POP4 Antibody
-
中文名稱:POP4兔多克隆抗體
-
貨號:CSB-PA018373LA01HU
-
規格:¥440
-
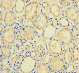
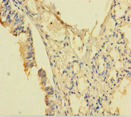
圖片:
-
其他:
產品詳情
-
產品名稱:Rabbit anti-Homo sapiens (Human) POP4 Polyclonal antibody
-
Uniprot No.:
-
基因名:POP4
-
別名:POP4 antibody; RPP29 antibody; Ribonuclease P protein subunit p29 antibody; hPOP4 antibody; EC 3.1.26.5 antibody
-
宿主:Rabbit
-
反應種屬:Human
-
免疫原:Recombinant Human Ribonuclease P protein subunit p29 protein (1-220AA)
-
免疫原種屬:Homo sapiens (Human)
-
標記方式:Non-conjugated
本頁面中的產品,POP4 Antibody (CSB-PA018373LA01HU),的標記方式是Non-conjugated。對于POP4 Antibody,我們還提供其他標記。見下表:
-
克隆類型:Polyclonal
-
抗體亞型:IgG
-
純化方式:>95%, Protein G purified
-
濃度:It differs from different batches. Please contact us to confirm it.
-
保存緩沖液:Preservative: 0.03% Proclin 300
Constituents: 50% Glycerol, 0.01M PBS, PH 7.4 -
產品提供形式:Liquid
-
應用范圍:ELISA, IHC
-
推薦稀釋比:
Application Recommended Dilution IHC 1:20-1:200 -
Protocols:
-
儲存條件:Upon receipt, store at -20°C or -80°C. Avoid repeated freeze.
-
貨期:Basically, we can dispatch the products out in 1-3 working days after receiving your orders. Delivery time maybe differs from different purchasing way or location, please kindly consult your local distributors for specific delivery time.
-
用途:For Research Use Only. Not for use in diagnostic or therapeutic procedures.
相關產品
靶點詳情
-
功能:Component of ribonuclease P, a ribonucleoprotein complex that generates mature tRNA molecules by cleaving their 5'-ends.
-
基因功能參考文獻:
- Results demonstrate that Rpp29 promotes homology-directed repair of double-strand breaks. It is rapidly and transiently recruited to laser-microirradiated DNA sites. PMID: 28432356
- Collectively, the present results suggest that PhoRpp21 binds the loop between P11 and P12 helices through overall positively charged clusters on the surface of the complex and serves as a scaffold for PhoRpp29 to optimize structural conformation of its N-terminal helix (alpha2) in PhoRpp21, as well as C-terminal residues in PhoRpp29, for RNase P activity. PMID: 27810361
- Rpp29 represses H3.3 nucleosome deposition, a finding with implications for epigenetic regulation. PMID: 26842893
-
亞細胞定位:Nucleus, nucleolus.
-
蛋白家族:Eukaryotic/archaeal RNase P protein component 1 family
-
數據庫鏈接:
Most popular with customers
-
-
YWHAB Recombinant Monoclonal Antibody
Applications: ELISA, WB, IHC, IF, FC
Species Reactivity: Human, Mouse, Rat
-
Phospho-YAP1 (S127) Recombinant Monoclonal Antibody
Applications: ELISA, WB, IHC
Species Reactivity: Human
-
-
-
-
-















