POLH Antibody
-
中文名稱:POLH兔多克隆抗體
-
貨號:CSB-PA018321LA01HU
-
規格:¥3,900
-
圖片:
-
Western Blot
Positive WB detected in: A549 whole cell lysate(30μg), K562 whole cell lysate(30μg), MCF7 whole cell lysate(30μg), Hela whole cell lysate(30μg), HepG2 whole cell lysate(30μg), 293T whole cell lysate(30μg),RAji whole cell lysate(30μg),A431 whole cell lysate(30μg)
All lanes: POLH antibody at 1:1000
Secondary
Goat polyclonal to rabbit IgG at 1/20000 dilution
Predicted band size: 79,47 kDa
Observed band size: 79 kDa
Exposure time: 120s -
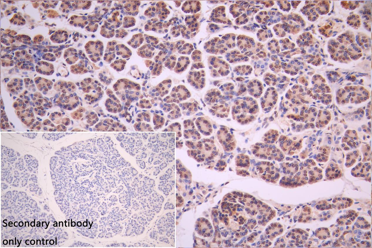
IHC image of CSB-PA018321LA01HU diluted at 1:50 and staining in paraffin-embedded human pancreatic tissue performed on a Leica BondTM system. After dewaxing and hydration, antigen retrieval was mediated by high pressure in a citrate buffer (pH 6.0). Section was blocked with 10% normal goat serum 30min at RT. Then primary antibody (1% BSA) was incubated at 4°C overnight. The primary is detected by a Goat anti-rabbit polymer IgG labeled by HRP and visualized using 0.05% DAB. Secondary antibody only control: uses 1% BSA instead of primary antibody
-
Immunofluorescence staining of Hela cell with CSB-PA018321LA01HU at 1:20, counter-stained with DAPI. The cells were fixed in 4% formaldehyde and and permeated by 0.2% TritonX-100 for 15 min. Then 10% normal goat serum to block non-specific protein-protein interactions . The cells were then incubated with the antibody overnight at 4℃. The secondary antibody was Alexa Fluor 488-congugated AffiniPure Goat Anti-Rabbit IgG(H+L).
-
Immunofluorescence staining of Hela cell with 5% goat serum, counter-stained with DAPI. The cells were fixed in 4% formaldehyde and blocked in 10% normal Goat Serum. The cells were then incubated with the antibody overnight at 4C. The secondary antibody was Alexa Fluor 488-congugated AffiniPure Goat Anti-Rabbit IgG(H+L).
-
Immunofluorescence staining of HepG2 cell with CSB-PA018321LA01HU at 1:20, counter-stained with DAPI. The cells were fixed in 4% formaldehyde and and permeated by 0.2% TritonX-100 for 15 min. Then 10% normal goat serum to block non-specific protein-protein interactions . The cells were then incubated with the antibody overnight at 4℃. The secondary antibody was Alexa Fluor 488-congugated AffiniPure Goat Anti-Rabbit IgG(H+L).
-
Immunofluorescence staining of HepG2 cell with 5% goat serum, counter-stained with DAPI. The cells were fixed in 4% formaldehyde and blocked in 10% normal Goat Serum. The cells were then incubated with the antibody overnight at 4C. The secondary antibody was Alexa Fluor 488-congugated AffiniPure Goat Anti-Rabbit IgG(H+L).
-
-
其他:
產品詳情
-
產品描述:
The POLH antibody (CSB-PA009343LA01HU) is used to recognize the POLH protein only in human samples. It is generated in the rabbit with a peptide mapping within amino acids 408-609 of the human POLH immunized. And it occurs as an unconjugated IgG. Purification by protein G reaches up to 95% in purity. This POLH polyclonal antibody has been validated for use in ELISA, WB, IF, and IHC applications. Its target protein POLH mainly functions to replicate damaged DNA caused especially by ultraviolet (UV) rays from sunlight.
