PLA2G4C Antibody
-
中文名稱:PLA2G4C兔多克隆抗體
-
貨號:CSB-PA892485ESR1HU
-
規格:¥440
-
圖片:
-
Western Blot
Positive WB detected in: A549 whole cell lysate(30μg), MCF7 whole cell lysate(30μg), U251 whole cell lysate(320μg), HepG2 whole cell lysate(30μg), SHSY5Y whole cell lysate(30μg), Mouse Heart tissue lysate30μg),Mouse Kidney tissue lysate30μg),Mouse skeletal muscle tissue lysate30μg),Rat Heart tissue lysate30μg)
All lanes: PLA2G4C antibody at 1:500
Secondary
Goat polyclonal to rabbit IgG at 1/40000 dilution
Predicted band size: 61,60,63 kDa
Observed band size: 70 kDa
Exposure time: 120s -
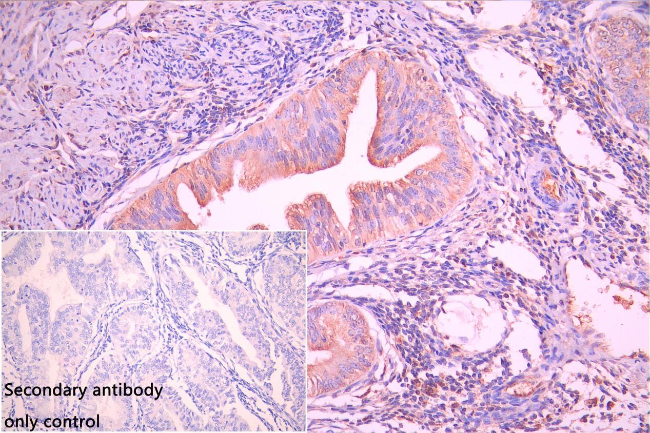
IHC image of CSB-PA892485ESR1HU diluted at 1:50 and staining in paraffin-embedded human endometrial cancer performed on a Leica BondTM system. After dewaxing and hydration, antigen retrieval was mediated by high pressure in a citrate buffer (pH 6.0). Section was blocked with 10% normal goat serum 30min at RT. Then primary antibody (1% BSA) was incubated at 4°C overnight. The primary is detected by a Goat anti-rabbit polymer IgG labeled by HRP and visualized using 0.05% DAB. Secondary antibody only control: uses 1% BSA instead of primary antibody
-
Immunofluorescence staining of A549 cell with CSB-PA892485ESR1HU at 1:30 counter-stained with DAPI. The cells were fixed in 4% formaldehyde and and permeated by 0.2% TritonX-100 for 15 min. Then 10% normal goat serum to block non-specific protein-protein interactions . The cells were then incubated with the antibody overnight at 4℃. The secondary antibody was Alexa Fluor 488-congugated AffiniPure Goat Anti-Rabbit IgG(H+L).
-
Immunofluorescence staining of A549 cell with 5% goat serum, counter-stained with DAPI. The cells were fixed in 4% formaldehyde and blocked in 10% normal Goat Serum. The cells were then incubated with the antibody overnight at 4C. The secondary antibody was Alexa Fluor 488-congugated AffiniPure Goat Anti-Rabbit IgG(H+L).
-
Immunofluorescence staining of U251 cell with CSB-PA892485ESR1HU at 1:30 counter-stained with DAPI. The cells were fixed in 4% formaldehyde and and permeated by 0.2% TritonX-100 for 15 min. Then 10% normal goat serum to block non-specific protein-protein interactions . The cells were then incubated with the antibody overnight at 4℃. The secondary antibody was Alexa Fluor 488-congugated AffiniPure Goat Anti-Rabbit IgG(H+L).
-
Immunofluorescence staining of U251 cell with 5% goat serum, counter-stained with DAPI. The cells were fixed in 4% formaldehyde and blocked in 10% normal Goat Serum. The cells were then incubated with the antibody overnight at 4C. The secondary antibody was Alexa Fluor 488-congugated AffiniPure Goat Anti-Rabbit IgG(H+L).
-
-
其他:
產品詳情
-
產品名稱:Rabbit anti-Homo sapiens (Human) PLA2G4C Polyclonal antibody
-
Uniprot No.:
-
基因名:
-
別名:cPLA2 gamma antibody; Cytosolic phospholipase A2 gamma antibody; EC 3.1.1.4 antibody; PA24C_HUMAN antibody; Phospholipase A2 group IVC antibody; PLA2G4C antibody
-
宿主:Rabbit
-
反應種屬:Human, Mouse, Rat
-
免疫原:synthesized peptide derived from human PLA2G4C
-
免疫原種屬:Homo sapiens (Human)
-
克隆類型:Polyclonal
-
抗體亞型:IgG
-
純化方式:Antigen Affinity Purified
-
濃度:It differs from different batches. Please contact us to confirm it.
-
保存緩沖液:Liquid in PBS containing 50% glycerol, 0.5% BSA and 0.02% sodium azide.
-
產品提供形式:Liquid
-
應用范圍:ELISA, WB, IHC, IF
-
推薦稀釋比:
Application Recommended Dilution WB 1:500-1:2000 IHC 1:20-1:100 IF 1:20-1:100 -
Protocols:
-
儲存條件:Upon receipt, store at -20°C or -80°C. Avoid repeated freeze.
-
貨期:Basically, we can dispatch the products out in 1-3 working days after receiving your orders. Delivery time maybe differs from different purchasing way or location, please kindly consult your local distributors for specific delivery time.
