PIM1 Antibody
-
中文名稱:PIM1兔多克隆抗體
-
貨號:CSB-PA993284
-
規格:¥1100
-
圖片:
-
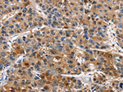
The image on the left is immunohistochemistry of paraffin-embedded Human liver cancer tissue using CSB-PA993284(PIM1 Antibody) at dilution 1/40, on the right is treated with fusion protein. (Original magnification: ×200)
-
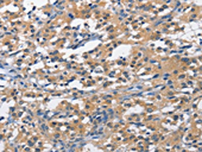
The image on the left is immunohistochemistry of paraffin-embedded Human thyroid cancer tissue using CSB-PA993284(PIM1 Antibody) at dilution 1/40, on the right is treated with fusion protein. (Original magnification: ×200)
-
-
其他:
產品詳情
-
Uniprot No.:
-
基因名:
-
別名:Oncogene PIM 1 antibody; Oncogene PIM1 antibody; PIM 1 antibody; pim 1 kinase 44 kDa isoform antibody; Pim 1 kinase antibody; pim 1 oncogene (proviral integration site 1) antibody; Pim 1 oncogene antibody; PIM antibody; PIM1 antibody; pim1 kinase 44 kDa isoform antibody; PIM1_HUMAN antibody; Pim2 antibody; PIM3 antibody; Proto oncogene serine/threonine protein kinase Pim 1 antibody; Proto-oncogene serine/threonine-protein kinase Pim-1 antibody; Proviral integration site 1 antibody; Proviral integration site 2 antibody
-
宿主:Rabbit
-
反應種屬:Human,Mouse,Rat
-
免疫原:Fusion protein of Human PIM1
-
免疫原種屬:Homo sapiens (Human)
-
標記方式:Non-conjugated
-
抗體亞型:IgG
-
純化方式:Antigen affinity purification
-
濃度:It differs from different batches. Please contact us to confirm it.
-
保存緩沖液:-20°C, pH7.4 PBS, 0.05% NaN3, 40% Glycerol
-
產品提供形式:Liquid
-
應用范圍:ELISA,IHC
-
推薦稀釋比:
Application Recommended Dilution ELISA 1:1000-1:5000 IHC 1:50-1:200 -
Protocols:
-
儲存條件:Upon receipt, store at -20°C or -80°C. Avoid repeated freeze.
-
貨期:Basically, we can dispatch the products out in 1-3 working days after receiving your orders. Delivery time maybe differs from different purchasing way or location, please kindly consult your local distributors for specific delivery time.
-
用途:For Research Use Only. Not for use in diagnostic or therapeutic procedures.
相關產品
靶點詳情
-
功能:Proto-oncogene with serine/threonine kinase activity involved in cell survival and cell proliferation and thus providing a selective advantage in tumorigenesis. Exerts its oncogenic activity through: the regulation of MYC transcriptional activity, the regulation of cell cycle progression and by phosphorylation and inhibition of proapoptotic proteins (BAD, MAP3K5, FOXO3). Phosphorylation of MYC leads to an increase of MYC protein stability and thereby an increase of transcriptional activity. The stabilization of MYC exerted by PIM1 might explain partly the strong synergism between these two oncogenes in tumorigenesis. Mediates survival signaling through phosphorylation of BAD, which induces release of the anti-apoptotic protein Bcl-X(L)/BCL2L1. Phosphorylation of MAP3K5, another proapoptotic protein, by PIM1, significantly decreases MAP3K5 kinase activity and inhibits MAP3K5-mediated phosphorylation of JNK and JNK/p38MAPK subsequently reducing caspase-3 activation and cell apoptosis. Stimulates cell cycle progression at the G1-S and G2-M transitions by phosphorylation of CDC25A and CDC25C. Phosphorylation of CDKN1A, a regulator of cell cycle progression at G1, results in the relocation of CDKN1A to the cytoplasm and enhanced CDKN1A protein stability. Promotes cell cycle progression and tumorigenesis by down-regulating expression of a regulator of cell cycle progression, CDKN1B, at both transcriptional and post-translational levels. Phosphorylation of CDKN1B, induces 14-3-3 proteins binding, nuclear export and proteasome-dependent degradation. May affect the structure or silencing of chromatin by phosphorylating HP1 gamma/CBX3. Acts also as a regulator of homing and migration of bone marrow cells involving functional interaction with the CXCL12-CXCR4 signaling axis. Also phosphorylates and activates the ATP-binding cassette transporter ABCG2, allowing resistance to drugs through their excretion from cells. Promotes brown adipocyte differentiation.