-
產品名稱:Rabbit anti-Homo sapiens (Human) POLH Polyclonal antibody
-
Uniprot No.:
-
基因名:POLH
-
別名:DNA polymerase eta antibody; FLJ16395 antibody; FLJ21978 antibody; Polh antibody; POLH_HUMAN antibody; polymerase DNA directed eta antibody; RAD30 antibody; RAD30 homolog A antibody; RAD30A antibody; Xeroderma pigmentosum variant type protein antibody; XP V antibody; XPV antibody
-
宿主:Rabbit
-
反應種屬:Human
-
免疫原:Recombinant Human DNA polymerase eta protein
-
免疫原種屬:Homo sapiens (Human)
-
克隆類型:Polyclonal
-
抗體亞型:IgG
-
純化方式:Antigen?affinity?purification
-
濃度:It differs from different batches. Please contact us to confirm it.
-
保存緩沖液:Preservative: 0.02% sodium azide
Constituents: 50% Glycerol, 0.01M PBS, pH 7.4 -
產品提供形式:Liquid
-
應用范圍:ELISA, WB, IHC, IF
-
推薦稀釋比:
Application Recommended Dilution WB 1:500-1:2000 IHC 1:50-1:200 IF 1:20-1:100 -
Protocols:
-
儲存條件:Upon receipt, store at -20°C or -80°C. Avoid repeated freeze.
-
貨期:Basically, we can dispatch the products out in 1-3 working days after receiving your orders. Delivery time maybe differs from different purchasing way or location, please kindly consult your local distributors for specific delivery time.
-
用途:For Research Use Only. Not for use in diagnostic or therapeutic procedures.
相關產品
靶點詳情
-
功能:DNA polymerase specifically involved in the DNA repair by translesion synthesis (TLS). Due to low processivity on both damaged and normal DNA, cooperates with the heterotetrameric (REV3L, REV7, POLD2 and POLD3) POLZ complex for complete bypass of DNA lesions. Inserts one or 2 nucleotide(s) opposite the lesion, the primer is further extended by the tetrameric POLZ complex. In the case of 1,2-intrastrand d(GpG)-cisplatin cross-link, inserts dCTP opposite the 3' guanine. Particularly important for the repair of UV-induced pyrimidine dimers. Although inserts the correct base, may cause base transitions and transversions depending upon the context. May play a role in hypermutation at immunoglobulin genes. Forms a Schiff base with 5'-deoxyribose phosphate at abasic sites, but does not have any lyase activity, preventing the release of the 5'-deoxyribose phosphate (5'-dRP) residue. This covalent trapping of the enzyme by the 5'-dRP residue inhibits its DNA synthetic activity during base excision repair, thereby avoiding high incidence of mutagenesis. Targets POLI to replication foci.
-
基因功能參考文獻:
- Findings demonstrate a novel role of Poleta O-GlcNAcylation in translesion DNA synthesis regulation and genome stability maintenance. PMID: 29208956
- Rad18, independently of its ubiquitin ligase activity, promotes DNA polymerase eta SUMOylation by facilitating its interaction with its SUMO ligase PIAS1 and is required for DNA polymerase eta function at difficult to replicate loci. PMID: 27811911
- In human DNA polymerase eta, the conserved Arg61 favors Watson-Crick base pairing through defined interactions with the incoming nucleotide. PMID: 29424536
- Two novel mutations in the POLH gene, which encodes the translesion DNA polymerase eta, with loss of function due to two independent exon skippings, are reported to be associated as a compound heterozygous state in the patient. PMID: 28688171
- Data suggest that DNA polymerase eta (POLH/RAD30) is able to bind DNA/DNA, RNA/DNA, and DNA/RNA duplexes with similar affinities; DNA polymerase eta (as well as DNA polymerase kappa) accommodates RNA as one of the two strands during primer extension; both polymerases elongate RNA/DNA and DNA/RNA hybrids; additionally, DNA polymerase eta catalyzes reverse transcription. PMID: 28972162
- Poleta fulfills an important role in managing replicative stress at alternative lengthening of telomeres. PMID: 27829156
- POLH is phosphorylated by CDK2.POLH serine 687 is a CDK target and is regulated during the cell cycle.POLH phosphorylation controls protein stability. PMID: 28934491
- The current work explores both the fidelity of DNA polymerase eta and the role of the 3rd metal ion (magnesium), by using empirical valence bond simulations. PMID: 28383109
