PIN4 Antibody
-
中文名稱:PIN4兔多克隆抗體
-
貨號:CSB-PA861478LA01HU
-
規格:¥440
-
圖片:
-
Western Blot
Positive WB detected in: 293T whole cell lysate(30μg),MCF7 whole cell lysate(30μg), 293 whole cell lysate(30μg)
All lanes: PIN4 antibody at 1:1000
Secondary
Goat polyclonal to rabbit IgG at 1/20000 dilution
Predicted band size: 14, 17,15 kDa
Observed band size: 14 kDa
Exposure time:120s -
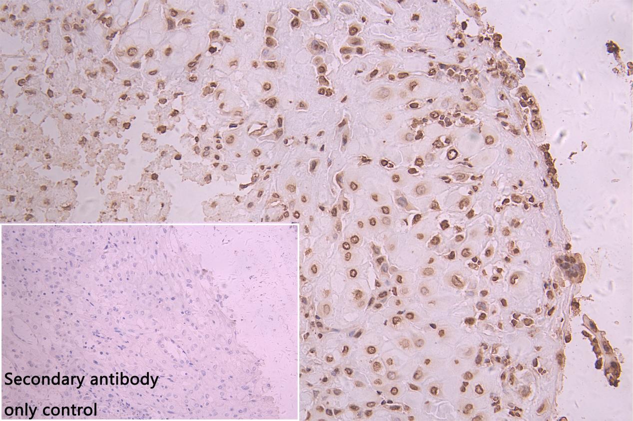
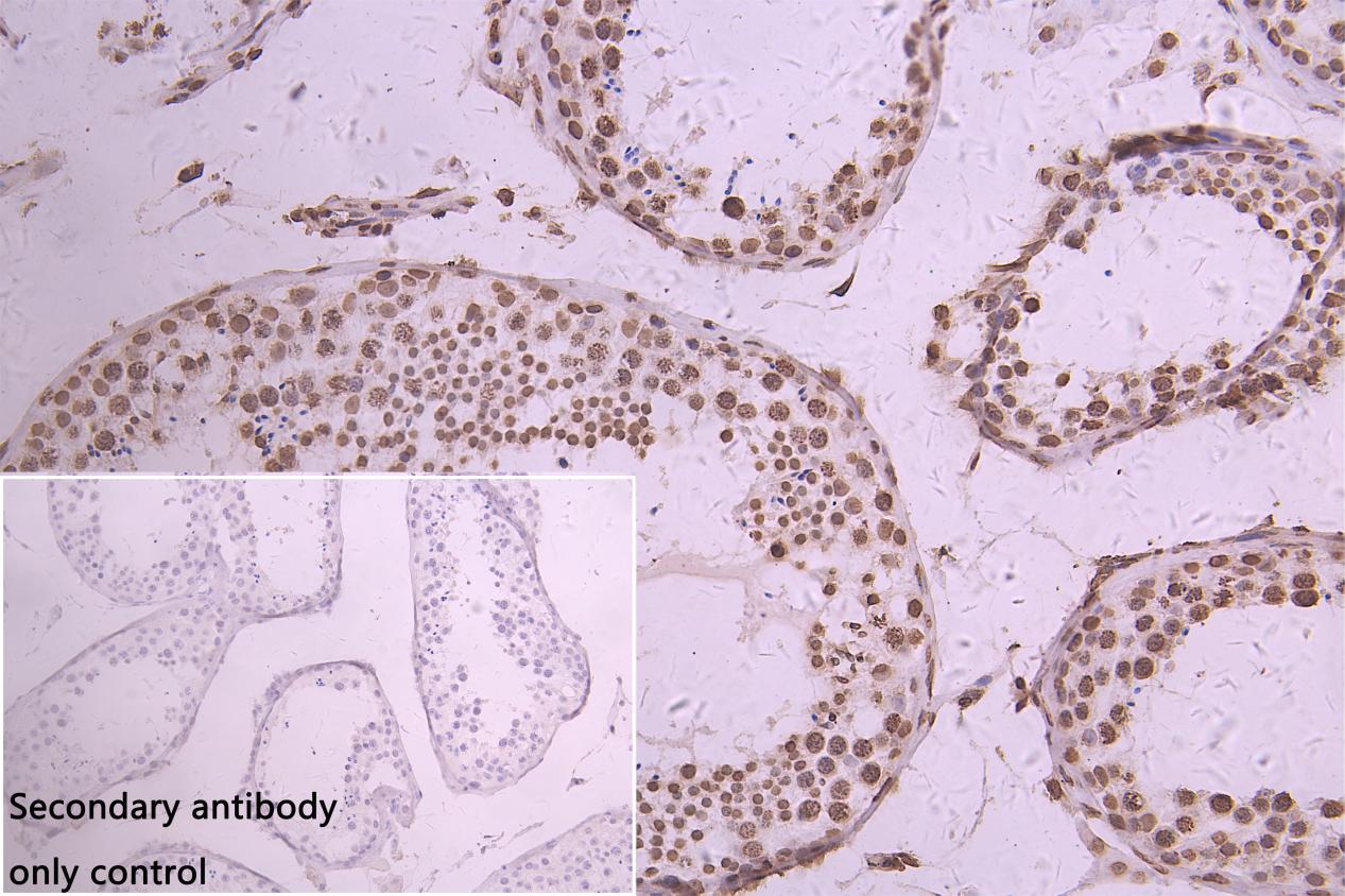
IHC image of CSB-PA861478LA01HU diluted at 1:100 and staining in paraffin-embedded human testis tissue performed on a Leica BondTM system. After dewaxing and hydration, antigen retrieval was mediated by high pressure in a citrate buffer (pH 6.0). Section was blocked with 10% normal goat serum 30min at RT. Then primary antibody (1% BSA) was incubated at 4°C overnight. The primary is detected by a Goat anti-rabbit polymer IgG labeled by HRP and visualized using 0.05% DAB. Secondary antibody only control: uses 1% BSA instead of primary antibody
-
IHC image of CSB-PA861478LA01HU diluted at 1:100 and staining in paraffin-embedded human placenta tissue performed on a Leica BondTM system. After dewaxing and hydration, antigen retrieval was mediated by high