PPP2R2B Antibody
-
中文名稱:PPP2R2B兔多克隆抗體
-
貨號:CSB-PA018565LA01HU
-
規格:¥440
-
圖片:
-
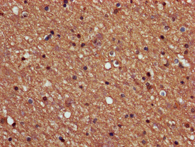
IHC image of CSB-PA018565LA01HU diluted at 1:600 and staining in paraffin-embedded human brain tissue performed on a Leica BondTM system. After dewaxing and hydration, antigen retrieval was mediated by high pressure in a citrate buffer (pH 6.0). Section was blocked with 10% normal goat serum 30min at RT. Then primary antibody (1% BSA) was incubated at 4°C overnight. The primary is detected by a biotinylated secondary antibody and visualized using an HRP conjugated SP system.
-
Immunofluorescence staining of SH-SY5Y cells with CSB-PA018565LA01HU at 1:200, counter-stained with DAPI. The cells were fixed in 4% formaldehyde, permeabilized using 0.2% Triton X-100 and blocked in 10% normal Goat Serum. The cells were then incubated with the antibody overnight at 4°C. The secondary antibody was Alexa Fluor 488-congugated AffiniPure Goat Anti-Rabbit IgG(H+L).
-
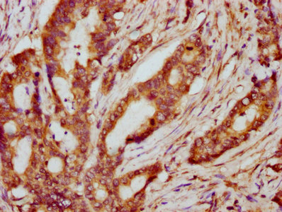
IHC image of CSB-PA018565LA01HU diluted at 1:600 and staining in paraffin-embedded human colon cancer performed on a Leica BondTM system. After dewaxing and hydration, antigen retrieval was mediated by high pressure in a citrate buffer (pH 6.0). Section was blocked with 10% normal goat serum 30min at RT. Then primary antibody (1% BSA) was incubated at 4°C overnight. The primary is detected by a biotinylated secondary antibody and visualized using an HRP conjugated SP system.
-
-
其他:
產品詳情
-
產品名稱:Rabbit anti-Homo sapiens (Human) PPP2R2B Polyclonal antibody
-
Uniprot No.:
-
基因名:
-
別名:2ABB_HUMAN antibody; B55 beta antibody; Beta isoform of regulatory subunit B55 protein phosphatase 2 antibody; MGC24888 antibody; PP2A B55beta antibody; PP2A PR55B antibody; PP2A subunit B B beta isoform antibody; PP2A subunit B B55 beta isoform antibody; PP2A subunit B isoform B55 beta antibody; PP2A subunit B isoform B55-beta antibody; PP2A subunit B isoform beta antibody; PP2A subunit B isoform PR55 beta antibody; PP2A subunit B isoform PR55-beta antibody; PP2A subunit B isoform R2 beta antibody; PP2A subunit B isoform R2-beta antibody; PP2A subunit B PR55 beta isoform antibody; PP2A subunit B R2 beta isoform antibody; Ppp2r2b antibody; PR2AB beta antibody; PR2AB55 beta antibody; PR2APR55 beta antibody; PR52B antibody; PR55 beta antibody; Protein phosphatase 2 (formerly 2A) regulatory subunit B (PR 52) beta isoform antibody; Protein phosphatase 2 (formerly 2A) regulatory subunit B beta isoform antibody; Protein phosphatase 2 regulatory subunit B antibody; Protein phosphatase 2 regulatory subunit B beta isoform antibody; SCA 12 antibody; SCA12 antibody; Serine/threonine protein phosphatase 2A 55 kDa regulatory subunit B beta isoform antibody; Serine/threonine protein phosphatase 2A neuronal isoform antibody; Serine/threonine-protein phosphatase 2A 55 kDa regulatory subunit B beta isoform antibody
-
宿主:Rabbit
-
反應種屬:Human
-
免疫原:Recombinant Human Serine/threonine-protein phosphatase 2A 55 kDa regulatory subunit B beta isoform protein (1-200AA)
-
免疫原種屬:Homo sapiens (Human)
-
標記方式:Non-conjugated
本頁面中的產品,PPP2R2B Antibody (CSB-PA018565LA01HU),的標記方式是Non-conjugated。對于PPP2R2B Antibody,我們還提供其他標記。見下表:
-
克隆類型:Polyclonal
-
抗體亞型:IgG
-
純化方式:>95%, Protein G purified
-
濃度:It differs from different batches. Please contact us to confirm it.