- The results suggest that translesion synthesis by Pol eta can contribute to the accumulation of rCMP in the genome, particularly opposite modified guanines. PMID: 27994034
- the targeting of Poleta to damage sites after UV exposure is regulated by SPARTAN, and this function contributes highly to its DNA-damage tolerance function. PMID: 27838458
- Study shows that the posttranslational modifications of nuclear localization signal of pol eta played a dual role in polymerase switching, where Lys682 deubiquitination promotes the recruitment of pol eta to PCNA immediately prior to lesion bypass and Ser687 phosphorylation stimulates its departure from the replication fork immediately after lesion bypass. PMID: 26988343
- The data directly show that, in the human genome, DNA Pol-eta and Rev1 bypass cyclobutane pyrimidine dimers and 6-4PP at replication forks, while only 6-4PP are also tolerated by a Rev3L-dependent gap-filling mechanism, independent of S phase. PMID: 27095204
- p53 controls the induction of DNA polymerase eta in DNA damaged human cells. The role of DNA polymerase eta in p53-dependent translesion synthesis. PMID: 28180309
- DNA polymerases eta and kappa are capable of bypassing of a bulky guanine lesion during DNA replication. PMID: 27612622
- These results provide important knowledge about the effects of the length and structure of the alkyl group in O(4)-alkylthymidine lesions on the fidelity and efficiency of DNA replication mediated by human DNA polymerase eta. PMID: 27002924
- The described is cooperative motion of a key positively charged residue and metal ions for DNA replication catalyzed by human DNA Polymerase eta. PMID: 26935581
- free energy difference is slightly greater for binding at the 5' thymine position than at the 3' thymine position, presumably because of stabilization arising from the A:T base pair formed at the 3' position of the TTD in previous step of Pol eta function PMID: 26434497
- PolH721 variant present in XP-V patients is unstable. Extra 8 amino acids of PolH721 do not act as degron but induce conformational change of PolH C-terminus exposing its bipartite NLS and sequence close to its UBZ to the ubiquitin/proteasome system. PMID: 25766642
- Poleta has three PCNA-interacting protein (PIP) boxes (PIP1, 2, 3) that contribute differentially to two distinct functions, stimulation of DNA synthesis and promotion of PCNA ubiquitination. PMID: 26170230
- Arg-61 and Gln-38 of human DNA polymerase (hpol) eta play important roles in the catalytic reaction. PMID: 25947374
- ovarian CSCs have intrinsically enhanced Pol eta-mediated translesion DNA synthesis, allowing CSCs to survive cisplatin treatment, leading to tumor relapse PMID: 25831546
- Human pol eta, a major copying enzyme with abasic sites, follows a purine rule, which can also lead to frameshifts. The phenomenon can be explained with H-bonds. PMID: 25666608
- mutation POLH NG_009252.1: g.36847_40771del3925 is caused by an equal crossover event that occurred between two homologous chromosomes at meiosis. PMID: 24877075
- results suggest that WRNIP1 functions upstream of Poleta in the response to UV irradiation PMID: 25139235
- The molecular mechanism of 3-nitrobenzanthrone genotoxicity in HEK293 cells is reported. PMID: 25080294
- PALB2 and BRCA2, in addition to their functions in D loop formation, play crucial roles in the initiation of recombination-associated DNA synthesis by Poleta-mediated DNA repair. PMID: 24485656
- DNA sequencing of POLH in Xeroderma pigmentosum variant patients revealed many mutations leading to truncated polymerases in 69% of them. Also, there is a clear relationship between the types of missense mutations and clinical severity. PMID: 24130121
- time-resolved X-ray crystallographic study of the DNA synthesis reaction catalyzed by the Y-Family DNA polymerase human polymerase eta revealed transient elements that led to the nucleotidyl-transfer reaction[review] PMID: 24716551
- observed enhanced ubiquitylation of Poleta by TRIP E3 ligase and show that TRIP promotes Poleta localization to nuclear foci PMID: 24553286
