PIP4K2B Antibody
-
中文名稱:PIP4K2B兔多克隆抗體
-
貨號:CSB-PA018023ESR2HU
-
規格:¥440
-
圖片:
-
Western blot
All lanes: Phosphatidylinositol 5-phosphate 4-kinase type-2 beta antibody at 10μg/ml
Lane 1: Hela whole cell lysate
Lane 2: MCF-7 whole cell lysate
Lane 3: 293T whole cell lysate
Secondary
Goat polyclonal to rabbit IgG at 1/10000 dilution
Predicted band size: 48, 33 kDa
Observed band size: 48 kDa -
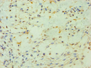
Immunohistochemistry of paraffin-embedded human breast cancer using CSB-PA018023ESR2HU at dilution of 1:100
-
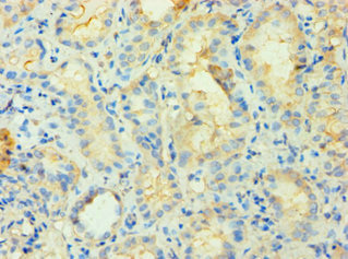
Immunohistochemistry of paraffin-embedded human kidney tissue using CSB-PA018023ESR2HU at dilution of 1:100
-
Immunofluorescent analysis of A549 cells using CSB-PA018023ESR2HU at dilution of 1:100 and Alexa Fluor 488-congugated AffiniPure Goat Anti-Rabbit IgG(H+L)
-
-
其他:
產品詳情
-
產品名稱:Rabbit anti-Homo sapiens (Human) PIP4K2B Polyclonal antibody
-
Uniprot No.:
-
基因名:
-
別名:PIP4K2B antibody; PIP5K2B antibody; Phosphatidylinositol 5-phosphate 4-kinase type-2 beta antibody; EC 2.7.1.149 antibody; 1-phosphatidylinositol 5-phosphate 4-kinase 2-beta antibody; Diphosphoinositide kinase 2-beta antibody; Phosphatidylinositol 5-phosphate 4-kinase type II beta antibody; PI(5)P 4-kinase type II beta antibody; PIP4KII-beta antibody; PtdIns(5)P-4-kinase isoform 2-beta antibody
-
宿主:Rabbit
-
反應種屬:Human
-
免疫原:Recombinant Human Phosphatidylinositol 5-phosphate 4-kinase type-2 beta protein (1-270AA)
-
免疫原種屬:Homo sapiens (Human)
-
標記方式:Non-conjugated
-
克隆類型:Polyclonal
-
抗體亞型:IgG
-
純化方式:Antigen Affinity Purified
-
濃度:It differs from different batches. Please contact us to confirm it.
-
保存緩沖液:PBS with 0.02% sodium azide, 50% glycerol, pH7.3.
-
產品提供形式:Liquid
-
應用范圍:ELISA, WB, IHC, IF
-
推薦稀釋比:
Application Recommended Dilution WB 1:500-1:2000 IHC 1:20-1:200 IF 1:50-1:200 -
Protocols:
-
儲存條件:Upon receipt, store at -20°C or -80°C. Avoid repeated freeze.
-
貨期:Basically, we can dispatch the products out in 1-3 working days after receiving your orders. Delivery time maybe differs from different purchasing way or location, please kindly consult your local distributors for specific delivery time.
-
用途:For Research Use Only. Not for use in diagnostic or therapeutic procedures.
相關產品
靶點詳情
-
功能:Participates in the biosynthesis of phosphatidylinositol 4,5-bisphosphate. Preferentially utilizes GTP, rather than ATP, for PI(5)P phosphorylation and its activity reflects changes in direct proportion to the physiological GTP concentration. Its GTP-sensing activity is critical for metabolic adaptation. PIP4Ks negatively regulate insulin signaling through a catalytic-independent mechanism. They interact with PIP5Ks and suppress PIP5K-mediated PtdIns(4,5)P2 synthesis and insulin-dependent conversion to PtdIns(3,4,5)P3.
-
基因功能參考文獻:
- PIP4K2B couples the cellular GTP concentration to the levels of the stress-regulated phosphoinositide PtdIns5P, to impact on tumor cell growth. PMID: 27132569
- Suppression of PIP4K expression selectively prevents tumor cell growth in vitro and prevents tumor development in mice that have lost the tumor suppressor p53. (Review) PMID: 25728392
- Association between low PIP4K2B expression and poor patient survival.Analysis of gene expression datasets confirmed the association between low PIP4K2B and low CDH1expression. PMID: 24127122
- Knocking down PI5P4Kalpha and beta in a breast cancer cell line bearing an amplification of the gene encoding PI5P4K beta and deficient for p53 impaired growth on plastic and in xenografts. PMID: 24209622
- PIPkin IIbeta is expressed as a tagged protein, is active as revealed by immunoprecipitation and enzyme assay, and that cellular fractionation reveals that it is indeed nuclear. PMID: 17303380
顯示更多
收起更多
-
亞細胞定位:Endoplasmic reticulum membrane; Peripheral membrane protein. Cell membrane; Peripheral membrane protein. Nucleus. Cytoplasm.
-
組織特異性:Highly expressed in brain, heart, pancreas, skeletal muscle and kidney. Detected at lower levels in placenta, lung and liver.
-
數據庫鏈接:
Most popular with customers
-
-
YWHAB Recombinant Monoclonal Antibody
Applications: ELISA, WB, IHC, IF, FC
Species Reactivity: Human, Mouse, Rat
-
Phospho-YAP1 (S127) Recombinant Monoclonal Antibody
Applications: ELISA, WB, IHC
Species Reactivity: Human
-
-
-
-
-















