PLEKHG6 Antibody
-
中文名稱:PLEKHG6兔多克隆抗體
-
貨號:CSB-PA212466
-
規格:¥1100
-
圖片:
-
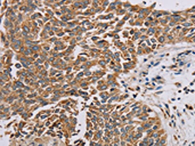
The image on the left is immunohistochemistry of paraffin-embedded Human lung cancer tissue using CSB-PA212466(PLEKHG6 Antibody) at dilution 1/20, on the right is treated with fusion protein. (Original magnification: ×200)
-
The image on the left is immunohistochemistry of paraffin-embedded Human colon cancer tissue using CSB-PA212466(PLEKHG6 Antibody) at dilution 1/20, on the right is treated with fusion protein. (Original magnification: ×200)
-
Gel: 6%SDS-PAGE, Lysate: 40 μg, Lane: 293T cells, Primary antibody: CSB-PA212466(PLEKHG6 Antibody) at dilution 1/400, Secondary antibody: Goat anti rabbit IgG at 1/8000 dilution, Exposure time: 10 seconds
-
-
其他:
產品詳情
-
Uniprot No.:
-
基因名:PLEKHG6
-
別名:PLEKHG6 antibody; Pleckstrin homology domain-containing family G member 6 antibody; PH domain-containing family G member 6 antibody; Myosin-interacting guanine nucleotide exchange factor antibody; MyoGEF antibody
-
宿主:Rabbit
-
反應種屬:Human,Mouse
-
免疫原:Fusion protein of Human PLEKHG6
-
免疫原種屬:Homo sapiens (Human)
-
標記方式:Non-conjugated
-
抗體亞型:IgG
-
純化方式:Antigen affinity purification
-
濃度:It differs from different batches. Please contact us to confirm it.
-
保存緩沖液:-20°C, pH7.4 PBS, 0.05% NaN3, 40% Glycerol
-
產品提供形式:Liquid
-
應用范圍:ELISA,WB,IHC
-
推薦稀釋比:
Application Recommended Dilution ELISA 1:2000-1:5000 WB 1:500-1:2000 IHC 1:25-1:100 -
Protocols:
-
儲存條件:Upon receipt, store at -20°C or -80°C. Avoid repeated freeze.
-
貨期:Basically, we can dispatch the products out in 1-3 working days after receiving your orders. Delivery time maybe differs from different purchasing way or location, please kindly consult your local distributors for specific delivery time.
-
用途:For Research Use Only. Not for use in diagnostic or therapeutic procedures.
相關產品
靶點詳情
-
功能:Guanine nucleotide exchange factor activating the small GTPase RHOA, which, in turn, induces myosin filament formation. Also activates RHOG. Does not activate RAC1, or to a much lower extent than RHOA and RHOG. Part of a functional unit, involving PLEKHG6, MYH10 and RHOA, at the cleavage furrow to advance furrow ingression during cytokinesis. In epithelial cells, required for the formation of microvilli and membrane ruffles on the apical pole. Along with EZR, required for normal macropinocytosis.
-
基因功能參考文獻:
- Intramolecular interactions between MyoGEF domains act as an autoinhibitory mechanism for the regulation of MyoGEF functions. PMID: 25336641
- Taken together, these results suggest that aurora B coordinates with Plk1 to regulate MyoGEF activation and localization, thus contributing to the regulation of cytokinesis. PMID: 24482237
- GIPC1-MyoGEF complex formation plays an important role in regulating MDA-MB-231 breast cancer cell polarization and invasion. PMID: 20634288
- ezrin allows the local activation of RhoG at the apical pole of epithelial cells by recruiting upstream and downstream regulators of RhoG and that both PLEKHG6 and ezrin are required for efficient macropinocytosis PMID: 17881735
- Plk1 can regulate MyoGEF activity and localization, contributing to the regulation of cytokinesis PMID: 18694934
- MyoGEF cooperates with nonmuscle myosin IIA to regulate the polarity and invasion activity of breast cancer cells through activation of RhoA and RhoC. PMID: 19421144
顯示更多
收起更多
-
亞細胞定位:Cell projection, microvillus. Cytoplasm, cytoskeleton, spindle. Cytoplasm, cytoskeleton, spindle pole. Cleavage furrow.
-
組織特異性:Highest expression in the placenta. Low levels in small intestine, lung, liver, kidney, thymus and heart.
-
數據庫鏈接:
Most popular with customers
-
-
YWHAB Recombinant Monoclonal Antibody
Applications: ELISA, WB, IHC, IF, FC
Species Reactivity: Human, Mouse, Rat
-
Phospho-YAP1 (S127) Recombinant Monoclonal Antibody
Applications: ELISA, WB, IHC
Species Reactivity: Human
-
-
-
-
-
VDAC1 Recombinant Monoclonal Antibody
Applications: ELISA, WB, IHC
Species Reactivity: Human, Mouse, Rat















