-
中文名稱:PON1兔多克隆抗體
-
貨號:CSB-PA018369EA01HU
-
規格:¥440
-
圖片:
-
Western blot
All lanes: PON1 antibody at 2µg/ml + Mouse liver tissue
Secondary
Goat polyclonal to rabbit IgG at 1/10000 dilution
Predicted band size: 40 kDa
Observed band size: 40 kDa -
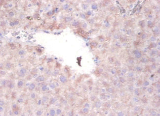
Immunohistochemistry of paraffin-embedded mouse liver tissue using CSB-PA018369EA01HU at dilution of 1:100
-
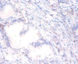
Immunohistochemistry of paraffin-embedded human prostate tissue using CSB-PA018369EA01HU at dilution of 1:100
-
-
其他:
產品詳情
-
產品名稱:Rabbit anti-Homo sapiens (Human) PON1 Polyclonal antibody
-
Uniprot No.:
-
基因名:PON1
-
別名:A esterase 1 antibody; A-esterase 1 antibody; Aromatic esterase 1 antibody; Arylesterase 1 antibody; Arylesterase B type antibody; ESA antibody; Esterase A antibody; K 45 antibody; K-45 antibody; MVCD5 antibody; Paraoxonase 1 antibody; Paraoxonase antibody; Paraoxonase B type antibody; Paraoxonase, plasma antibody; Paraoxonase1 antibody; PON 1 antibody; PON antibody; PON1 antibody; PON1_HUMAN antibody; Serum aryldiakylphosphatase antibody; Serum aryldialkylphosphatase 1 antibody; Serum paraoxonase/arylesterase 1 antibody
-
宿主:Rabbit
-
反應種屬:Human, Mouse
-
免疫原:Recombinant Human Serum paraoxonase/arylesterase 1 protein (2-355AA)
-
免疫原種屬:Homo sapiens (Human)
-
標記方式:Non-conjugated
本頁面中的產品,PON1 Antibody (CSB-PA018369EA01HU),的標記方式是Non-conjugated。對于PON1 Antibody,我們還提供其他標記。見下表:
-
克隆類型:Polyclonal
-
抗體亞型:IgG
-
純化方式:>95%, Protein G purified
-
濃度:It differs from different batches. Please contact us to confirm it.
-
保存緩沖液:Preservative: 0.03% Proclin 300
Constituents: 50% Glycerol, 0.01M PBS, PH 7.4 -
產品提供形式:Liquid
-
應用范圍:ELISA, WB, IHC
-
推薦稀釋比:
Application Recommended Dilution WB 1:1000-1:5000 IHC 1:20-1:200 -
Protocols:
-
儲存條件:Upon receipt, store at -20°C or -80°C. Avoid repeated freeze.
-
貨期:Basically, we can dispatch the products out in 1-3 working days after receiving your orders. Delivery time maybe differs from different purchasing way or location, please kindly consult your local distributors for specific delivery time.
-
用途:For Research Use Only. Not for use in diagnostic or therapeutic procedures.
引用文獻
- Association of genetic variations of 3′-UTR in clopidogrel pharmacokinetic-relevant genes with clopidogrel response in Han Chinese patients with coronary artery disease D Li,European journal of pharmaceutical sciences,2024
相關產品
靶點詳情
-
功能:Hydrolyzes the toxic metabolites of a variety of organophosphorus insecticides. Capable of hydrolyzing a broad spectrum of organophosphate substrates and lactones, and a number of aromatic carboxylic acid esters. Mediates an enzymatic protection of low density lipoproteins against oxidative modification and the consequent series of events leading to atheroma formation.
