PKD2 Antibody
-
中文名稱:PKD2兔多克隆抗體
-
貨號:CSB-PA104347
-
規格:¥1100
-
圖片:
-
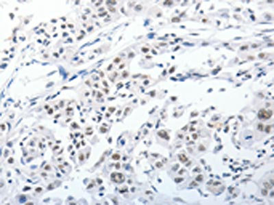
The image on the left is immunohistochemistry of paraffin-embedded Human ovarian cancer tissue using CSB-PA104347(PKD2 Antibody) at dilution 1/25, on the right is treated with synthetic peptide. (Original magnification: ×200)
-
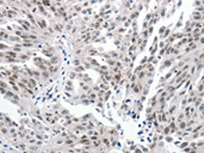
The image on the left is immunohistochemistry of paraffin-embedded Human lung cancer tissue using CSB-PA104347(PKD2 Antibody) at dilution 1/25, on the right is treated with synthetic peptide. (Original magnification: ×200)
-
-
其他:
產品詳情
-
Uniprot No.:
-
基因名:PKD2
-
別名:APKD2 antibody; Autosomal dominant polycystic kidney disease type II antibody; Autosomal dominant polycystic kidney disease type II protein antibody; MGC138466 antibody; MGC138468 antibody; PC 2 antibody; PC2 antibody; PKD 2 antibody; PKD2 antibody; PKD2_HUMAN antibody; PKD4 antibody; Polycystic kidney disease 2 (autosomal dominant) antibody; Polycystic kidney disease 2 antibody; Polycystic kidney disease 2 protein antibody; Polycystin 2 antibody; Polycystin 2 transient receptor potential cation channel antibody; Polycystin-2 antibody; Polycystin2 antibody; Polycystwin antibody; R48321 antibody; Transient receptor potential cation channel subfamily P member 2 antibody; TRPP2 antibody
-
宿主:Rabbit
-
反應種屬:Human
-
免疫原:Synthetic peptide of Human PKD2
-
免疫原種屬:Homo sapiens (Human)
-
標記方式:Non-conjugated
-
抗體亞型:IgG
-
純化方式:Antigen affinity purification
-
濃度:It differs from different batches. Please contact us to confirm it.
-
保存緩沖液:-20°C, pH7.4 PBS, 0.05% NaN3, 40% Glycerol
-
產品提供形式:Liquid
-
應用范圍:ELISA,IHC
-
推薦稀釋比:
Application Recommended Dilution ELISA 1:1000-1:5000 IHC 1:25-1:100 -
Protocols:
-
儲存條件:Upon receipt, store at -20°C or -80°C. Avoid repeated freeze.
-
貨期:Basically, we can dispatch the products out in 1-3 working days after receiving your orders. Delivery time maybe differs from different purchasing way or location, please kindly consult your local distributors for specific delivery time.
-
用途:For Research Use Only. Not for use in diagnostic or therapeutic procedures.
相關產品
靶點詳情
-
功能:Component of a heteromeric calcium-permeable ion channel formed by PKD1 and PKD2 that is activated by interaction between PKD1 and a Wnt family member, such as WNT3A and WNT9B. Can also form a functional, homotetrameric ion channel. Functions as a cation channel involved in fluid-flow mechanosensation by the primary cilium in renal epithelium. Functions as outward-rectifying K(+) channel, but is also permeable to Ca(2+), and to a much lesser degree also to Na(+). May contribute to the release of Ca(2+) stores from the endoplasmic reticulum. Together with TRPV4, forms mechano- and thermosensitive channels in cilium. PKD1 and PKD2 may function through a common signaling pathway that is necessary to maintain the normal, differentiated state of renal tubule cells. Acts as a regulator of cilium length, together with PKD1. The dynamic control of cilium length is essential in the regulation of mechanotransductive signaling. The cilium length response creates a negative feedback loop whereby fluid shear-mediated deflection of the primary cilium, which decreases intracellular cAMP, leads to cilium shortening and thus decreases flow-induced signaling. Also involved in left-right axis specification via its role in sensing nodal flow; forms a complex with PKD1L1 in cilia to facilitate flow detection in left-right patterning. Detection of asymmetric nodal flow gives rise to a Ca(2+) signal that is required for normal, asymmetric expression of genes involved in the specification of body left-right laterality.
