PIM3 Antibody
-
中文名稱:PIM3兔多克隆抗體
-
貨號:CSB-PA968784
-
規格:¥1100
-
圖片:
-
The image on the left is immunohistochemistry of paraffin-embedded Human brain tissue using CSB-PA968784(PIM3 Antibody) at dilution 1/20, on the right is treated with synthetic peptide. (Original magnification: ×200)
-
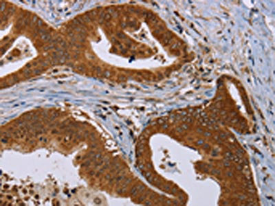
The image on the left is immunohistochemistry of paraffin-embedded Human gastric cancer tissue using CSB-PA968784(PIM3 Antibody) at dilution 1/20, on the right is treated with synthetic peptide. (Original magnification: ×200)
-
Gel: 8%SDS-PAGE, Lysate: 40 μg, Lane: Mouse skeletal muscle tissue, Primary antibody: CSB-PA968784(PIM3 Antibody) at dilution 1/250, Secondary antibody: Goat anti rabbit IgG at 1/8000 dilution, Exposure time: 5 minutes
-
-
其他:
產品詳情
-
Uniprot No.:
-
基因名:
-
別名:Kid 1 antibody; Kid1 antibody; Kinase induced by depolarization antibody; ONCOGENE PIM3 antibody; PIM 3 antibody; Pim 3 oncogene antibody; Pim-3 proto-oncogene; serine/threonine kinase antibody; PIM3 antibody; Pim3 oncogene antibody; PIM3_HUMAN antibody; Protein kinase Kid 1 antibody; Protein kinase Kid1 antibody; Serine/threonine kinase Pim 3 antibody; Serine/threonine kinase Pim3 antibody; Serine/threonine protein kinase Pim 3 antibody; Serine/threonine protein kinase Pim3 antibody; Serine/threonine-protein kinase Pim-3 antibody
-
宿主:Rabbit
-
反應種屬:Human,Mouse,Rat
-
免疫原:Synthetic peptide of Human PIM3
-
免疫原種屬:Homo sapiens (Human)
-
標記方式:Non-conjugated
-
抗體亞型:IgG
-
純化方式:Antigen affinity purification
-
濃度:It differs from different batches. Please contact us to confirm it.
-
保存緩沖液:-20°C, pH7.4 PBS, 0.05% NaN3, 40% Glycerol
-
產品提供形式:Liquid
-
應用范圍:ELISA,WB,IHC
-
推薦稀釋比:
Application Recommended Dilution ELISA 1:1000-1:2000 WB 1:200-1:1000 IHC 1:25-1:100 -
Protocols:
-
儲存條件:Upon receipt, store at -20°C or -80°C. Avoid repeated freeze.
-
貨期:Basically, we can dispatch the products out in 1-3 working days after receiving your orders. Delivery time maybe differs from different purchasing way or location, please kindly consult your local distributors for specific delivery time.
-
用途:For Research Use Only. Not for use in diagnostic or therapeutic procedures.
相關產品
靶點詳情
-
功能:Proto-oncogene with serine/threonine kinase activity that can prevent apoptosis, promote cell survival and protein translation. May contribute to tumorigenesis through: the delivery of survival signaling through phosphorylation of BAD which induces release of the anti-apoptotic protein Bcl-X(L), the regulation of cell cycle progression, protein synthesis and by regulation of MYC transcriptional activity. Additionally to this role on tumorigenesis, can also negatively regulate insulin secretion by inhibiting the activation of MAPK1/3 (ERK1/2), through SOCS6. Involved also in the control of energy metabolism and regulation of AMPK activity in modulating MYC and PPARGC1A protein levels and cell growth.