-
基因功能參考文獻:
- serum levels decrease in states of high oxidative stress like metabolic syndrome, obesity, uncontrolled diabetes, and dyslipidemia PMID: 29843993
- CD was found to be associated with the decrease in the levels of PON-1, which correlates well with activity of the disease and reflects the intensification of inflammation, as well as intensified lipid peroxidation. High sensitivity and specificity of PON-1 determines its selection as a good screening test for CD severity. PMID: 30314292
- The analysis of the effect of the individual SNPs(PON1, IL-6, ITGB3, and ALDH2 ) and GRS groups on different lipid profile parameters revealed no significant association of any of the tested SNPs with any lipid parameter, however, the GRS groups showed marginally significant for TC and highly significant association for TG, LDL-c and HDL-c PMID: 30261890
- It findings provide genetic evidence that the PON1-L55M variant may be a factor contributing to the glycemic control in type 2 diabetes. PMID: 29782842
- Low serum paraoxonase 1 activity is associated with the development of type 2 diabetes mellitus. PMID: 29156090
- T allele and TT genotype are associated with COPD, and the PON1-108C>T polymorphism could be a potential predictor of the disease. PMID: 29858231
- study showed that altered HDL subclasses distribution, changed PON1 activities on different HDL subclasses as well as diminished anti-oxidative protection could be important factors in atherosclerosis development in CKD and ESRD patients PMID: 30130521
- Data suggest that patients with ARF (acute renal failure) caused by septic shock have low serum PON1 activities, cholesterol, and HDL-cholesterol; high serum PON1 activities are associated with severity of septic shock; extra-renal depuration techniques produce further increases in serum PON1 activities related to duration of stay in ICU and increases in serum urea levels. This study was conducted in Spain. PMID: 30165052
- Studied association of genetic polymorphisms of paraoxanase 1(PON1) in Turkish patients with pulmonary embolism (PE). Results suggest that there is no relationship between both PON 1 polymorphisms and PE in the Turkish population. PMID: 29682786
- Low PON1 expression is associated with breast cancer. PMID: 29970690
- serum concentrations of trace elements and their relationships with paraoxonase-1 in morbidly obese women PMID: 29773198
- Low PON1 expression is associated with Atherosclerosis. PMID: 29254890
- The aim of this study was to investigate whether obesity is associated with PON1 activity and whether this association is influenced by oxidative stress, inflammation and HDL cholesterol (HDL-C) concentration. PMID: 29168398
- Our results showed that ApoE epsilon4 and PON1-55M alleles act synergistically to increase the risk of systemic lupus erythematosus by 1.47 times PMID: 29273831
- Low PON1 expression is associated with endometrial cancer. PMID: 30178714
- The rs3735590 polymorphism of PON1 acts as a prognostic biomarker in COPD patients treated by CABG. PMID: 29953969
- Results showed significantly decreased levels of PON1 in patients with chronic liver diseases (controls 185 +/- 14 U/l, NAFLD 160 +/- 15 U/l, chronic hepatitis 99 +/- 18 U/l, cirrhosis (52 +/- 11 U/l). PMID: 29322801
- rs662_A allele carriers may benefit from intake of vegetables and thus be more effectively protected from ischemic stroke. Carriers of the G allele may still remain at greater risk for ischemic stroke even when they consume a high level of vegetables. PMID: 29215590
- Impaired anti-oxidant and anti-atherogenic HDL properties associated with weakened PON1 function and lipid peroxidation may contribute to the development of atherosclerosis-related diseases in T2DM. PMID: 29626583
- the Q192R polymorphism in the PON1 gene is associated with familial hypercholesterolemia (FH) in the Saudi population; the R allele, QR, and dominant model genotypes were associated with FH PMID: 29229890
- activity of PON1 in the control group was significantly higher in comparison with diabetic patients PMID: 28866115
- PON1-L55M T alleles are associated with dementia risk. PMID: 28657841
- PON1 Q192R polymorphism has a weak association with coronary heart disease risk in Chinese PMID: 29952962
- rs854560 polymorphism may modulate the risk of coronary artery disease in response to cigarette smoking in Polish population. PMID: 29118461
- PLA2G7 and PON1 are overexpressed in prostatic neoplasm patients and can be detected early in blood. PMID: 29050675
- PON1 as an important candidate gene influencing genetic pathophysiology of polycystic ovarian syndrome. PMID: 29604466
- It demonstrates that the impact of Y71 substitutions on PON1's lactonase activity is minimal, whereas the kcat for the paraoxonase activity is negatively perturbed by up to 100-fold, suggesting greater mutational robustness of the native activity. PMID: 28026940
- genetic association studies in population of women in Greece: Data suggest than a genetic polymorphism in PON1 (Q192R) is associated with gestational diabetes in the population studied. Transcription of the PON1 gene does not appear to be impaired in leukocytes from women with gestational diabetes. PMID: 28347194
