta. Their expression varies among tissues and is in some cases constitutive and in others inducible.
-
數據庫鏈接:
Most popular with customers
-
-
YWHAB Recombinant Monoclonal Antibody
Applications: ELISA, WB, IHC, IF, FC
Species Reactivity: Human, Mouse, Rat
-
Phospho-YAP1 (S127) Recombinant Monoclonal Antibody
Applications: ELISA, WB, IHC
Species Reactivity: Human
-
-
-
-
-