-
基因功能參考文獻:
- show that PIM1 contributes to melanoma cell proliferation and tumor growth in vivo; however, the presence of PIM2 and PIM3 could also influence the outcome. PMID: 27448973
- These results demonstrate the involvement of PIM kinases in LIF-induced regulation in different trophoblastic cell lines which may indicate similar functions in primary cells. PMID: 28729093
- PIM kinases in classical Hodgkin lymphoma exhibit pleiotropic effects, orchestrating tumor immune escape and supporting Reed-Sternberg cell survival. PMID: 28698206
- Our study suggests that up-regulation of Pim-3 successfully accelerated Chronic Obstructive Pulmonary Disease development, and aggravated lung damage PMID: 28214201
- High PIM3 expression is associated with osteosarcoma. PMID: 27826617
- The expression status of Pim-3 mRNA was significantly associated with pathological parameters such as pre-surgery prostate specific antigen, Gleason score, pathological stage, and lymphoid metastasis. PMID: 27826135
- Pim-3 expression was inversely correlated with that of miR-377. PMID: 27638830
- SSRP1/Ets-1/Pim-3 signalling is tightly associated with the proliferation, apoptosis, autophagy, invasion and clonogenicity of nasopharyngeal carcinoma cells, and blockage of this signalling facilitates chemosensitivity of the cells to docetaxel. PMID: 27525970
- Pim-3 expression showed a positive correlation with tumor cell differentiation. PMID: 26768612
- Pim-3 has a role in human pancreatic cancer cell survival against radiation PMID: 27016481
- A high percentage of urothelial carcinomas express Pim kinases. Pim expression differs in NILG, NIHG, and IHG lesions. PMID: 26551340
- MicroRNA506 participates in pancreatic cancer pathogenesis by targeting PIM3 PMID: 26238203
- Pim-3 kinase enhances growth and metastatic properties of prostate cancer xenografts. PC-3 prostate cancer cells overexpressing either Pim-1 or Pim-3 kinases form larger xenograft tumors than the parental PC-3 cells. PMID: 26075720
- Knockdown of Pim-3 by specific shRNA slowed decreased proliferation, induced cell cycle arrest in the G0/G1 phase, and increased apoptosis in glioblastoma cells. PMID: 25817345
- PIM3 expression is higher in ovarian cancer than in normal ovarian tissue. Upregulation of PIM3 promotes proliferation and migration of ovarian cancer cells. PMID: 25921139
- Data demonstrate the role of PIM kinases in driving myeloid leukemia, and as candidate molecules for therapy against human malignancies. PMID: 25238262
- we constructed a dual-function small hairpin RNA (shRNA) vector containing an shRNA targeting Pim-3 and a TLR7-stimulating ssRNA. PMID: 24723452
- Blocking the activities of PIM kinases(PIM1, PIM2 and PIM3) could prevent pancreatic cancer development. PIM kinases(PIM1, PIM2 and PIM3) may be a novel target for cancer therapy PMID: 24799066
- cancer development and in promoting tumor neovascularization and subsequent tumor growth. Targeting Pim-3 may play a dual role in halting tumor progression, by promoting tumor cell death and blocking angiogenesis PMID: 24789328
- Our study indicates that the expression of Pim kinases is physiologically related to DNA-PKcs and ATM in ECs. PMID: 22282239
- observations indicate that TCTP enhances Pim-3 stability to simultaneously promote and prevent cell-cycle progression and apoptosis, respectively PMID: 24165482
- the existence of different patterns of expression of Pim-3, c-Myc, and p-p27 and their clinicopathologic correlations in adenocarcinomas of the gastric cardia and the distal stomach. PMID: 24488669
- Pim-1 and Pim-3 play overlapping but non-identical roles as it relates to gemcitabine sensitivity of pancreatic cancer cells and Pim-3 is upregulated in pancreatic ductal carcinoma. PMID: 23760491
- Pim-3 can promote pancreatic tumor growth and angiogenesis by stimulating the VEGF pathway. PMID: 23845873
- PIM kinases promote the production of IFNgamma, the hallmark cytokine produced by Th1 cells. PMID: 23209281
- Pim protein kinase-3 is regulated by TNF-alpha and promotes endothelial cell sprouting. PMID: 21870113
- Pim3 cooperates with other Pim kinases in supporting viability of Myc-induced B-cell lymphomas. PMID: 21646687
- Ginsenoside Rg3 decreased both Pim-3 and pBad expressions in a dose-dependent manner in PANC-1 cells. PMID: 19624871
- A cell-based test system useful for rapid and inexpensive pre-screening of compounds capable of preventing Pim-mediated phosphorylation is discussed. PMID: 20939820
- Pim-3 has an important role in modulating c-Myc and PGC-1alpha protein levels and cell growth PMID: 21187426
- Pim-3 alone cannot cause, but can accelerate HCC development. PMID: 20101231
- Aberrnntly expressed Pim-3 can cause autonomous cell proliferation or prevent apoptosis in hepatoma cell lines. PMID: 15540201
- Pim kinases promote cell cycle progression and tumorigenesis by down-regulating p27(Kip1) expression at both transcriptional and posttranslational levels. PMID: 18593906
- Ets-1 can induce aberrant Pim-3 expression and subsequently prevent apoptosis in human pancreatic cancer cells. PMID: 19154409
- expression of Pim-1 & Pim-3 is induced in response reactivation in KSHV-infected cells; they are required for KSHV reactivation under these conditions; data indicate Pim-1 & Pim-3 contribute to viral reactivation by phosphorylating the KSHV LANA PMID: 19266083
顯示更多
收起更多
-
亞細胞定位:Cytoplasm.
-
蛋白家族:Protein kinase superfamily, CAMK Ser/Thr protein kinase family, PIM subfamily
-
組織特異性:Detected in various tissues, including the heart, brain, lung, kidney, spleen, placenta, skeletal muscle, and peripheral blood leukocytes. Not found or barely expressed in the normal adult endoderm-derived organs such as colon, thymus, liver, or small int
-
數據庫鏈接:
Most popular with customers
-
-
YWHAB Recombinant Monoclonal Antibody
Applications: ELISA, WB, IHC, IF, FC
Species Reactivity: Human, Mouse, Rat
-
Phospho-YAP1 (S127) Recombinant Monoclonal Antibody
Applications: ELISA, WB, IHC
Species Reactivity: Human
-
-
-
-
-















