PMS2 Antibody
-
中文名稱:PMS2兔多克隆抗體
-
貨號:CSB-PA808697
-
規格:¥1100
-
圖片:
-
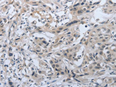
The image on the left is immunohistochemistry of paraffin-embedded Human liver cancer tissue using CSB-PA808697(PMS2 Antibody) at dilution 1/30, on the right is treated with synthetic peptide. (Original magnification: ×200)
-
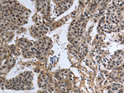
The image on the left is immunohistochemistry of paraffin-embedded Human lung cancer tissue using CSB-PA808697(PMS2 Antibody) at dilution 1/30, on the right is treated with synthetic peptide. (Original magnification: ×200)
-
-
其他:
產品詳情
-
Uniprot No.:
-
基因名:
-
別名:DNA mismatch repair gene homologue antibody; DNA mismatch repair protein PMS2 antibody; H_DJ0042M02.9 antibody; HNPCC4 antibody; Mismatch repair endonuclease PMS2 antibody; Mismatch repair gene PMSL2 antibody; MLH4 antibody; PMS 2 antibody; PMS1 homolog 2 mismatch repair system antibody; PMS1 protein homolog 2 antibody; PMS2 antibody; PMS2 postmeiotic segregation increased 2 antibody; PMS2 postmeiotic segregation increased 2 (S. cerevisiae) antibody; PMS2_HUMAN antibody; PMS2CL antibody; PMSL2 antibody; Postmeiotic segregation increased; S. cerevisiae; 2 antibody
-
宿主:Rabbit
-
反應種屬:Human
-
免疫原:Synthetic peptide of Human PMS2
-
免疫原種屬:Homo sapiens (Human)
-
標記方式:Non-conjugated
-
抗體亞型:IgG
-
純化方式:Antigen affinity purification
-
濃度:It differs from different batches. Please contact us to confirm it.
-
保存緩沖液:-20°C, pH7.4 PBS, 0.05% NaN3, 40% Glycerol
-
產品提供形式:Liquid
-
應用范圍:ELISA,IHC
-
推薦稀釋比:
Application Recommended Dilution ELISA 1:1000-1:5000 IHC 1:25-1:100 -
Protocols:
-
儲存條件:Upon receipt, store at -20°C or -80°C. Avoid repeated freeze.
-
貨期:Basically, we can dispatch the products out in 1-3 working days after receiving your orders. Delivery time maybe differs from different purchasing way or location, please kindly consult your local distributors for specific delivery time.
-
用途:For Research Use Only. Not for use in diagnostic or therapeutic procedures.
相關產品
靶點詳情
-
功能:Component of the post-replicative DNA mismatch repair system (MMR). Heterodimerizes with MLH1 to form MutL alpha. DNA repair is initiated by MutS alpha (MSH2-MSH6) or MutS beta (MSH2-MSH3) binding to a dsDNA mismatch, then MutL alpha is recruited to the heteroduplex. Assembly of the MutL-MutS-heteroduplex ternary complex in presence of RFC and PCNA is sufficient to activate endonuclease activity of PMS2. It introduces single-strand breaks near the mismatch and thus generates new entry points for the exonuclease EXO1 to degrade the strand containing the mismatch. DNA methylation would prevent cleavage and therefore assure that only the newly mutated DNA strand is going to be corrected. MutL alpha (MLH1-PMS2) interacts physically with the clamp loader subunits of DNA polymerase III, suggesting that it may play a role to recruit the DNA polymerase III to the site of the MMR. Also implicated in DNA damage signaling, a process which induces cell cycle arrest and can lead to apoptosis in case of major DNA damages.