pressure in a citrate buffer (pH 6.0). Section was blocked with 10% normal goat serum 30min at RT. Then primary antibody (1% BSA) was incubated at 4°C overnight. The primary is detected by a Goat anti-rabbit polymer IgG labeled by HRP and visualized using 0.05% DAB. Secondary antibody only control: uses 1% BSA instead of primary antibody
-
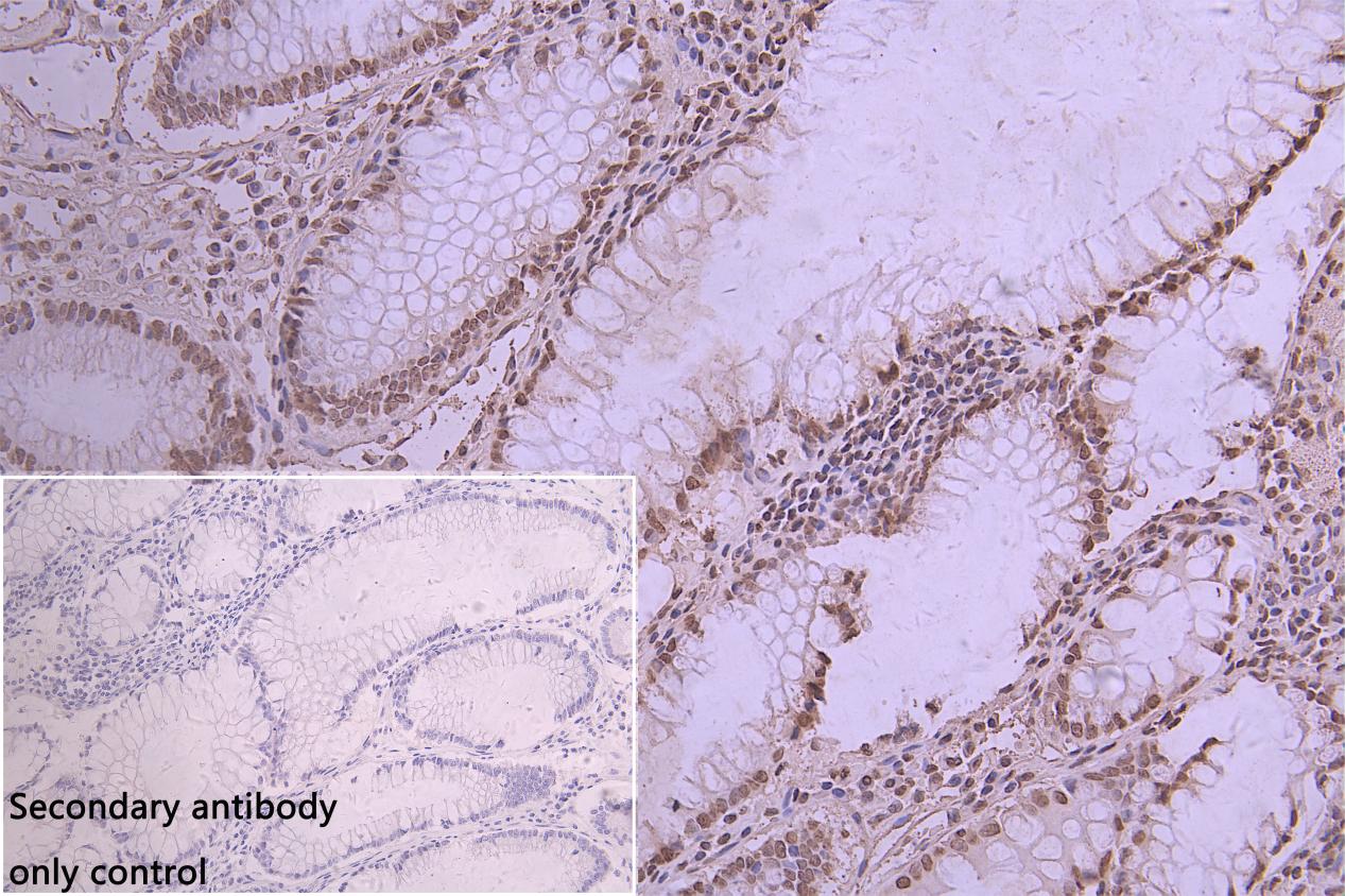
IHC image of CSB-PA861478LA01HU diluted at 1:100 and staining in paraffin-embedded human colorectal cancerperformed on a Leica BondTM system. After dewaxing and hydration, antigen retrieval was mediated by high pressure in a citrate buffer (pH 6.0). Section was blocked with 10% normal goat serum 30min at RT. Then primary antibody (1% BSA) was incubated at 4°C overnight. The primary is detected by a Goat anti-rabbit polymer IgG labeled by HRP and visualized using 0.05% DAB. Secondary antibody only control: uses 1% BSA instead of primary antibody
-
Immunofluorescence staining of MCF7 cell with CSB-PA861478LA01HU at 1:30, counter-stained with DAPI. The cells were fixed in 4% formaldehyde and and permeated by 0.2% TritonX-100 for 15 min. Then 10% normal goat serum to block non-specific protein-protein interactions . The cells were then incubated with the antibody overnight at 4℃. The secondary antibody was Alexa Fluor 488-congugated AffiniPure Goat Anti-Rabbit IgG(H+L).
-
Immunofluorescence staining of MCF7 cell with 5% goat serum, counter-stained with DAPI. The cells were fixed in 4% formaldehyde and blocked in 10% normal Goat Serum. The cells were then incubated with the antibody overnight at 4C. The secondary antibody was Alexa Fluor 488-congugated AffiniPure Goat Anti-Rabbit IgG(H+L).
-
Immunofluorescence staining of HepG2 cell with CSB-PA861478LA01HU at 1:30, counter-stained with DAPI. The cells were fixed in 4% formaldehyde and and permeated by 0.2% TritonX-100 for 15 min. Then 10% normal goat serum to block non-specific protein-protein interactions . The cells were then incubated with the antibody overnight at 4℃. The secondary antibody was Alexa Fluor 488-congugated AffiniPure Goat Anti-Rabbit IgG(H+L).
-
Immunofluorescence staining of HepG2 cell with 5% goat serum, counter-stained with DAPI. The cells were fixed in 4% formaldehyde and blocked in 10% normal Goat Serum. The cells were then incubated with the antibody overnight at 4C. The secondary antibody was Alexa Fluor 488-congugated AffiniPure Goat Anti-Rabbit IgG(H+L).
