PLA2G4E Antibody
-
中文名稱:PLA2G4E兔多克隆抗體
-
貨號:CSB-PA666060LA01HU
-
規格:¥440
-
圖片:
-
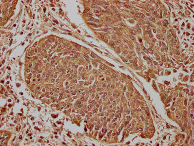
IHC image of CSB-PA666060LA01HU diluted at 1:100 and staining in paraffin-embedded human cervical cancer performed on a Leica BondTM system. After dewaxing and hydration, antigen retrieval was mediated by high pressure in a citrate buffer (pH 6.0). Section was blocked with 10% normal goat serum 30min at RT. Then primary antibody (1% BSA) was incubated at 4°C overnight. The primary is detected by a biotinylated secondary antibody and visualized using an HRP conjugated SP system.
-
Immunofluorescence staining of HepG2 cells with CSB-PA666060LA01HU at 1:50, counter-stained with DAPI. The cells were fixed in 4% formaldehyde, permeabilized using 0.2% Triton X-100 and blocked in 10% normal Goat Serum. The cells were then incubated with the antibody overnight at 4°C. The secondary antibody was Alexa Fluor 488-congugated AffiniPure Goat Anti-Rabbit IgG(H+L).
-
-
其他:
產品詳情
-
產品名稱:Rabbit anti-Homo sapiens (Human) PLA2G4E Polyclonal antibody
-
Uniprot No.:
-
基因名:
-
別名:PLA2G4E antibody; Cytosolic phospholipase A2 epsilon antibody; cPLA2-epsilon antibody; EC 3.1.1.4 antibody; Phospholipase A2 group IVE antibody
-
宿主:Rabbit
-
反應種屬:Human
-
免疫原:Recombinant Human Cytosolic phospholipase A2 epsilon protein (604-868AA)
-
免疫原種屬:Homo sapiens (Human)
-
標記方式:Non-conjugated
本頁面中的產品,PLA2G4E Antibody (CSB-PA666060LA01HU),的標記方式是Non-conjugated。對于PLA2G4E Antibody,我們還提供其他標記。見下表:
-
克隆類型:Polyclonal
-
抗體亞型:IgG
-
純化方式:Antigen Affinity Purified
-
濃度:It differs from different batches. Please contact us to confirm it.
-
保存緩沖液:Preservative: 0.03% Proclin 300
Constituents: 50% Glycerol, 0.01M PBS, pH 7.4 -
產品提供形式:Liquid
-
應用范圍:ELISA, IHC, IF
-
推薦稀釋比:
Application Recommended Dilution IHC 1:20-1:200 IF 1:50-1:200 -
Protocols:
-
儲存條件:Upon receipt, store at -20°C or -80°C. Avoid repeated freeze.
-
貨期:Basically, we can dispatch the products out in 1-3 working days after receiving your orders. Delivery time maybe differs from different purchasing way or location, please kindly consult your local distributors for specific delivery time.
-
用途:For Research Use Only. Not for use in diagnostic or therapeutic procedures.
相關產品
靶點詳情
-
功能:Calcium-dependent N-acyltransferase involved in the biosynthesis of N-acyl ethanolamines (NAEs) in the brain. Transfers the sn-1 fatty acyl chain of phosphatidylcholine (fatty acyl donor) to the amine group of phosphatidylethanolamine (fatty acyl acceptor) to generate N-acyl phosphatidylethanolamine (NAPE). Similarly can use plasmenylethanolamine as a fatty acyl acceptor to form N-acyl plasmenylethanolamine (N-Acyl-PlsEt). Both NAPE and N-Acyl-PlsEt can serve as precursors of bioactive NAEs like N-arachidonoyl phosphatidylethanolamine also called anandamide. Has weak phospholipase A2 and lysophospholipase activities. Regulates intracellular membrane trafficking that requires modulation of membrane curvature as it occurs by enrichment in lysophospholipids. Promotes tubule formation involved in clathrin-independent endocytotic trafficking and cargo recycling.
-
基因功能參考文獻:
- PLA2G4E may be be a risk gene for panic disorder. PMID: 29391400
- Cytoplasmic PLA2 epsilonepsilon is a new important regulator of trafficking processes within the clathrin-independent endocytic and recycling route. PMID: 24413173
-
亞細胞定位:Cytoplasm, cytosol. Early endosome membrane; Peripheral membrane protein; Cytoplasmic side. Lysosome membrane; Peripheral membrane protein; Cytoplasmic side. Cell membrane; Peripheral membrane protein; Cytoplasmic side.
-
數據庫鏈接:
Most popular with customers
-
YWHAB Recombinant Monoclonal Antibody
Applications: ELISA, WB, IHC, IF, FC
Species Reactivity: Human, Mouse, Rat
-
Phospho-YAP1 (S127) Recombinant Monoclonal Antibody
Applications: ELISA, WB, IHC
Species Reactivity: Human
-
-
-
-
-
-