-
基因功能參考文獻:
- discover a translocation disrupting MLH1 and three mutations in MSH6 and PMS2 that increase endometrial, colorectal, brain and ovarian cancer risk PMID: 28466842
- The effects of chronic smoking on oral mucosa led to the methylation of genes MRE11A PMS2, XRCC1 and MLH3, but resulted in a reduction of gene expression of MRE11A and PMS2, which showed >/=50% methylation. These results provide evidence that smoking cause methylation and reduced expression of repair genes. PMID: 29775861
- Low PMS2 expression is associated with Colonic Adenoma and Adenocarcinoma. PMID: 29976631
- In a genetic analysis of 84 colorectal tumors, we found tumors from patients with PMS2-associated Lynch syndrome to be distinct from colorectal tumors associated with defects in other mismatch repair genes. PMID: 29758216
- our data suggests thatMSH6 Glu39Gly polymorphism is associated with the risk of developing sporadic colorectal cancer in polish population. Linkage to the female gender, onset above 60 years old and further increase of risk when combined with wild-type allele of PMS2 IVS1-1121C > PMID: 28451866
- MLH1 and PMS2 can be imported to the nucleus by a classical nuclear import pathway PMID: 29175432
- this is the first documented case of synchronous colon and prostate cancers, with isolated PMS2 loss present in the colon cancer while intact DNA mismatch repair protein expressions present in the prostate cancer PMID: 30061258
- Data show that MLH1(L749P) and MLH1(Y750X) make PMS2 prone to calyculin induced degradation, suggeting that the specific degradation of PMS2 may represent a new mechanism to regulate MLH1-PMS2 heterodimer protein MutLalpha. PMID: 28767177
- Mutation scanning results on the largest cohort published to date confirm that the highest detection rate of PMS2 mutations is found in patients with a tumor showing isolated loss of PMS2 expression in addition to germline PMS2 mutation in patients with Lynch syndrome or mismatch repair deficiency syndrome. PMID: 27435373
- Germline PMS2 and somatic POLE exonuclease mutations cause hypermutability of the leading DNA strand in biallelic mismatch repair deficiency syndrome brain tumours PMID: 28805995
- Loss of PMS2 expression is associated with colorectal carcinoma. PMID: 28651545
- A novel pathogenic PMS2 mutation in a mismatch repair deficiency patient PMID: 27017610
- High PMS2 expression is associated with the development of genetic instability and is linked to tumor aggressiveness and early PSA recurrence in prostate cancer. PMID: 27803051
- Data suggest that yeast Mlh1-Mlh3 heterodimer does not exhibit hallmarks of a canonical (structure-selective) Holliday junction resolvase/endonuclease; multiple Mlh1-Mlh3 heterodimers appear to load onto DNA to form an activated polymer that cleaves DNA; human MLH1-PMS2 exhibits similar characteristics. (MLH = mutL homolog protein; PMS2 = post meiotic segregation increased 2 protein) PMID: 28453523
- In an individual with mismatch repair deficiency syndrome, PMS2 was found to be homozygously inactivated by a complex chromosomal rearrangement. PMID: 27329736
- show that DNA repair genes (fan1 and pms2) significantly modify age at onset in Huntington's Disease and Spinocerebellar Ataxias, suggesting a common pathogenic mechanism, which could operate through the observed somatic expansion of repeats PMID: 27044000
- The results of this case study indicated that although FOXL2 402C > G mutation determines the development of granulosa cell tumor, PMS2 mutation may be the initial driver of carcinogenesis. Immunohistochemistry-based tumor testing for mismatch repair gene expression may be necessary for granulosa cell tumors to determine their malignant potential or if they are part of Lynch syndrome. PMID: 28347324
- A total of 201 unique disease-predisposing mismatch repair gene mutations were identified in 369 Lynch syndrome families. These mutations affected MLH1 in 40%, MSH2 in 36%, MSH6 in 18% and PMS2 in 6% of the families. PMID: 27601186
- molecular mechanisms linking MMR with chemoresistance and suggest that stabilization of PMS2 expression may be useful in overcoming the cisplatin resistance in EOC. PMID: 26423401
- PMS2 mutation carriers with retention of RNA expression developed CRC 9 years later than those with loss of RNA expression. If confirmed, this finding would justify a delay in surveillance for these cases. Cancer risk was not influenced by a parent-of-origin effect PMID: 26110232
- Individuals who carry a MMR gene (MLH1, MSH2, PMS2 or MSH6) mutation are at an increased risk of developing cancers at multiple sites, most notably colorectal and endometrial carcinomas. PMID: 26895986
- Germline mutations in MLH1, MSH2, MSH6 and PMS2 have been shown to cause Lynch syndrome. A total of 234 monoallelic PMS2 mutation carriers from 170 families were included. PMID: 25856668
- Loss of MLH-1/PMS-2 expression was associated with right-colon location, poor and mucinous differentiation and dense lymphocytic infiltration in colorectal adenocarcinoma. PMID: 26097592
