PPIL1 Antibody
-
中文名稱:PPIL1兔多克隆抗體
-
貨號:CSB-PA977104
-
規格:¥1100
-
圖片:
-
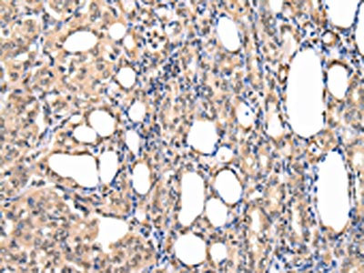
The image on the left is immunohistochemistry of paraffin-embedded Human thyroid cancer tissue using CSB-PA977104(PPIL1 Antibody) at dilution 1/30, on the right is treated with fusion protein. (Original magnification: ×200)
-
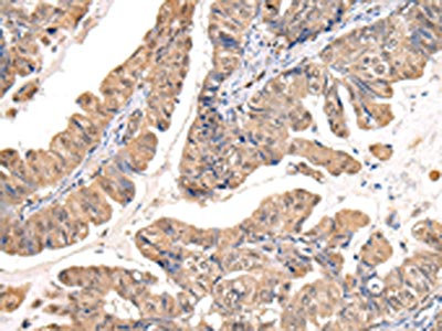
The image on the left is immunohistochemistry of paraffin-embedded Human esophagus cancer tissue using CSB-PA977104(PPIL1 Antibody) at dilution 1/30, on the right is treated with fusion protein. (Original magnification: ×200)
-
-
其他:
產品詳情
-
Uniprot No.:
-
基因名:PPIL1
-
別名:CGI 124 antibody; CGI-124 antibody; CGI124 antibody; Cyclophilin related gene 1 antibody; cyclophilin-related gene 1 antibody; cyclophilinrelated gene 1 antibody; CYPL1 antibody; hCyPX antibody; MGC678 antibody; peptidyl-prolyl cis-trans isomerase antibody; Peptidyl-prolyl cis-trans isomerase-like 1 antibody; Peptidylprolyl isomerase (cyclophilin) like 1 antibody; peptidylprolyl isomerase (cyclophilin)-like 1 antibody; peptidylprolyl isomerase (cyclophilin)like 1 antibody; peptidylprolyl isomerase (cyclophilin)like1 antibody; peptidylprolyl isomerase like 1 antibody; PPIase antibody; PPIL1 antibody; PPIL1_HUMAN antibody; rotamase antibody; Rotamase PPIL1 antibody
-
宿主:Rabbit
-
反應種屬:Human,Mouse
-
免疫原:Full length fusion protein
-
免疫原種屬:Homo sapiens (Human)
-
標記方式:Non-conjugated
-
抗體亞型:IgG
-
純化方式:Antigen affinity purification
-
濃度:It differs from different batches. Please contact us to confirm it.
-
保存緩沖液:-20°C, pH7.4 PBS, 0.05% NaN3, 40% Glycerol
-
產品提供形式:Liquid
-
應用范圍:ELISA,IHC
-
推薦稀釋比:
Application Recommended Dilution ELISA 1:2000-1:5000 IHC 1:25-1:100 -
Protocols:
-
儲存條件:Upon receipt, store at -20°C or -80°C. Avoid repeated freeze.
-
貨期:Basically, we can dispatch the products out in 1-3 working days after receiving your orders. Delivery time maybe differs from different purchasing way or location, please kindly consult your local distributors for specific delivery time.
-
用途:For Research Use Only. Not for use in diagnostic or therapeutic procedures.
相關產品
靶點詳情
-
功能:Involved in pre-mRNA splicing as component of the spliceosome. PPIases accelerate the folding of proteins. It catalyzes the cis-trans isomerization of proline imidic peptide bonds in oligopeptides.
-
基因功能參考文獻:
- NMR protein structure of PPIL1 PMID: 15772761
- here the solution structure of PPIL1 determined by NMR spectroscopy PMID: 16595688
-
亞細胞定位:Nucleus.
-
蛋白家族:Cyclophilin-type PPIase family, PPIL1 subfamily
-
組織特異性:Ubiquitous, with the most abundant expression in heart and skeletal muscle.
-
數據庫鏈接:
Most popular with customers
-
-
YWHAB Recombinant Monoclonal Antibody
Applications: ELISA, WB, IHC, IF, FC
Species Reactivity: Human, Mouse, Rat
-
Phospho-YAP1 (S127) Recombinant Monoclonal Antibody
Applications: ELISA, WB, IHC
Species Reactivity: Human
-
-
-
-
-