-
-
其他:
產品詳情
-
產品名稱:Rabbit anti-Homo sapiens (Human) PIN4 Polyclonal antibody
-
Uniprot No.:
-
基因名:PIN4
-
別名:EPVH antibody; Eukaryotic parvulin homolog antibody; hEPVH antibody; hPar14 antibody; hPar17 antibody; MGC138486 antibody; OTTHUMP00000023527 antibody; OTTHUMP00000217483 antibody; OTTHUMP00000217485 antibody; Par14 antibody; Par17 antibody; Parvulin 14 antibody; Parvulin-14 antibody; Parvulin-17 antibody; Peptidyl prolyl cis trans isomerase NIMA interacting 4 antibody; Peptidyl prolyl cis/trans isomerase EPVH antibody; Peptidyl-prolyl cis-trans isomerase NIMA-interacting 4 antibody; Peptidyl-prolyl cis-trans isomerase PIN4 antibody; Peptidyl-prolyl cis/trans isomerase EPVH antibody; PIN4 antibody; PIN4_HUMAN antibody; PPIase Pin4 antibody; Protein (peptidylprolyl cis/trans isomerase) NIMA interacting, 4 (parvulin) antibody; Rotamase Pin4 antibody
-
宿主:Rabbit
-
反應種屬:Human
-
免疫原:Synthesized peptide derived from human PIN4
-
免疫原種屬:Homo sapiens (Human)
-
克隆類型:Polyclonal
-
抗體亞型:IgG
-
純化方式:Antigen affinity purification
-
濃度:It differs from different batches. Please contact us to confirm it.
-
保存緩沖液:Liquid in PBS containing 50% glycerol, 0.5% BSA and 0.02% sodium azide.
-
產品提供形式:Liquid
-
應用范圍:ELISA, WB, IHC, IF
-
推薦稀釋比:
Application Recommended Dilution WB 1:1000-1:3000 IHC 1:100-1:300 IF 20-1:100 -
Protocols:
-
儲存條件:Upon receipt, store at -20°C or -80°C. Avoid repeated freeze.
-
貨期:Basically, we can dispatch the products out in 1-3 working days after receiving your orders. Delivery time maybe differs from different purchasing way or location, please kindly consult your local distributors for specific delivery time.
-
用途:For Research Use Only. Not for use in diagnostic or therapeutic procedures.
相關產品
靶點詳情
-
功能:Isoform 1 is involved as a ribosomal RNA processing factor in ribosome biogenesis. Binds to tightly bent AT-rich stretches of double-stranded DNA.; Isoform 2 binds to double-stranded DNA.
-
基因功能參考文獻:
- Par14 can be described as an endogenous non-histone chromatin protein, which binds DNA in vivo PMID: 25645591
- Ca(2+)/Calmodulin binding to the N-terminal of Par17 causes steric hindrance of the Par17 active site, thus interfering with the Par17/tubulin interaction. PMID: 25940090
- Data indicate that Pin1 prolyl isomerase active site cysteine, Cys113, is highly susceptible to oxidation. PMID: 25595659
- Data indicate the association of Par14 with insulin receptor substrate 1 (IRS-1) in human HepG2 cells overexpressing both as well as endogenously in the mouse liver. PMID: 23720771
- The N-terminal basic domain of human parvulin hPar14 is responsible for the entry to the nucleus and high-affinity DNA-binding. PMID: 12144781
- subcellular localization and DNA binding properties of hPar14 are regulated by phosphorylation of the N-terminal domain PMID: 12860119
- Identification of a longer Parvulin isoform (Par17) that has an extension at the 5' end including a 75 bp extended open reading frame. PMID: 16522211
顯示更多
收起更多
-
亞細胞定位:[Isoform 1]: Nucleus, nucleolus. Cytoplasm, cytoskeleton, spindle. Cytoplasm. Note=Colocalizes in the nucleolus during interphase and on the spindle apparatus during mitosis with NPM1.; [Isoform 2]: Mitochondrion. Mitochondrion matrix. Note=Imported in a time- and membrane potential-dependent manner to the mitochondrial matrix, but without concomitant processing of the protein. Directed to mitochondria by a novel N-terminal domain that functions as non-cleavable mitochondrial targeting peptide.
-
蛋白家族:PpiC/parvulin rotamase family, PIN4 subfamily
-
組織特異性:Isoform 2 is much more stable than isoform 1 (at protein level). Ubiquitous. Isoform 1 and isoform 2 are expressed in kidney, liver, blood vessel, brain, mammary gland, skeletal muscle, small intestine and submandibularis. Isoform 1 transcripts are much m
-
數據庫鏈接:
Most popular with customers
-
-
YWHAB Recombinant Monoclonal Antibody
Applications: ELISA, WB, IHC, IF, FC
Species Reactivity: Human, Mouse, Rat
-
Phospho-YAP1 (S127) Recombinant Monoclonal Antibody
Applications: ELISA, WB, IHC
Species Reactivity: Human
-
-
-
-
-