- Heterozygous germline mutations in any of the mismatch repair (MMR) genes, MLH1, MSH2, MSH6, and PMS2, cause Lynch syndrome (LS), an autosomal dominant cancer predisposition syndrome. PMID: 26544533
- A reliable tool for accurate molecular analysis of genes containing multiple copies of highly homologous sequences and improved PMS2 molecular analysis for patients with Lynch syndrome. PMID: 26320870
- These results demonstrate a functional role for PMS2 to protect against prostate cancer progression by enhancing apoptosis of prostate cancer cells and by inhibiting cell proliferation, migration, and invasion in vitro as well as tumor growth in vivo. PMID: 26036629
- MutSalpha, proliferating cell nuclear antigen, and replication factor C activate MutLalpha endonuclease to remove the 1-nucleotide Okazaki fragment flaps PMID: 26224637
- Our genotype-phenotype study of c.2002A>G illustrates that an extremely low level of PMS2 expression likely delays cancer onset, a feature that could be exploited in cancer preventive intervention. PMID: 25691505
- Report high frequency of MLH1 germline mutations in Lynch syndrome patients with colorectal and endometrial carcinoma demonstrating isolated loss of PMS2 immunohistochemical expression. PMID: 25871621
- we collected information on 66 MLH1, 24 MSH2 and 6 PMS2 nucleotide variants reported to be associated with altered expression of at least one of these alternative transcripts, and in many instances reported as splicing mutations PMID: 24989436
- Another MMR protein PMS2 also displayed a declined expression while being in a later stage of transformation. PMID: 25215298
- Some uterine carcinosarcomas show loss of PMS2. PMID: 25083964
- Data indicate that in 98 mismatch repair gene PMS2 families ascertained from family cancer clinics that included a total of 2,548 family members and 377 proven mutation carriers. PMID: 25512458
- Large deletions in the PMS2 gene are the most frequent mutations found in Spanish Lynch syndrome families. PMID: 23837913
- MLH1 or PMS2 knockdown confered TMZ resistance. In recurrent GBM tumours, the expression of MLH1 and PMS2 was reduced when compared to primary tumours. PMID: 24259277
- Immunohistochemistry revealed loss of expression for MLH1, MSH2, MSH6, and PMS2 in 15, 21, 13, and 15 % of cases, respectively...we found a perfect association between MMR immunohistochemical analyses and MSI molecular investigation PMID: 24643686
- This report specifically focus on the protein expression profile and germline mutations of MSH6 and PMS2 genes in 50 Malaysian Lynch syndrome suspected patients. PMID: 24072394
- Promoter methylation of MLH1, PMS2, MSH2 and p16 is a phenomenon of advanced-stage HCCs. PMID: 24400091
- 3' deletions in the PMS2 gene is not associated with colon cancer. PMID: 23288611
- PMS2 expression in endometrial carcionma was associated with BMI, however a link between BMI and maintenance of the DNA mismatch repair system is not supported. PMID: 24444820
- Data show that endometrial cancer screened by testing for tumor MLH1 methylation in individuals with MLH1 immunohistochemistry loss, and germline mutations exhibiting loss of MSH6, MSH2, or PMS2 or loss of MLH1/PMS2 with absence of MLH1 methylation. PMID: 24323032
- Pathogenic PMS2 mutations were detected in 69% of patients harbouring LS associated tumours with loss of PMS2 expression PMID: 23709753
- The role of co-existing germline P53 and PMS2 mutations in familial cancer syndrome development. PMID: 23981578
- Data show no evidence for deleterious mutations in PMS2, and suggest that findings are sufficient to exclude PMS2 as a gene for mutation testing in individuals with suspected LS based on tumoral loss of both MLH1 and PMS2 expression. PMID: 23017166
- hPMS2 directly binds to activated akt and induce hPMS2 degradation. PMID: 23499907
- Data indicate that c.137G>T and exon 10 deletion to be founder mutations in the PMS2 gene. PMID: 22577899
- We identified seven samples in this Lynch syndrome cohort with deletions in the 3' region of PMS2, including three previously reported samples with deletions of Exons 13-15 (two samples) and Exons 14-15. PMID: 23012243
- Data indicate no evidence that the SNPs associated with colorectal cancer (CRC) in the general population are modifiers of the risk for MLH1, MSH2, MSH6 and PMS2 MMR gene mutation carriers overall. PMID: 23434150
- Deleterious PMS2 allele generated by recombination with crossover between PMS2 and PMS2CL is associated with colorectal tumors. PMID: 22585707
- Insertion of an SVA element, a nonautonomous retrotransposon, in PMS2 intron 7 as a novel cause of Lynch syndrome. PMID: 22461402
顯示更多
收起更多
-
相關疾病:Hereditary non-polyposis colorectal cancer 4 (HNPCC4); Mismatch repair cancer syndrome (MMRCS)
-
亞細胞定位:Nucleus.
-
蛋白家族:DNA mismatch repair MutL/HexB family
-
數據庫鏈接:
Most popular with customers
-
-
YWHAB Recombinant Monoclonal Antibody
Applications: ELISA, WB, IHC, IF, FC
Species Reactivity: Human, Mouse, Rat
-
Phospho-YAP1 (S127) Recombinant Monoclonal Antibody
Applications: ELISA, WB, IHC
Species Reactivity: Human
-
-
-
-
-