- Human Pol eta inserts a nucleotide opposite the lesion, followed by Pol zeta extending the DNA primer; thus, the two complement each other to fully bypass the cisplatin cross-link. PMID: 24449906
- Mutational analysis of the little finger domain in human DNA polymerase eta confirm the importance of the beta-strand in polymerase function and show that fidelity is most often altered when undamaged DNA is copied. PMID: 23913529
- Human Pol iota and yeast Pol zeta complex could function efficiently in the insertion and extension steps, respectively, of ranslesion synthesis and human Pol kappa and Pol eta could also extend past these lesions, albeit much less efficiently. PMID: 23965998
- Poleta is dispensable for DNA-damage tolerance. PMID: 23761444
- homozygous c.67C>T mutation in the exon 2 of DNA polymerase eta (POLH), a novel non-sense mutation in POLH, was discovered PMID: 23630442
- Pol eta and Pol kappa are involved in redundant pathways for homologous recombination. PMID: 23731732
- amino acids Q38, Y52, and R61 play key roles in determining DNA polymerase eta function PMID: 23499771
- In the early phase of DNA damage response, FANCD2 plays crucial roles in recruiting pol eta to the sites of DNA damage for repair. PMID: 23388460
- human DNA polymerase eta has a role in somatic hypermutation of Ig at the WA motif PMID: 23630267
- Dna polymerase eta is required for DNA synthesis during S phase at replication forks stalled in common fragile sites (CFS) regions to suppress CFS instability. PMID: 23609533
- Results show that the physical and functional interaction between pols eta and iota occurs between ubiquitinated forms of either polymerase via their respective ubiquitin-binding domains. PMID: 23248005
- DNA polymerase eta plays an important role in the response of L-02 (liver) cells the hydroquinone-induced DNA damage. PMID: 22981619
- GCN5 takes part in transcription regulation of POLH gene through alterations in the chromatin structure by direct interaction with its 5'-flanking region, and protects vertebrate cells against UV-induced DNA damage via controlling POLH gene expression. PMID: 23033487
- a structural basis for understanding the recognition of the Rev1-CT by Y-family DNA polymerases PMID: 22691049
- the Rev1 C-terminal domain utilizes independent interaction interfaces to simultaneously bind a fragment of the 'inserter' poleta and Rev7 subunit of the 'extender' polvarsigma, thereby serving as a cassette that may accommodate several polymerases PMID: 22828282
- Hydroquinone could induce the expression of XPV in a dose- and time-dependent manner in L-02 hepatic cells. PMID: 19069642
- Ser409, located within the pol-eta binding domain of Rad18, is phosphorylated by c-jun kinase in response to dna damage, promoting the interaction between Rad18 and pol-eta. PMID: 22456510
- Data show that to incorporate deoxycytidine opposite cisplatin-cross-linked guanines, DNA polymerase eta (hPol eta) undergoes a specific backbone rearrangement to accommodate the larger base dimer and minimizes the DNA distortion around the lesion. PMID: 22529383
- We propose that IRF1 activation is responsible for carcinogen-induced Poleta up-regulation, which contributes to mutagenesis and ultimately carcinogenesis in cells. PMID: 22367195
- Mdm2 physically associates with PolH and promotes PolH polyubiquitination in vivo and in vitro PMID: 22056306
- The rate-limiting conformational change step in the Poleta replication cycle likely corresponds to a rate-limiting entry of catalytic metals in the active site. PMID: 22154937
顯示更多
收起更多
-
相關疾病:Xeroderma pigmentosum variant type (XPV)
-
亞細胞定位:Nucleus.
-
蛋白家族:DNA polymerase type-Y family
-
數據庫鏈接:
Most popular with customers
-
-
YWHAB Recombinant Monoclonal Antibody
Applications: ELISA, WB, IHC, IF, FC
Species Reactivity: Human, Mouse, Rat
-
Phospho-YAP1 (S127) Recombinant Monoclonal Antibody
Applications: ELISA, WB, IHC
Species Reactivity: Human
-
-
-
-
-