-
保存緩沖液:Preservative: 0.03% Proclin 300
Constituents: 50% Glycerol, 0.01M PBS, PH 7.4 -
產品提供形式:Liquid
-
應用范圍:ELISA, IHC, IF
-
推薦稀釋比:
Application Recommended Dilution IHC 1:500-1:1000 IF 1:200-1:500 -
Protocols:
-
儲存條件:Upon receipt, store at -20°C or -80°C. Avoid repeated freeze.
-
貨期:Basically, we can dispatch the products out in 1-3 working days after receiving your orders. Delivery time maybe differs from different purchasing way or location, please kindly consult your local distributors for specific delivery time.
-
用途:For Research Use Only. Not for use in diagnostic or therapeutic procedures.
相關產品
靶點詳情
-
功能:The B regulatory subunit might modulate substrate selectivity and catalytic activity, and also might direct the localization of the catalytic enzyme to a particular subcellular compartment. Within the PP2A holoenzyme complex, isoform 2 is required to promote proapoptotic activity. Isoform 2 regulates neuronal survival through the mitochondrial fission and fusion balance.
-
基因功能參考文獻:
- Dephosphorylation and total levels of beta-catenin were dependent on PR55beta in an adenoid cystic carcinoma tumor cell line. PMID: 29275362
- New pathogenic threshold of PPP2R2B CAG-43 to be pathogenic for SCA12 diagnosis. PMID: 27864267
- CAG triplet repeat expansion has been found in untranslated region of SCA12 gene in Indian spinocerebellar ataxia 12 patients. PMID: 27350687
- Thus, Fcp1 coordinates Cdk1 and Gwl inactivation to derepress PP2A-B55, generating a dephosphorylation switch that drives mitosis progression. PMID: 26653855
- investigated CAG copies within PPP2R2B in 29 patients with spinocerebellar ataxia who are excluded from the most common subtypes; 3 patients carried 53, 46 and 54 CAG repeats respectively, while the other 26 cases harbored CAG repeats less than 30 PMID: 25634432
- IER5 functions as a positive feedback regulator of HSF1 and that this process involves PP2A/B55 and HSF1 dephosphorylation. PMID: 25816751
- Bcl-2 phosphorylation at Ser70 by selective tyrosine nitration of PP2A-B56delta stabilizes its antiapoptotic activity PMID: 25082878
- Inactivation of protein-phosphatase 2A causing hyperphosphorylation of paraprotein targets in monoclonal gammopathy of undetermined significance, multiple myeloma and Waldenstrom's macroglobulinemia is due to an exchange of its regulatory subunits PMID: 24676687
- We demonstrate that PP2A/B55 is required for Gwl dephosphorylation at the essential Cdk site Thr194. Ensa/ARPP19 dephosphorylation is mediated by the RNA PMID: 24391510
- PP2A-B55beta promotes cyclin E1 overexpression by antagonizing its degradation and its inhibition could represent a therapeutic mechanism for abrogating cyclin E1 function in cancers PMID: 24509904
- Bod1 regulates protein phosphatase 2A at mitotic kinetochores. PMID: 24157919
- Differential autophagic neuronal cell death under stress is determined by the cytoplasmic and mitochondrial-specific PPP2R2B isoforms. PMID: 23381641
- Single nucleotide polymorphisms in PPP2R2B is associated with drug response in breast cancer. PMID: 23034890
- Data indicate that PPP2R2B gene product PP2A/Bbeta2 activates the mitochondrial fission enzyme dynamin-related protein 1 (Drp1) by dephosphorylating Ser656. PMID: 22583914
- This study suggested that PPP2R2B CAG expansion mutation might lead increase induction of Spinocerebellar ataxia type 12. PMID: 21827912
- defective production of PP2A Bbeta upon IL-2 deprivation results in apoptosis resistance and longer survival of autoreactive T cells, in a subset of SLE patients PMID: 21746932
- oxidative stress induced by mitochondrial dysfunction causes elevated expression of ppp2r2b and plays a causal role in SCA12; and reduction of ROS is a potential therapeutic intervention for this neuropathy PMID: 21471219
- results indicate that the A variant of the rs319217 SNP of the PPP2R2B gene is a marker of better prognosis in breast cancer PMID: 20669227