-
基因功能參考文獻:
- PKD2 and PKD1 genes are mutated in autosomal dominant polycystic kidney disease. PKD2 can form either a homomeric cation channel or a heteromeric complex with the PKD1 receptor, presumed to respond to ligand(s) and/or mechanical stimuli. Here, we identify a two-residue hydrophobic gate in PKD2L1, and a single-residue hydrophobic gate in PKD2. PMID: 29899465
- this is the first report of autosomal dominant polycystic kidney disease complicated with aortic dissection caused by PKD2 mutation PMID: 29378535
- This noticeable hot spot regions hold higher frequency (50%) of pathogenic / likely pathogenic genetic variants constituting single nucleotide variants than large deletion and insertion that actually represents only 41.08% of coding sequence of PKD2. Statistically significant association for IVS3-22AA genotype was observed with PKD, while association of IVS4+62C>T was found insignificant. PMID: 29321346
- The novel pathogenic variant in c.637C> T in PKD2 is very interesting since they may represent Italian clusters. PMID: 27499327
- Upregulation of miR-106b-5p or downregulation of PKD2 expression can cause A549/DDP cells to become considerably more sensitive to cisplatin. The results showed that miR-106b-5p enhanced the sensitivity of A549/DDP cells to cisplatin by targeting the expression of PKD2. PMID: 28723865
- investigated the interaction network of human PKD2 in the cytosol and in Golgi-enriched subcellular protein fractions PMID: 27559607
- We aimed to revisit PKD2 prevalence, clinical presentation, mutation spectrum, and prognosis through the Genkyst cohort. Patients with PKD2-related dominant polycystic kidney disease typically present with mild disease PMID: 28356211
- Here, we review previous studies that connect the molecular properties of the domains of PC2 Cterm to distinct aspects of PC2 functions and regulation. PMID: 26857659
- TRPP2 mutations are associated with autosomal dominant polycystic kidney disease. PMID: 28154010
- Two cryo-EM structures of distinct channel states of full-length human PC2 in complex with lipids and cations. PMID: 28092368
- The structure of human PC2 in a closed conformation, solved by electron cryomicroscopy at 4.2-A resolution. PMID: 27991905
- SNPs in and near PKD2 showed significant evidence of association in individual samples of black adults (rs17013735, P-value=0.0009) and white adults (rs11938025; P-value=0.0005; rs2725270, P-value=0.003). PMID: 28100911
- Pancreatic cysts were more prevalent in patients with ADPKD with PKD2 mutation than in control subjects or patients with PKD1 mutation. PMID: 27046073
- This suggests that a precise dosage of PC2 is necessary for an adequate mechanosensitive alpha-actinin recruitment at junctions. PMID: 27575580
- TRPP2 may be used as a biomarker for evaluating patient prognosis and as a novel therapeutic target in human laryngeal squamous cell carcinoma. PMID: 27832627
- Novel PKD2 mutations in Chinese autosomal dominant polycystic kidney disease patients PMID: 26632257
- Two neutral missense PKD2 variants indentified in exon1 c.83G>C (p.R28P) and c.568G>A (p.A190T), which the former segregate with the mutation in affected relatives, and two new intronic and 3'UTR variants, c.1548+63C>T and c.*363delA. PMID: 26950445
- this study presents the cryo-EM structure of PKD2 in lipid bilayers at 3.0 A resolution, which establishes PKD2 as a homotetrameric ion channel and provides insight into potential mechanisms for its activation. PMID: 27768895
- PKD2 and RSK1 regulate integrin beta4 phosphorylation at threonine 1736 to stabilize keratinocyte cell adhesion and its hemidesmosomes. PMID: 26580203
- The coiled-coil domain in the PC2 C-terminal forms a stable helix bundle regardless of the presence of Ca(2+). PMID: 26574436
- Results show that some of the previously reported missense or synonymous mutations in PKD2 gene caused altered pre-mRNA splicing. PMID: 26692149
- PKD2 is a core factor in the formation of this multiprotein complex at the TGN that controls constitutive secretion of matrix metalloproteinase cargo. PMID: 26507660
- Human polycystin-2 transgene dose-dependently rescues autosomal-dominant polycystic kidney disease phenotypes in Pkd2 mutant mice PMID: 26435415
- FLNA anchors PC2 to the actin cytoskeleton through complex PC2-FLNA-actin to reduce degradation and increase stability, and possibly regulate PC2 function in a Ca-dependent manner. PMID: 25861040
- The data indicate that the cAMP pathway regulates PC2-mediated cation transport in the hST PMID: 26269590
