PRKACG Antibody
-
中文名稱:PRKACG兔多克隆抗體
-
貨號:CSB-PA942370
-
規格:¥1100
-
圖片:
-
The image on the left is immunohistochemistry of paraffin-embedded Human thyroid cancer tissue using CSB-PA942370(PRKACG Antibody) at dilution 1/25, on the right is treated with fusion protein. (Original magnification: ×200)
-
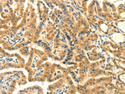
The image on the left is immunohistochemistry of paraffin-embedded Human lung cancer tissue using CSB-PA942370(PRKACG Antibody) at dilution 1/25, on the right is treated with fusion protein. (Original magnification: ×200)
-
-
其他:
產品詳情
-
Uniprot No.:
-
基因名:
-
別名:cAMP-dependent protein kinase catalytic subunit gamma antibody; KAPCG_HUMAN antibody; KAPG antibody; PKA C gamma antibody; PKA C-gamma antibody; PKACg antibody; PRKACG antibody; Protein kinase cAMP dependent catalytic gamma antibody; Serine (threonine) protein kinase antibody
-
宿主:Rabbit
-
反應種屬:Human
-
免疫原:Fusion protein of Human PRKACG
-
免疫原種屬:Homo sapiens (Human)
-
標記方式:Non-conjugated
-
抗體亞型:IgG
-
純化方式:Antigen affinity purification
-
濃度:It differs from different batches. Please contact us to confirm it.
-
保存緩沖液:-20°C, pH7.4 PBS, 0.05% NaN3, 40% Glycerol
-
產品提供形式:Liquid
-
應用范圍:ELISA,IHC
-
推薦稀釋比:
Application Recommended Dilution ELISA 1:2000-1:5000 IHC 1:25-1:100 -
Protocols:
-
儲存條件:Upon receipt, store at -20°C or -80°C. Avoid repeated freeze.
-
貨期:Basically, we can dispatch the products out in 1-3 working days after receiving your orders. Delivery time maybe differs from different purchasing way or location, please kindly consult your local distributors for specific delivery time.
-
用途:For Research Use Only. Not for use in diagnostic or therapeutic procedures.
相關產品
靶點詳情
-
功能:Phosphorylates a large number of substrates in the cytoplasm and the nucleus.
-
基因功能參考文獻:
- The missense p.74Ile>Met PRKACG mutation is associated with a marked defect in proplatelet formation and a low level in filamin A in megakaryocytes. PMID: 25061177
- PKA-mediated phosphorylation of GPIbbeta at Ser(166) negatively regulates VWF binding to GPIb-IX and is one of the mechanisms by which PKA mediates platelet inhibition PMID: 12361948
- Results suggest that Cgamma and Calpha differ in structure and function in vitro, supporting the hypothesis that functionally different C-subunit isozymes could affect cAMP signal transduction downstream of protein kinase A activation. PMID: 15039079
-
相關疾病:Bleeding disorder, platelet-type 19 (BDPLT19)
-
蛋白家族:Protein kinase superfamily, AGC Ser/Thr protein kinase family, cAMP subfamily
-
組織特異性:Testis specific. But important tissues such as brain and ovary have not been analyzed for the content of transcript.
-
數據庫鏈接:
Most popular with customers
-
-
YWHAB Recombinant Monoclonal Antibody
Applications: ELISA, WB, IHC, IF, FC
Species Reactivity: Human, Mouse, Rat
-
Phospho-YAP1 (S127) Recombinant Monoclonal Antibody
Applications: ELISA, WB, IHC
Species Reactivity: Human
-
-
-
-
-















