PLEKHA1 Antibody
-
中文名稱:PLEKHA1兔多克隆抗體
-
貨號:CSB-PA864016DSR1HU
-
規格:¥440
-
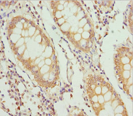
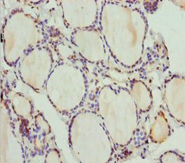
圖片:
-
其他:
產品詳情
-
產品名稱:Rabbit anti-Homo sapiens (Human) PLEKHA1 Polyclonal antibody
-
Uniprot No.:
-
基因名:
-
別名:OTTHUMP00000020651 antibody; PH domain containing family A member 1 antibody; PH domain-containing family A member 1 antibody; PKHA1_HUMAN antibody; Pleckstrin homology domain containing A1 antibody; Pleckstrin homology domain containing family A member 1 antibody; Pleckstrin homology domain containing, family A (phosphoinositide binding specific) member antibody; Pleckstrin homology domain-containing family A member 1 antibody; PLEKHA1 antibody; Tandem PH domain containing protein 1 antibody; Tandem PH domain-containing protein 1 antibody; TAPP 1 antibody; TAPP-1 antibody; TAPP1 antibody
-
宿主:Rabbit
-
反應種屬:Human
-
免疫原:Recombinant Human Pleckstrin homology domain-containing family A member 1 protein (285-404AA)
-
免疫原種屬:Homo sapiens (Human)
-
標記方式:Non-conjugated
-
克隆類型:Polyclonal
-
抗體亞型:IgG
-
純化方式:Antigen Affinity Purified
-
濃度:It differs from different batches. Please contact us to confirm it.
-
保存緩沖液:PBS with 0.02% sodium azide, 50% glycerol, pH7.3.
-
產品提供形式:Liquid
-
應用范圍:ELISA, IHC
-
推薦稀釋比:
Application Recommended Dilution IHC 1:20-1:200 -
Protocols:
-
儲存條件:Upon receipt, store at -20°C or -80°C. Avoid repeated freeze.
-
貨期:Basically, we can dispatch the products out in 1-3 working days after receiving your orders. Delivery time maybe differs from different purchasing way or location, please kindly consult your local distributors for specific delivery time.
-
用途:For Research Use Only. Not for use in diagnostic or therapeutic procedures.
相關產品
靶點詳情
-
功能:Binds specifically to phosphatidylinositol 3,4-diphosphate (PtdIns3,4P2), but not to other phosphoinositides. May recruit other proteins to the plasma membrane.
-
基因功能參考文獻:
- investigated the association of PLEKHA1 958A/G, polymorphisms with Age-Related Macular Degeneration (AMD) risk. PLEKHA1 958A/G polymorphism was associated with a decreased AMD risk (additive model: aOR=0.722, 95% CI=0.450-0.979, P=0.019; allele model: aOR=0.883, 95% CI=0.736-0.992, P=0.014) PMID: 29565837
- Studies indicate that the high-risk allele of the 10q26 locus encompasses three genes, PLEKHA1, ARMS2, and HTRA1 with high linkage disequilibrium. PMID: 26427389
- CX3CR1 (T280M and V249I) and PLEKHA1 (A320T) polymorphisms were not found to be associated with age-related macular degeneration in an Indian population. PMID: 25050486
- This study provides evidence of the joint contribution of genetic variants in PLEKHA1/ARMS2/HTRA1 to age-related macular degeneration risk. PMID: 24013816
- TAPP1 binds to protein tyrosine phosphatase PTPL1. PMID: 14516276
- syntrophins regulate the localization of TAPP1, which may be important for remodeling the actin cytoskeleton in response to growth factor stimulation PMID: 15485858
- PLEKHA1 is strongly implicated as primarily responsible for the evidence of linkage of age-related maculopathy (ARM) to the 10q26 locus and as a major contributor to ARM.susceptibility. PMID: 16080115
- Although a role for PLEKHA1 could not be totally excluded, there was a four times higher age-related macular degeneration risk was associated with haplotype "A-T-A" involving "PLEKHA1-LOC387715-HTRA1" risk alleles. PMID: 18079691
- Independent of CFH genotype or smoking history, an individual's risk of AMD (age-related macular degeneration) could be increased or decreased, depending on their genotype or haplotype in the 10q26 region. PMID: 18164066
顯示更多
收起更多
-
亞細胞定位:Cytoplasm. Cell membrane; Peripheral membrane protein. Nucleus.
-
組織特異性:Highly expressed in skeletal muscle, thymus, pancreas, placenta and lung. Detected at low levels in brain, heart, peripheral blood leukocytes, testis, ovary, spinal cord, thyroid, kidney, liver, small intestine and colon.
-
數據庫鏈接:
Most popular with customers
-
-
YWHAB Recombinant Monoclonal Antibody
Applications: ELISA, WB, IHC, IF, FC
Species Reactivity: Human, Mouse, Rat
-
Phospho-YAP1 (S127) Recombinant Monoclonal Antibody
Applications: ELISA, WB, IHC
Species Reactivity: Human
-
-
-
-
-















