PLG Antibody
-
中文名稱:PLG兔多克隆抗體
-
貨號:CSB-PA157482
-
規格:¥1100
-
圖片:
-
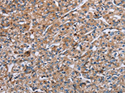
The image on the left is immunohistochemistry of paraffin-embedded Human prostate cancer tissue using CSB-PA157482(PLG Antibody) at dilution 1/40, on the right is treated with synthetic peptide. (Original magnification: ×200)
-
The image on the left is immunohistochemistry of paraffin-embedded Human colon cancer tissue using CSB-PA157482(PLG Antibody) at dilution 1/40, on the right is treated with synthetic peptide. (Original magnification: ×200)
-
Gel: 6%SDS-PAGE, Lysate: 40 μg, Lane 1-2: Human placenta tissue, Human serum, Primary antibody: CSB-PA157482(PLG Antibody) at dilution 1/200, Secondary antibody: Goat anti rabbit IgG at 1/8000 dilution, Exposure time: 2 minutes
-
-
其他:
產品詳情
-
Uniprot No.:
-
基因名:
-
別名:Plasmin antibody; Plasmin heavy chain A antibody; Plasmin light chain B antibody; Plasminogen antibody; PLG antibody; PLMN_HUMAN antibody
-
宿主:Rabbit
-
反應種屬:Human,Rat
-
免疫原:Synthetic peptide of Human PLG
-
免疫原種屬:Homo sapiens (Human)
-
標記方式:Non-conjugated
-
抗體亞型:IgG
-
純化方式:Antigen affinity purification
-
濃度:It differs from different batches. Please contact us to confirm it.
-
保存緩沖液:-20°C, pH7.4 PBS, 0.05% NaN3, 40% Glycerol
-
產品提供形式:Liquid
-
應用范圍:ELISA,WB,IHC
-
推薦稀釋比:
Application Recommended Dilution ELISA 1:1000-1:2000 WB 1:200-1:1000 IHC 1:50-1:200 -
Protocols:
-
儲存條件:Upon receipt, store at -20°C or -80°C. Avoid repeated freeze.
-
貨期:Basically, we can dispatch the products out in 1-3 working days after receiving your orders. Delivery time maybe differs from different purchasing way or location, please kindly consult your local distributors for specific delivery time.
-
用途:For Research Use Only. Not for use in diagnostic or therapeutic procedures.
相關產品
靶點詳情
-
功能:Plasmin dissolves the fibrin of blood clots and acts as a proteolytic factor in a variety of other processes including embryonic development, tissue remodeling, tumor invasion, and inflammation. In ovulation, weakens the walls of the Graafian follicle. It activates the urokinase-type plasminogen activator, collagenases and several complement zymogens, such as C1 and C5. Cleavage of fibronectin and laminin leads to cell detachment and apoptosis. Also cleaves fibrin, thrombospondin and von Willebrand factor. Its role in tissue remodeling and tumor invasion may be modulated by CSPG4. Binds to cells.; Angiostatin is an angiogenesis inhibitor that blocks neovascularization and growth of experimental primary and metastatic tumors in vivo.