-
用途:For Research Use Only. Not for use in diagnostic or therapeutic procedures.
相關產品
靶點詳情
-
功能:Calcium-independent phospholipase, lysophospholipase and O-acyltransferase involved in phospholipid remodeling with implications in endoplasmic reticulum membrane homeostasis and lipid droplet biogenesis. Preferentially hydrolyzes the ester bond of the fatty acyl group attached at the sn-2 position of phospholipids with choline and ethanolamine head groups, producing lysophospholipids that are used in deacylation-reacylation cycles. Transfers the sn-1 fatty acyl from one lysophospholipid molecule to the sn-2 position of another lysophospholipid to form diacyl, alkylacyl and alkenylacyl glycerophospholipids. Cleaves ester bonds but not alkyl or alkenyl ether bonds at sn-1 position of lysophospholipids. Catalyzes sn-2 fatty acyl transfer from phospholipids to the sn-2 position of 1-O-alkyl or 1-O-alkenyl lysophospholipids with lower efficiency. In response to dietary fatty acids, may play a role in the formation of nascent lipid droplets from the endoplasmic reticulum likely by regulating the phospholipid composition of these organelles.; (Microbial infection) May play a role in replication and assembly of human hepatitis C virus (HCV). In response to HCV infection, promotes remodeling of host endoplasmic reticulum membranes to form organelle-like structures called membranous web, where HCV replication occur. Can further mediate translocation of replication complexes to lipid droplets to enable virion assembly.; (Microbial infection) May facilitate human T-lymphotropic virus type 1 (HTLV-1) infection by promoting leukotriene B4 (LTB4) biosynthesis. LTB4 acts as a chemoattractant for HTLV-1-infected CD4-positive T cells and favors cell to cell viral transmission.
-
基因功能參考文獻:
- Five single-nucleotide polymorphisms (SNPs) (rs9226, rs1045376, rs251684, rs2307279, and rs156631) in PLA2G4C and four SNPs (rs6533451, rs2285714, rs2285713, and rs11728699) in PLA2G12A were selected and genotyped. Our results showed a significant association between ASD and the rs251684 variant of PLA2G4C. The rs251684 polymorphism of PLA2G4C may be associated with Autism Spectrum Disorder risk. PMID: 27611910
- The A allele in PLA2G4C single nucleotide polymorphism (rs1549637) is associated with a worse prognosis in patients with colorectal cancer, especially in stage II. PMID: 26364726
- site-specific cytosine methylation of the CpT of PLA2G4C may play a role in the pathogenesis of schizophrenia. PMID: 22878031
- These findings suggest that IVC-PLA(2) is involved in regulations of macrophage differentiation and macrophage polarization. PMID: 22108055
- these results suggest that cPLA(2)gamma plays an important role in cancer cell chemotaxis. PMID: 21600875
- Findings suggest that variation in PLA2G4C may influence preterm birth risk by increasing levels of prostaglandins, which are known to regulate labor. PMID: 21184677
- cPLA(2) has a role in the induction of cell autonomous cellular immunity to Chlamydia PMID: 20452986
- locus showed a weak association with schizophrenia in a Chinese population PMID: 20016400
- Novel PLA2G4C polymorphism as a molecular diagnostic A minisatellite polymorphism in the untranslated region of exon 1, with allelic variants that have one, two or three 27-bp repeats PMID: 11958371
- enzymatic properties PMID: 12039969
- TNF-alpha & IFN-gamma induce gene expression of a novel cytosolic PLA(2) IVC in human airway epithelial cells. The possibility that it is involved in cytokine-mediated inflammation in the respiratory tract is inferred. PMID: 12396716
- Down-regulation of Phospholipase A2 is associated with colon tumorigenesis PMID: 15788676
- identification of its remarkable substrate selectivity that results in the highly selective generation of 2-arachidonoyl lysophosphatidylcholine PMID: 15908428
- results indicate that complete C-terminal processing is important for the functional expression of cPLA2, although not for its membrane localization PMID: 15944408
- Caspase-3-dependent activation of calcium-independent phospholipase A2 enhances cell migration in non-apoptotic ovarian cancer cells PMID: 16882668
- iPLA2gamma has roles in the lipid plasticity of myocardium, in generating signaling metabolites, and in modulating energy storage and utilization in myocardium in different metabolic contexts PMID: 17213206
- Single nucleotide polymorphism is asociated with schizzophrenia in a Chinese population. PMID: 17417066
- endometrial cell PGE2 biosynthesis was associated with PLA2G4C expression and activity PMID: 17459165
- The subcellular localization and enzymatic properties of cPLA2gamma with C-terminal FLAG-tag, was examined. PMID: 19501189
顯示更多
收起更多
-
亞細胞定位:Cell membrane; Lipid-anchor. Endoplasmic reticulum membrane; Lipid-anchor. Mitochondrion membrane; Lipid-anchor. Lipid droplet.
-
組織特異性:Highly expressed in heart and skeletal muscle.
-
數據庫鏈接:
Most popular with customers
-
-
YWHAB Recombinant Monoclonal Antibody
Applications: ELISA, WB, IHC, IF, FC
Species Reactivity: Human, Mouse, Rat
-
Phospho-YAP1 (S127) Recombinant Monoclonal Antibody
Applications: ELISA, WB, IHC
Species Reactivity: Human
-
-
-
-
-