-
基因功能參考文獻:
- CD95-mediated apoptosis induces Pim-1 down-regulation in Burkitt's lymphoma (BL) B-cells, but Pim-1 down-regulation cannot fully eradicate BL and leukaemia. PMID: 27641442
- Data show that pim-1 oncogene protein (PIM1) expression was elevated in T-cell lymphomas (TCLs) cells. PMID: 30020405
- Results provide evidence that glucose deprivation is one of the mechanisms that leads to elevated Pim1 expression in colorectal cancer (CRC), and Pim1 upregulation ensures CRC growth in response to glucose deprivation by facilitating the Warburg effect in a compensatory way. PMID: 29516572
- data suggest that PIM1/2 kinase overexpression is a common feature of male reproductive organs tumors, which provoke tissue alterations and a large inflammatory response that may act synergistically during the process of tumorigenesis. PMID: 27901106
- PIM-1 mRNA levels may be an independent prognostic factor in acute myeloid leukemia. PMID: 28851457
- PIM1 role in cell proliferation, migration and apoptosis in triple-negative breast cancer [review] PMID: 28721678
- may contribute to placental inflammation in pregnancies complicated by maternal obesity PMID: 28487013
- Inhibition of PIM1 kinase attenuates inflammation-induced pro-labor mediators in human fetal membranes in vitro. PMID: 28333279
- PIM1 destabilization is associated with cancer. PMID: 26993775
- The Ser/Thr-protein kinase-1 (PIM-1) was identified as a direct target of miR-328. PMID: 27448984
- Data show that PIM1 contributes to melanoma cell proliferation and tumor growth in vivo; however, the presence of PIM2 and PIM3 could also influence the outcome. PMID: 27448973
- High expression level of PIM is associated with neoplasms. PMID: 26956053
- This review summarizes effects of PIM kinases and their substrates especially on cancer cell migration, invasion and metastatic growth, based on data from cell-based assays, animal experiments and patients. PMID: 29108877
- Results show that PIM-1 is upregulated in pancreatic cancer tissues and plasma. Its knockdown in pancreatic cancer cells suppressed proliferation, induced cell cycle arrest, enhanced apoptosis, resensitized cells to gemcitabine and erlotinib treatment, and inhibited ABCG2 and EZH2 mRNA expression. PMID: 27596051
- Results show that PIM1 is overexpressed in breast cancer tumors and provide evidence for its role in tumor resistance to PI3K inhibitors. PMID: 27604488
- These results demonstrate the involvement of PIM kinases in LIF-induced regulation in different trophoblastic cell lines which may indicate similar functions in primary cells. PMID: 28729093
- Down-regulation of UHRF1 is an important mechanism of PIM1-mediated cellular senescence. PMID: 28394343
- PIM kinases in classical Hodgkin lymphoma exhibit pleiotropic effects, orchestrating tumor immune escape and supporting Reed-Sternberg cell survival. PMID: 28698206
- critical for the growth and metastasis of osteosarcoma cells PMID: 26687194
- Triple negative breast cancer cells, but not nonmalignant mammary epithelial cells, were dependent on PIM1 for proliferation and protection from apoptosis. PMID: 27775704
- PIM1 expression was higher in triple negative breast tumors than in estrogen and progesterone receptor positive tumors. PMID: 27775705
- High PIM1 expression is associated with osteosarcoma. PMID: 27826617
- downregulation of PIM1 led to suppression of cell proliferation by cell cycle arrest at G1 phase and suppression of cell invasion and migration. PMID: 28197633
- Pim-1L protects hepatic ABCA1 from lysosomal degradation by facilitating the physical interaction between ABCA1 and liver X receptor beta and subsequent stabilization of the ABCA1-Pim-1L complex and thereby regulates the circulating level of high-density lipoprotein. PMID: 27765770
- Furthermore, the Pim-1-HBP1 positive feedback loop exerts its effect by regulating the senescence markers DNMT1 and p16 and the apoptosis marker Bax. The Pim-1-HBP1 axis thus constitutes a novel checkpoint pathway critical for the inhibition of tumorigenesis. PMID: 28348080
- Overexpression of PIM1 partially rescued miR-542-3p-mediated suppression of cell migration, invasion and EMT. Our results collectively indicate that miR-542-3p serves as a metastasis suppressor in melanoma, supporting its utility as a promising therapeutic candidate. PMID: 27107696
- Data show that cytoplasmic irradiation mediate expression level of Pim-1, which lead to glycolytic shift in SAE cells. PMID: 28170315