- CAG repeat lengths in the PPP2R2B gene may be potential genetic markers for Alzheimer disease susceptibility in the Japanese population. PMID: 21029765
- PPP2R2B, encoding the B55beta regulatory subunit of the PP2A complex, is epigenetically inactivated by DNA hypermethylation in colorectal cancer. PMID: 21075311
- Autosomal dominant cerebellar ataxia mapping to 5q31-q33.1 has no CAG repeat expansion or other mutations of the PPP2R2B gene. PMID: 20937954
- Quantitative methylation analysis identified ABCB1, FOXC1, PPP2R2B and PTEN as novel genes to be methylated in ductal carcinoma in situ. PMID: 20056007
- The CAG repeat in SCA12 functions as a cis element to up-regulate PPP2R2B expression. PMID: 20533062
- We investigated methylation patterns in the promoter regions of ABCB1, ATM, BRCA1, CDH3, CDKN2A, CXCR4, ESR1, FBXW7, FOXC1, GSTP1, IGF2, HMLH1, PPP2R2B, and PTEN75 in well-described pre-treatment samples from locally advanced breast cancer PMID: 20338046
- Cells with ectopically expressed PPP2R2B were shown predisposed to autophagy and oxidative stress induced cell death. PMID: 20017961
- a novel ATM-dependent mechanism is regulating association of B55 subunits with nuclear PP2A in response to IR PMID: 11723136
- Cyclin G recruits PP2A in order to modulate the phosphorylation of Mdm2 and thereby to regulate both Mdm2 and p53. PMID: 11983168
- Phosphorylation of bestrophin is regulated by PP2A. PMID: 12058047
- SCA12 triplet expansion rate in Italian ataxia patients PMID: 12140678
- Analysis of CTA/CTG and CAG polymorphism in a Polish control group. PMID: 14960773
- phospholipase D suppresses protein phosphatase 2A and is involved in the mTOR survival pathway in the transformation of human cells PMID: 16109716
- PP2A plays a positive rather than a negative role in the regulation of IKKbeta PMID: 16126728
- analysis of a founder for SCA12 in the Indian population PMID: 16138911
- We therefore propose that PP2A plays a crucial role in the maintenance of cell-cell adhesion through recruitment of IQGAP1 to the Rac-bound E-cadherin-catenins complex. PMID: 16245300
- The tumor suppressor PP2A is functionally inactivated in blast crisis CML through the inhibitory activity of the BCR/ABL-regulated SET protein. PMID: 16286244
- PP2A-mediated dephosphorylation of HSP27 and tau correlated with PP2A-induced preservation of endothelial cell cytoskeleton PMID: 16475161
- Cyclin G2 may modulate the cell cycle and cellular division processes through modulation of PP2A and centrosomal associated activities. PMID: 17123511
- The small t antigen (ST) of DNA tumor virus SV40 inhibits PP2A phosphatase activity through its N-terminal J domain. PMID: 17529992
- results suggest that the PPP2R2B gene CAG repeat polymorphism may be functional and may, in part, play a role in conferring susceptibility to Alzheimer disease and essential tremor in Taiwan PMID: 18484086
- Adenovirus E4orf4 protein downregulates MYC expression through interaction with the PP2A-B55 subunit PMID: 18653458
- Results suggest that Parkinsonism (PD) and multiple system atrophy (MSA) are not associated with spinocerebellar ataxia 12 (SCA12) and it is not necessary to screen SCA12 in PD and MSA patients. PMID: 18973067
- Clinical trial and genome-wide association study of gene-disease association, gene-environment interaction, and pharmacogenomic / toxicogenomic. (HuGE Navigator) PMID: 18519826
顯示更多
收起更多
-
相關疾病:Spinocerebellar ataxia 12 (SCA12)
-
亞細胞定位:[Isoform 1]: Cytoplasm. Cytoplasm, cytoskeleton. Membrane.; [Isoform 2]: Cytoplasm. Mitochondrion. Mitochondrion outer membrane.
-
蛋白家族:Phosphatase 2A regulatory subunit B family
-
組織特異性:Brain.
-
數據庫鏈接:
Most popular with customers
-
-
YWHAB Recombinant Monoclonal Antibody
Applications: ELISA, WB, IHC, IF, FC
Species Reactivity: Human, Mouse, Rat
-
Phospho-YAP1 (S127) Recombinant Monoclonal Antibody
Applications: ELISA, WB, IHC
Species Reactivity: Human
-
-
-
-
-















