POU2F1 Antibody
-
中文名稱:POU2F1兔多克隆抗體
-
貨號:CSB-PA162244
-
規格:¥1100
-
圖片:
-
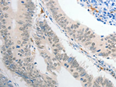
The image on the left is immunohistochemistry of paraffin-embedded Human colon cancer tissue using CSB-PA162244(POU2F1 Antibody) at dilution 1/30, on the right is treated with fusion protein. (Original magnification: ×200)
-
Gel: 8%SDS-PAGE, Lysate: 40 μg, Lane: 293T cells, Primary antibody: CSB-PA162244(POU2F1 Antibody) at dilution 1/400, Secondary antibody: Goat anti rabbit IgG at 1/8000 dilution, Exposure time: 15 seconds
-
-
其他:
產品詳情
-
Uniprot No.:
-
基因名:
-
別名:FLJ42836 antibody; NF A1 antibody; NF-A1 antibody; Oct 1 antibody; Oct 1B antibody; Oct-1 antibody; OCT1 antibody; Octamer binding protein 1 antibody; Octamer binding transcription factor 1 antibody; Octamer-binding protein 1 antibody; Octamer-binding transcription factor 1 antibody; OTF 1 antibody; OTF-1 antibody; OTF1 antibody; OTTHUMP00000032348 antibody; OTTHUMP00000032350 antibody; OTTHUMP00000032351 antibody; PO21 antibody; PO2F1 antibody; PO2F1_HUMAN antibody; POU class 2 homeobox 1 antibody; POU domain class 2 transcription factor 1 antibody; POU domain; class 2; transcription factor 1 antibody; POU2F1 antibody
-
宿主:Rabbit
-
反應種屬:Human,Mouse
-
免疫原:Fusion protein of Human POU2F1
-
免疫原種屬:Homo sapiens (Human)
-
標記方式:Non-conjugated
-
抗體亞型:IgG
-
純化方式:Antigen affinity purification
-
濃度:It differs from different batches. Please contact us to confirm it.
-
保存緩沖液:-20°C, pH7.4 PBS, 0.05% NaN3, 40% Glycerol
-
產品提供形式:Liquid
-
應用范圍:ELISA,WB,IHC
-
推薦稀釋比:
Application Recommended Dilution ELISA 1:1000-1:2000 WB 1:200-1:1000 IHC 1:25-1:100 -
Protocols:
-
儲存條件:Upon receipt, store at -20°C or -80°C. Avoid repeated freeze.
-
貨期:Basically, we can dispatch the products out in 1-3 working days after receiving your orders. Delivery time maybe differs from different purchasing way or location, please kindly consult your local distributors for specific delivery time.
-
用途:For Research Use Only. Not for use in diagnostic or therapeutic procedures.
相關產品
靶點詳情
-
功能:Transcription factor that binds to the octamer motif (5'-ATTTGCAT-3') and activates the promoters of the genes for some small nuclear RNAs (snRNA) and of genes such as those for histone H2B and immunoglobulins. Modulates transcription transactivation by NR3C1, AR and PGR.; (Microbial infection) In case of human herpes simplex virus (HSV) infection, POU2F1 forms a multiprotein-DNA complex with the viral transactivator protein VP16 and HCFC1 thereby enabling the transcription of the viral immediate early genes.