- The patients with CT OR TT genotype at loci rs3735590 had a lower risk of CAVS than patients with the CC genotype. PMID: 29462797
- HDL-C, but not its anti-oxidant constituent, PON-1, is inversely, continuously and independently associated with future risk of hypertension. PMID: 28667918
- In donor retina from patients with diabetes, all three PON1, PON2 and PON3 were expressed, and there was a significant increase in PON3 expression compared to control. This might be the reason for the increased thiolactonase activity observed in diabetic retina compared to control PMID: 28862184
- Serum PON1 levels showed that oxidative stress was severe in otosclerosis. PMID: 27387094
- PON1 L55M genetic polymorphisms may be associated with the risk of breast cancer and could potentially serve as useful genetic markers for tumor prognosis in some populations of Chinese women. PMID: 28445984
- Paraoxonase-1 (PON1) induces metastatic potential and apoptosis escape via its antioxidative function in lung cancer cells PMID: 28467805
- This study is the first study to investigate serum PON1 enzyme activity in patients with cutaneous anthrax. We concluded that oxidative stress was increased whereas serum PON1 activity was decreased in patients with cutaneous anthrax. These results indicate that lower PON1 activity is associated with an oxidant-antioxidant imbalance. PMID: 27461010
- The L55M polymorphism associated with systemic lupus erythematosus and anti-phospholipid syndrome in a population from Cairo, Egypt, while the Q192R polymorphism played no role in disease susceptibility. PMID: 28185016
- PON1 (Q192R and L55M) polymorphisms may play a crucial role in pathogenesis and susceptibility of insulin resistance thus leads to the development of type 2 diabetes in South Indian population. PMID: 29409844
- PON1 protein can be detected in plasma and resides in the high-density lipoprotein fraction and protects against Oxidative stress by hydrolyzing certain oxidized lipids in lipoproteins, macrophages and Atherosclerotic lesions. PMID: 29308836
- Our study provides preliminary support for the involvement of organophosphate pesticides and PON1 in Parkinson's disease-related motor, cognitive, or depressive symptom progression. PMID: 28689109
- The distribution of genotype frequencies in the assessed women (PON1 Q192R polymorphism) was QQ = 20%, QR = 48% and RR = 32%. Significantly higher serum FABP4 levels were found in women with genotype QR/RR (20.6 +/- 2.20 ng/mL), when compared with the levels found in the QQ group (12.8 +/- 1.70 ng/mL) (p = .004). PMID: 27712128
- rare genetic variation in PON1 was associated with ischemic stroke, with stronger associations identified in those of AA. Increased focus on PON1 enzyme function and its role in cerebrovascular disease is warranted. PMID: 24711634
- PON1 arylesterase activity correlated negatively with sCD40L, ADMA, and sICAM-1 levels in overweight patients with newly diagnosed untreated hyperlipidaemia. PMID: 28602123
- 5-amino-2-methylbenzenesulfonamide showed competitive inhibition and so molecular docking studies were performed for this compound in order to assess the probable binding mechanism into the active site of hPON1. PMID: 28665493
- The results of various studies in different populations indicate that some SNPs of the PON1 gene are associated with stroke. PMID: 28779954
- Genotype RR of PON1 Q192R is an independent risk factor predicting re-stenting in Chinese acute coronary syndrome patients after coronary stenting PMID: 27450784
- Clinical observations focusing on gene polymorphisms of PON indicate that three different genotypes of polymorphism PON1Q192R have unequal degrees atheroprotective properties. PMID: 29215249
- the measurement of serum PON1 concentration post-radiotherapy (RT) could be an efficient prognostic biomarker, and may be used as an index of the efficacy of the RT. PMID: 29176871
- Patients with the Q allele of the PON1 Q192R polymorphism who were treated with statins exhibited improvement in glucose metabolism, especially in insulin secretion, suggesting the importance of genotyping PON1 Q192R to identify those who could benefit from statin therapy. PMID: 29233102
- PON1 and CYP2C19 polymorphisms were associated with lower clopidogrel responsiveness in this sample. PMID: 28076455
- Our study showed that although lipoic acid up-regulates PON3 but down-regulates PON1 mRNA expression, it increases both PON1 and PON3 protein levels and arylesterase activity in HepG2 cells. We can report that lipoic acid may be useful for preventing atherosclerosis at therapeutic doses. PMID: 28653653
顯示更多
收起更多
-
相關疾病:Microvascular complications of diabetes 5 (MVCD5)
-
亞細胞定位:Secreted, extracellular space.
-
蛋白家族:Paraoxonase family
-
組織特異性:Plasma, associated with HDL (at protein level). Expressed in liver, but not in heart, brain, placenta, lung, skeletal muscle, kidney or pancreas.
-
數據庫鏈接:
Most popular with customers
-
-
YWHAB Recombinant Monoclonal Antibody
Applications: ELISA, WB, IHC, IF, FC
Species Reactivity: Human, Mouse, Rat
-
Phospho-YAP1 (S127) Recombinant Monoclonal Antibody
Applications: ELISA, WB, IHC
Species Reactivity: Human
-
-
-
-
-















