PPIF Antibody
-
中文名稱:PPIF兔多克隆抗體
-
貨號:CSB-PA781876
-
規格:¥1100
-
圖片:
-
The image on the left is immunohistochemistry of paraffin-embedded Human thyroid cancer tissue using CSB-PA781876(PPIF Antibody) at dilution 1/45, on the right is treated with fusion protein. (Original magnification: ×200)
-
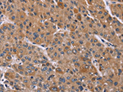
The image on the left is immunohistochemistry of paraffin-embedded Human liver cancer tissue using CSB-PA781876(PPIF Antibody) at dilution 1/45, on the right is treated with fusion protein. (Original magnification: ×200)
-
Gel: 10%SDS-PAGE, Lysate: 40 μg, Lane 1-4: PC3 cells, 293T cells, human liver cancer tissue, hela cells, Primary antibody: CSB-PA781876(PPIF Antibody) at dilution 1/500, Secondary antibody: Goat anti rabbit IgG at 1/8000 dilution, Exposure time: 20 seconds
-
-
其他:
產品詳情
-
Uniprot No.:
-
基因名:
-
別名:Cyclophilin 3 antibody; cyclophilin D antibody; Cyclophilin F antibody; Cyp D antibody; CyP M antibody; CyP-D antibody; CyP-M antibody; CYP3 antibody; CypD antibody; hCyP3 antibody; mitochondrial antibody; Mitochondrial cyclophilin antibody; Peptidyl prolyl cis trans isomerase, mitochondral antibody; Peptidyl-prolyl cis-trans isomerase F antibody; Peptidyl-prolyl cis-trans isomerase F, mitochondrial antibody; Peptidylprolyl isomerase F (cyclophilin F) antibody; Peptidylprolyl isomerase F antibody; PPIase antibody; PPIase F antibody; Ppif antibody; PPIF_HUMAN antibody; Rotamase antibody; Rotamase F antibody
-
宿主:Rabbit
-
反應種屬:Human,Mouse,Rat
-
免疫原:Fusion protein of Human PPIF
-
免疫原種屬:Homo sapiens (Human)
-
標記方式:Non-conjugated
-
抗體亞型:IgG
-
純化方式:Antigen affinity purification
-
濃度:It differs from different batches. Please contact us to confirm it.
-
保存緩沖液:-20°C, pH7.4 PBS, 0.05% NaN3, 40% Glycerol
-
產品提供形式:Liquid
-
應用范圍:ELISA,WB,IHC
-
推薦稀釋比:
Application Recommended Dilution ELISA 1:2000-1:5000 WB 1:500-1:2000 IHC 1:100-1:300 -
Protocols:
-
儲存條件:Upon receipt, store at -20°C or -80°C. Avoid repeated freeze.
-
貨期:Basically, we can dispatch the products out in 1-3 working days after receiving your orders. Delivery time maybe differs from different purchasing way or location, please kindly consult your local distributors for specific delivery time.
-
用途:For Research Use Only. Not for use in diagnostic or therapeutic procedures.
相關產品
靶點詳情
-
功能:PPIase that catalyzes the cis-trans isomerization of proline imidic peptide bonds in oligopeptides and may therefore assist protein folding. Involved in regulation of the mitochondrial permeability transition pore (mPTP). It is proposed that its association with the mPTP is masking a binding site for inhibiting inorganic phosphate (Pi) and promotes the open probability of the mPTP leading to apoptosis or necrosis; the requirement of the PPIase activity for this function is debated. In cooperation with mitochondrial p53/TP53 is involved in activating oxidative stress-induced necrosis. Involved in modulation of mitochondrial membrane F(1)F(0) ATP synthase activity and regulation of mitochondrial matrix adenine nucleotide levels. Has anti-apoptotic activity independently of mPTP and in cooperation with BCL2 inhibits cytochrome c-dependent apoptosis.
-
基因功能參考文獻:
- Cyclophilin D protects cell from cell death. PMID: 12077116
- There was increased [Ca(2+)](c), [Ca(2+)](m), mCICR, MPTP opening, and expression of cyclophilin D and decreased DeltaPsim in POAG TM cells compared with control cells. PMID: 18614807
-
亞細胞定位:Mitochondrion matrix.
-
蛋白家族:Cyclophilin-type PPIase family
-
數據庫鏈接:
Most popular with customers
-
-
YWHAB Recombinant Monoclonal Antibody
Applications: ELISA, WB, IHC, IF, FC
Species Reactivity: Human, Mouse, Rat
-
Phospho-YAP1 (S127) Recombinant Monoclonal Antibody
Applications: ELISA, WB, IHC
Species Reactivity: Human
-
-
-
-
-