-
基因功能參考文獻:
- E6/E7-p53-POU2F1-CTHRC1 axis promotes cervical cancer cell invasion and metastasis PMID: 28303973
- our results indicate that POU2F1 over-expression is positively associated with aggressive phenotypes and poor survival in patients with HCC, and POU2F1 regulated by AKT pathway promotes HCC aggressive phenotypes by regulating the transcription of EMT genes. PMID: 28489585
- A significant influence of OCT1 mRNA expression on the clinical outcome of the disease was observed. PMID: 28025785
- Children with certain OCT1 genotypes have higher risk for respiratory depression and nausea and vomiting, postoperatively, following morphine administration. PMID: 28470102
- High POU2F1 expression is associated with liver cancer. PMID: 26375440
- THE results of this investigation demonstrate that genetic polymorphisms in the hepatic uptake transporter OCT1 affect the pharmacokinetics and efficacy of tramadol. PMID: 27541716
- Hepatic distribution of metformin was significantly reduced after oral administration in individuals with genetic polymorphisms in OCT1. PMID: 28380657
- We found that a combination of two polymorphisms in hOCT1 that seem to play the role of predictor for imatinib in both efficacy and toxicity PMID: 28289867
- hOCT1 mRNA expression may serve as a clinical biomarker of response to imatinib and could be useful to predict Imatinib mesylate therapy outcome of chronic myeloid leukemia patients PMID: 28286932
- Our study demonstrates that the existence of Oct-1 isoforms which vary in length and sequence at the N-terminus of the protein, also contributes in surprising diversity of Oct-1 functions in transcription regulation. PMID: 27407111
- HLA-C Level Is Regulated by a Polymorphic Oct1 Binding Site in the HLA-C Promoter Region PMID: 27817866
- OCT1 transported sumatriptan with high capacity and sumatriptan uptake into human hepatocytes was strongly inhibited by the OCT1 inhibitor MPP(+) PMID: 26659468
- Oct-1 modifies S100A4 exchange between intra- and extracellular compartments in Namalwa cells and increases their sensitivity to glucocorticoids. PMID: 27096393
- Low expression of POU2F1 is associated with osteosarcoma. PMID: 27658774
- Data indicate that octamer transcription factor 1 (OCT1; pou2f1) expression levels are significantly upregulated in colorectal cancer. PMID: 26433389
- Comparative analysis of various tumor lines showed no clear correlation between the expression level of Mts1/S100A4 and the content of Oct-1. However, at stable transfection of tumor cells with Oct-1A, Oct-1L, and Oct-1X isoforms we detected an elevated level of Oct-1, which stimulated Mts1/S100A4 secretion. PMID: 27193714
- The response in Burkitt's lymphoma cells (Namalwa line) to camptothecin and dexamethasone of the Oct-1 target genes involved in the development of apoptosis depended, firstly, on the type of drug, secondly, on the concentration of Oct-1 in cells and, thirdly, on the Oct-1 isoform with which these cells were transfected PMID: 27599509
- Role of transcription factor Oct-1 in the regulation of expression of genes of the JAK-STAT signaling pathway in the Namalwa Burkitt's lymphoma cell line: overexpression of Oct-1 isoforms (Oct-1A, Oct-1L, and Oct-1X) causes a decrease in the activity of four genes involved in the JAK-STAT signaling pathway-IFNAR2, STAT1, STAT2, and STAT4; STAT2 and STAT4 are direct targets for Oct-1 protein PMID: 27417729
- single-nucleotide polymorphisms of OCT1 have selective effects on the glycemic response to metformin PMID: 26464716
- OCT-1 plays a critical role in CD4 T cells through regulating gene expression during differentiation and mediating long-range chromosomal interactions. (Review) PMID: 27126747
- Oct-1 is a direct link of transcription factors with the core transcriptional machinery and chromatin remodeling and, depending on other factors present in particular cell types, it can direct cell type specific regulation. (Review) PMID: 27063953
- levels of microRNA-451 (miR-451) are negatively regulated through the phosphorylation and inactivation of its direct transcriptional activator OCT1 by 5' AMP-activated protein kinase PMID: 25937278
- hOCT1 c.480C>G SNP may significantly influence imatinib pharmacokinetics, supporting further analyses in larger groups of patients PMID: 24589908
- These results suggest that reduced OCT1 transport is an important determinant of metformin intolerance. PMID: 25510240
