PIWIL3 Antibody
-
中文名稱:PIWIL3兔多克隆抗體
-
貨號:CSB-PA120136
-
規格:¥1100
-
圖片:
-
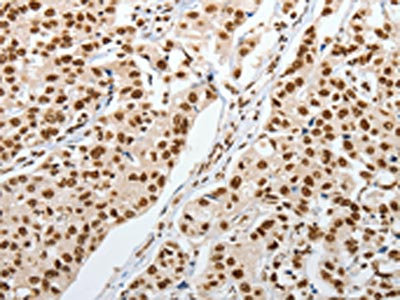
The image on the left is immunohistochemistry of paraffin-embedded Human breast cancer tissue using CSB-PA120136(PIWIL3 Antibody) at dilution 1/20, on the right is treated with synthetic peptide. (Original magnification: ×200)
-
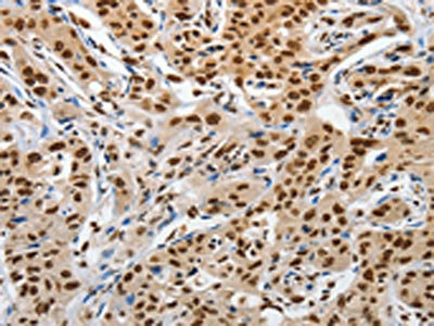
The image on the left is immunohistochemistry of paraffin-embedded Human lung cancer tissue using CSB-PA120136(PIWIL3 Antibody) at dilution 1/20, on the right is treated with synthetic peptide. (Original magnification: ×200)
-
Gel: 6%SDS-PAGE, Lysate: 40 μg, Lane: NIH/3T3 cells, Primary antibody: CSB-PA120136(PIWIL3 Antibody) at dilution 1/200, Secondary antibody: Goat anti rabbit IgG at 1/8000 dilution, Exposure time: 2 minutes
-
-
其他:
產品詳情
-
Uniprot No.:
-
基因名:PIWIL3
-
別名:HIWI3 antibody; Piwi like 3 antibody; Piwi-like protein 3 antibody; piwi-like RNA-mediated gene silencing 3 antibody; PIWIL3 antibody; PIWL3_HUMAN antibody
-
宿主:Rabbit
-
反應種屬:Human,Mouse
-
免疫原:Synthetic peptide of Human PIWIL3
-
免疫原種屬:Homo sapiens (Human)
-
標記方式:Non-conjugated
-
抗體亞型:IgG
-
純化方式:Antigen affinity purification
-
濃度:It differs from different batches. Please contact us to confirm it.
-
保存緩沖液:-20°C, pH7.4 PBS, 0.05% NaN3, 40% Glycerol
-
產品提供形式:Liquid
-
應用范圍:ELISA,WB,IHC
-
推薦稀釋比:
Application Recommended Dilution ELISA 1:2000-1:5000 WB 1:200-1:1000 IHC 1:25-1:100 -
Protocols:
-
儲存條件:Upon receipt, store at -20°C or -80°C. Avoid repeated freeze.
-
貨期:Basically, we can dispatch the products out in 1-3 working days after receiving your orders. Delivery time maybe differs from different purchasing way or location, please kindly consult your local distributors for specific delivery time.
-
用途:For Research Use Only. Not for use in diagnostic or therapeutic procedures.
相關產品
靶點詳情
-
功能:May play a role during spermatogenesis by repressing transposable elements and preventing their mobilization, which is essential for the germline integrity. Acts via the piRNA metabolic process, which mediates the repression of transposable elements during meiosis by forming complexes composed of piRNAs and Piwi proteins and govern the methylation and subsequent repression of transposons. Directly binds piRNAs, a class of 24 to 30 nucleotide RNAs that are generated by a Dicer-independent mechanism and are primarily derived from transposons and other repeated sequence elements. Besides their function in transposable elements repression, piRNAs are probably involved in other processes during meiosis such as translation regulation.
-
基因功能參考文獻:
- overexpression of Piwil3 promotes the proliferation, migration and invasion of GC cells partially through JAK2/STAT3 signal pathway. PMID: 28869440
- Our data indicate that PIWIL3 protein expression is elevated in more aggressive primary malignant melanoma(MM )and metastatic disease. As also observed in other malignancies, PIWIL3 seems to play a role in MM progression. PMID: 27858163
- individuals with HIWI3 non-synonymous rs11703684 variant genotypes exhibited a significantly reduced oligozoospermia risk PMID: 20940137
- Observational study of gene-disease association. (HuGE Navigator) PMID: 20940137
- PIWIL3 proteins were expressed in the cytoplasma of human astrocytic glioma and meningioma. PMID: 18616918
顯示更多
收起更多
-
亞細胞定位:Cytoplasm.
-
蛋白家族:Argonaute family, Piwi subfamily
-
組織特異性:Expressed in testis.
-
數據庫鏈接:
Most popular with customers
-
-
YWHAB Recombinant Monoclonal Antibody
Applications: ELISA, WB, IHC, IF, FC
Species Reactivity: Human, Mouse, Rat
-
Phospho-YAP1 (S127) Recombinant Monoclonal Antibody
Applications: ELISA, WB, IHC
Species Reactivity: Human
-
-
-
-
-