- POlycystin-2 and its patogenic mutants inhibit PIEZO1 activity in renal tubular epithelial cells. PMID: 24157948
- There is only one Ca2+ binding site in the human PC2 C-terminus, located within its EF-hand domain; the Ca2+ binding affinity of the C-terminal trimer is greatly enhanced. PMID: 25716316
- TRPV4, TRPC1, and TRPP2 contribute to the ion permeation pore of the channels PMID: 25114176
- Data indicate that N-Glycosylation of transient receptor potential channel TRPP2 is required for adequate TRPP2 protein levels. PMID: 24719335
- The molecular analysis of an Iranian family showed that the PKD was due to a PKD2 mutation. PMID: 24011172
- Probable pathogenic mutations in the PKD2 gene were detected in patients with autosomal dominant polycystic kidney disease. PMID: 24694054
- analysis of EF hand motifs and how they affect the calcium dependence of polycystin-2 function PMID: 24558196
- CIB1a is a novel mediator of PKD2-driven carcinogenesis. PMID: 23503467
- The median age at onset of dialysis was significantly earlier in patients with PKD1 mutations (52 years) than in patients with PKD2 mutations (65.5 years) and those with an undetermined genotype (67 years) by survival analysis. PMID: 23985799
- Overexpression of polycystin (PC)1, but not a carboxy-terminal truncation mutant, increases ciliary PC2 expression levels in mouse kidney cells. PMID: 24009235
- In human subjects we found an association between ADPKD and IDCM and suggest that PKD mutations contribute to the development of heart failure PMID: 23376035
- C-terminal polycystin-2 phosphorylation influences the interaction with PIGEA14 PMID: 23838289
- early growth response 1, a transcription factor that binds to the NDRG1 promoter, was mediated in the NDRG1 expression regulation by PKD2. PMID: 23212942
- these data suggest that PKD2 and PKD3 coordinate to promote prostate cancer cell invasion through p65 NF-kappaB- and HDAC1-mediated expression and activation of uPA. PMID: 22797919
- PKD2 testing has a clinically significant detection rate in the pre-ESRF population. PMID: 22863349
- rs2728121 in PKD2 may contribute to the development of gout in Europeans. PMID: 22609445
- study indicates that filamins are important regulators of polycystin-2 channel function, and further links actin cytoskeletal dynamics to the regulation of this channel protein PMID: 22802962
- PC2 and the Ca(2+)-dependent transient receptor potential channels in general are regulated by similar conformational changes in their cytoplasmic domains that are propagated to the channel pore. PMID: 22474326
- role in interferon-gamma-induced PD-L1 surface expression on human oral squamous carcinoma PMID: 22204817
- This study reports for the first time a patient with neonatal onset of polycystic kidney disease homozygous for an incomplete penetrant PKD2 missense variant due to uniparental disomy PMID: 22114106
- PKD2:c.2020 1_2020delAG is a mutation found in a Chinese family with autosomal dominant polycystic kidney disease. PMID: 21983717
- study reports the association of autosomal dominant polycystic kidney disease resulting from a mutation in PKD2 and left-right asymmetry defect PMID: 21719175
- High Protein kinase D2 is associated with glioblastoma growth and tumor formation. PMID: 21727210
- Findings clarify the structural properties of PC2t domain and strongly support a homotetramer assembly of PC2. PMID: 21622852
- In the molecular pathway to secretion, PKD2 is a key component of the PKC-mediated pathway to platelet activation and thrombus formation through its selective regulation of dense granule secretion. PMID: 21527521
顯示更多
收起更多
-
相關疾病:Polycystic kidney disease 2 (PKD2)
-
亞細胞定位:Cell projection, cilium membrane; Multi-pass membrane protein. Endoplasmic reticulum membrane; Multi-pass membrane protein. Cell membrane; Multi-pass membrane protein. Basolateral cell membrane. Cytoplasmic vesicle membrane. Golgi apparatus.
-
蛋白家族:Polycystin family
-
組織特異性:Detected in fetal and adult kidney. Detected at the thick ascending limb of the loop of Henle, at distal tubules, including the distal convoluted tubule and cortical collecting tubules, with weak staining of the collecting duct. Detected on placenta syncy
-
數據庫鏈接:
Most popular with customers
-
-
YWHAB Recombinant Monoclonal Antibody
Applications: ELISA, WB, IHC, IF, FC
Species Reactivity: Human, Mouse, Rat
-
Phospho-YAP1 (S127) Recombinant Monoclonal Antibody
Applications: ELISA, WB, IHC
Species Reactivity: Human
-
-
-
-
-















