PPP2R3A Antibody
-
中文名稱:PPP2R3A兔多克隆抗體
-
貨號:CSB-PA925621
-
規格:¥1100
-
圖片:
-
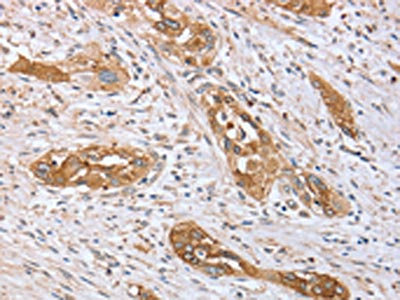
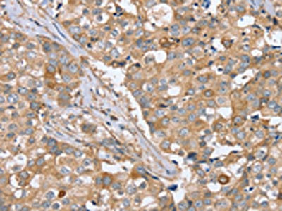
The image on the left is immunohistochemistry of paraffin-embedded Human breast cancer tissue using CSB-PA925621(PPP2R3A Antibody) at dilution 1/40, on the right is treated with synthetic peptide. (Original magnification: ×200)
-
The image on the left is immunohistochemistry of paraffin-embedded Human esophagus cancer tissue using CSB-PA925621(PPP2R3A Antibody) at dilution 1/40, on the right is treated with synthetic peptide. (Original magnification: ×200)
-
Gel: 6%SDS-PAGE, Lysate: 40 μg, Lane 1-2: 293T cells, PC3 cells, Primary antibody: CSB-PA925621(PPP2R3A Antibody) at dilution 1/400, Secondary antibody: Goat anti rabbit IgG at 1/8000 dilution, Exposure time: 30 seconds
-
-
其他:
產品詳情
-
Uniprot No.:
-
基因名:
-
別名:AI118493 antibody; DNA for thyroid hormone receptor binding site (258bp) antibody; P2R3A_HUMAN antibody; PP2A subunit B B''-PR72/PR130 antibody; PP2A subunit B B72/B130 isoforms antibody; PP2A subunit B isoform PR72/PR130 antibody; PP2A subunit B isoform R3 isoform antibody; PP2A subunit B isoforms B''-PR72/PR130 antibody; PP2A subunit B isoforms B72/B130 antibody; PP2A subunit B PR72/PR130 isoforms antibody; PP2A subunit B R3 isoform antibody; PPP2R3 antibody; Ppp2r3a antibody; PR130 antibody; PR59 antibody; PR72 antibody; Protein phosphatase 2 (formerly 2A) regulatory subunit B'' alpha antibody; Serine/threonine protein phosphatase 2A 72/130 kDa regulatory subunit B antibody; Serine/threonine-protein phosphatase 2A 72/130 kDa regulatory subunit B antibody; Serine/threonine-protein phosphatase 2A regulatory subunit B'' subunit alpha antibody
-
宿主:Rabbit
-
反應種屬:Human
-
免疫原:Synthetic peptide of Human PPP2R3A
-
免疫原種屬:Homo sapiens (Human)
-
標記方式:Non-conjugated
-
抗體亞型:IgG
-
純化方式:Antigen affinity purification
-
濃度:It differs from different batches. Please contact us to confirm it.
-
保存緩沖液:-20°C, pH7.4 PBS, 0.05% NaN3, 40% Glycerol
-
產品提供形式:Liquid
-
應用范圍:ELISA,WB,IHC
-
推薦稀釋比:
Application Recommended Dilution ELISA 1:1000-1:2000 WB 1:200-1:1000 IHC 1:50-1:200 -
Protocols:
-
儲存條件:Upon receipt, store at -20°C or -80°C. Avoid repeated freeze.
-
貨期:Basically, we can dispatch the products out in 1-3 working days after receiving your orders. Delivery time maybe differs from different purchasing way or location, please kindly consult your local distributors for specific delivery time.
-
用途:For Research Use Only. Not for use in diagnostic or therapeutic procedures.
相關產品
靶點詳情
-
功能:The B regulatory subunit might modulate substrate selectivity and catalytic activity, and also might direct the localization of the catalytic enzyme to a particular subcellular compartment.
-
基因功能參考文獻:
- HDAC1 and HDAC2 suppress the expression of PPP2R3A/PR130, a regulatory subunit of the trimeric serine/threonine phosphatase 2 (PP2A). PMID: 29472538
- this study shows the importance of PP2A complexes with the LIM domains of lipoma-preferred partner in cell adhesion and migration dynamics PMID: 26945059
- two Ca2+-binding EF-hand motifs in the B"/PR72 subunit of protein phosphatase 2A demonstrating the ability or calcium ions to interact with and regulate PP2A PMID: 12524438
- The B''/PR72 subunit mediates Ca2+-dependent dephosphorylation of DARPP-32 by protein phosphatase 2A. PMID: 17535922
- PP2A can be targeted in a calcium-regulated manner to Cdc6 via the PR70 subunit, where it plays a role in regulating protein phosphorylation and stability. PMID: 18397887
- PR72 interacts physically and functionally with Naked cuticle. PR72, like Naked cuticle, acts as a negative regulator of the classical Wnt signaling cascade. PMID: 15687260
顯示更多
收起更多
-
組織特異性:Expressed in heart, brain, placenta, lung, muscle and kidney.
-
數據庫鏈接:
Most popular with customers
-
-
YWHAB Recombinant Monoclonal Antibody
Applications: ELISA, WB, IHC, IF, FC
Species Reactivity: Human, Mouse, Rat
-
Phospho-YAP1 (S127) Recombinant Monoclonal Antibody
Applications: ELISA, WB, IHC
Species Reactivity: Human
-
-
-
-
-