- POU2F1 activity regulates HOXD10 and HOXD11 gene expression in head and neck squamous cell carcinoma, promoting a proliferative and invasive phenotype. PMID: 25301728
- These experiments suggested that some human herpesvirus 8-infected PEL cell line-specific DNA-binding factors, such as OCT-1, should be involved in the upregulation of ANGPT-1 in a sequence-dependent manner. PMID: 25631079
- we demonstrate that the Oct-1 transcription factor, commonly considered pro-proliferative, indeed facilitates IFN-gamma induced apoptosis in 5637 bladder carcinoma cells PMID: 25236570
- combination of prelamin A accumulation and stress conditions enhance the aging phenotype by dysregulating the activity of the octamer binding protein Oct-1 PMID: 24753226
- a differential control exerted by both Oct-1 and Oct-2 in the transcriptional regulation of the HMGA1 gene PMID: 24367622
- T3 throid hormone enhanced the recruitment of the TRbeta1/Oct-1 complex on Octamer-transcription factor-1 site within cyclin D1 promoter. PMID: 24121026
- OCT-1 overexpression may be a marker for poor prognosis in patients with well-differentiated gastric adenocarcinoma. PMID: 24566898
- The new isoform of Oct-1 transcription factor is transcribed from alternative promoter. PMID: 24466753
- a new alternative promoter in the gene of the oct-1 transcription factor PMID: 23657650
- Data suggest that Oct1/Pou2f1 integrates metabolic and stress signals via O-GlcNAc modification to regulate target gene activity. PMID: 23580612
- our results did not show any pathogenic HOXA1 mutation, our results suggest that VSD might not be a clinically isolated manifestation of HOXA1 mutations. PMID: 22777240
- This study shows that long-term exposure to cisplatin promotes methylation of the OCT1 gene in human esophageal cancer cells, which in turn results in cisplatin resistance. PMID: 23053895
- Results indicate that lamin B1 (LMNB1) accumulation in adult-onset autosomal dominant leukodystrophy (ADLD) is associated with Oct-1 recruitment. PMID: 23261988
- STAT3 regulates the transcription and expression of Oct-1 by directly targeting its promoter. PMID: 23172665
- Oct-1 acts as a transcriptional repressor of C-reactive protein expression and it does so by occupying its cognate site on the promoter and also via other transcription factors by an as yet undefined mechanism PMID: 22750226
- Overexpression of wild-type, but not OCT1 loss-of-function variants, significantly increased tropisetron uptake. Correspondingly, patients with two loss-of-function OCT1 alleles had higher tropisetron plasma concentrations. PMID: 20921968
- AK inhibitor MK-0457 induces the growth arrest DNA damage-inducible (Gadd) 45a through recruitment of octamer-binding (Oct)-1 transcription factor at a critical promoter region for gene transcription and covalent modifications of histone H3. PMID: 22521726
- Exogenous Oct-1 expression showed a concentration-dependent activation of U6 promoter that was further stimulated by the p38 kinase inhibitors. PMID: 22310390
- Sox2 modulates the mechanism of translocation of Oct1. Both Sox2 and the Oct1 POU(HD) domain are transiently released from the specific ternary complex by sliding to an adjacent nonspecific site, followed by direct transfer to another DNA molecule PMID: 22396547
- patients with high immunoreactivity of Oct1 showed a low cancer-specific survival rate. PMID: 21387309
- role for Oct1 in mitosis PMID: 21897860
- Oct-1 is downregulated by reactive oxygen species via CpG island methylation in its promoter PMID: 21985966
- antioxidative response element-like/Oct-1 binding site was noticed to be essential for shear stress-dependent downregulation of Nox4 PMID: 21399967
- The authors demonstrate that the cellular transcription factor Oct-1 cooperates with the EBV immediate-early protein BRLF1 (R, Rta) to induce lytic viral reactivation. PMID: 21697476
- Genetic polymorphisms of the OCT1 is associated with the response to imatinib in patients newly diagnosed with chronic-phase chronic myeloid leukemia PMID: 21185600
- High OCT-1 is associated with chronic myeloid leukemia. PMID: 20971815
顯示更多
收起更多
-
亞細胞定位:Nucleus.
-
蛋白家族:POU transcription factor family, Class-2 subfamily
-
組織特異性:Ubiquitous. Isoform 2 is lymphocyte-specific.
-
數據庫鏈接:
Most popular with customers
-
-
YWHAB Recombinant Monoclonal Antibody
Applications: ELISA, WB, IHC, IF, FC
Species Reactivity: Human, Mouse, Rat
-
Phospho-YAP1 (S127) Recombinant Monoclonal Antibody
Applications: ELISA, WB, IHC
Species Reactivity: Human
-
-
-
-
-