- Pim1 role in the apoptosis and cell proliferation of human esophageal cancer cells PMID: 27983525
- findings aid in understanding the tumor-suppressive role of miR-124-3p in astrocytoma pathogenesis through the inhibition of PIM1 translation PMID: 27088547
- hypoxia induced miR-124 and miR-144 downregulation may contribute to a prosurvival mechanism of prostate cancer cells to hypoxia and irradiation at least through attenuated suppressing of PIM1. PMID: 26990493
- Results show loss of miR-1 and miR-214 expression and high expression of their target gene, PIM1, in malignant mesothelioma suggesting a role in carcinogenesis of mesothelioma. PMID: 26820394
- we examine the therapeutic implications of Pim1 to encourage the personalization of cardiac regenerative therapy PMID: 26563999
- Data suggest that combining PIM and JAK2 kinase inhibitors may offer a more efficacious therapeutic approach for myeloproliferative neoplasms (MPNs) over JAK2 inhibitor mono-therapy. PMID: 26472029
- A high percentage of urothelial carcinomas express Pim kinases. Pim expression differs in NILG, NIHG, and IHG lesions. PMID: 26551340
- Downregulation of microRNA33a promotes the expression CDK6, CCND1, and PIM1, and gastric cancer cell proliferation. PMID: 26352175
- glycogen synthase kinase 3 beta (GSK3B) and the forkhead box P3 (FOXP3) transcription factors are direct PIM1 targets. PMID: 26934497
- By associating with PIM-1L, CD180 can thus obtain autonomous signaling capabilities, and this complex is then channeling inflammatory signals into B cell survival programs PMID: 26555723
- Pim1 kinase activity maintains airway epithelial integrity and protects against house dust mite-induced proinflammatory activation of the airway epithelium. PMID: 26453516
- Pim-1 and Pim-3 enhance phosphorylation and cell surface expression of CXCR4 in prostate cancer cells. PC-3 prostate cancer cells overexpressing either Pim-1 or Pim-3 kinases form larger xenograft tumors than the parental PC-3 cells. PMID: 26075720
- PIM1 is up-regulated by hypoxia in hepatocellular carcinoma and promotes tumor growth and metastasis by facilitating cancer cell glycolysis. PMID: 25834102
- This study demonstrates the oncogenic role of Pim-1 in ACC. The findings also suggest that Pim-1 may serve as a neoteric therapeutic target and potential prognostic marker for ACC cancer PMID: 25551195
- We now demonstrate a molecular mechanism which reveals a direct role for EBNA3C in enhancing Pim-1 expression in EBV-infected primary B-cells. PMID: 25121590
- Pim kinase may represent a new host factor for HCV entry. Pim1 is an oncogenic serine/threonine kinase. HCV NS5A protein physically interacts with Pim1 and contributes to Pim1 protein stability. PMID: 26202252
- PIM1 overexpression is associated with prostate cancer. PMID: 24771642
- Molecular dynamics studies showed that only GTP decreases the formation of the GBP1:PIM1 complex through an allosteric mechanism, outlining the rational for the identification of new compounds potentially able to revert resistance to paclitaxel. PMID: 25081641
- important role in progression of pre-malignant high grade prostatic intra-epithelial neoplasia to malignant prostatic carcinomas [review] PMID: 25553374
- In comparison with normal brain, a strong upregulation of Pim1 was demonstrated in human GBM samples. Notably, patients with short overall survival showed a significantly higher Pim1 expression compared with GBM patients who lived longer than the median. PMID: 25155357
- Pim1 function depends upon intracellular localization in human cardiac progenitor cells PMID: 25882843
- These results point on PIM1 as a novel factor in regulation of the phenotype and differentiation of fibroblasts in prostate cancer. PMID: 25451079
- Data indicate that serine/threonine-protein kinase PIM1 expression was noted in each case of chronic lymphocytic leukemia/small lymphocytic lymphoma (CLL/SLL). PMID: 24547709
顯示更多
收起更多
-
亞細胞定位:[Isoform 1]: Cytoplasm. Nucleus.; [Isoform 2]: Cell membrane.
-
蛋白家族:Protein kinase superfamily, CAMK Ser/Thr protein kinase family, PIM subfamily
-
組織特異性:Expressed primarily in cells of the hematopoietic and germline lineages. Isoform 1 and isoform 2 are both expressed in prostate cancer cell lines.
-
數據庫鏈接:
Most popular with customers
-
-
YWHAB Recombinant Monoclonal Antibody
Applications: ELISA, WB, IHC, IF, FC
Species Reactivity: Human, Mouse, Rat
-
Phospho-YAP1 (S127) Recombinant Monoclonal Antibody
Applications: ELISA, WB, IHC
Species Reactivity: Human
-
-
-
-
-