-
基因功能參考文獻:
- Apo(a) attenuates cell-surface plasmin-mediated conversion of Glu- to Lys-plasminogen. PMID: 29990619
- Urinary angiostatin and VCAM-1 are predictive of specific histological changes in concurrent lupus nephritis renal biopsies. PMID: 29076253
- We did not find an association of the AgP risk variant rs4252120 with CP. However, we identified a haplotype block downstream of PLG, which showed shared association with CP and AgP. PMID: 28548211
- The homozygous alleles in F12 (rs1801020) and F13 (rs5985) was identified a genetic risk profile of thromboembolism in a Family. PMID: 27976734
- Our findings that plasminogen and pSTAT3 are significantly associated with LI suggest that they may represent signaling nodes or biomarkers of pathways common to the processes of postlactational involution and LI. PMID: 28752190
- A rare non-conservative missense mutation was newly identified in exon 9 of the PLG gene. PMID: 29548426
- Plasminogen binds to the cell surface-exposed proteins of Candida parapsilosis. PMID: 28651026
- plasmin cleaves surface-bound CCL21 to release the C-terminal peptide responsible for CCL21 binding to glycosaminoglycans on the extracellular matrix and cell surfaces, thereby generating the soluble form. PMID: 27301418
- Analysis of plasminogen genetic variants in multiple sclerosis patients has been reported. PMID: 27194806
- Enolase of Mtb is present on its surface and binds human plasminogen with high affinity. PMID: 27569900
- The mechanism for plasminogen/M protein binding uncovered here may facilitate targeting of group A Streptococcus pyogenes virulence factors for disease management PMID: 28724633
- t-PA binds to Lys91 in the MBP NH2-terminal region and PLG binds to Lys122 in the MBP COOH-terminal region. This proximity promotes the activation of PLG by t-PA. PMID: 28648598
- in the presence of platelet polyphosphate and the downstream substrate fibrin, alphaFXIIa is a highly efficient and favorable plasminogen activator. PMID: 27694320
- Plasmin(ogen) serves as a favorable biomarker for prediction of survival in advanced high-grade serous ovarian cancer PMID: 27935848
- Our findings indicate a new pathway for bradykinin formation in patients with HAE, in which FXII is cleaved and activated by plasmin. PMID: 27130860
- VWF susceptibility to plasmin proteolysis at K1491-R1492 is modulated by local N-linked glycan expression within A1A2A3, and specifically inhibited by heparin binding to the A1 domain. PMID: 28279966
- bone morphogenetic proteins (BMPs) and mature BMPs that have been further cleaved by serum proteases induce cell cycle entry by dedifferentiating newt muscle cells. PMID: 28350991
- Plasminogen and P4HA2 are involved in vascular remodelling and angiogenesis, suggesting a high relevance of these processes for the pathogenic mechanisms underlying this type of vasculitis PMID: 28041642
- Plasminogen and OxPL-PLG were lower in patients presenting with an acute MI than in those with stable CAD and also in those with atherothrombotic MI (Type 1) vs. those with non-atherothrombotic MI (Type 2). PMID: 26510751
- Although carriers with PLG:p.Ala620Thr show low plasminogen activity, this is not a predisposing variant for aHUS; and individuals of dysplasminogenemia are not at significantly increased risk of aHUS. PMID: 27194432
- Five novel plasminogen gene mutations have been found in Turkish patients with type I plasminogen deficiency. PMID: 26340456
- A novel plasminogen gene mutation, deficiency of plasminogen antigen and activity, and anti-plasminogen IgG and IgA antibodies were identified in a patient with adult-onset ligneous conjunctivitis. PMID: 25674820
- S. aureus NCTC 8325-4 adheres to immobilized plasminogen in vitro and that the adhesion may be mediated by a C-terminal fragment of the PBP3 protein.[PBP3] PMID: 27488131
- we demonstrated that PLG functions as a molecular bridge between tricellulin and streptococcal surface enolase (SEN). The wild type strain efficiently translocated across the epithelial monolayer, accompanied by cleavage of transmembrane junctional proteins. PMID: 26822058
- Suggest that tubulointerstitial plasmin is associated with inflammation leading to renal fibrosis, and can cause the decline in renal function seen in patients with IgA nephropathy. PMID: 25971850
- Plasminogen binding and activation by different glycolytic enzymes of M. pneumoniae play a role in successful colonization of the human respiratory tract. PMID: 26667841
