PPP2CB Antibody
-
中文名稱:PPP2CB兔多克隆抗體
-
貨號:CSB-PA00985A0Rb
-
規格:¥440
-
圖片:
-
Western blot
All lanes: Serine/threonine-protein phosphatase 2A catalytic subunit beta isoform Antibody at 2μg/ml + EC109 whole cell lysate
Secondary
Goat polyclonal to rabbit IgG at 1/15000 dilution
Predicted band size: 34 kDa
Observed band size: 34 kDa -
Immunohistochemistry of paraffin-embedded human kidney tissue using CSB-PA00985A0Rb at dilution of 1:50
-
Immunofluorescent analysis of Hela cells using CSB-PA00985A0Rb at dilution of 1:100 and Alexa Fluor 488-congugated AffiniPure Goat Anti-Rabbit IgG(H+L)
-
IHC image of CSB-PA00985A0Rb diluted at 1:260 and staining in paraffin-embedded human lymph node tissue performed on a Leica BondTM system. After dewaxing and hydration, antigen retrieval was mediated by high pressure in a citrate buffer (pH 6.0). Section was blocked with 10% normal goat serum 30min at RT. Then primary antibody (1% BSA) was incubated at 4°C overnight. The primary is detected by a biotinylated secondary antibody and visualized using an HRP conjugated SP system.
-
IHC image of CSB-PA00985A0Rb diluted at 1:260 and staining in paraffin-embedded human glioma performed on a Leica BondTM system. After dewaxing and hydration, antigen retrieval was mediated by high pressure in a citrate buffer (pH 6.0). Section was blocked with 10% normal goat serum 30min at RT. Then primary antibody (1% BSA) was incubated at 4°C overnight. The primary is detected by a biotinylated secondary antibody and visualized using an HRP conjugated SP system.
-
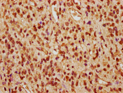
Immunohistochemistry of paraffin-embedded human brain tissue using CSB-PA00985A0Rb at dilution of 1:100
-
-
其他:
產品詳情
-
產品名稱:Rabbit anti-Homo sapiens (Human) PPP2CB Polyclonal antibody
-
Uniprot No.:
-
基因名:
-
別名:PP2A beta antibody; PP2A-beta antibody; PP2AB_HUMAN antibody; PP2Abeta antibody; PP2CB antibody; Ppp2cb antibody; Protein phosphatase 2 (formerly 2A); catalytic subunit; beta isoform antibody; Protein phosphatase 2 catalytic subunit beta isozyme antibody; Protein phosphatase 2; catalytic subunit; beta isoform antibody; Protein phosphatase 2A catalytic subunit beta isoform antibody; Protein phosphatase type 2A catalytic subunit antibody; Serine/threonine protein phosphatase 2A catalytic subunit beta antibody; Serine/threonine-protein phosphatase 2A catalytic subunit beta isoform antibody
-
宿主:Rabbit
-
反應種屬:Human
-
免疫原:Recombinant Human Serine/threonine-protein phosphatase 2A catalytic subunit beta isoform protein (1-309AA)
-
免疫原種屬:Homo sapiens (Human)
-
標記方式:Non-conjugated
本頁面中的產品,PPP2CB Antibody (CSB-PA00985A0Rb),的標記方式是Non-conjugated。對于PPP2CB Antibody,我們還提供其他標記。見下表:
-
克隆類型:Polyclonal
-
抗體亞型:IgG
-
純化方式:>95%, Protein G purified
-
濃度:It differs from different batches. Please contact us to confirm it.
-
保存緩沖液:Preservative: 0.03% Proclin 300
Constituents: 50% Glycerol, 0.01M PBS, PH 7.4 -
產品提供形式:Liquid
-
應用范圍:ELISA, WB, IHC, IF
-
推薦稀釋比:
Application Recommended Dilution WB 1:500-1:2000 IHC 1:100-1:500 IF 1:50-1:200 -
Protocols:
-
儲存條件:Upon receipt, store at -20°C or -80°C. Avoid repeated freeze.
-
貨期:Basically, we can dispatch the products out in 1-3 working days after receiving your orders. Delivery time maybe differs from different purchasing way or location, please kindly consult your local distributors for specific delivery time.
-
用途:For Research Use Only. Not for use in diagnostic or therapeutic procedures.
相關產品
靶點詳情
-
功能:PP2A can modulate the activity of phosphorylase B kinase casein kinase 2, mitogen-stimulated S6 kinase, and MAP-2 kinase.
-
基因功能參考文獻:
- The GAS41-PP2Cbeta complex dephosphorylates p53 at serine 366 and regulates its stability PMID: 21317290
- Claspin may be one of the phosphoproteins through which PP2A(Aalpha/Cbeta) affects Chk1 phosphorylation when ATR is activated by human immunodeficiency virus-1 Vpr. PMID: 17210576
- These data strongly support a recent proposal that a segment at 8p21.3 contains crucial prostate cancer tumor suppressors. PMID: 18460741
-
亞細胞定位:Cytoplasm. Nucleus. Chromosome, centromere. Cytoplasm, cytoskeleton, spindle pole. Note=In prometaphase cells, but not in anaphase cells, localizes at centromeres. During mitosis, also found at spindle poles.
-
蛋白家族:PPP phosphatase family, PP-1 subfamily
-
數據庫鏈接:
Most popular with customers
-
-
YWHAB Recombinant Monoclonal Antibody
Applications: ELISA, WB, IHC, IF, FC
Species Reactivity: Human, Mouse, Rat
-
Phospho-YAP1 (S127) Recombinant Monoclonal Antibody
Applications: ELISA, WB, IHC
Species Reactivity: Human
-
-
-
-
-















