PLAGL2 Antibody
-
中文名稱:PLAGL2兔多克隆抗體
-
貨號:CSB-PA970081
-
規格:¥1100
-
圖片:
-
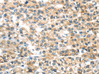
The image on the left is immunohistochemistry of paraffin-embedded Human thyroid cancer tissue using CSB-PA970081(PLAGL2 Antibody) at dilution 1/30, on the right is treated with synthetic peptide. (Original magnification: ×200)
-
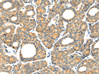
The image on the left is immunohistochemistry of paraffin-embedded Human liver cancer tissue using CSB-PA970081(PLAGL2 Antibody) at dilution 1/30, on the right is treated with synthetic peptide. (Original magnification: ×200)
-
-
其他:
產品詳情
-
Uniprot No.:
-
基因名:PLAGL2
-
別名:C2H2 type zinc finger protein antibody; KIAA0198 antibody; PLAGL2 antibody; PLAL2_HUMAN antibody; Pleiomorphic adenoma gene-like 2 antibody; Pleiomorphic adenoma-like protein 2 antibody; Zinc finger protein PLAGL2 antibody; ZNF900 antibody
-
宿主:Rabbit
-
反應種屬:Human
-
免疫原:Synthetic peptide of Human PLAGL2
-
免疫原種屬:Homo sapiens (Human)
-
標記方式:Non-conjugated
-
抗體亞型:IgG
-
純化方式:Antigen affinity purification
-
濃度:It differs from different batches. Please contact us to confirm it.
-
保存緩沖液:-20°C, pH7.4 PBS, 0.05% NaN3, 40% Glycerol
-
產品提供形式:Liquid
-
應用范圍:ELISA,IHC
-
推薦稀釋比:
Application Recommended Dilution ELISA 1:2000-1:5000 IHC 1:25-1:100 -
Protocols:
-
儲存條件:Upon receipt, store at -20°C or -80°C. Avoid repeated freeze.
-
貨期:Basically, we can dispatch the products out in 1-3 working days after receiving your orders. Delivery time maybe differs from different purchasing way or location, please kindly consult your local distributors for specific delivery time.
-
用途:For Research Use Only. Not for use in diagnostic or therapeutic procedures.
相關產品
靶點詳情
-
功能:Shows weak transcriptional activatory activity.
-
基因功能參考文獻:
- overexpression of miR-449a inhibited the expression of PLAGL2 significantly and the knockdown of PLAGL2 expression inhibited the breast cancer cell proliferation and metastasis PMID: 29653747
- increased expression correlates to prostate cancer progression following radical prostatectomy and may serve as novel poor prognostic marker PMID: 27537362
- Our findings indicated that PLAGL2 might be a very upstream key molecule regulating Epithelial-mesenchymal transition involved in Wnt/bcatenin signaling pathway in Colorectal adenocarcinoma PMID: 28259923
- Our findings indicate that PALGL2 serves as a tumor oncoprotein in the development and progression of colorectal cancer PMID: 25031728
- PLAGL2 expression induces lamellipodia formation and disruption of stress fiber formation. PMID: 24675530
- PLAGL2 regulate cell cycle and apoptosis via activation of the p53 family member, p73, in human promonocytic U937 cells. PMID: 22076304
- Transcriptome analysis revealed that these differentiation-suppressive activities are attributable in part to PLAGL2 modulation of Wnt/beta-catenin signaling PMID: 20478531
- The data identify PC2 as a novel PLAGL2-binding protein and important mediator of PLAGL2 transactivation. PMID: 20025940
- PLAGL2 may modulate SP-C expression during lung development. PMID: 15361364
- Coexpression of Tip60 and PLAGL2 completely abolishes the sumoylation of PLAGL2. PMID: 17551969
- Nuclear PLAGL2 occupied and transactivated the endogenous SP-C promoter in hypoxic lung cells.These results further suggest that PLAGL2 is an oxidative stress responding regulator in lung cells. PMID: 17618602
- This study thus uncovers a novel function of PLAGL2 as an oncoprotein through regulating the stability of Pirh2. PMID: 17950244
- These data suggests that Ubc9 can function as a co-factor of PLAGL2, uncoupling from its enzymatic activity, to mediate PLAGL2 interactive SP-C promoter activity. PMID: 18655774
- Increased cell injury and/or death could be caused directly by the upregulation of bNip3, a preapoptotic molecule that dimerizes with Bcl-2, or indirectly by the aberrant expression of SP-C-induced endoplasmic reticulum stress in epithelial cells. PMID: 19574421
顯示更多
收起更多
-
亞細胞定位:Nucleus.
-
蛋白家族:Krueppel C2H2-type zinc-finger protein family
-
數據庫鏈接:
Most popular with customers
-
-
YWHAB Recombinant Monoclonal Antibody
Applications: ELISA, WB, IHC, IF, FC
Species Reactivity: Human, Mouse, Rat
-
Phospho-YAP1 (S127) Recombinant Monoclonal Antibody
Applications: ELISA, WB, IHC
Species Reactivity: Human
-
-
-
-
-