- reduced proteolytic activity of plasmin on structures of growing thrombi, rather than on complement activation fragments, explains the association of plasminogen deficiency with aHUS. PMID: 26637181
- Zinc modulates fibrinolysis by attenuating tPA-mediated plasminogen activation and plasmin-induced fibrin degradation. PMID: 25789495
- These results indicate that FXIIIa activity can be modulated by fibrinolytic enzymes, and suggest that changes in fibrinolytic activity may influence cross-linking of blood proteins. PMID: 26359437
- Plasmin cleavage of iC3b provides a complement regulatory pathway that is as efficient as FI/CR1 but does not require a cellular cofactor. PMID: 25556624
- PLG is the third replicated shared genetic risk factor of atherosclerosis and periodontitis. PMID: 25466412
- Data show that preincubation with plasminogen, wild-type group A Streptococcus (GAS) NS88.2 degraded complement C3b. PMID: 23969887
- whereas the presence of plasminogen did not affect the factor I cofactor activity of C4BP, the activation of plasminogen by urokinase-type plasminogen activator to active plasmin was significantly augmented in the presence of C4BP. PMID: 26067271
- These studies demonstrate that GAS virulence can be explained by disparate hPg activation by SK2a and SK2b coupled with the coinherited M-proteins of these strains PMID: 26070561
- PAM activated Plasminogen Glycoform II. PMID: 26029848
- High plasma fibrinogen and low plasminogen are associated with poor survival in CTEPH patients without modern therapy. PMID: 24909805
- Data show that different subpopulations of platelets harbor plasminogen by diverse mechanisms PMID: 25712989
- manganese transport protein C (MntC) is an extracellular matrix- and plasminogen-binding protein PMID: 25409527
- This review highlights the importance of the best-characterized components of the PLG/PLA cascade in the pathogenesis of cancer focusing on the role of the cell surface-PLG receptors (PLG-R). [review] PMID: 25407528
- IGF-II, TGF-beta1 and VEGF-A and its receptor in malignant tumor tissue, as well as increasedplasmin release from proenzyme and MMP-3 activationis apparently associated with the formation of pathogenic mechanism of vasculature development PMID: 25993872
- Angiostatin may play a role in the pathophysiology of preeclampsia. PMID: 24205998
- The results suggested that EF-Tu and Eno serve as surface receptors for B. longum NCC2705 binding to human plasminogen. PMID: 24840471
- Human plasmin activity loss results from the C-terminal lysine-dependent redistribution of enzyme molecules on a fibrin surface. PMID: 25222106
- Genome-wide association analyses revealed common DNA variants in PLG, LPA, and near SIGLEC14 that contribute to plasma plasminogen level variation. PMID: 25208887
- ANG interacts with plasminogen activation system at the leading edges of breast cancer cell surfaces and facilitates interactions of uPAR with uPA to regulate plasmin formation and cell migration. PMID: 24457100
- Reduced plasminogen binding and delayed activation render gamma'-fibrin more resistant to lysis than gammaA-fibrin. PMID: 25128532
- Binding of streptokinase Lys(414) to plasminogen kringle 4 plays a role in recognition of plasminogen by streptokinase. PMID: 25138220
- The surface-displayed enolase, which serves as major pneumococcal plasminogen receptor, was identified as a key factor for plasminogen-mediated bacterial attachment in infection analyses with Streptococcus pneumoniae. PMID: 23906818
- The results demonstrate that Bacteroides fragilis Bfp60 surface adhesin is responsible for the recognition of laminin and plasminogen-plasmin activation. PMID: 23850366
- We propose that plasminogen activation on endothelial cells acts as a natural backup for ADAMTS13 to degrade obstructive platelet-VWF complexes. PMID: 24449821
顯示更多
收起更多
-
相關疾?。?/div>Plasminogen deficiency (PLGD)亞細胞定位:Secreted. Note=Locates to the cell surface where it is proteolytically cleaved to produce the active plasmin. Interaction with HRG tethers it to the cell surface.蛋白家族:Peptidase S1 family, Plasminogen subfamily組織特異性:Present in plasma and many other extracellular fluids. It is synthesized in the liver.數據庫鏈接:
Most popular with customers
-
-
YWHAB Recombinant Monoclonal Antibody
Applications: ELISA, WB, IHC, IF, FC
Species Reactivity: Human, Mouse, Rat
-
Phospho-YAP1 (S127) Recombinant Monoclonal Antibody
Applications: ELISA, WB, IHC
Species Reactivity: Human
-
-
-
-
-















