POMP Antibody
-
中文名稱:POMP兔多克隆抗體
-
貨號:CSB-PA018365LA01HU
-
規格:¥440
-
圖片:
-
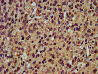
IHC image of CSB-PA018365LA01HU diluted at 1:400 and staining in paraffin-embedded human glioma performed on a Leica BondTM system. After dewaxing and hydration, antigen retrieval was mediated by high pressure in a citrate buffer (pH 6.0). Section was blocked with 10% normal goat serum 30min at RT. Then primary antibody (1% BSA) was incubated at 4°C overnight. The primary is detected by a biotinylated secondary antibody and visualized using an HRP conjugated SP system.
-
Immunofluorescence staining of HepG2 cells with CSB-PA018365LA01HU at 1:133, counter-stained with DAPI. The cells were fixed in 4% formaldehyde, permeabilized using 0.2% Triton X-100 and blocked in 10% normal Goat Serum. The cells were then incubated with the antibody overnight at 4°C. The secondary antibody was Alexa Fluor 488-congugated AffiniPure Goat Anti-Rabbit IgG(H+L).
-
-
其他:
產品詳情
-
產品名稱:Rabbit anti-Homo sapiens (Human) POMP Polyclonal antibody
-
Uniprot No.:
-
基因名:POMP
-
別名:2510048O06Rik antibody; C13orf12 antibody; Chromosome 13 open reading frame 12 antibody; HSPC 014 antibody; HSPC036 protein antibody; hUMP 1 antibody; hUMP1 antibody; PNAS 110 antibody; PNAS110 antibody; Pomp antibody; POMP_HUMAN antibody; Proteasome maturation protein antibody; Proteassemblin antibody; Protein UMP1 homolog antibody; UMP 1 antibody; UMP1 antibody; UMP1; yeast; homolog of antibody; Voltage gated K channel beta subunit 4.1 antibody; Voltage-gated K channel beta subunit 4.1 antibody; voltage-gated potassium channel beta subunit 4.1 antibody
-
宿主:Rabbit
-
反應種屬:Human
-
免疫原:Recombinant Human Proteasome maturation protein (1-141AA)
-
免疫原種屬:Homo sapiens (Human)
-
標記方式:Non-conjugated
本頁面中的產品,POMP Antibody (CSB-PA018365LA01HU),的標記方式是Non-conjugated。對于POMP Antibody,我們還提供其他標記。見下表:
-
克隆類型:Polyclonal
-
抗體亞型:IgG
-
純化方式:>95%, Protein G purified
-
濃度:It differs from different batches. Please contact us to confirm it.
-
保存緩沖液:Preservative: 0.03% Proclin 300
Constituents: 50% Glycerol, 0.01M PBS, PH 7.4 -
產品提供形式:Liquid
-
應用范圍:ELISA, IHC, IF
-
推薦稀釋比:
Application Recommended Dilution IHC 1:200-1:500 IF 1:50-1:200 -
Protocols:
-
儲存條件:Upon receipt, store at -20°C or -80°C. Avoid repeated freeze.
-
貨期:Basically, we can dispatch the products out in 1-3 working days after receiving your orders. Delivery time maybe differs from different purchasing way or location, please kindly consult your local distributors for specific delivery time.
-
用途:For Research Use Only. Not for use in diagnostic or therapeutic procedures.
相關產品
靶點詳情
-
功能:Molecular chaperone essential for the assembly of standard proteasomes and immunoproteasomes. Degraded after completion of proteasome maturation. Mediates the association of 20S preproteasome with the endoplasmic reticulum.
-
基因功能參考文獻:
- POMP-related autoinflammation and immune dysregulation disease (PRAID) discovered in two unrelated individuals with a unique constellation of early-onset combined immunodeficiency, inflammatory neutrophilic dermatosis, and autoimmunity, is reported. PMID: 29805043
- POMP is overexpressed and participates in the increase of proteasome assembly and activity in psoriatic skin. PMID: 28728908
- MCM3AP and POMP Mutations Cause a DNA-Repair and DNA-Damage-Signaling Defect in an Immunodeficient Child PMID: 26615982
- studies validate a role for the NRF2/POMP axis in bortezomib resistance and identify NRF2 and POMP as potentially attractive targets for chemosensitization to this proteasome inhibitor PMID: 26483548
- microRNA-101 (miR-101) targets the proteasome maturation protein POMP, leading to impaired proteasome assembly and activity, and resulting in accumulation of p53 and cyclin-dependent kinase inhibitors, cell cycle arrest, and apoptosis. PMID: 26145175
- Single-nucleotide polymorphisms in POMP gene is associated with breast cancer risk after menopausal hormone replacement therapy. PMID: 24080446
- KLICK is caused by reduced levels of POMP, leading to proteasome insufficiency in differentiating keratinocytes PMID: 22235297
- A single-nucleotide deletion in the POMP 5' UTR causes a transcriptional switch and altered epidermal proteasome distribution in KLICK genodermatosis. PMID: 20226437
- POMP/proteassemblin/hUmp1 may be tetramerised and is localized to the cytoplasm and the nucleus PMID: 16624403
- Data show that POMP facilitates the main steps in 20S core complex formation at the ER to coordinate the assembly process and to provide cells with freshly formed proteasomes at their site of function. PMID: 17948026
顯示更多
收起更多
-
相關疾?。?/div>Keratosis linearis with ichthyosis congenita and sclerosing keratoderma (KLICK)亞細胞定位:Cytoplasm, cytosol. Nucleus. Microsome membrane.蛋白家族:POMP/UMP1 family組織特異性:Strongly expressed from the basal layer to the granular layer of healthy epidermis, whereas in KLICK patients there is a gradual decrease of expression toward the granular layer.數據庫鏈接:
Most popular with customers
-
YWHAB Recombinant Monoclonal Antibody
Applications: ELISA, WB, IHC, IF, FC
Species Reactivity: Human, Mouse, Rat
-
-
-
-
-
-
-
VDAC1 Recombinant Monoclonal Antibody
Applications: ELISA, WB, IHC
Species Reactivity: Human, Mouse, Rat















